About   Help   FAQ
Gene Expression Data
Assay Details
Assay
Reference: J:153498 Diez-Roux G, et al., A high-resolution anatomical atlas of the transcriptome in the mouse embryo. PLoS Biol. 2011;9(1):e1000582
Assay type: RNA in situ
MGI Accession ID: MGI:4823292
Gene symbol: Atf5
Gene name: activating transcription factor 5
Probe: T55008
Probe preparation: Antisense labelled with digoxigenin RNA
Visualized with: Alkaline phosphatase
Assay notes: Cryosections of fresh frozen material were fixed in 4% paraformaldehyde for 20 min. before further processing. A tyramide-biotin/streptavidin amplification step was included in the in situ hybridization procedure.
Results
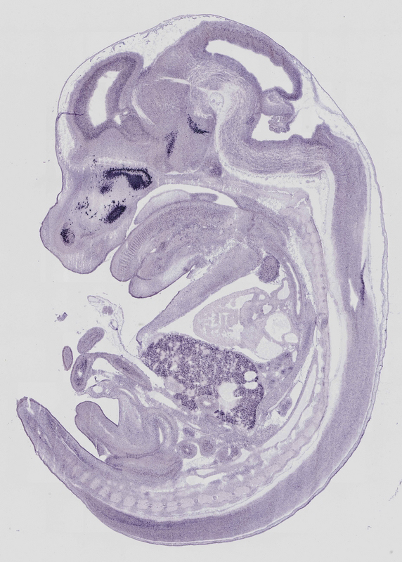
Specimen euxassay_019493_01: embryonic day 14.5 (more )
Structure Level Pattern Image Note
TS23: neural retina Strong Regionally restricted euxassay_019493_01
TS23: liver Moderate Regionally restricted euxassay_019493_01
TS23: telencephalon ventricular layer Weak Regionally restricted euxassay_019493_01

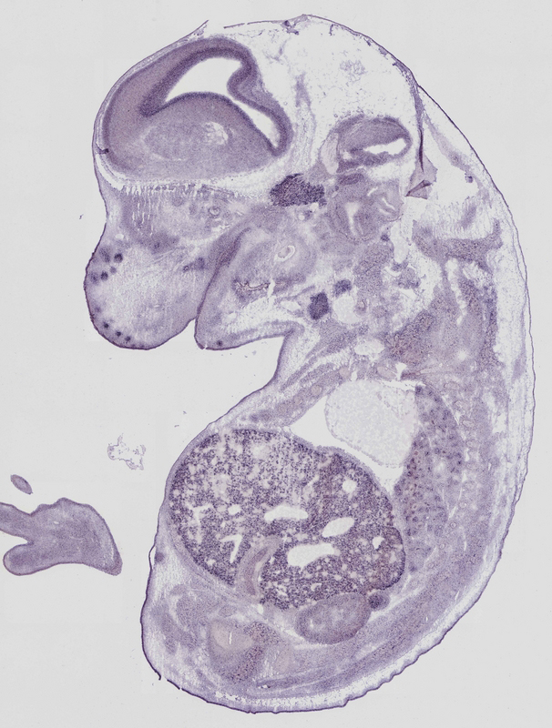
Specimen euxassay_019493_02: embryonic day 14.5 (more )
Structure Level Pattern Image Note
TS23: neural retina Strong Regionally restricted euxassay_019493_02
TS23: liver Moderate Regionally restricted euxassay_019493_02
TS23: telencephalon ventricular layer Weak Regionally restricted euxassay_019493_02

Specimen euxassay_019493_03: embryonic day 14.5 (more )
Structure Level Pattern Image Note
TS23: neural retina Moderate Regionally restricted euxassay_019493_03
TS23: trigeminal ganglion Moderate Regionally restricted euxassay_019493_03
TS23: liver Moderate Regionally restricted euxassay_019493_03
TS23: telencephalon ventricular layer Moderate Regionally restricted euxassay_019493_03

Specimen euxassay_019493_04: embryonic day 14.5 (more )
Structure Level Pattern Image Note
TS23: trigeminal ganglion Weak Regionally restricted euxassay_019493_04
TS23: liver Weak Regionally restricted euxassay_019493_04
TS23: telencephalon ventricular layer Moderate Regionally restricted euxassay_019493_04

