About   Help   FAQ
Gene Expression Data
Assay Details
Assay
Reference: J:153498 Diez-Roux G, et al., A high-resolution anatomical atlas of the transcriptome in the mouse embryo. PLoS Biol. 2011;9(1):e1000582
Assay type: RNA in situ
MGI Accession ID: MGI:4823278
Gene symbol: Asns
Gene name: asparagine synthetase
Probe: MGC clone 5995
Probe preparation: Antisense labelled with digoxigenin RNA
Visualized with: Alkaline phosphatase
Assay notes: Cryosections of fresh frozen material were fixed in 4% paraformaldehyde for 20 min. before further processing. A tyramide-biotin/streptavidin amplification step was included in the in situ hybridization procedure.
Results
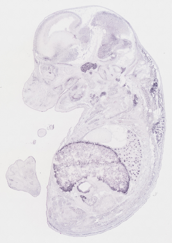
Specimen euxassay_004453_01: embryonic day 14.5 (more )
Structure Level Pattern Image Note
TS23: liver Strong Regionally restricted euxassay_004453_01
TS23: retina Strong Regionally restricted euxassay_004453_01
TS23: pectoral girdle and thoracic body wall muscle Moderate Regionally restricted euxassay_004453_01
TS23: telencephalon mantle layer Moderate Regionally restricted euxassay_004453_01

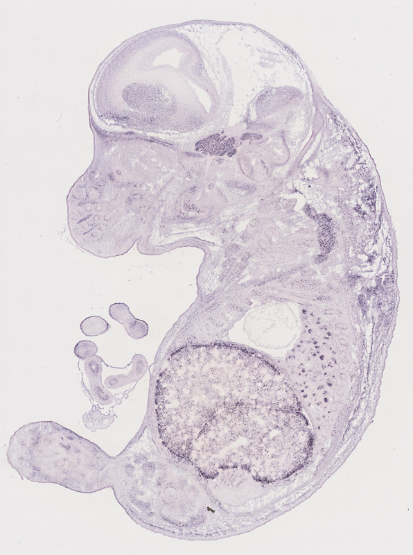
Specimen euxassay_004453_02: embryonic day 14.5 (more )
Structure Level Pattern Image Note
TS23: liver Strong Regionally restricted euxassay_004453_02
TS23: lung Strong Regionally restricted euxassay_004453_02
TS23: retina Strong Regionally restricted euxassay_004453_02
TS23: pectoral girdle and thoracic body wall muscle Moderate Regionally restricted euxassay_004453_02
TS23: telencephalon mantle layer Moderate Regionally restricted euxassay_004453_02

Specimen euxassay_004453_03: embryonic day 14.5 (more )
Structure Level Pattern Image Note
TS23: lung Strong Regionally restricted euxassay_004453_03
TS23: liver Strong Regionally restricted euxassay_004453_03
TS23: retina Strong Regionally restricted euxassay_004453_03
TS23: stomach Moderate Regionally restricted euxassay_004453_03
TS23: trigeminal ganglion Strong Regionally restricted euxassay_004453_03
TS23: pectoral girdle and thoracic body wall muscle Moderate Regionally restricted euxassay_004453_03
TS23: telencephalon mantle layer Moderate Regionally restricted euxassay_004453_03

Specimen euxassay_004453_04: embryonic day 14.5 (more )
Structure Level Pattern Image Note
TS23: liver Strong Regionally restricted euxassay_004453_04
TS23: lung Strong Regionally restricted euxassay_004453_04
TS23: stomach Moderate Regionally restricted euxassay_004453_04
TS23: trigeminal ganglion Strong Regionally restricted euxassay_004453_04
TS23: facial ganglion Strong Regionally restricted euxassay_004453_04
TS23: pectoral girdle and thoracic body wall muscle Moderate Regionally restricted euxassay_004453_04
TS23: telencephalon mantle layer Moderate Regionally restricted euxassay_004453_04

