About   Help   FAQ
Gene Expression Data
Assay Details
Assay
Reference: J:153498 Diez-Roux G, et al., A high-resolution anatomical atlas of the transcriptome in the mouse embryo. PLoS Biol. 2011;9(1):e1000582
Assay type: RNA in situ
MGI Accession ID: MGI:4823353
Gene symbol: Ezhip
Gene name: EZH inhibitory protein
Probe: T39450
Probe preparation: Antisense labelled with digoxigenin RNA
Visualized with: Alkaline phosphatase
Assay notes: Cryosections of fresh frozen material were fixed in 4% paraformaldehyde for 20 min. before further processing. A tyramide-biotin/streptavidin amplification step was included in the in situ hybridization procedure.
Results
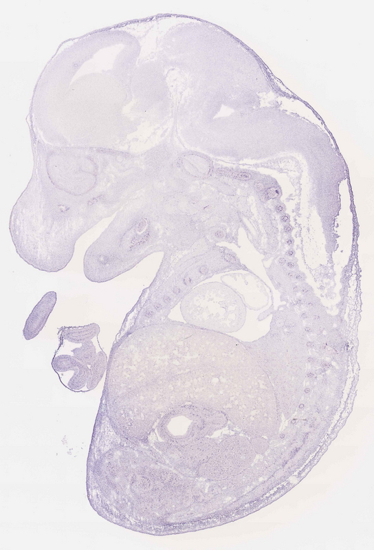
Specimen euxassay_015969_01: embryonic day 14.5 (more )
Structure Level Pattern Image Note
TS23: rib Moderate Single cells euxassay_015969_01

Specimen euxassay_015969_02: embryonic day 14.5 (more )
Structure Level Pattern Image Note
TS23: rib Moderate Single cells euxassay_015969_02

Specimen euxassay_015969_03: embryonic day 14.5 (more )
Structure Level Pattern Image Note
TS23: rib Moderate Single cells euxassay_015969_03

Specimen euxassay_015969_04: embryonic day 14.5 (more )
Structure Level Pattern Image Note
TS23: rib Moderate Single cells euxassay_015969_04

Specimen euxassay_015969_05: embryonic day 14.5 (more )
Structure Level Pattern Image Note
TS23: rib Moderate Single cells euxassay_015969_05

Specimen euxassay_015969_06: embryonic day 14.5 (more )
Structure Level Pattern Image Note
TS23: rib Moderate Single cells euxassay_015969_06

Specimen euxassay_015969_07: embryonic day 14.5 (more )
Structure Level Pattern Image Note
TS23: rib Moderate Single cells euxassay_015969_07

Specimen euxassay_015969_08: embryonic day 14.5 (more )
Structure Level Pattern Image Note
TS23: rib Moderate Single cells euxassay_015969_08

Specimen euxassay_015969_09: embryonic day 14.5 (more )
Structure Level Pattern Image Note
TS23: rib Moderate Single cells euxassay_015969_09

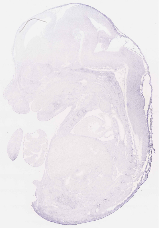
Specimen euxassay_015969_11: embryonic day 14.5 (more )
Structure Level Pattern Image Note
TS23: axial skeleton Moderate Single cells euxassay_015969_11

Specimen euxassay_015969_12: embryonic day 14.5 (more )
Structure Level Pattern Image Note
TS23: axial skeleton Moderate Single cells euxassay_015969_12

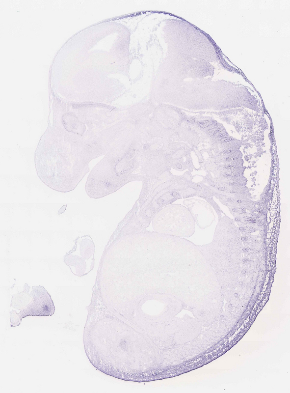
Specimen euxassay_015969_18: embryonic day 14.5 (more )
Structure Level Pattern Image Note
TS23: rib Moderate Single cells euxassay_015969_18

Specimen euxassay_015969_19: embryonic day 14.5 (more )
Structure Level Pattern Image Note
TS23: rib Moderate Single cells euxassay_015969_19

Specimen euxassay_015969_20: embryonic day 14.5 (more )
Structure Level Pattern Image Note
TS23: rib Weak Single cells euxassay_015969_20

Specimen euxassay_015969_21: embryonic day 14.5 (more )
Structure Level Pattern Image Note
TS23: rib Weak Single cells euxassay_015969_21

Specimen euxassay_015969_22: embryonic day 14.5 (more )
Structure Level Pattern Image Note
TS23: rib Moderate Single cells euxassay_015969_22

Specimen euxassay_015969_23: embryonic day 14.5 (more )
Structure Level Pattern Image Note
TS23: rib Moderate Single cells euxassay_015969_23

Specimen euxassay_015969_24: embryonic day 14.5 (more )
Structure Level Pattern Image Note
TS23: rib Moderate Single cells euxassay_015969_24

Specimen euxassay_015969_25: embryonic day 14.5 (more )
Structure Level Pattern Image Note
TS23: rib Moderate Single cells euxassay_015969_25


Contributing Projects:
Mouse Genome Database (MGD), Gene Expression Database (GXD), Mouse Models of Human Cancer database (MMHCdb) (formerly Mouse Tumor Biology (MTB)), Gene Ontology (GO)
Citing These Resources
Funding Information
Warranty Disclaimer, Privacy Notice, Licensing, & Copyright
Send questions and comments to User Support.
last database update
12/30/2025
MGI 6.24
The Jackson Laboratory