About   Help   FAQ
Gene Expression Data
Assay Details
Assay
Reference: J:153498 Diez-Roux G, et al., A high-resolution anatomical atlas of the transcriptome in the mouse embryo. PLoS Biol. 2011;9(1):e1000582
Assay type: RNA in situ
MGI Accession ID: MGI:4823275
Gene symbol: Asf1b
Gene name: anti-silencing function 1B histone chaperone
Probe: MGC clone 6473
Probe preparation: Antisense labelled with digoxigenin RNA
Visualized with: Alkaline phosphatase
Assay notes: Cryosections of fresh frozen material were fixed in 4% paraformaldehyde for 20 min. before further processing. A tyramide-biotin/streptavidin amplification step was included in the in situ hybridization procedure.
Results
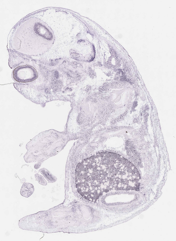
Specimen euxassay_001590_01: embryonic day 14.5 (more )
Structure Level Pattern Image Note
TS23: liver lobe Strong Regionally restricted euxassay_001590_01
TS23: telencephalon ventricular layer Strong Uniform euxassay_001590_01
TS23: orbito-sphenoid Moderate Regionally restricted euxassay_001590_01
TS23: neural retina Moderate Regionally restricted euxassay_001590_01
TS23: otic capsule Moderate Regionally restricted euxassay_001590_01

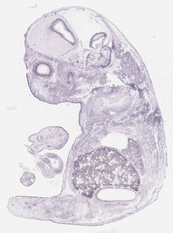
Specimen euxassay_001590_02: embryonic day 14.5 (more )
Structure Level Pattern Image Note
TS23: liver lobe Strong Regionally restricted euxassay_001590_02
TS23: telencephalon ventricular layer Strong Uniform euxassay_001590_02
TS23: orbito-sphenoid Moderate Regionally restricted euxassay_001590_02
TS23: neural retina Moderate Regionally restricted euxassay_001590_02
TS23: otic capsule Moderate Regionally restricted euxassay_001590_02

Specimen euxassay_001590_03: embryonic day 14.5 (more )
Structure Level Pattern Image Note
TS23: liver lobe Strong Regionally restricted euxassay_001590_03
TS23: telencephalon ventricular layer Strong Uniform euxassay_001590_03
TS23: orbito-sphenoid Moderate Regionally restricted euxassay_001590_03
TS23: vibrissa Moderate Regionally restricted euxassay_001590_03

Specimen euxassay_001590_04: embryonic day 14.5 (more )
Structure Level Pattern Image Note
TS23: liver lobe Strong Regionally restricted euxassay_001590_04
TS23: telencephalon ventricular layer Strong Uniform euxassay_001590_04
TS23: rest of cerebellum marginal layer Moderate Regionally restricted euxassay_001590_04
TS23: rest of cerebellum ventricular layer Moderate Regionally restricted euxassay_001590_04
TS23: submandibular gland primordium Moderate Regionally restricted euxassay_001590_04
TS23: orbito-sphenoid Moderate Regionally restricted euxassay_001590_04
TS23: vibrissa Moderate Regionally restricted euxassay_001590_04

Specimen euxassay_001590_05: embryonic day 14.5 (more )
Structure Level Pattern Image Note
TS23: liver lobe Strong Regionally restricted euxassay_001590_05
TS23: telencephalon ventricular layer Strong Uniform euxassay_001590_05
TS23: rest of cerebellum ventricular layer Moderate Regionally restricted euxassay_001590_05
TS23: rest of cerebellum marginal layer Moderate Regionally restricted euxassay_001590_05
TS23: midbrain ventricular layer Moderate Regionally restricted euxassay_001590_05
TS23: submandibular gland primordium Moderate Regionally restricted euxassay_001590_05
TS23: vibrissa Moderate Regionally restricted euxassay_001590_05

Specimen euxassay_001590_06: embryonic day 14.5 (more )
Structure Level Pattern Image Note
TS23: liver lobe Strong Regionally restricted euxassay_001590_06
TS23: telencephalon ventricular layer Strong Uniform euxassay_001590_06
TS23: rest of cerebellum ventricular layer Moderate Regionally restricted euxassay_001590_06
TS23: rest of cerebellum marginal layer Moderate Regionally restricted euxassay_001590_06
TS23: midbrain ventricular layer Moderate Regionally restricted euxassay_001590_06
TS23: submandibular gland primordium Moderate Regionally restricted euxassay_001590_06

Specimen euxassay_001590_07: embryonic day 14.5 (more )
Structure Level Pattern Image Note
TS23: liver lobe Strong Regionally restricted euxassay_001590_07
TS23: telencephalon ventricular layer Strong Uniform euxassay_001590_07
TS23: rest of cerebellum ventricular layer Moderate Regionally restricted euxassay_001590_07
TS23: rest of cerebellum marginal layer Moderate Regionally restricted euxassay_001590_07
TS23: midbrain ventricular layer Moderate Regionally restricted euxassay_001590_07

