About   Help   FAQ
Gene Expression Data
Assay Details
Assay
Reference: J:153498 Diez-Roux G, et al., A high-resolution anatomical atlas of the transcriptome in the mouse embryo. PLoS Biol. 2011;9(1):e1000582
Assay type: RNA in situ
MGI Accession ID: MGI:4823305
Gene symbol: Atp1a2
Gene name: ATPase, Na+/K+ transporting, alpha 2 polypeptide
Probe: MGC clone 36347
Probe preparation: Antisense labelled with digoxigenin RNA
Visualized with: Alkaline phosphatase
Assay notes: Cryosections of fresh frozen material were fixed in 4% paraformaldehyde for 20 min. before further processing. A tyramide-biotin/streptavidin amplification step was included in the in situ hybridization procedure.
Results
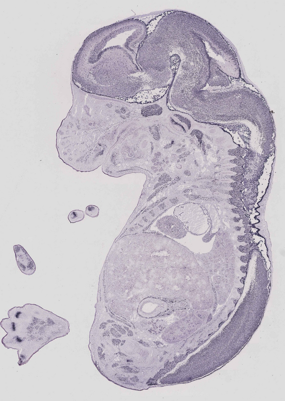
Specimen euxassay_001505_01: embryonic day 14.5 (more )
Note: Additional information for this specimen was included in the Eurexpress data submission file.
Structure Level Pattern Image Note
TS23: forelimb Moderate Regionally restricted euxassay_001505_01
TS23: forelimb musculature Present euxassay_001505_01
TS23: hindlimb Moderate Regionally restricted euxassay_001505_01
TS23: hindlimb musculature Present euxassay_001505_01
TS23: cochlea Strong Regionally restricted euxassay_001505_01
TS23: brain Moderate Uniform euxassay_001505_01

Specimen euxassay_001505_02: embryonic day 14.5 (more )
Note: Additional information for this specimen was included in the Eurexpress data submission file.
Structure Level Pattern Image Note
TS23: vertebral axis musculature Moderate Regionally restricted euxassay_001505_02
TS23: forelimb Moderate Regionally restricted euxassay_001505_02
TS23: forelimb musculature Present euxassay_001505_02
TS23: hindlimb Moderate Regionally restricted euxassay_001505_02
TS23: hindlimb musculature Present euxassay_001505_02
TS23: cochlea Strong Regionally restricted euxassay_001505_02
TS23: brain Moderate Uniform euxassay_001505_02
TS23: neural retina Strong Regionally restricted euxassay_001505_02

Specimen euxassay_001505_03: embryonic day 14.5 (more )
Note: Additional information for this specimen was included in the Eurexpress data submission file.
Structure Level Pattern Image Note
TS23: hindlimb Moderate Regionally restricted euxassay_001505_03
TS23: hindlimb musculature Present euxassay_001505_03
TS23: forelimb Moderate Regionally restricted euxassay_001505_03
TS23: forelimb musculature Present euxassay_001505_03
TS23: trigeminal ganglion Moderate Regionally restricted euxassay_001505_03
TS23: cochlea Strong Regionally restricted euxassay_001505_03
TS23: brain Moderate Uniform euxassay_001505_03
TS23: neural retina Strong Regionally restricted euxassay_001505_03

Specimen euxassay_001505_04: embryonic day 14.5 (more )
Note: Additional information for this specimen was included in the Eurexpress data submission file.
Structure Level Pattern Image Note
TS23: vertebral axis musculature Moderate Regionally restricted euxassay_001505_04
TS23: hindlimb Moderate Regionally restricted euxassay_001505_04
TS23: hindlimb musculature Present euxassay_001505_04
TS23: forelimb Moderate Regionally restricted euxassay_001505_04
TS23: forelimb musculature Present euxassay_001505_04
TS23: trigeminal ganglion Moderate Regionally restricted euxassay_001505_04
TS23: facial ganglion Moderate Regionally restricted euxassay_001505_04
TS23: vestibulo-cochlear ganglion Moderate Regionally restricted euxassay_001505_04
TS23: brain Moderate Uniform euxassay_001505_04
TS23: neural retina Strong Regionally restricted euxassay_001505_04

