About   Help   FAQ
Gene Expression Data
Assay Details
Assay
Reference: J:153498 Diez-Roux G, et al., A high-resolution anatomical atlas of the transcriptome in the mouse embryo. PLoS Biol. 2011;9(1):e1000582
Assay type: RNA in situ
MGI Accession ID: MGI:4823297
Gene symbol: Atl2
Gene name: atlastin GTPase 2
Probe: MGC clone 11999
Probe preparation: Antisense labelled with digoxigenin RNA
Visualized with: Alkaline phosphatase
Assay notes: Cryosections of fresh frozen material were fixed in 4% paraformaldehyde for 20 min. before further processing. A tyramide-biotin/streptavidin amplification step was included in the in situ hybridization procedure.
Results
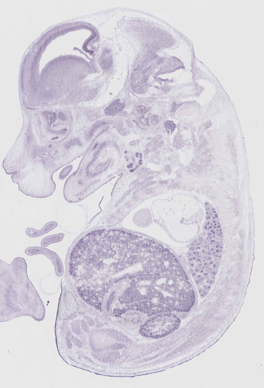
Specimen euxassay_003464_01: embryonic day 14.5 (more )
Structure Level Pattern Image Note
TS23: liver lobe Moderate Regionally restricted euxassay_003464_01
TS23: pharyngo-tympanic tube Moderate Regionally restricted euxassay_003464_01
TS23: telencephalon ventricular layer Moderate Regionally restricted euxassay_003464_01

Specimen euxassay_003464_02: embryonic day 14.5 (more )
Structure Level Pattern Image Note
TS23: liver lobe Moderate Regionally restricted euxassay_003464_02
TS23: pharyngo-tympanic tube Moderate Regionally restricted euxassay_003464_02
TS23: telencephalon ventricular layer Moderate Regionally restricted euxassay_003464_02

Specimen euxassay_003464_03: embryonic day 14.5 (more )
Structure Level Pattern Image Note
TS23: liver lobe Moderate Regionally restricted euxassay_003464_03
TS23: pharyngo-tympanic tube Moderate Regionally restricted euxassay_003464_03
TS23: telencephalon ventricular layer Moderate Regionally restricted euxassay_003464_03

Specimen euxassay_003464_04: embryonic day 14.5 (more )
Structure Level Pattern Image Note
TS23: liver lobe Moderate Regionally restricted euxassay_003464_04
TS23: pharyngo-tympanic tube Moderate Regionally restricted euxassay_003464_04
TS23: trigeminal ganglion Moderate Regionally restricted euxassay_003464_04
TS23: telencephalon ventricular layer Moderate Regionally restricted euxassay_003464_04

Specimen euxassay_003464_05: embryonic day 14.5 (more )
Structure Level Pattern Image Note
TS23: liver lobe Moderate Regionally restricted euxassay_003464_05
TS23: pharyngo-tympanic tube Weak Regionally restricted euxassay_003464_05
TS23: testis Moderate Regionally restricted euxassay_003464_05
TS23: trigeminal ganglion Moderate Regionally restricted euxassay_003464_05
TS23: facial ganglion Moderate Regionally restricted euxassay_003464_05
TS23: telencephalon ventricular layer Moderate Regionally restricted euxassay_003464_05

Specimen euxassay_003464_06: embryonic day 14.5 (more )
Structure Level Pattern Image Note
TS23: liver lobe Moderate Regionally restricted euxassay_003464_06
TS23: testis Weak Regionally restricted euxassay_003464_06
TS23: trigeminal ganglion Moderate Regionally restricted euxassay_003464_06
TS23: telencephalon ventricular layer Moderate Regionally restricted euxassay_003464_06

Specimen euxassay_003464_07: embryonic day 14.5 (more )
Structure Level Pattern Image Note
TS23: liver lobe Moderate Regionally restricted euxassay_003464_07
TS23: testis Weak Regionally restricted euxassay_003464_07
TS23: vibrissa Strong Regionally restricted euxassay_003464_07
TS23: trigeminal ganglion Moderate Regionally restricted euxassay_003464_07
TS23: telencephalon ventricular layer Moderate Regionally restricted euxassay_003464_07

