About   Help   FAQ
Gene Expression Data
Assay Details
Assay
Reference: J:153498 Diez-Roux G, et al., A high-resolution anatomical atlas of the transcriptome in the mouse embryo. PLoS Biol. 2011;9(1):e1000582
Assay type: RNA in situ
MGI Accession ID: MGI:4823321
Gene symbol: Atp6v0c
Gene name: ATPase, H+ transporting, lysosomal V0 subunit C
Probe: T35961
Probe preparation: Antisense labelled with digoxigenin RNA
Visualized with: Alkaline phosphatase
Assay notes: Cryosections of fresh frozen material were fixed in 4% paraformaldehyde for 20 min. before further processing. A tyramide-biotin/streptavidin amplification step was included in the in situ hybridization procedure.
Results
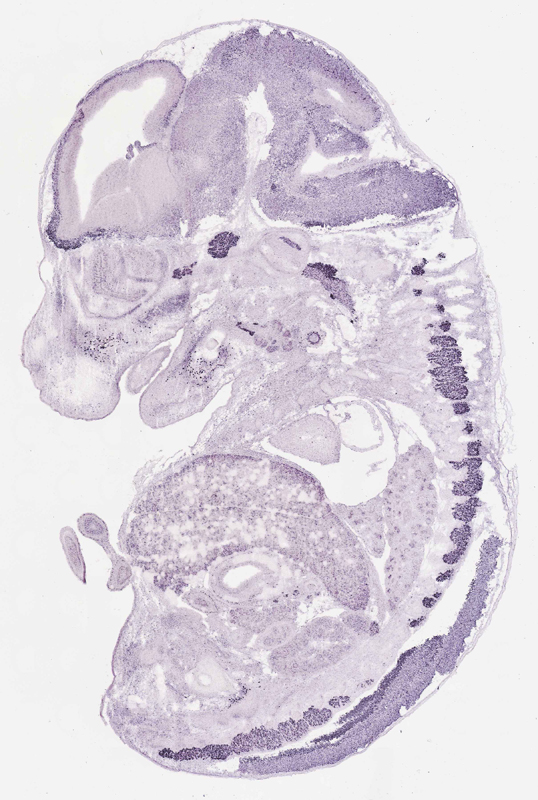
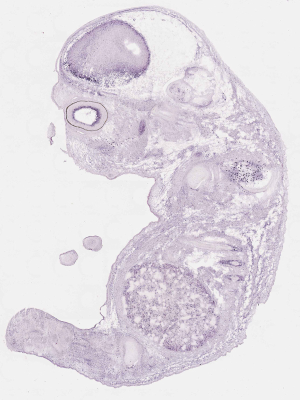
Specimen euxassay_009616_01: embryonic day 14.5 (more )
Structure Level Pattern Image Note
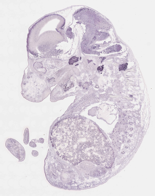
TS23: forebrain Moderate Regionally restricted euxassay_009616_01