Specimen euxassay_019493_05: embryonic day 14.5 (more )
Structure Level Pattern Image Note
TS23: trigeminal ganglion Moderate Regionally restricted euxassay_019493_05
TS23: liver Moderate Regionally restricted euxassay_019493_05
TS23: lung Weak Regionally restricted euxassay_019493_05
TS23: telencephalon ventricular layer Moderate Regionally restricted euxassay_019493_05

Specimen euxassay_019493_06: embryonic day 14.5 (more )
Structure Level Pattern Image Note
TS23: trigeminal ganglion Moderate Regionally restricted euxassay_019493_06
TS23: vibrissa Moderate Regionally restricted euxassay_019493_06
TS23: liver Moderate Regionally restricted euxassay_019493_06
TS23: axial musculature Moderate Regionally restricted euxassay_019493_06
TS23: lung Weak Regionally restricted euxassay_019493_06
TS23: telencephalon ventricular layer Moderate Regionally restricted euxassay_019493_06

Specimen euxassay_019493_07: embryonic day 14.5 (more )
Structure Level Pattern Image Note
TS23: glossopharyngeal ganglion Moderate Regionally restricted euxassay_019493_07
TS23: trigeminal ganglion Moderate Regionally restricted euxassay_019493_07
TS23: vibrissa Moderate Regionally restricted euxassay_019493_07
TS23: liver Moderate Regionally restricted euxassay_019493_07
TS23: axial musculature Weak Regionally restricted euxassay_019493_07
TS23: submandibular gland primordium Weak Regionally restricted euxassay_019493_07
TS23: lung Weak Regionally restricted euxassay_019493_07
TS23: telencephalon ventricular layer Moderate Regionally restricted euxassay_019493_07

Specimen euxassay_019493_08: embryonic day 14.5 (more )
Structure Level Pattern Image Note
TS23: trigeminal ganglion Moderate Regionally restricted euxassay_019493_08
TS23: glossopharyngeal ganglion Moderate Regionally restricted euxassay_019493_08
TS23: olfactory epithelium Strong Regionally restricted euxassay_019493_08
TS23: vibrissa Weak Regionally restricted euxassay_019493_08
TS23: liver Moderate Regionally restricted euxassay_019493_08
TS23: submandibular gland primordium Weak Regionally restricted euxassay_019493_08
TS23: lung Weak Regionally restricted euxassay_019493_08
TS23: telencephalon ventricular layer Moderate Regionally restricted euxassay_019493_08

Specimen euxassay_019493_09: embryonic day 14.5 (more )
Structure Level Pattern Image Note
TS23: trigeminal ganglion Moderate Regionally restricted euxassay_019493_09
TS23: glossopharyngeal ganglion Moderate Regionally restricted euxassay_019493_09
TS23: olfactory epithelium Strong Regionally restricted euxassay_019493_09
TS23: dorsal root ganglion Moderate Regionally restricted euxassay_019493_09
TS23: liver Moderate Regionally restricted euxassay_019493_09
TS23: submandibular gland primordium Moderate Regionally restricted euxassay_019493_09
TS23: lung Weak Regionally restricted euxassay_019493_09
TS23: telencephalon ventricular layer Moderate Regionally restricted euxassay_019493_09

Specimen euxassay_019493_10: embryonic day 14.5 (more )
Structure Level Pattern Image Note
TS23: olfactory epithelium Strong Regionally restricted euxassay_019493_10
TS23: dorsal root ganglion Moderate Regionally restricted euxassay_019493_10
TS23: liver Moderate Regionally restricted euxassay_019493_10
TS23: submandibular gland primordium Moderate Regionally restricted euxassay_019493_10
TS23: adrenal medulla Moderate Regionally restricted euxassay_019493_10
TS23: lung Weak Regionally restricted euxassay_019493_10
TS23: telencephalon ventricular layer Moderate Regionally restricted euxassay_019493_10
TS23: olfactory cortex ventricular layer Moderate Regionally restricted euxassay_019493_10
TS23: hypothalamus mantle layer Strong Regionally restricted euxassay_019493_10

Specimen euxassay_019493_11: embryonic day 14.5 (more )
Structure Level Pattern Image Note
TS23: olfactory epithelium Strong Regionally restricted euxassay_019493_11
TS23: dorsal root ganglion Moderate Regionally restricted euxassay_019493_11
TS23: liver Moderate Regionally restricted euxassay_019493_11
TS23: adrenal medulla Moderate Regionally restricted euxassay_019493_11
TS23: lung Weak Regionally restricted euxassay_019493_11
TS23: olfactory cortex ventricular layer Moderate Regionally restricted euxassay_019493_11
TS23: telencephalon ventricular layer Moderate Regionally restricted euxassay_019493_11
TS23: hypothalamus mantle layer Strong Regionally restricted euxassay_019493_11