Specimen euxassay_004453_05: embryonic day 14.5 (more )
Structure Level Pattern Image Note
TS23: liver Strong Regionally restricted euxassay_004453_05
TS23: lung Strong Regionally restricted euxassay_004453_05
TS23: stomach Moderate Regionally restricted euxassay_004453_05
TS23: trigeminal ganglion Strong Regionally restricted euxassay_004453_05
TS23: facial ganglion Strong Regionally restricted euxassay_004453_05
TS23: pectoral girdle and thoracic body wall muscle Moderate Regionally restricted euxassay_004453_05
TS23: telencephalon mantle layer Moderate Regionally restricted euxassay_004453_05
TS23: medulla oblongata basal plate mantle layer Moderate Regionally restricted euxassay_004453_05
TS23: rest of cerebellum mantle layer Moderate Regionally restricted euxassay_004453_05
TS23: pons mantle layer Moderate Regionally restricted euxassay_004453_05

Specimen euxassay_004453_06: embryonic day 14.5 (more )
Structure Level Pattern Image Note
TS23: liver Strong Regionally restricted euxassay_004453_06
TS23: lung Strong Regionally restricted euxassay_004453_06
TS23: stomach Moderate Regionally restricted euxassay_004453_06
TS23: pancreas Strong Regionally restricted euxassay_004453_06
TS23: trigeminal ganglion Strong Regionally restricted euxassay_004453_06
TS23: facial ganglion Strong Regionally restricted euxassay_004453_06
TS23: pectoral girdle and thoracic body wall muscle Moderate Regionally restricted euxassay_004453_06
TS23: telencephalon mantle layer Moderate Regionally restricted euxassay_004453_06
TS23: medulla oblongata basal plate mantle layer Moderate Regionally restricted euxassay_004453_06
TS23: rest of cerebellum mantle layer Moderate Regionally restricted euxassay_004453_06
TS23: pons mantle layer Moderate Regionally restricted euxassay_004453_06

Specimen euxassay_004453_07: embryonic day 14.5 (more )
Structure Level Pattern Image Note
TS23: liver Strong Regionally restricted euxassay_004453_07
TS23: lung Strong Regionally restricted euxassay_004453_07
TS23: stomach Moderate Regionally restricted euxassay_004453_07
TS23: pancreas Strong Regionally restricted euxassay_004453_07
TS23: trigeminal ganglion Strong Regionally restricted euxassay_004453_07
TS23: facial ganglion Strong Regionally restricted euxassay_004453_07
TS23: glossopharyngeal ganglion Strong Regionally restricted euxassay_004453_07
TS23: pectoral girdle and thoracic body wall muscle Moderate Regionally restricted euxassay_004453_07
TS23: telencephalon mantle layer Moderate Regionally restricted euxassay_004453_07
TS23: diencephalon lateral wall mantle layer Moderate Regionally restricted euxassay_004453_07
TS23: midbrain mantle layer Moderate Regionally restricted euxassay_004453_07
TS23: medulla oblongata basal plate mantle layer Moderate Regionally restricted euxassay_004453_07
TS23: rest of cerebellum mantle layer Moderate Regionally restricted euxassay_004453_07
TS23: pons mantle layer Moderate Regionally restricted euxassay_004453_07

Specimen euxassay_004453_08: embryonic day 14.5 (more )
Structure Level Pattern Image Note
TS23: liver Strong Regionally restricted euxassay_004453_08
TS23: lung Strong Regionally restricted euxassay_004453_08
TS23: stomach Moderate Regionally restricted euxassay_004453_08
TS23: pancreas Strong Regionally restricted euxassay_004453_08
TS23: trigeminal ganglion Strong Regionally restricted euxassay_004453_08
TS23: glossopharyngeal ganglion Strong Regionally restricted euxassay_004453_08
TS23: vagus ganglion Strong Regionally restricted euxassay_004453_08
TS23: pectoral girdle and thoracic body wall muscle Moderate Regionally restricted euxassay_004453_08
TS23: dorsal root ganglion Moderate Regionally restricted euxassay_004453_08
TS23: diencephalon lateral wall mantle layer Moderate Regionally restricted euxassay_004453_08
TS23: telencephalon mantle layer Moderate Regionally restricted euxassay_004453_08
TS23: olfactory cortex mantle layer Moderate Regionally restricted euxassay_004453_08
TS23: olfactory cortex marginal layer Moderate Regionally restricted euxassay_004453_08
TS23: midbrain mantle layer Moderate Regionally restricted euxassay_004453_08
TS23: rest of cerebellum mantle layer Moderate Regionally restricted euxassay_004453_08
TS23: pons mantle layer Strong Regionally restricted euxassay_004453_08
TS23: medulla oblongata basal plate mantle layer Moderate Regionally restricted euxassay_004453_08