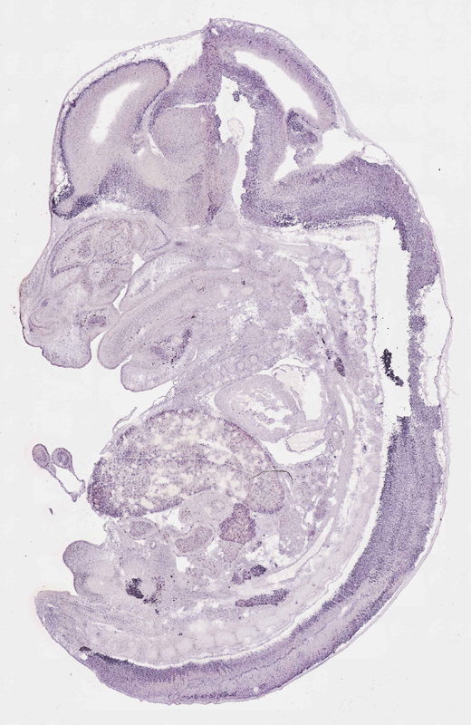
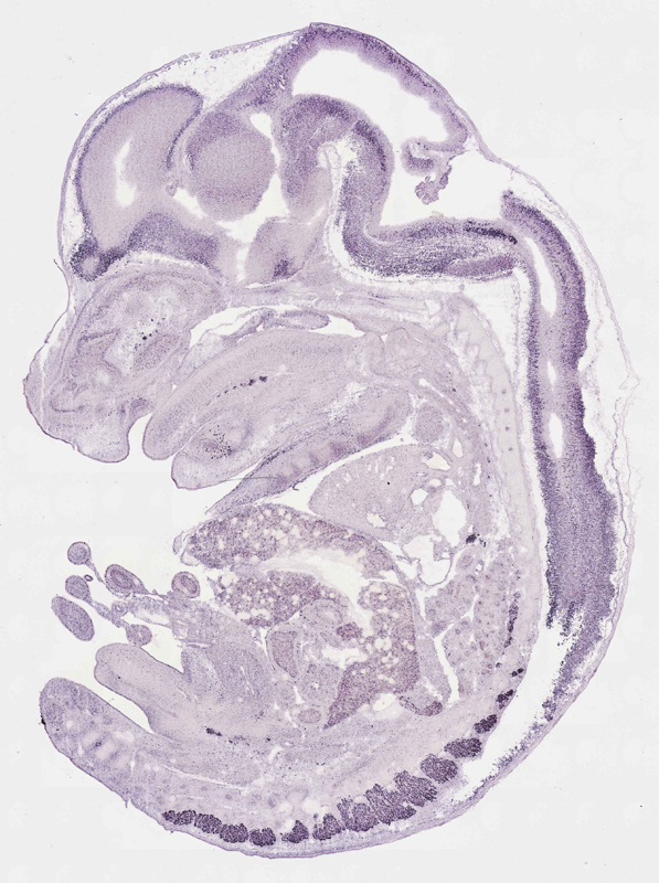
Specimen euxassay_009616_02: embryonic day 14.5 (more )
Structure Level Pattern Image Note
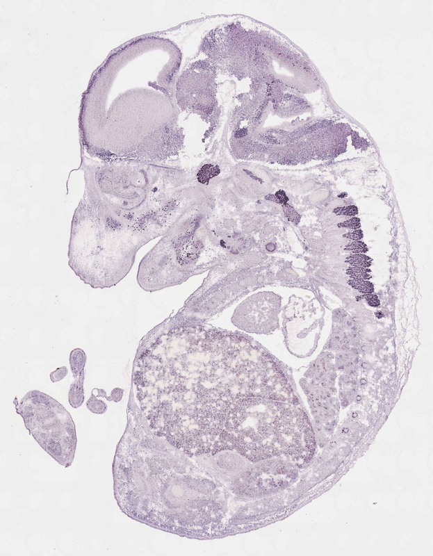
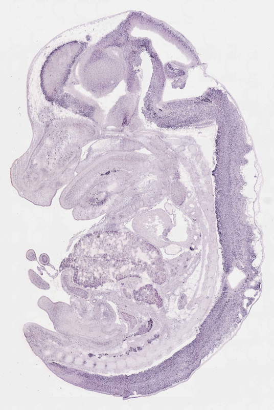
TS23: trigeminal ganglion Strong Regionally restricted euxassay_009616_02
TS23: mandible Moderate Regionally restricted euxassay_009616_02
TS23: neural retina Moderate Regionally restricted euxassay_009616_02
TS23: forebrain Moderate Regionally restricted euxassay_009616_02
TS23: orbito-sphenoid Moderate Regionally restricted euxassay_009616_02