Specimen euxassay_001505_05: embryonic day 14.5 (more )
Note: Additional information for this specimen was included in the Eurexpress data submission file.
Structure Level Pattern Image Note
TS23: vertebral axis musculature Moderate Regionally restricted euxassay_001505_05
TS23: hindlimb Moderate Regionally restricted euxassay_001505_05
TS23: hindlimb musculature Present euxassay_001505_05
TS23: forelimb Moderate Regionally restricted euxassay_001505_05
TS23: forelimb musculature Present euxassay_001505_05
TS23: facial ganglion Moderate Regionally restricted euxassay_001505_05
TS23: trigeminal ganglion Moderate Regionally restricted euxassay_001505_05
TS23: vestibulo-cochlear ganglion Moderate Regionally restricted euxassay_001505_05
TS23: brain Moderate Uniform euxassay_001505_05
TS23: neural retina Strong Regionally restricted euxassay_001505_05

Specimen euxassay_001505_06: embryonic day 14.5 (more )
Note: Additional information for this specimen was included in the Eurexpress data submission file.
Structure Level Pattern Image Note
TS23: vertebral axis musculature Moderate Regionally restricted euxassay_001505_06
TS23: hindlimb Moderate Regionally restricted euxassay_001505_06
TS23: hindlimb musculature Present euxassay_001505_06
TS23: forelimb Moderate Regionally restricted euxassay_001505_06
TS23: forelimb musculature Present euxassay_001505_06
TS23: glossopharyngeal ganglion Moderate Regionally restricted euxassay_001505_06
TS23: trigeminal ganglion Moderate Regionally restricted euxassay_001505_06
TS23: facial ganglion Moderate Regionally restricted euxassay_001505_06
TS23: vestibulo-cochlear ganglion Moderate Regionally restricted euxassay_001505_06
TS23: brain Moderate Uniform euxassay_001505_06

Specimen euxassay_001505_07: embryonic day 14.5 (more )
Note: Additional information for this specimen was included in the Eurexpress data submission file.
Structure Level Pattern Image Note
TS23: vertebral axis musculature Moderate Regionally restricted euxassay_001505_07
TS23: hindlimb Moderate Regionally restricted euxassay_001505_07
TS23: hindlimb musculature Present euxassay_001505_07
TS23: tail dorsal root ganglion Moderate Regionally restricted euxassay_001505_07
TS23: glossopharyngeal ganglion Moderate Regionally restricted euxassay_001505_07
TS23: trigeminal ganglion Moderate Regionally restricted euxassay_001505_07
TS23: vestibulo-cochlear ganglion Moderate Regionally restricted euxassay_001505_07
TS23: brain Moderate Uniform euxassay_001505_07
TS23: spinal cord Moderate Uniform euxassay_001505_07

Specimen euxassay_001505_08: embryonic day 14.5 (more )
Note: Additional information for this specimen was included in the Eurexpress data submission file.
Structure Level Pattern Image Note
TS23: vertebral axis musculature Moderate Regionally restricted euxassay_001505_08
TS23: hindlimb Moderate Regionally restricted euxassay_001505_08
TS23: hindlimb musculature Present euxassay_001505_08
TS23: tail dorsal root ganglion Moderate Regionally restricted euxassay_001505_08
TS23: vagus ganglion Moderate Regionally restricted euxassay_001505_08
TS23: vestibulo-cochlear ganglion Moderate Regionally restricted euxassay_001505_08
TS23: trigeminal ganglion Moderate Regionally restricted euxassay_001505_08
TS23: brain Moderate Uniform euxassay_001505_08
TS23: spinal cord Moderate Uniform euxassay_001505_08