Specimen euxassay_004453_09: embryonic day 14.5 (more )
Note: Additional information for this specimen was included in the Eurexpress data submission file.
Structure Level Pattern Image Note
TS23: liver Strong Regionally restricted euxassay_004453_09
TS23: lung Strong Regionally restricted euxassay_004453_09
TS23: stomach Moderate Regionally restricted euxassay_004453_09
TS23: pancreas Strong Regionally restricted euxassay_004453_09
TS23: vagus ganglion Strong Regionally restricted euxassay_004453_09
TS23: facial ganglion Strong Regionally restricted euxassay_004453_09
TS23: trigeminal nerve Strong Regionally restricted euxassay_004453_09
TS23: dorsal root ganglion Moderate Regionally restricted euxassay_004453_09
TS23: diencephalon lateral wall mantle layer Moderate Regionally restricted euxassay_004453_09
TS23: telencephalon mantle layer Moderate Regionally restricted euxassay_004453_09
TS23: olfactory cortex mantle layer Strong Regionally restricted euxassay_004453_09
TS23: olfactory cortex marginal layer Strong Regionally restricted euxassay_004453_09
TS23: rest of cerebellum mantle layer Moderate Regionally restricted euxassay_004453_09
TS23: pons mantle layer Moderate Regionally restricted euxassay_004453_09
TS23: medulla oblongata basal plate mantle layer Strong Regionally restricted euxassay_004453_09 facial motor nucleus

Specimen euxassay_004453_10: embryonic day 14.5 (more )
Note: Additional information for this specimen was included in the Eurexpress data submission file.
Structure Level Pattern Image Note
TS23: liver Strong Regionally restricted euxassay_004453_10
TS23: lung Strong Regionally restricted euxassay_004453_10
TS23: pancreas Strong Regionally restricted euxassay_004453_10
TS23: dorsal root ganglion Moderate Regionally restricted euxassay_004453_10
TS23: diencephalon lateral wall mantle layer Moderate Regionally restricted euxassay_004453_10
TS23: telencephalon mantle layer Moderate Regionally restricted euxassay_004453_10
TS23: olfactory cortex mantle layer Strong Regionally restricted euxassay_004453_10
TS23: olfactory cortex marginal layer Strong Regionally restricted euxassay_004453_10
TS23: midbrain mantle layer Moderate Regionally restricted euxassay_004453_10
TS23: spinal cord floor plate Strong Regionally restricted euxassay_004453_10
TS23: pons mantle layer Moderate Regionally restricted euxassay_004453_10
TS23: rest of cerebellum mantle layer Moderate Regionally restricted euxassay_004453_10
TS23: medulla oblongata basal plate mantle layer Strong Regionally restricted euxassay_004453_10 facial motor nucleus