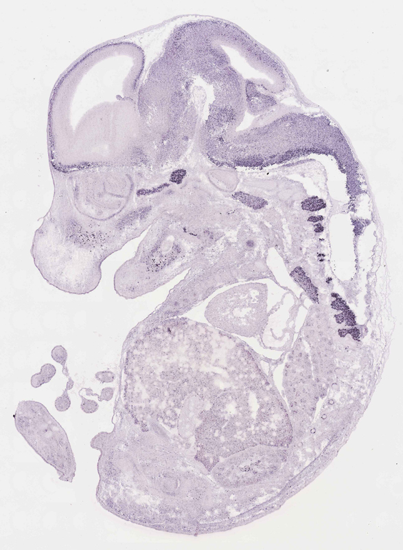
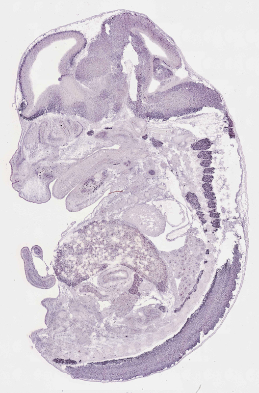
Specimen euxassay_009616_03: embryonic day 14.5 (more )
Structure Level Pattern Image Note
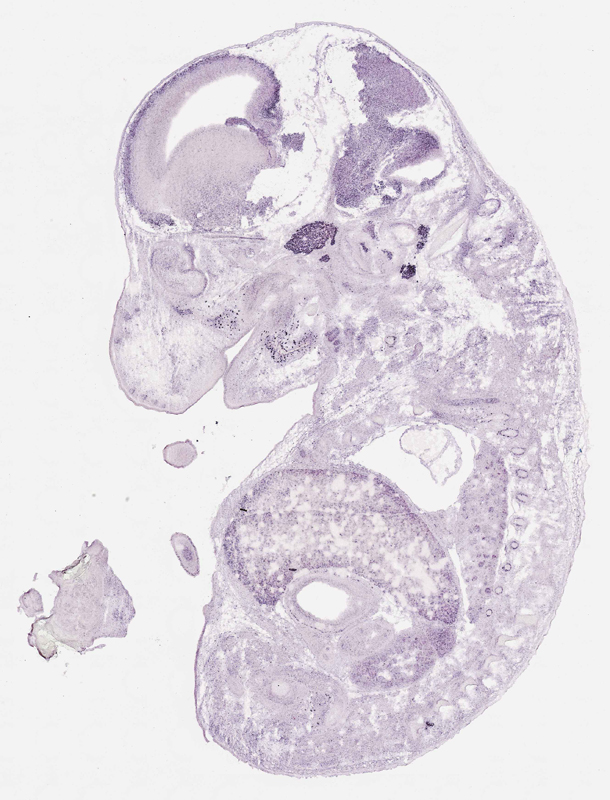
TS23: trigeminal ganglion Strong Regionally restricted euxassay_009616_03
TS23: facial ganglion Strong Regionally restricted euxassay_009616_03
TS23: mandible Moderate Regionally restricted euxassay_009616_03
TS23: hindbrain Moderate Regionally restricted euxassay_009616_03
TS23: forebrain Moderate Regionally restricted euxassay_009616_03
TS23: orbito-sphenoid Moderate Regionally restricted euxassay_009616_03

Specimen euxassay_009616_04: embryonic day 14.5 (more )
Structure Level Pattern Image Note
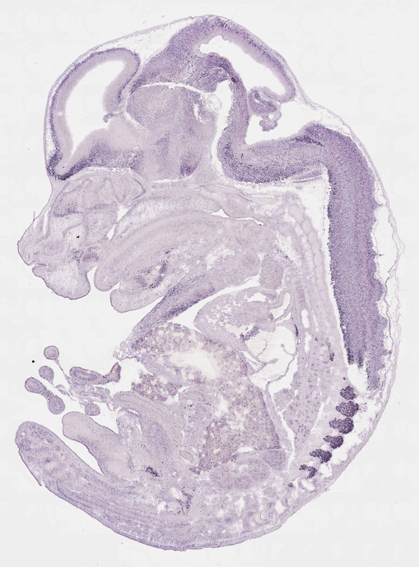
TS23: trigeminal ganglion Strong Regionally restricted euxassay_009616_04
TS23: facial ganglion Strong Regionally restricted euxassay_009616_04
TS23: mandible Moderate Regionally restricted euxassay_009616_04
TS23: maxilla Moderate Regionally restricted euxassay_009616_04
TS23: hindbrain Moderate Regionally restricted euxassay_009616_04
TS23: forebrain Moderate Regionally restricted euxassay_009616_04
TS23: orbito-sphenoid Moderate Regionally restricted euxassay_009616_04