Specimen euxassay_001505_09: embryonic day 14.5 (more )
Note: Additional information for this specimen was included in the Eurexpress data submission file.
Structure Level Pattern Image Note
TS23: hindlimb Moderate Regionally restricted euxassay_001505_09
TS23: hindlimb musculature Present euxassay_001505_09
TS23: tail dorsal root ganglion Moderate Regionally restricted euxassay_001505_09
TS23: cervical ganglion Moderate Regionally restricted euxassay_001505_09
TS23: cervico-thoracic ganglion Moderate Regionally restricted euxassay_001505_09
TS23: vestibulo-cochlear ganglion Moderate Regionally restricted euxassay_001505_09
TS23: vagus ganglion Moderate Regionally restricted euxassay_001505_09
TS23: trigeminal ganglion Moderate Regionally restricted euxassay_001505_09
TS23: turbinate bone primordium Weak Regionally restricted euxassay_001505_09
TS23: spinal cord Moderate Uniform euxassay_001505_09
TS23: brain Moderate Uniform euxassay_001505_09

Specimen euxassay_001505_10: embryonic day 14.5 (more )
Note: Additional information for this specimen was included in the Eurexpress data submission file.
Structure Level Pattern Image Note
TS23: vertebral axis musculature Moderate Regionally restricted euxassay_001505_10
TS23: hindlimb Moderate Regionally restricted euxassay_001505_10
TS23: hindlimb musculature Present euxassay_001505_10
TS23: turbinate bone primordium Weak Regionally restricted euxassay_001505_10
TS23: brain Moderate Uniform euxassay_001505_10
TS23: spinal cord Moderate Uniform euxassay_001505_10

Specimen euxassay_001505_11: embryonic day 14.5 (more )
Structure Level Pattern Image Note
TS23: vertebral axis musculature Moderate Regionally restricted euxassay_001505_11
TS23: tail mesenchyme Moderate Regionally restricted euxassay_001505_11
TS23: thoracic ganglion Moderate Regionally restricted euxassay_001505_11
TS23: turbinate bone primordium Weak Regionally restricted euxassay_001505_11
TS23: brain Moderate Uniform euxassay_001505_11
TS23: spinal cord Moderate Uniform euxassay_001505_11

Specimen euxassay_001505_12: embryonic day 14.5 (more )
Structure Level Pattern Image Note
TS23: vertebral axis musculature Moderate Regionally restricted euxassay_001505_12
TS23: tail mesenchyme Moderate Regionally restricted euxassay_001505_12
TS23: tongue Weak Regionally restricted euxassay_001505_12
TS23: thoracic ganglion Moderate Regionally restricted euxassay_001505_12
TS23: turbinate bone primordium Moderate Regionally restricted euxassay_001505_12
TS23: brain Moderate Uniform euxassay_001505_12
TS23: spinal cord Moderate Uniform euxassay_001505_12

Specimen euxassay_001505_13: embryonic day 14.5 (more )
Structure Level Pattern Image Note
TS23: vertebral axis musculature Moderate Regionally restricted euxassay_001505_13
TS23: tail mesenchyme Moderate Regionally restricted euxassay_001505_13
TS23: tail dorsal root ganglion Moderate Regionally restricted euxassay_001505_13
TS23: tongue Weak Regionally restricted euxassay_001505_13
TS23: naris Moderate Regionally restricted euxassay_001505_13
TS23: brain Moderate Uniform euxassay_001505_13
TS23: spinal cord Moderate Uniform euxassay_001505_13

Specimen euxassay_001505_14: embryonic day 14.5 (more )
Structure Level Pattern Image Note
TS23: vertebral axis musculature Moderate Regionally restricted euxassay_001505_14
TS23: tail mesenchyme Moderate Regionally restricted euxassay_001505_14
TS23: tongue Weak Regionally restricted euxassay_001505_14
TS23: naris Moderate Regionally restricted euxassay_001505_14
TS23: brain Moderate Uniform euxassay_001505_14
TS23: spinal cord Moderate Uniform euxassay_001505_14

