About   Help   FAQ
Gene Expression Data
Assay Details
Assay
Reference: J:153498 Diez-Roux G, et al., A high-resolution anatomical atlas of the transcriptome in the mouse embryo. PLoS Biol. 2011;9(1):e1000582
Assay type: RNA in situ
MGI Accession ID: MGI:4823337
Gene symbol: Atp6v1g2
Gene name: ATPase, H+ transporting, lysosomal V1 subunit G2
Probe: MGC clone 28983
Probe preparation: Antisense labelled with digoxigenin RNA
Visualized with: Alkaline phosphatase
Assay notes: Cryosections of fresh frozen material were fixed in 4% paraformaldehyde for 20 min. before further processing. A tyramide-biotin/streptavidin amplification step was included in the in situ hybridization procedure.
Results
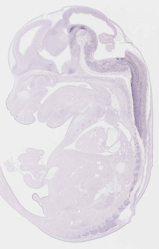
Specimen euxassay_002941_09: embryonic day 14.5 (more )
Note: Additional information for this specimen was included in the Eurexpress data submission file.
Structure Level Pattern Image Note
TS23: medulla oblongata basal plate Moderate Regionally restricted euxassay_002941_09 facial motor nucleus

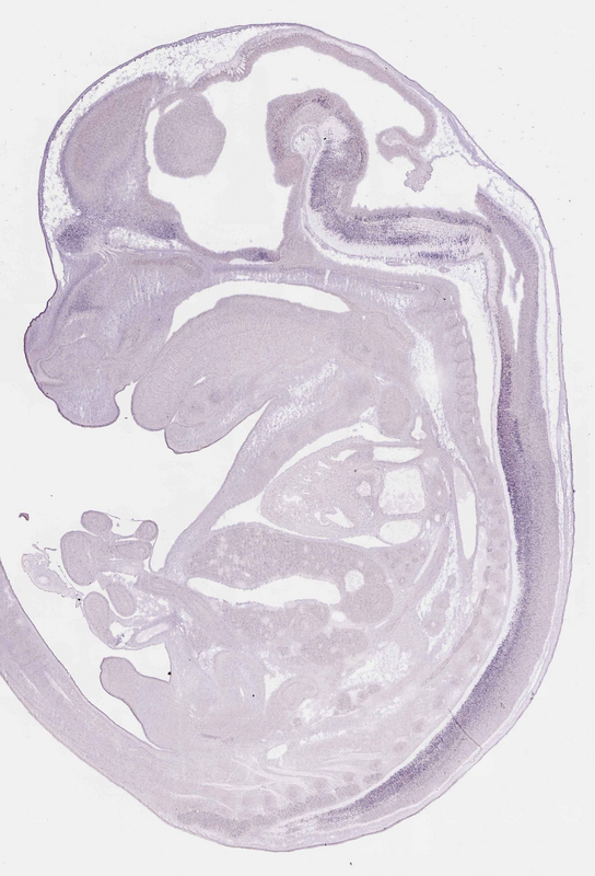
Specimen euxassay_002941_11: embryonic day 14.5 (more )
Structure Level Pattern Image Note
TS23: ventral grey horn Moderate Regionally restricted euxassay_002941_11

Specimen euxassay_002941_12: embryonic day 14.5 (more )
Structure Level Pattern Image Note
TS23: ventral grey horn Moderate Regionally restricted euxassay_002941_12

Specimen euxassay_002941_13: embryonic day 14.5 (more )
Structure Level Pattern Image Note
TS23: ventral grey horn Moderate Regionally restricted euxassay_002941_13

Specimen euxassay_002941_14: embryonic day 14.5 (more )
Structure Level Pattern Image Note
TS23: ventral grey horn Moderate Regionally restricted euxassay_002941_14

Specimen euxassay_002941_15: embryonic day 14.5 (more )
Structure Level Pattern Image Note
TS23: ventral grey horn Moderate Regionally restricted euxassay_002941_15

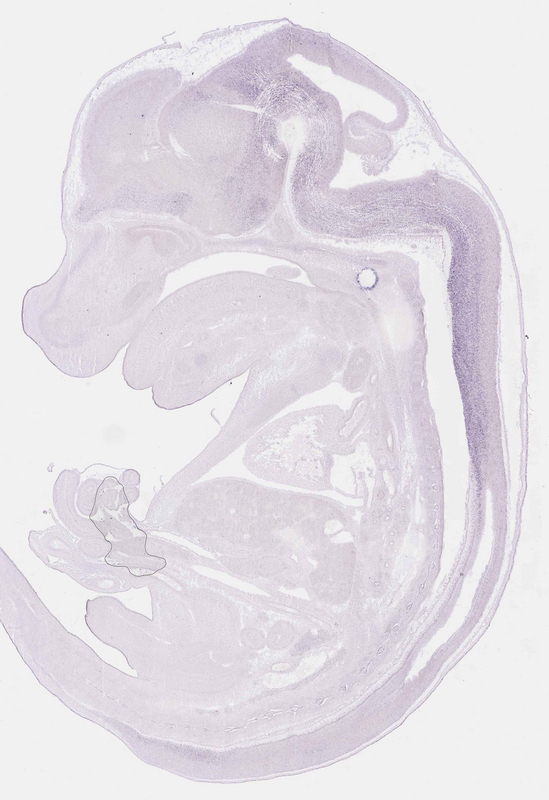
Specimen euxassay_002941_16: embryonic day 14.5 (more )
Note: Additional information for this specimen was included in the Eurexpress data submission file.
Structure Level Pattern Image Note
TS23: ventral grey horn Moderate Regionally restricted euxassay_002941_16
TS23: medulla oblongata basal plate Moderate Regionally restricted euxassay_002941_16 facial motor nucleus

Specimen euxassay_002941_17: embryonic day 14.5 (more )
Note: Additional information for this specimen was included in the Eurexpress data submission file.
Structure Level Pattern Image Note
TS23: ventral grey horn Moderate Regionally restricted euxassay_002941_17
TS23: medulla oblongata basal plate Moderate Regionally restricted euxassay_002941_17 facial motor nucleus


Contributing Projects:
Mouse Genome Database (MGD), Gene Expression Database (GXD), Mouse Models of Human Cancer database (MMHCdb) (formerly Mouse Tumor Biology (MTB)), Gene Ontology (GO)
Citing These Resources
Funding Information
Warranty Disclaimer, Privacy Notice, Licensing, & Copyright
Send questions and comments to User Support.
last database update
01/20/2026
MGI 6.24
The Jackson Laboratory