Specimen euxassay_019493_12: embryonic day 14.5 (more )
Structure Level Pattern Image Note
TS23: olfactory epithelium Strong Regionally restricted euxassay_019493_12
TS23: vomeronasal organ Strong Regionally restricted euxassay_019493_12
TS23: dorsal root ganglion Weak Regionally restricted euxassay_019493_12
TS23: liver Weak Regionally restricted euxassay_019493_12
TS23: adrenal medulla Weak Regionally restricted euxassay_019493_12
TS23: lung Weak Regionally restricted euxassay_019493_12
TS23: telencephalon ventricular layer Weak Regionally restricted euxassay_019493_12
TS23: olfactory cortex ventricular layer Weak Regionally restricted euxassay_019493_12

Specimen euxassay_019493_13: embryonic day 14.5 (more )
Structure Level Pattern Image Note
TS23: vomeronasal organ Strong Regionally restricted euxassay_019493_13
TS23: olfactory epithelium Strong Regionally restricted euxassay_019493_13
TS23: dorsal root ganglion Moderate Regionally restricted euxassay_019493_13
TS23: liver Moderate Regionally restricted euxassay_019493_13
TS23: lung Weak Regionally restricted euxassay_019493_13

Specimen euxassay_019493_14: embryonic day 14.5 (more )
Structure Level Pattern Image Note
TS23: olfactory epithelium Strong Regionally restricted euxassay_019493_14
TS23: liver Moderate Regionally restricted euxassay_019493_14
TS23: telencephalon ventricular layer Weak Regionally restricted euxassay_019493_14

Specimen euxassay_019493_15: embryonic day 14.5 (more )
Structure Level Pattern Image Note
TS23: vomeronasal organ Strong Regionally restricted euxassay_019493_15
TS23: olfactory epithelium Strong Regionally restricted euxassay_019493_15
TS23: liver Moderate Regionally restricted euxassay_019493_15
TS23: lung Weak Regionally restricted euxassay_019493_15
TS23: telencephalon ventricular layer Moderate Regionally restricted euxassay_019493_15
TS23: hypothalamus mantle layer Strong Regionally restricted euxassay_019493_15

Specimen euxassay_019493_16: embryonic day 14.5 (more )
Structure Level Pattern Image Note
TS23: olfactory epithelium Strong Regionally restricted euxassay_019493_16
TS23: liver Weak Regionally restricted euxassay_019493_16
TS23: lung Weak Regionally restricted euxassay_019493_16
TS23: olfactory cortex ventricular layer Moderate Regionally restricted euxassay_019493_16
TS23: telencephalon ventricular layer Moderate Regionally restricted euxassay_019493_16
TS23: hypothalamus mantle layer Moderate Regionally restricted euxassay_019493_16

Specimen euxassay_019493_17: embryonic day 14.5 (more )
Structure Level Pattern Image Note
TS23: olfactory epithelium Strong Regionally restricted euxassay_019493_17
TS23: dorsal root ganglion Moderate Regionally restricted euxassay_019493_17
TS23: liver Moderate Regionally restricted euxassay_019493_17
TS23: lung Weak Regionally restricted euxassay_019493_17
TS23: telencephalon ventricular layer Moderate Regionally restricted euxassay_019493_17
TS23: olfactory cortex ventricular layer Moderate Regionally restricted euxassay_019493_17

Specimen euxassay_019493_18: embryonic day 14.5 (more )
Structure Level Pattern Image Note
TS23: trigeminal ganglion Moderate Regionally restricted euxassay_019493_18
TS23: olfactory epithelium Strong Regionally restricted euxassay_019493_18
TS23: dorsal root ganglion Moderate Regionally restricted euxassay_019493_18
TS23: liver Moderate Regionally restricted euxassay_019493_18
TS23: submandibular gland primordium Weak Regionally restricted euxassay_019493_18
TS23: adrenal medulla Weak Regionally restricted euxassay_019493_18
TS23: lung Weak Regionally restricted euxassay_019493_18
TS23: telencephalon ventricular layer Moderate Regionally restricted euxassay_019493_18