Specimen euxassay_003464_08: embryonic day 14.5 (more )
Structure Level Pattern Image Note
TS23: liver lobe Moderate Regionally restricted euxassay_003464_08
TS23: testis Weak Regionally restricted euxassay_003464_08
TS23: vibrissa Strong Regionally restricted euxassay_003464_08
TS23: submandibular gland primordium Moderate Regionally restricted euxassay_003464_08
TS23: glossopharyngeal ganglion Moderate Regionally restricted euxassay_003464_08
TS23: trigeminal ganglion Moderate Regionally restricted euxassay_003464_08
TS23: pancreas Strong Regionally restricted euxassay_003464_08
TS23: telencephalon ventricular layer Moderate Regionally restricted euxassay_003464_08

Specimen euxassay_003464_09: embryonic day 14.5 (more )
Structure Level Pattern Image Note
TS23: liver lobe Moderate Regionally restricted euxassay_003464_09
TS23: vibrissa Strong Regionally restricted euxassay_003464_09
TS23: submandibular gland primordium Strong Regionally restricted euxassay_003464_09
TS23: trigeminal ganglion Moderate Regionally restricted euxassay_003464_09
TS23: vagus ganglion Moderate Regionally restricted euxassay_003464_09
TS23: pancreas Strong Regionally restricted euxassay_003464_09
TS23: telencephalon ventricular layer Moderate Regionally restricted euxassay_003464_09

Specimen euxassay_003464_10: embryonic day 14.5 (more )
Structure Level Pattern Image Note
TS23: liver lobe Moderate Regionally restricted euxassay_003464_10
TS23: vibrissa Strong Regionally restricted euxassay_003464_10
TS23: submandibular gland primordium Moderate Regionally restricted euxassay_003464_10
TS23: trigeminal ganglion Moderate Regionally restricted euxassay_003464_10
TS23: pancreas Strong Regionally restricted euxassay_003464_10
TS23: olfactory epithelium Moderate Regionally restricted euxassay_003464_10
TS23: cervical ganglion Moderate Regionally restricted euxassay_003464_10
TS23: telencephalon ventricular layer Moderate Regionally restricted euxassay_003464_10

Specimen euxassay_003464_11: embryonic day 14.5 (more )
Structure Level Pattern Image Note
TS23: liver lobe Moderate Regionally restricted euxassay_003464_11
TS23: submandibular gland primordium Moderate Regionally restricted euxassay_003464_11
TS23: pancreas Moderate Regionally restricted euxassay_003464_11
TS23: cervico-thoracic ganglion Moderate Regionally restricted euxassay_003464_11
TS23: telencephalon ventricular layer Moderate Regionally restricted euxassay_003464_11

Specimen euxassay_003464_12: embryonic day 14.5 (more )
Structure Level Pattern Image Note
TS23: liver lobe Moderate Regionally restricted euxassay_003464_12
TS23: pancreas Moderate Regionally restricted euxassay_003464_12
TS23: olfactory epithelium Moderate Regionally restricted euxassay_003464_12
TS23: cervico-thoracic ganglion Weak Regionally restricted euxassay_003464_12
TS23: thyroid gland Moderate Regionally restricted euxassay_003464_12
TS23: telencephalon ventricular layer Moderate Regionally restricted euxassay_003464_12

Specimen euxassay_003464_13: embryonic day 14.5 (more )
Structure Level Pattern Image Note
TS23: liver lobe Moderate Regionally restricted euxassay_003464_13
TS23: pancreas Moderate Regionally restricted euxassay_003464_13
TS23: rectum Moderate Regionally restricted euxassay_003464_13
TS23: urethra Moderate Regionally restricted euxassay_003464_13 Originally this result was annotated to a male-specific term, but as the specimen was not sexed, it is likely the data annotator intended to use a non-sex specific term.
TS23: thymus primordium Moderate Uniform euxassay_003464_13
TS23: upper jaw incisor Moderate Regionally restricted euxassay_003464_13
TS23: lower jaw incisor Moderate Regionally restricted euxassay_003464_13
TS23: olfactory epithelium Moderate Regionally restricted euxassay_003464_13
TS23: thoracic ganglion Moderate Regionally restricted euxassay_003464_13
TS23: thyroid gland Moderate Regionally restricted euxassay_003464_13
TS23: telencephalon ventricular layer Moderate Regionally restricted euxassay_003464_13