Specimen euxassay_009616_05: embryonic day 14.5 (more )
Structure Level Pattern Image Note
TS23: trigeminal ganglion Strong Regionally restricted euxassay_009616_05
TS23: facial ganglion Strong Regionally restricted euxassay_009616_05
TS23: maxilla Moderate Regionally restricted euxassay_009616_05
TS23: mandible Moderate Regionally restricted euxassay_009616_05
TS23: forebrain Moderate Regionally restricted euxassay_009616_05
TS23: hindbrain Moderate Regionally restricted euxassay_009616_05

Specimen euxassay_009616_06: embryonic day 14.5 (more )
Structure Level Pattern Image Note
TS23: trigeminal ganglion Strong Regionally restricted euxassay_009616_06
TS23: glossopharyngeal ganglion Strong Regionally restricted euxassay_009616_06
TS23: facial ganglion Strong Regionally restricted euxassay_009616_06
TS23: vestibulo-cochlear ganglion Moderate Regionally restricted euxassay_009616_06
TS23: mandible Weak Regionally restricted euxassay_009616_06
TS23: maxilla Weak Regionally restricted euxassay_009616_06
TS23: midbrain Moderate Regionally restricted euxassay_009616_06
TS23: hindbrain Moderate Regionally restricted euxassay_009616_06
TS23: forebrain Moderate Regionally restricted euxassay_009616_06

Specimen euxassay_009616_07: embryonic day 14.5 (more )
Structure Level Pattern Image Note
TS23: vestibulo-cochlear ganglion Moderate Regionally restricted euxassay_009616_07
TS23: trigeminal ganglion Strong Regionally restricted euxassay_009616_07
TS23: glossopharyngeal ganglion Strong Regionally restricted euxassay_009616_07
TS23: dorsal root ganglion Strong Regionally restricted euxassay_009616_07
TS23: maxilla Weak Regionally restricted euxassay_009616_07
TS23: mandible Weak Regionally restricted euxassay_009616_07
TS23: midbrain Moderate Regionally restricted euxassay_009616_07
TS23: hindbrain Moderate Regionally restricted euxassay_009616_07
TS23: forebrain Moderate Regionally restricted euxassay_009616_07

Specimen euxassay_009616_08: embryonic day 14.5 (more )
Structure Level Pattern Image Note
TS23: trigeminal nerve Strong Regionally restricted euxassay_009616_08
TS23: vagus ganglion Strong Regionally restricted euxassay_009616_08
TS23: trigeminal ganglion Strong Regionally restricted euxassay_009616_08
TS23: vestibulo-cochlear ganglion Strong Regionally restricted euxassay_009616_08
TS23: dorsal root ganglion Strong Regionally restricted euxassay_009616_08
TS23: maxilla Weak Regionally restricted euxassay_009616_08
TS23: mandible Weak Regionally restricted euxassay_009616_08
TS23: spinal cord Moderate Regionally restricted euxassay_009616_08
TS23: midbrain Moderate Regionally restricted euxassay_009616_08
TS23: hindbrain Moderate Regionally restricted euxassay_009616_08
TS23: forebrain Moderate Regionally restricted euxassay_009616_08

Specimen euxassay_009616_09: embryonic day 14.5 (more )
Structure Level Pattern Image Note
TS23: trigeminal nerve Strong Regionally restricted euxassay_009616_09
TS23: dorsal root ganglion Strong Regionally restricted euxassay_009616_09
TS23: maxilla Weak Regionally restricted euxassay_009616_09
TS23: mandible Weak Regionally restricted euxassay_009616_09
TS23: cervical ganglion Moderate Regionally restricted euxassay_009616_09
TS23: cervico-thoracic ganglion Moderate Regionally restricted euxassay_009616_09
TS23: spinal cord Moderate Regionally restricted euxassay_009616_09
TS23: midbrain Moderate Regionally restricted euxassay_009616_09
TS23: hindbrain Moderate Regionally restricted euxassay_009616_09
TS23: forebrain Moderate Regionally restricted euxassay_009616_09