Specimen euxassay_019493_19: embryonic day 14.5 (more )
Structure Level Pattern Image Note
TS23: trigeminal ganglion Moderate Regionally restricted euxassay_019493_19
TS23: glossopharyngeal ganglion Moderate Regionally restricted euxassay_019493_19
TS23: olfactory epithelium Strong Regionally restricted euxassay_019493_19
TS23: dorsal root ganglion Moderate Regionally restricted euxassay_019493_19
TS23: liver Moderate Regionally restricted euxassay_019493_19
TS23: submandibular gland primordium Weak Regionally restricted euxassay_019493_19
TS23: adrenal medulla Moderate Regionally restricted euxassay_019493_19
TS23: lung Weak Regionally restricted euxassay_019493_19
TS23: telencephalon ventricular layer Moderate Regionally restricted euxassay_019493_19

Specimen euxassay_019493_20: embryonic day 14.5 (more )
Structure Level Pattern Image Note
TS23: trigeminal ganglion Weak Regionally restricted euxassay_019493_20
TS23: olfactory epithelium Strong Regionally restricted euxassay_019493_20
TS23: vibrissa Weak Regionally restricted euxassay_019493_20
TS23: liver Moderate Regionally restricted euxassay_019493_20
TS23: submandibular gland primordium Weak Regionally restricted euxassay_019493_20
TS23: lung Weak Regionally restricted euxassay_019493_20
TS23: telencephalon ventricular layer Moderate Regionally restricted euxassay_019493_20

Specimen euxassay_019493_21: embryonic day 14.5 (more )
Structure Level Pattern Image Note
TS23: trigeminal ganglion Moderate Regionally restricted euxassay_019493_21
TS23: vibrissa Moderate Regionally restricted euxassay_019493_21
TS23: liver Moderate Regionally restricted euxassay_019493_21
TS23: submandibular gland primordium Moderate Regionally restricted euxassay_019493_21
TS23: adrenal medulla Moderate Regionally restricted euxassay_019493_21
TS23: lung Weak Regionally restricted euxassay_019493_21
TS23: telencephalon ventricular layer Moderate Regionally restricted euxassay_019493_21

Specimen euxassay_019493_22: embryonic day 14.5 (more )
Structure Level Pattern Image Note
TS23: trigeminal ganglion Moderate Regionally restricted euxassay_019493_22
TS23: facial ganglion Moderate Regionally restricted euxassay_019493_22
TS23: vibrissa Moderate Regionally restricted euxassay_019493_22
TS23: liver Moderate Regionally restricted euxassay_019493_22
TS23: lung Weak Regionally restricted euxassay_019493_22
TS23: telencephalon ventricular layer Moderate Regionally restricted euxassay_019493_22

Specimen euxassay_019493_23: embryonic day 14.5 (more )
Structure Level Pattern Image Note
TS23: neural retina Moderate Regionally restricted euxassay_019493_23
TS23: trigeminal ganglion Moderate Regionally restricted euxassay_019493_23
TS23: facial ganglion Moderate Regionally restricted euxassay_019493_23
TS23: vibrissa Moderate Regionally restricted euxassay_019493_23
TS23: liver Moderate Regionally restricted euxassay_019493_23
TS23: axial musculature Weak Regionally restricted euxassay_019493_23
TS23: lung Weak Regionally restricted euxassay_019493_23
TS23: telencephalon ventricular layer Moderate Regionally restricted euxassay_019493_23

Specimen euxassay_019493_24: embryonic day 14.5 (more )
Structure Level Pattern Image Note
TS23: neural retina Moderate Regionally restricted euxassay_019493_24
TS23: liver Weak Regionally restricted euxassay_019493_24
TS23: axial musculature Weak Regionally restricted euxassay_019493_24
TS23: lung Weak Regionally restricted euxassay_019493_24
TS23: telencephalon ventricular layer Weak Regionally restricted euxassay_019493_24


Contributing Projects:
Mouse Genome Database (MGD), Gene Expression Database (GXD), Mouse Models of Human Cancer database (MMHCdb) (formerly Mouse Tumor Biology (MTB)), Gene Ontology (GO)
Citing These Resources
Funding Information
Warranty Disclaimer, Privacy Notice, Licensing, & Copyright
Send questions and comments to User Support.
last database update
01/06/2026
MGI 6.24
The Jackson Laboratory