Specimen euxassay_001590_08: embryonic day 14.5 (more )
Structure Level Pattern Image Note
TS23: liver lobe Strong Regionally restricted euxassay_001590_08
TS23: telencephalon ventricular layer Strong Uniform euxassay_001590_08
TS23: rest of cerebellum marginal layer Moderate Regionally restricted euxassay_001590_08
TS23: midbrain ventricular layer Moderate Regionally restricted euxassay_001590_08
TS23: thymus primordium Strong Uniform euxassay_001590_08

Specimen euxassay_001590_09: embryonic day 14.5 (more )
Structure Level Pattern Image Note
TS23: liver lobe Strong Regionally restricted euxassay_001590_09
TS23: olfactory cortex ventricular layer Strong Uniform euxassay_001590_09
TS23: telencephalon ventricular layer Strong Uniform euxassay_001590_09
TS23: midbrain ventricular layer Moderate Regionally restricted euxassay_001590_09
TS23: thymus primordium Moderate Uniform euxassay_001590_09

Specimen euxassay_001590_10: embryonic day 14.5 (more )
Structure Level Pattern Image Note
TS23: liver lobe Strong Regionally restricted euxassay_001590_10
TS23: telencephalon ventricular layer Strong Uniform euxassay_001590_10
TS23: olfactory cortex ventricular layer Strong Uniform euxassay_001590_10
TS23: midbrain ventricular layer Moderate Regionally restricted euxassay_001590_10
TS23: thymus primordium Moderate Uniform euxassay_001590_10

Specimen euxassay_001590_11: embryonic day 14.5 (more )
Structure Level Pattern Image Note
TS23: liver lobe Strong Regionally restricted euxassay_001590_11
TS23: telencephalon ventricular layer Strong Uniform euxassay_001590_11
TS23: midbrain ventricular layer Moderate Regionally restricted euxassay_001590_11
TS23: hypothalamus ventricular layer Moderate Regionally restricted euxassay_001590_11
TS23: diencephalon lateral wall ventricular layer Moderate Regionally restricted euxassay_001590_11
TS23: thymus primordium Moderate Uniform euxassay_001590_11

Specimen euxassay_001590_12: embryonic day 14.5 (more )
Structure Level Pattern Image Note
TS23: liver lobe Strong Regionally restricted euxassay_001590_12
TS23: telencephalon ventricular layer Strong Uniform euxassay_001590_12
TS23: midbrain ventricular layer Moderate Regionally restricted euxassay_001590_12
TS23: hypothalamus ventricular layer Moderate Regionally restricted euxassay_001590_12
TS23: diencephalon lateral wall ventricular layer Moderate Regionally restricted euxassay_001590_12
TS23: thymus primordium Moderate Uniform euxassay_001590_12

Specimen euxassay_001590_13: embryonic day 14.5 (more )
Structure Level Pattern Image Note
TS23: liver lobe Strong Regionally restricted euxassay_001590_13
TS23: telencephalon ventricular layer Strong Uniform euxassay_001590_13
TS23: rest of cerebellum ventricular layer Moderate Regionally restricted euxassay_001590_13
TS23: rest of cerebellum marginal layer Moderate Regionally restricted euxassay_001590_13
TS23: midbrain ventricular layer Moderate Regionally restricted euxassay_001590_13
TS23: hypothalamus ventricular layer Moderate Regionally restricted euxassay_001590_13

Specimen euxassay_001590_14: embryonic day 14.5 (more )
Structure Level Pattern Image Note
TS23: liver lobe Strong Regionally restricted euxassay_001590_14
TS23: olfactory cortex ventricular layer Strong Uniform euxassay_001590_14
TS23: telencephalon ventricular layer Strong Uniform euxassay_001590_14
TS23: rest of cerebellum marginal layer Moderate Regionally restricted euxassay_001590_14
TS23: rest of cerebellum ventricular layer Moderate Regionally restricted euxassay_001590_14
TS23: midbrain ventricular layer Moderate Regionally restricted euxassay_001590_14
TS23: submandibular gland primordium Moderate Regionally restricted euxassay_001590_14

Specimen euxassay_001590_15: embryonic day 14.5 (more )
Structure Level Pattern Image Note
TS23: liver lobe Strong Regionally restricted euxassay_001590_15
TS23: olfactory cortex ventricular layer Strong Uniform euxassay_001590_15
TS23: telencephalon ventricular layer Strong Uniform euxassay_001590_15
TS23: rest of cerebellum ventricular layer Moderate Regionally restricted euxassay_001590_15
TS23: rest of cerebellum marginal layer Moderate Regionally restricted euxassay_001590_15
TS23: submandibular gland primordium Moderate Regionally restricted euxassay_001590_15