Specimen euxassay_001505_15: embryonic day 14.5 (more )
Structure Level Pattern Image Note
TS23: vertebral axis musculature Moderate Regionally restricted euxassay_001505_15
TS23: tail mesenchyme Moderate Regionally restricted euxassay_001505_15
TS23: tail dorsal root ganglion Moderate Regionally restricted euxassay_001505_15
TS23: tongue Weak Regionally restricted euxassay_001505_15
TS23: brain Moderate Uniform euxassay_001505_15
TS23: spinal cord Moderate Uniform euxassay_001505_15

Specimen euxassay_001505_16: embryonic day 14.5 (more )
Structure Level Pattern Image Note
TS23: vertebral axis musculature Moderate Regionally restricted euxassay_001505_16
TS23: tail mesenchyme Moderate Regionally restricted euxassay_001505_16
TS23: tail dorsal root ganglion Moderate Regionally restricted euxassay_001505_16
TS23: tongue Weak Regionally restricted euxassay_001505_16
TS23: cervico-thoracic ganglion Moderate Regionally restricted euxassay_001505_16
TS23: cervical ganglion Moderate Regionally restricted euxassay_001505_16
TS23: naris Moderate Regionally restricted euxassay_001505_16
TS23: brain Moderate Uniform euxassay_001505_16

Specimen euxassay_001505_17: embryonic day 14.5 (more )
Note: Additional information for this specimen was included in the Eurexpress data submission file.
Structure Level Pattern Image Note
TS23: vertebral axis musculature Moderate Regionally restricted euxassay_001505_17
TS23: hindlimb Moderate Regionally restricted euxassay_001505_17
TS23: hindlimb musculature Present euxassay_001505_17
TS23: tail dorsal root ganglion Moderate Regionally restricted euxassay_001505_17
TS23: tongue Weak Regionally restricted euxassay_001505_17
TS23: vestibulo-cochlear ganglion Moderate Regionally restricted euxassay_001505_17
TS23: vagus ganglion Moderate Regionally restricted euxassay_001505_17
TS23: trigeminal ganglion Moderate Regionally restricted euxassay_001505_17
TS23: turbinate bone primordium Moderate Regionally restricted euxassay_001505_17
TS23: naris Moderate Regionally restricted euxassay_001505_17
TS23: brain Moderate Uniform euxassay_001505_17

Specimen euxassay_001505_18: embryonic day 14.5 (more )
Note: Additional information for this specimen was included in the Eurexpress data submission file.
Structure Level Pattern Image Note
TS23: vertebral axis musculature Moderate Regionally restricted euxassay_001505_18
TS23: hindlimb Moderate Regionally restricted euxassay_001505_18
TS23: hindlimb musculature Present euxassay_001505_18
TS23: tongue Weak Regionally restricted euxassay_001505_18
TS23: vestibulo-cochlear ganglion Moderate Regionally restricted euxassay_001505_18
TS23: glossopharyngeal ganglion Moderate Regionally restricted euxassay_001505_18
TS23: trigeminal ganglion Moderate Regionally restricted euxassay_001505_18
TS23: turbinate bone primordium Moderate Regionally restricted euxassay_001505_18
TS23: naris Moderate Regionally restricted euxassay_001505_18
TS23: brain Moderate Uniform euxassay_001505_18

Specimen euxassay_001505_19: embryonic day 14.5 (more )
Note: Additional information for this specimen was included in the Eurexpress data submission file.
Structure Level Pattern Image Note
TS23: vertebral axis musculature Moderate Regionally restricted euxassay_001505_19
TS23: hindlimb Moderate Regionally restricted euxassay_001505_19
TS23: hindlimb musculature Present euxassay_001505_19
TS23: vestibulo-cochlear ganglion Moderate Regionally restricted euxassay_001505_19
TS23: trigeminal ganglion Moderate Regionally restricted euxassay_001505_19
TS23: glossopharyngeal ganglion Moderate Regionally restricted euxassay_001505_19
TS23: turbinate bone primordium Moderate Regionally restricted euxassay_001505_19
TS23: naris Moderate Regionally restricted euxassay_001505_19
TS23: brain Moderate Uniform euxassay_001505_19