Specimen euxassay_009616_10: embryonic day 14.5 (more )
Structure Level Pattern Image Note
TS23: maxilla Weak Regionally restricted euxassay_009616_10
TS23: mandible Weak Regionally restricted euxassay_009616_10
TS23: cervico-thoracic ganglion Moderate Regionally restricted euxassay_009616_10
TS23: thoracic ganglion Moderate Regionally restricted euxassay_009616_10
TS23: spinal cord Moderate Regionally restricted euxassay_009616_10
TS23: midbrain Moderate Regionally restricted euxassay_009616_10
TS23: hindbrain Moderate Regionally restricted euxassay_009616_10
TS23: forebrain Moderate Regionally restricted euxassay_009616_10

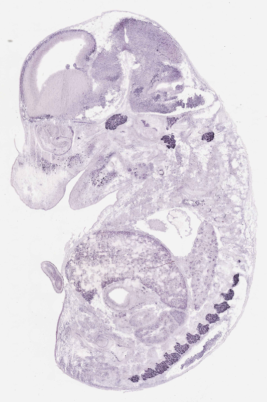
Specimen euxassay_009616_11: embryonic day 14.5 (more )
Structure Level Pattern Image Note
TS23: mandible Weak Regionally restricted euxassay_009616_11
TS23: thoracic ganglion Moderate Regionally restricted euxassay_009616_11
TS23: spinal cord Moderate Regionally restricted euxassay_009616_11
TS23: hindbrain Moderate Regionally restricted euxassay_009616_11
TS23: midbrain Moderate Regionally restricted euxassay_009616_11
TS23: forebrain Moderate Regionally restricted euxassay_009616_11

Specimen euxassay_009616_12: embryonic day 14.5 (more )
Structure Level Pattern Image Note
TS23: dorsal root ganglion Strong Regionally restricted euxassay_009616_12
TS23: spinal cord Moderate Regionally restricted euxassay_009616_12
TS23: midbrain Moderate Regionally restricted euxassay_009616_12
TS23: hindbrain Moderate Regionally restricted euxassay_009616_12
TS23: forebrain Moderate Regionally restricted euxassay_009616_12

Specimen euxassay_009616_13: embryonic day 14.5 (more )
Structure Level Pattern Image Note
TS23: dorsal root ganglion Strong Regionally restricted euxassay_009616_13
TS23: spinal cord Moderate Regionally restricted euxassay_009616_13
TS23: midbrain Moderate Regionally restricted euxassay_009616_13
TS23: hindbrain Moderate Regionally restricted euxassay_009616_13
TS23: forebrain Moderate Regionally restricted euxassay_009616_13

Specimen euxassay_009616_14: embryonic day 14.5 (more )
Structure Level Pattern Image Note
TS23: dorsal root ganglion Strong Regionally restricted euxassay_009616_14
TS23: maxilla Weak Regionally restricted euxassay_009616_14
TS23: mandible Weak Regionally restricted euxassay_009616_14
TS23: spinal cord Moderate Regionally restricted euxassay_009616_14
TS23: midbrain Moderate Regionally restricted euxassay_009616_14
TS23: hindbrain Moderate Regionally restricted euxassay_009616_14
TS23: forebrain Moderate Regionally restricted euxassay_009616_14

Specimen euxassay_009616_15: embryonic day 14.5 (more )
Structure Level Pattern Image Note
TS23: dorsal root ganglion Strong Regionally restricted euxassay_009616_15
TS23: maxilla Weak Regionally restricted euxassay_009616_15
TS23: mandible Weak Regionally restricted euxassay_009616_15
TS23: spinal cord Moderate Regionally restricted euxassay_009616_15
TS23: midbrain Moderate Regionally restricted euxassay_009616_15
TS23: hindbrain Moderate Regionally restricted euxassay_009616_15
TS23: forebrain Moderate Regionally restricted euxassay_009616_15

Specimen euxassay_009616_16: embryonic day 14.5 (more )
Structure Level Pattern Image Note
TS23: trigeminal nerve Strong Regionally restricted euxassay_009616_16
TS23: trigeminal ganglion Strong Regionally restricted euxassay_009616_16
TS23: dorsal root ganglion Strong Regionally restricted euxassay_009616_16
TS23: maxilla Weak Regionally restricted euxassay_009616_16
TS23: mandible Weak Regionally restricted euxassay_009616_16
TS23: cervico-thoracic ganglion Moderate Regionally restricted euxassay_009616_16
TS23: cervical ganglion Moderate Regionally restricted euxassay_009616_16
TS23: midbrain Moderate Regionally restricted euxassay_009616_16
TS23: hindbrain Moderate Regionally restricted euxassay_009616_16
TS23: forebrain Moderate Regionally restricted euxassay_009616_16
TS23: spinal cord Moderate Regionally restricted euxassay_009616_16