Specimen euxassay_004453_11: embryonic day 14.5 (more )
Note: Additional information for this specimen was included in the Eurexpress data submission file.
Structure Level Pattern Image Note
TS23: liver Strong Regionally restricted euxassay_004453_11
TS23: lung Strong Regionally restricted euxassay_004453_11
TS23: midgut Moderate Regionally restricted euxassay_004453_11
TS23: pancreas Strong Regionally restricted euxassay_004453_11
TS23: tail dorsal root ganglion Moderate Regionally restricted euxassay_004453_11
TS23: diencephalon lateral wall mantle layer Moderate Regionally restricted euxassay_004453_11
TS23: telencephalon mantle layer Moderate Regionally restricted euxassay_004453_11
TS23: olfactory cortex mantle layer Strong Regionally restricted euxassay_004453_11
TS23: olfactory cortex marginal layer Strong Regionally restricted euxassay_004453_11
TS23: midbrain mantle layer Moderate Regionally restricted euxassay_004453_11
TS23: spinal cord mantle layer Moderate Regionally restricted euxassay_004453_11
TS23: spinal cord floor plate Strong Regionally restricted euxassay_004453_11
TS23: pons mantle layer Moderate Regionally restricted euxassay_004453_11
TS23: rest of cerebellum mantle layer Moderate Regionally restricted euxassay_004453_11
TS23: medulla oblongata basal plate mantle layer Strong Regionally restricted euxassay_004453_11 facial motor nucleus
TS23: lower jaw incisor Strong Regionally restricted euxassay_004453_11
TS23: upper jaw incisor Strong Regionally restricted euxassay_004453_11

Specimen euxassay_004453_12: embryonic day 14.5 (more )
Structure Level Pattern Image Note
TS23: liver Strong Regionally restricted euxassay_004453_12
TS23: lung Strong Regionally restricted euxassay_004453_12
TS23: midgut Moderate Regionally restricted euxassay_004453_12
TS23: dorsal root ganglion Moderate Regionally restricted euxassay_004453_12
TS23: diencephalon lateral wall mantle layer Moderate Regionally restricted euxassay_004453_12
TS23: telencephalon mantle layer Moderate Regionally restricted euxassay_004453_12
TS23: spinal cord mantle layer Moderate Regionally restricted euxassay_004453_12
TS23: midbrain mantle layer Moderate Regionally restricted euxassay_004453_12
TS23: spinal cord floor plate Strong Regionally restricted euxassay_004453_12
TS23: pons mantle layer Moderate Regionally restricted euxassay_004453_12
TS23: rest of cerebellum mantle layer Moderate Regionally restricted euxassay_004453_12
TS23: medulla oblongata basal plate mantle layer Moderate Regionally restricted euxassay_004453_12
TS23: lower jaw incisor Strong Regionally restricted euxassay_004453_12
TS23: upper jaw incisor Strong Regionally restricted euxassay_004453_12

Specimen euxassay_004453_13: embryonic day 14.5 (more )
Note: Additional information for this specimen was included in the Eurexpress data submission file.
Structure Level Pattern Image Note
TS23: liver Strong Regionally restricted euxassay_004453_13
TS23: lung Strong Regionally restricted euxassay_004453_13
TS23: midgut Moderate Regionally restricted euxassay_004453_13
TS23: diencephalon lateral wall mantle layer Moderate Regionally restricted euxassay_004453_13
TS23: telencephalon mantle layer Moderate Regionally restricted euxassay_004453_13
TS23: spinal cord mantle layer Moderate Regionally restricted euxassay_004453_13
TS23: midbrain mantle layer Moderate Regionally restricted euxassay_004453_13
TS23: pons mantle layer Moderate Regionally restricted euxassay_004453_13
TS23: rest of cerebellum mantle layer Moderate Regionally restricted euxassay_004453_13
TS23: medulla oblongata basal plate mantle layer Strong Regionally restricted euxassay_004453_13 dorsal motor nucleus