Specimen euxassay_001505_20: embryonic day 14.5 (more )
Note: Additional information for this specimen was included in the Eurexpress data submission file.
Structure Level Pattern Image Note
TS23: vertebral axis musculature Moderate Regionally restricted euxassay_001505_20
TS23: hindlimb Moderate Regionally restricted euxassay_001505_20
TS23: hindlimb musculature Present euxassay_001505_20
TS23: trigeminal ganglion Moderate Regionally restricted euxassay_001505_20
TS23: vestibulo-cochlear ganglion Moderate Regionally restricted euxassay_001505_20
TS23: turbinate bone primordium Moderate Regionally restricted euxassay_001505_20
TS23: brain Moderate Uniform euxassay_001505_20

Specimen euxassay_001505_21: embryonic day 14.5 (more )
Note: Additional information for this specimen was included in the Eurexpress data submission file.
Structure Level Pattern Image Note
TS23: vertebral axis musculature Moderate Regionally restricted euxassay_001505_21
TS23: hindlimb Moderate Regionally restricted euxassay_001505_21
TS23: hindlimb musculature Present euxassay_001505_21
TS23: trigeminal ganglion Moderate Regionally restricted euxassay_001505_21
TS23: brain Moderate Uniform euxassay_001505_21

Specimen euxassay_001505_22: embryonic day 14.5 (more )
Note: Additional information for this specimen was included in the Eurexpress data submission file.
Structure Level Pattern Image Note
TS23: vertebral axis musculature Moderate Regionally restricted euxassay_001505_22
TS23: forelimb Moderate Regionally restricted euxassay_001505_22
TS23: forelimb musculature Present euxassay_001505_22
TS23: hindlimb Moderate Regionally restricted euxassay_001505_22
TS23: hindlimb musculature Present euxassay_001505_22
TS23: trigeminal ganglion Moderate Regionally restricted euxassay_001505_22
TS23: facial ganglion Moderate Regionally restricted euxassay_001505_22
TS23: cochlea Strong Regionally restricted euxassay_001505_22
TS23: brain Moderate Uniform euxassay_001505_22

Specimen euxassay_001505_23: embryonic day 14.5 (more )
Note: Additional information for this specimen was included in the Eurexpress data submission file.
Structure Level Pattern Image Note
TS23: vertebral axis musculature Moderate Regionally restricted euxassay_001505_23
TS23: forelimb Moderate Regionally restricted euxassay_001505_23
TS23: forelimb musculature Present euxassay_001505_23
TS23: hindlimb Moderate Regionally restricted euxassay_001505_23
TS23: hindlimb musculature Present euxassay_001505_23
TS23: cochlea Strong Regionally restricted euxassay_001505_23
TS23: brain Moderate Uniform euxassay_001505_23

Specimen euxassay_001505_24: embryonic day 14.5 (more )
Note: Additional information for this specimen was included in the Eurexpress data submission file.
Structure Level Pattern Image Note
TS23: vertebral axis musculature Moderate Regionally restricted euxassay_001505_24
TS23: hindlimb Moderate Regionally restricted euxassay_001505_24
TS23: hindlimb musculature Present euxassay_001505_24
TS23: forelimb Moderate Regionally restricted euxassay_001505_24
TS23: forelimb musculature Present euxassay_001505_24
TS23: cochlea Strong Regionally restricted euxassay_001505_24
TS23: brain Moderate Uniform euxassay_001505_24
TS23: neural retina Strong Regionally restricted euxassay_001505_24


Contributing Projects:
Mouse Genome Database (MGD), Gene Expression Database (GXD), Mouse Models of Human Cancer database (MMHCdb) (formerly Mouse Tumor Biology (MTB)), Gene Ontology (GO)
Citing These Resources
Funding Information
Warranty Disclaimer, Privacy Notice, Licensing, & Copyright
Send questions and comments to User Support.
last database update
03/31/2026
MGI 6.24
The Jackson Laboratory