Specimen euxassay_009616_17: embryonic day 14.5 (more )
Structure Level Pattern Image Note
TS23: vagus ganglion Strong Regionally restricted euxassay_009616_17
TS23: trigeminal ganglion Strong Regionally restricted euxassay_009616_17
TS23: vestibulo-cochlear ganglion Strong Regionally restricted euxassay_009616_17
TS23: dorsal root ganglion Strong Regionally restricted euxassay_009616_17
TS23: maxilla Weak Regionally restricted euxassay_009616_17
TS23: mandible Weak Regionally restricted euxassay_009616_17
TS23: midbrain Moderate Regionally restricted euxassay_009616_17
TS23: hindbrain Moderate Regionally restricted euxassay_009616_17
TS23: forebrain Moderate Regionally restricted euxassay_009616_17

Specimen euxassay_009616_18: embryonic day 14.5 (more )
Structure Level Pattern Image Note
TS23: glossopharyngeal ganglion Strong Regionally restricted euxassay_009616_18
TS23: trigeminal ganglion Strong Regionally restricted euxassay_009616_18
TS23: vestibulo-cochlear ganglion Moderate Regionally restricted euxassay_009616_18
TS23: facial ganglion Strong Regionally restricted euxassay_009616_18
TS23: dorsal root ganglion Strong Regionally restricted euxassay_009616_18
TS23: maxilla Weak Regionally restricted euxassay_009616_18
TS23: mandible Weak Regionally restricted euxassay_009616_18
TS23: midbrain Moderate Regionally restricted euxassay_009616_18
TS23: hindbrain Moderate Regionally restricted euxassay_009616_18
TS23: forebrain Moderate Regionally restricted euxassay_009616_18

Specimen euxassay_009616_19: embryonic day 14.5 (more )
Structure Level Pattern Image Note
TS23: vestibulo-cochlear ganglion Moderate Regionally restricted euxassay_009616_19
TS23: glossopharyngeal ganglion Strong Regionally restricted euxassay_009616_19
TS23: trigeminal ganglion Strong Regionally restricted euxassay_009616_19
TS23: facial ganglion Strong Regionally restricted euxassay_009616_19
TS23: maxilla Weak Regionally restricted euxassay_009616_19
TS23: mandible Weak Regionally restricted euxassay_009616_19
TS23: midbrain Moderate Regionally restricted euxassay_009616_19
TS23: hindbrain Moderate Regionally restricted euxassay_009616_19
TS23: forebrain Moderate Regionally restricted euxassay_009616_19

Specimen euxassay_009616_20: embryonic day 14.5 (more )
Structure Level Pattern Image Note
TS23: trigeminal ganglion Strong Regionally restricted euxassay_009616_20
TS23: facial ganglion Strong Regionally restricted euxassay_009616_20
TS23: maxilla Weak Regionally restricted euxassay_009616_20
TS23: mandible Weak Regionally restricted euxassay_009616_20
TS23: midbrain Moderate Regionally restricted euxassay_009616_20
TS23: hindbrain Moderate Regionally restricted euxassay_009616_20
TS23: forebrain Moderate Regionally restricted euxassay_009616_20
TS23: orbito-sphenoid Moderate Regionally restricted euxassay_009616_20

Specimen euxassay_009616_21: embryonic day 14.5 (more )
Structure Level Pattern Image Note
TS23: trigeminal ganglion Strong Regionally restricted euxassay_009616_21
TS23: facial ganglion Strong Regionally restricted euxassay_009616_21
TS23: mandible Weak Regionally restricted euxassay_009616_21
TS23: hindbrain Moderate Regionally restricted euxassay_009616_21
TS23: forebrain Moderate Regionally restricted euxassay_009616_21
TS23: orbito-sphenoid Moderate Regionally restricted euxassay_009616_21