Specimen euxassay_003464_14: embryonic day 14.5 (more )
Structure Level Pattern Image Note
TS23: liver lobe Moderate Regionally restricted euxassay_003464_14
TS23: pancreas Moderate Regionally restricted euxassay_003464_14
TS23: rectum Moderate Regionally restricted euxassay_003464_14
TS23: urethra Moderate Regionally restricted euxassay_003464_14 Originally this result was annotated to a male-specific term, but as the specimen was not sexed, it is likely the data annotator intended to use a non-sex specific term.
TS23: thymus primordium Moderate Uniform euxassay_003464_14
TS23: upper jaw incisor Moderate Regionally restricted euxassay_003464_14
TS23: lower jaw incisor Moderate Regionally restricted euxassay_003464_14
TS23: esophagus Moderate Regionally restricted euxassay_003464_14
TS23: nasal cavity respiratory epithelium Moderate Regionally restricted euxassay_003464_14
TS23: olfactory epithelium Moderate Regionally restricted euxassay_003464_14
TS23: thoracic ganglion Moderate Regionally restricted euxassay_003464_14

Specimen euxassay_003464_15: embryonic day 14.5 (more )
Structure Level Pattern Image Note
TS23: liver lobe Moderate Regionally restricted euxassay_003464_15
TS23: pancreas Moderate Regionally restricted euxassay_003464_15
TS23: thymus primordium Moderate Uniform euxassay_003464_15
TS23: upper jaw incisor Moderate Regionally restricted euxassay_003464_15
TS23: lower jaw incisor Moderate Regionally restricted euxassay_003464_15
TS23: esophagus Moderate Regionally restricted euxassay_003464_15
TS23: nasal cavity respiratory epithelium Moderate Regionally restricted euxassay_003464_15
TS23: telencephalon ventricular layer Moderate Regionally restricted euxassay_003464_15

Specimen euxassay_003464_16: embryonic day 14.5 (more )
Structure Level Pattern Image Note
TS23: liver lobe Moderate Regionally restricted euxassay_003464_16
TS23: pancreas Moderate Regionally restricted euxassay_003464_16
TS23: thymus primordium Weak Uniform euxassay_003464_16
TS23: olfactory epithelium Moderate Regionally restricted euxassay_003464_16
TS23: telencephalon ventricular layer Moderate Regionally restricted euxassay_003464_16

Specimen euxassay_003464_17: embryonic day 14.5 (more )
Structure Level Pattern Image Note
TS23: liver lobe Moderate Regionally restricted euxassay_003464_17
TS23: thymus primordium Weak Uniform euxassay_003464_17
TS23: nasal cavity respiratory epithelium Moderate Regionally restricted euxassay_003464_17
TS23: olfactory epithelium Moderate Regionally restricted euxassay_003464_17
TS23: renal cortex Moderate Regionally restricted euxassay_003464_17
TS23: thyroid gland Moderate Regionally restricted euxassay_003464_17
TS23: telencephalon ventricular layer Moderate Regionally restricted euxassay_003464_17

Specimen euxassay_003464_18: embryonic day 14.5 (more )
Structure Level Pattern Image Note
TS23: liver lobe Moderate Regionally restricted euxassay_003464_18
TS23: submandibular gland primordium Moderate Regionally restricted euxassay_003464_18
TS23: upper jaw incisor Moderate Regionally restricted euxassay_003464_18
TS23: lower jaw incisor Moderate Regionally restricted euxassay_003464_18
TS23: nasal cavity respiratory epithelium Moderate Regionally restricted euxassay_003464_18
TS23: olfactory epithelium Moderate Regionally restricted euxassay_003464_18
TS23: cervico-thoracic ganglion Moderate Regionally restricted euxassay_003464_18
TS23: cervical ganglion Moderate Regionally restricted euxassay_003464_18
TS23: renal cortex Moderate Regionally restricted euxassay_003464_18
TS23: thyroid gland Moderate Regionally restricted euxassay_003464_18
TS23: telencephalon ventricular layer Moderate Regionally restricted euxassay_003464_18