Specimen euxassay_004453_14: embryonic day 14.5 (more )
Structure Level Pattern Image Note
TS23: liver Strong Regionally restricted euxassay_004453_14
TS23: lung Strong Regionally restricted euxassay_004453_14
TS23: midgut Moderate Regionally restricted euxassay_004453_14
TS23: tail dorsal root ganglion Moderate Regionally restricted euxassay_004453_14
TS23: dorsal root ganglion Moderate Regionally restricted euxassay_004453_14
TS23: diencephalon lateral wall mantle layer Moderate Regionally restricted euxassay_004453_14
TS23: telencephalon mantle layer Moderate Regionally restricted euxassay_004453_14
TS23: olfactory cortex mantle layer Strong Regionally restricted euxassay_004453_14
TS23: olfactory cortex marginal layer Strong Regionally restricted euxassay_004453_14
TS23: midbrain mantle layer Moderate Regionally restricted euxassay_004453_14
TS23: spinal cord mantle layer Moderate Regionally restricted euxassay_004453_14
TS23: spinal cord floor plate Strong Regionally restricted euxassay_004453_14
TS23: pons mantle layer Moderate Regionally restricted euxassay_004453_14
TS23: rest of cerebellum mantle layer Moderate Regionally restricted euxassay_004453_14
TS23: medulla oblongata basal plate mantle layer Moderate Regionally restricted euxassay_004453_14

Specimen euxassay_004453_15: embryonic day 14.5 (more )
Structure Level Pattern Image Note
TS23: liver Strong Regionally restricted euxassay_004453_15
TS23: lung Strong Regionally restricted euxassay_004453_15
TS23: midgut Weak Regionally restricted euxassay_004453_15
TS23: dorsal root ganglion Moderate Regionally restricted euxassay_004453_15
TS23: diencephalon lateral wall mantle layer Moderate Regionally restricted euxassay_004453_15
TS23: telencephalon mantle layer Moderate Regionally restricted euxassay_004453_15
TS23: olfactory cortex mantle layer Strong Regionally restricted euxassay_004453_15
TS23: olfactory cortex marginal layer Strong Regionally restricted euxassay_004453_15
TS23: midbrain mantle layer Moderate Regionally restricted euxassay_004453_15
TS23: spinal cord mantle layer Moderate Regionally restricted euxassay_004453_15
TS23: spinal cord floor plate Strong Regionally restricted euxassay_004453_15
TS23: pons mantle layer Moderate Regionally restricted euxassay_004453_15
TS23: rest of cerebellum mantle layer Moderate Regionally restricted euxassay_004453_15
TS23: medulla oblongata basal plate mantle layer Moderate Regionally restricted euxassay_004453_15
TS23: lower jaw incisor Strong Regionally restricted euxassay_004453_15
TS23: upper jaw incisor Strong Regionally restricted euxassay_004453_15

Specimen euxassay_004453_16: embryonic day 14.5 (more )
Structure Level Pattern Image Note
TS23: liver Strong Regionally restricted euxassay_004453_16
TS23: lung Strong Regionally restricted euxassay_004453_16
TS23: dorsal root ganglion Moderate Regionally restricted euxassay_004453_16
TS23: diencephalon lateral wall mantle layer Moderate Regionally restricted euxassay_004453_16
TS23: telencephalon mantle layer Moderate Regionally restricted euxassay_004453_16
TS23: olfactory cortex mantle layer Strong Regionally restricted euxassay_004453_16
TS23: olfactory cortex marginal layer Strong Regionally restricted euxassay_004453_16
TS23: midbrain mantle layer Moderate Regionally restricted euxassay_004453_16
TS23: spinal cord mantle layer Moderate Regionally restricted euxassay_004453_16
TS23: spinal cord floor plate Strong Regionally restricted euxassay_004453_16
TS23: pons mantle layer Weak Regionally restricted euxassay_004453_16
TS23: rest of cerebellum mantle layer Weak Regionally restricted euxassay_004453_16
TS23: medulla oblongata basal plate mantle layer Moderate Regionally restricted euxassay_004453_16
TS23: upper jaw incisor Strong Regionally restricted euxassay_004453_16
TS23: lower jaw incisor Strong Regionally restricted euxassay_004453_16