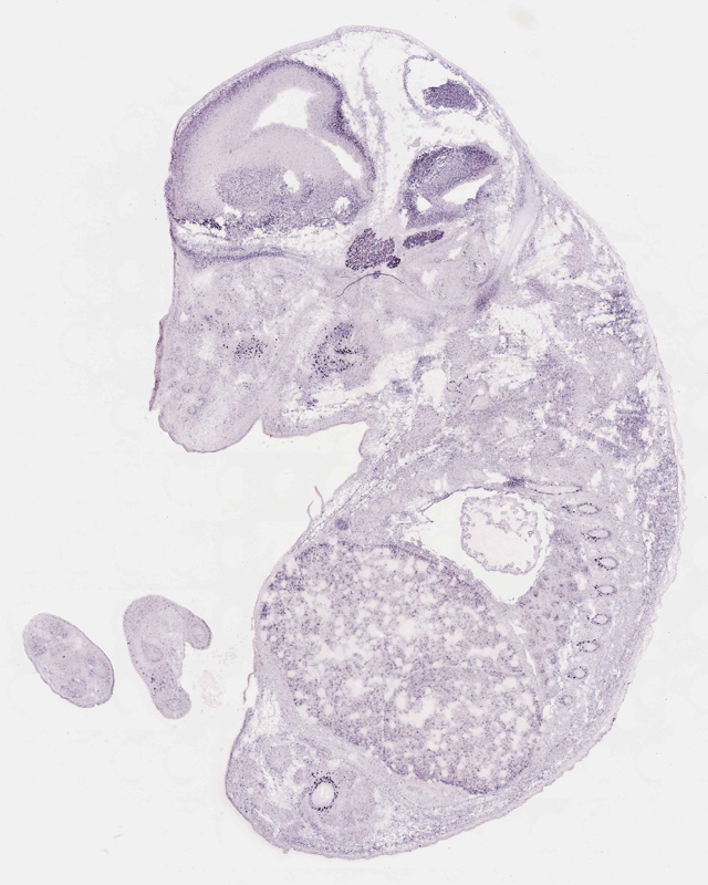
Specimen euxassay_009616_22: embryonic day 14.5 (more )
Structure Level Pattern Image Note
TS23: trigeminal ganglion Strong Regionally restricted euxassay_009616_22
TS23: mandible Weak Regionally restricted euxassay_009616_22
TS23: neural retina Strong Regionally restricted euxassay_009616_22
TS23: forebrain Moderate Regionally restricted euxassay_009616_22
TS23: orbito-sphenoid Moderate Regionally restricted euxassay_009616_22

Specimen euxassay_009616_23: embryonic day 14.5 (more )
Structure Level Pattern Image Note
TS23: neural retina Strong Regionally restricted euxassay_009616_23
TS23: forebrain Moderate Regionally restricted euxassay_009616_23

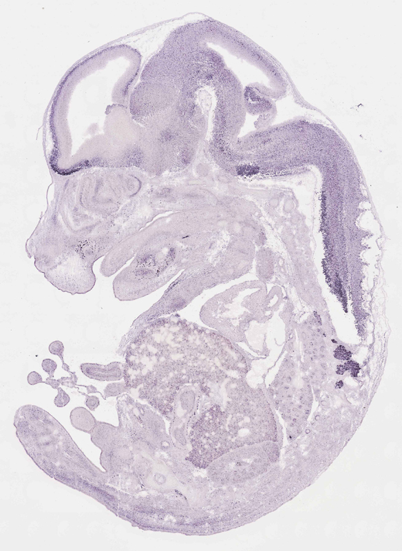
Specimen euxassay_009616_24: embryonic day 14.5 (more )
Structure Level Pattern Image Note
TS23: neural retina Strong Regionally restricted euxassay_009616_24
TS23: forebrain Moderate Regionally restricted euxassay_009616_24


Contributing Projects:
Mouse Genome Database (MGD), Gene Expression Database (GXD), Mouse Models of Human Cancer database (MMHCdb) (formerly Mouse Tumor Biology (MTB)), Gene Ontology (GO)
Citing These Resources
Funding Information
Warranty Disclaimer, Privacy Notice, Licensing, & Copyright
Send questions and comments to User Support.
last database update
01/28/2026
MGI 6.24
The Jackson Laboratory