Specimen euxassay_003464_19: embryonic day 14.5 (more )
Structure Level Pattern Image Note
TS23: liver lobe Moderate Regionally restricted euxassay_003464_19
TS23: submandibular gland primordium Moderate Regionally restricted euxassay_003464_19
TS23: vagus ganglion Moderate Regionally restricted euxassay_003464_19
TS23: trigeminal ganglion Moderate Regionally restricted euxassay_003464_19
TS23: upper jaw incisor Moderate Regionally restricted euxassay_003464_19
TS23: lower jaw incisor Moderate Regionally restricted euxassay_003464_19
TS23: olfactory epithelium Moderate Regionally restricted euxassay_003464_19
TS23: renal cortex Moderate Regionally restricted euxassay_003464_19
TS23: telencephalon ventricular layer Moderate Regionally restricted euxassay_003464_19

Specimen euxassay_003464_20: embryonic day 14.5 (more )
Structure Level Pattern Image Note
TS23: liver lobe Moderate Regionally restricted euxassay_003464_20
TS23: submandibular gland primordium Moderate Regionally restricted euxassay_003464_20
TS23: trigeminal ganglion Moderate Regionally restricted euxassay_003464_20
TS23: glossopharyngeal ganglion Moderate Regionally restricted euxassay_003464_20
TS23: olfactory epithelium Moderate Regionally restricted euxassay_003464_20
TS23: renal cortex Moderate Regionally restricted euxassay_003464_20
TS23: telencephalon ventricular layer Moderate Regionally restricted euxassay_003464_20

Specimen euxassay_003464_21: embryonic day 14.5 (more )
Structure Level Pattern Image Note
TS23: liver lobe Moderate Regionally restricted euxassay_003464_21
TS23: testis Weak Regionally restricted euxassay_003464_21
TS23: submandibular gland primordium Moderate Regionally restricted euxassay_003464_21
TS23: trigeminal ganglion Moderate Regionally restricted euxassay_003464_21
TS23: olfactory epithelium Weak Regionally restricted euxassay_003464_21
TS23: renal cortex Moderate Regionally restricted euxassay_003464_21
TS23: telencephalon ventricular layer Moderate Regionally restricted euxassay_003464_21

Specimen euxassay_003464_22: embryonic day 14.5 (more )
Structure Level Pattern Image Note
TS23: liver lobe Moderate Regionally restricted euxassay_003464_22
TS23: testis Weak Regionally restricted euxassay_003464_22
TS23: vibrissa Strong Regionally restricted euxassay_003464_22
TS23: submandibular gland primordium Moderate Regionally restricted euxassay_003464_22
TS23: trigeminal ganglion Moderate Regionally restricted euxassay_003464_22
TS23: facial ganglion Moderate Regionally restricted euxassay_003464_22
TS23: telencephalon ventricular layer Moderate Regionally restricted euxassay_003464_22

Specimen euxassay_003464_23: embryonic day 14.5 (more )
Structure Level Pattern Image Note
TS23: liver lobe Moderate Regionally restricted euxassay_003464_23
TS23: vibrissa Strong Regionally restricted euxassay_003464_23
TS23: trigeminal ganglion Moderate Regionally restricted euxassay_003464_23
TS23: facial ganglion Moderate Regionally restricted euxassay_003464_23
TS23: telencephalon ventricular layer Moderate Regionally restricted euxassay_003464_23

Specimen euxassay_003464_24: embryonic day 14.5 (more )
Structure Level Pattern Image Note
TS23: liver lobe Moderate Regionally restricted euxassay_003464_24
TS23: pharyngo-tympanic tube Weak Regionally restricted euxassay_003464_24
TS23: vibrissa Strong Regionally restricted euxassay_003464_24
TS23: trigeminal ganglion Moderate Regionally restricted euxassay_003464_24
TS23: telencephalon ventricular layer Moderate Regionally restricted euxassay_003464_24


Contributing Projects:
Mouse Genome Database (MGD), Gene Expression Database (GXD), Mouse Models of Human Cancer database (MMHCdb) (formerly Mouse Tumor Biology (MTB)), Gene Ontology (GO)
Citing These Resources
Funding Information
Warranty Disclaimer, Privacy Notice, Licensing, & Copyright
Send questions and comments to User Support.
last database update
01/06/2026
MGI 6.24
The Jackson Laboratory