Specimen euxassay_004453_17: embryonic day 14.5 (more )
Note: Additional information for this specimen was included in the Eurexpress data submission file.
Structure Level Pattern Image Note
TS23: liver Strong Regionally restricted euxassay_004453_17
TS23: lung Strong Regionally restricted euxassay_004453_17
TS23: midgut Weak Regionally restricted euxassay_004453_17
TS23: trigeminal nerve Moderate Regionally restricted euxassay_004453_17
TS23: trigeminal ganglion Strong Regionally restricted euxassay_004453_17
TS23: dorsal root ganglion Moderate Regionally restricted euxassay_004453_17
TS23: diencephalon lateral wall mantle layer Moderate Regionally restricted euxassay_004453_17
TS23: telencephalon mantle layer Moderate Regionally restricted euxassay_004453_17
TS23: olfactory cortex marginal layer Strong Regionally restricted euxassay_004453_17
TS23: olfactory cortex mantle layer Strong Regionally restricted euxassay_004453_17
TS23: midbrain mantle layer Moderate Regionally restricted euxassay_004453_17
TS23: spinal cord mantle layer Moderate Regionally restricted euxassay_004453_17
TS23: rest of cerebellum mantle layer Moderate Regionally restricted euxassay_004453_17
TS23: pons mantle layer Moderate Regionally restricted euxassay_004453_17
TS23: medulla oblongata basal plate mantle layer Strong Regionally restricted euxassay_004453_17 facial motor nucleus

Specimen euxassay_004453_18: embryonic day 14.5 (more )
Note: Additional information for this specimen was included in the Eurexpress data submission file.
Structure Level Pattern Image Note
TS23: liver Strong Regionally restricted euxassay_004453_18
TS23: lung Strong Regionally restricted euxassay_004453_18
TS23: dorsal root ganglion Moderate Regionally restricted euxassay_004453_18
TS23: diencephalon lateral wall mantle layer Moderate Regionally restricted euxassay_004453_18
TS23: telencephalon mantle layer Moderate Regionally restricted euxassay_004453_18
TS23: midbrain mantle layer Moderate Regionally restricted euxassay_004453_18
TS23: spinal cord mantle layer Moderate Regionally restricted euxassay_004453_18
TS23: rest of cerebellum mantle layer Moderate Regionally restricted euxassay_004453_18
TS23: pons mantle layer Strong Regionally restricted euxassay_004453_18
TS23: medulla oblongata basal plate mantle layer Strong Regionally restricted euxassay_004453_18 facial motor nucleus

Specimen euxassay_004453_19: embryonic day 14.5 (more )
Structure Level Pattern Image Note
TS23: liver Strong Regionally restricted euxassay_004453_19
TS23: lung Strong Regionally restricted euxassay_004453_19
TS23: trigeminal ganglion Strong Regionally restricted euxassay_004453_19
TS23: vagus ganglion Strong Regionally restricted euxassay_004453_19
TS23: glossopharyngeal ganglion Strong Regionally restricted euxassay_004453_19
TS23: facial ganglion Strong Regionally restricted euxassay_004453_19
TS23: pectoral girdle and thoracic body wall muscle Moderate Regionally restricted euxassay_004453_19
TS23: dorsal root ganglion Moderate Regionally restricted euxassay_004453_19
TS23: diencephalon lateral wall mantle layer Moderate Regionally restricted euxassay_004453_19
TS23: telencephalon mantle layer Moderate Regionally restricted euxassay_004453_19
TS23: midbrain mantle layer Moderate Regionally restricted euxassay_004453_19
TS23: rest of cerebellum mantle layer Moderate Regionally restricted euxassay_004453_19
TS23: pons mantle layer Moderate Regionally restricted euxassay_004453_19
TS23: medulla oblongata basal plate mantle layer Moderate Regionally restricted euxassay_004453_19