Specimen euxassay_001590_16: embryonic day 14.5 (more )
Structure Level Pattern Image Note
TS23: liver lobe Strong Regionally restricted euxassay_001590_16
TS23: telencephalon ventricular layer Strong Uniform euxassay_001590_16
TS23: olfactory cortex ventricular layer Strong Uniform euxassay_001590_16
TS23: rest of cerebellum ventricular layer Moderate Regionally restricted euxassay_001590_16
TS23: rest of cerebellum marginal layer Moderate Regionally restricted euxassay_001590_16
TS23: submandibular gland primordium Moderate Regionally restricted euxassay_001590_16

Specimen euxassay_001590_17: embryonic day 14.5 (more )
Structure Level Pattern Image Note
TS23: liver lobe Strong Regionally restricted euxassay_001590_17
TS23: telencephalon ventricular layer Strong Uniform euxassay_001590_17
TS23: rest of cerebellum marginal layer Moderate Regionally restricted euxassay_001590_17
TS23: rest of cerebellum ventricular layer Moderate Regionally restricted euxassay_001590_17
TS23: submandibular gland primordium Moderate Regionally restricted euxassay_001590_17
TS23: orbito-sphenoid Moderate Regionally restricted euxassay_001590_17

Specimen euxassay_001590_18: embryonic day 14.5 (more )
Structure Level Pattern Image Note
TS23: liver lobe Strong Regionally restricted euxassay_001590_18
TS23: telencephalon ventricular layer Strong Uniform euxassay_001590_18
TS23: rest of cerebellum ventricular layer Moderate Regionally restricted euxassay_001590_18
TS23: rest of cerebellum marginal layer Moderate Regionally restricted euxassay_001590_18
TS23: vibrissa Moderate Regionally restricted euxassay_001590_18

Specimen euxassay_001590_19: embryonic day 14.5 (more )
Structure Level Pattern Image Note
TS23: liver lobe Strong Regionally restricted euxassay_001590_19
TS23: telencephalon ventricular layer Strong Uniform euxassay_001590_19
TS23: rest of cerebellum marginal layer Moderate Regionally restricted euxassay_001590_19
TS23: rest of cerebellum ventricular layer Moderate Regionally restricted euxassay_001590_19
TS23: orbito-sphenoid Moderate Regionally restricted euxassay_001590_19
TS23: vibrissa Moderate Regionally restricted euxassay_001590_19
TS23: otic capsule Moderate Regionally restricted euxassay_001590_19

Specimen euxassay_001590_20: embryonic day 14.5 (more )
Structure Level Pattern Image Note
TS23: liver lobe Strong Regionally restricted euxassay_001590_20
TS23: telencephalon ventricular layer Strong Uniform euxassay_001590_20
TS23: orbito-sphenoid Moderate Regionally restricted euxassay_001590_20
TS23: otic capsule Moderate Regionally restricted euxassay_001590_20

Specimen euxassay_001590_21: embryonic day 14.5 (more )
Structure Level Pattern Image Note
TS23: liver lobe Strong Regionally restricted euxassay_001590_21
TS23: telencephalon ventricular layer Strong Uniform euxassay_001590_21
TS23: orbito-sphenoid Moderate Regionally restricted euxassay_001590_21
TS23: neural retina Moderate Regionally restricted euxassay_001590_21
TS23: otic capsule Moderate Regionally restricted euxassay_001590_21

Specimen euxassay_001590_22: embryonic day 14.5 (more )
Structure Level Pattern Image Note
TS23: liver lobe Strong Regionally restricted euxassay_001590_22
TS23: exoccipital bone Moderate Regionally restricted euxassay_001590_22
TS23: orbito-sphenoid Moderate Regionally restricted euxassay_001590_22
TS23: basisphenoid bone Moderate Regionally restricted euxassay_001590_22
TS23: neural retina Moderate Regionally restricted euxassay_001590_22
TS23: otic capsule Moderate Regionally restricted euxassay_001590_22

Specimen euxassay_001590_23: embryonic day 14.5 (more )
Structure Level Pattern Image Note
TS23: liver lobe Strong Regionally restricted euxassay_001590_23
TS23: temporal bone Moderate Regionally restricted euxassay_001590_23
TS23: exoccipital bone Moderate Regionally restricted euxassay_001590_23
TS23: neural retina Moderate Regionally restricted euxassay_001590_23


Contributing Projects:
Mouse Genome Database (MGD), Gene Expression Database (GXD), Mouse Models of Human Cancer database (MMHCdb) (formerly Mouse Tumor Biology (MTB)), Gene Ontology (GO)
Citing These Resources
Funding Information
Warranty Disclaimer, Privacy Notice, Licensing, & Copyright
Send questions and comments to User Support.
last database update
03/24/2026
MGI 6.24
The Jackson Laboratory