Specimen euxassay_004453_20: embryonic day 14.5 (more )
Structure Level Pattern Image Note
TS23: liver Strong Regionally restricted euxassay_004453_20
TS23: lung Strong Regionally restricted euxassay_004453_20
TS23: trigeminal ganglion Strong Regionally restricted euxassay_004453_20
TS23: glossopharyngeal ganglion Moderate Regionally restricted euxassay_004453_20
TS23: facial ganglion Moderate Regionally restricted euxassay_004453_20
TS23: pectoral girdle and thoracic body wall muscle Moderate Regionally restricted euxassay_004453_20
TS23: dorsal root ganglion Moderate Regionally restricted euxassay_004453_20
TS23: telencephalon mantle layer Moderate Regionally restricted euxassay_004453_20
TS23: midbrain mantle layer Moderate Regionally restricted euxassay_004453_20
TS23: rest of cerebellum mantle layer Moderate Regionally restricted euxassay_004453_20
TS23: pons mantle layer Moderate Regionally restricted euxassay_004453_20
TS23: medulla oblongata basal plate mantle layer Moderate Regionally restricted euxassay_004453_20

Specimen euxassay_004453_21: embryonic day 14.5 (more )
Structure Level Pattern Image Note
TS23: liver Strong Regionally restricted euxassay_004453_21
TS23: lung Strong Regionally restricted euxassay_004453_21
TS23: trigeminal ganglion Strong Regionally restricted euxassay_004453_21
TS23: facial ganglion Strong Regionally restricted euxassay_004453_21
TS23: pectoral girdle and thoracic body wall muscle Moderate Regionally restricted euxassay_004453_21
TS23: telencephalon mantle layer Moderate Regionally restricted euxassay_004453_21
TS23: rest of cerebellum mantle layer Moderate Regionally restricted euxassay_004453_21
TS23: pons mantle layer Moderate Regionally restricted euxassay_004453_21
TS23: naso-lacrimal duct Weak Regionally restricted euxassay_004453_21

Specimen euxassay_004453_22: embryonic day 14.5 (more )
Structure Level Pattern Image Note
TS23: liver Strong Regionally restricted euxassay_004453_22
TS23: lung Strong Regionally restricted euxassay_004453_22
TS23: retina Strong Regionally restricted euxassay_004453_22
TS23: trigeminal ganglion Strong Regionally restricted euxassay_004453_22
TS23: facial ganglion Strong Regionally restricted euxassay_004453_22
TS23: pectoral girdle and thoracic body wall muscle Moderate Regionally restricted euxassay_004453_22
TS23: telencephalon mantle layer Moderate Regionally restricted euxassay_004453_22
TS23: rest of cerebellum mantle layer Moderate Regionally restricted euxassay_004453_22
TS23: pons mantle layer Moderate Regionally restricted euxassay_004453_22
TS23: naso-lacrimal duct Strong Regionally restricted euxassay_004453_22

Specimen euxassay_004453_23: embryonic day 14.5 (more )
Structure Level Pattern Image Note
TS23: liver Strong Regionally restricted euxassay_004453_23
TS23: lung Strong Regionally restricted euxassay_004453_23
TS23: retina Strong Regionally restricted euxassay_004453_23
TS23: trigeminal ganglion Strong Regionally restricted euxassay_004453_23
TS23: pectoral girdle and thoracic body wall muscle Moderate Regionally restricted euxassay_004453_23
TS23: telencephalon mantle layer Moderate Regionally restricted euxassay_004453_23

Specimen euxassay_004453_24: embryonic day 14.5 (more )
Structure Level Pattern Image Note
TS23: liver Strong Regionally restricted euxassay_004453_24
TS23: lung Strong Regionally restricted euxassay_004453_24
TS23: retina Strong Regionally restricted euxassay_004453_24
TS23: pectoral girdle and thoracic body wall muscle Moderate Regionally restricted euxassay_004453_24
TS23: telencephalon mantle layer Moderate Regionally restricted euxassay_004453_24


Contributing Projects:
Mouse Genome Database (MGD), Gene Expression Database (GXD), Mouse Models of Human Cancer database (MMHCdb) (formerly Mouse Tumor Biology (MTB)), Gene Ontology (GO)
Citing These Resources
Funding Information
Warranty Disclaimer, Privacy Notice, Licensing, & Copyright
Send questions and comments to User Support.
last database update
03/24/2026
MGI 6.24
The Jackson Laboratory