About   Help   FAQ
Gene Expression Data
Assay Details
Assay
Reference: J:153498 Diez-Roux G, et al., A high-resolution anatomical atlas of the transcriptome in the mouse embryo. PLoS Biol. 2011;9(1):e1000582
Assay type: RNA in situ
MGI Accession ID: MGI:4823264
Gene symbol: Art4
Gene name: ADP-ribosyltransferase 4
Probe: MGC clone 54463
Probe preparation: Antisense labelled with digoxigenin RNA
Visualized with: Alkaline phosphatase
Assay notes: Cryosections of fresh frozen material were fixed in 4% paraformaldehyde for 20 min. before further processing. A tyramide-biotin/streptavidin amplification step was included in the in situ hybridization procedure.
Results
Specimen euxassay_004604_01: embryonic day 14.5 (more )
Structure Level Pattern Image Note
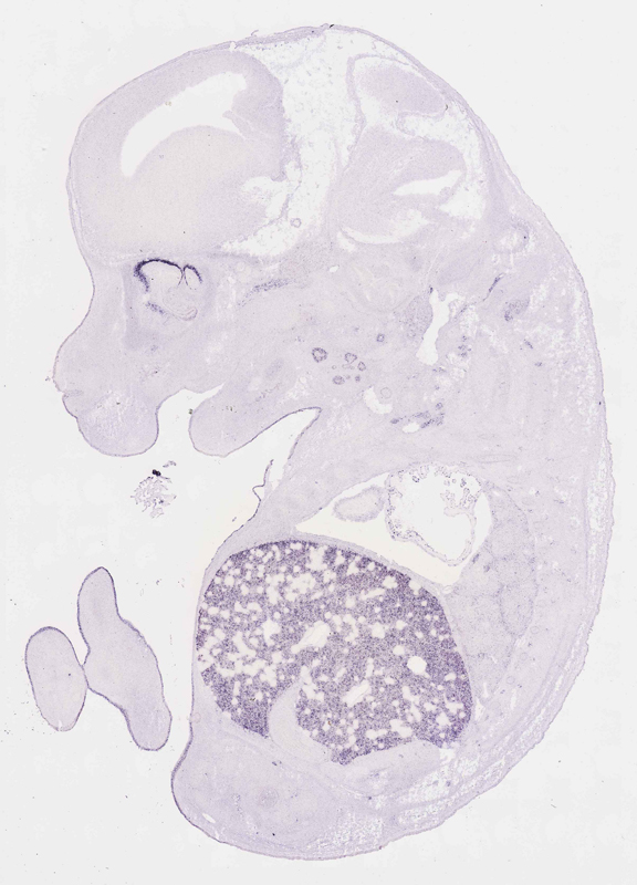
TS23: liver left lobe Strong Regionally restricted euxassay_004604_01

Specimen euxassay_004604_02: embryonic day 14.5 (more )
Structure Level Pattern Image Note
TS23: liver left lobe Strong Regionally restricted euxassay_004604_02

Specimen euxassay_004604_03: embryonic day 14.5 (more )
Structure Level Pattern Image Note
TS23: liver left lobe Strong Regionally restricted euxassay_004604_03

Specimen euxassay_004604_04: embryonic day 14.5 (more )
Structure Level Pattern Image Note
TS23: liver left lobe Strong Regionally restricted euxassay_004604_04

Specimen euxassay_004604_05: embryonic day 14.5 (more )
Structure Level Pattern Image Note
TS23: liver left lobe Strong Regionally restricted euxassay_004604_05

Specimen euxassay_004604_06: embryonic day 14.5 (more )
Structure Level Pattern Image Note
TS23: liver left lobe Strong Regionally restricted euxassay_004604_06

Specimen euxassay_004604_07: embryonic day 14.5 (more )
Structure Level Pattern Image Note
TS23: liver left lobe Strong Regionally restricted euxassay_004604_07
TS23: heart ventricle Weak Regionally restricted euxassay_004604_07

Specimen euxassay_004604_08: embryonic day 14.5 (more )
Structure Level Pattern Image Note
TS23: liver left lobe Strong Regionally restricted euxassay_004604_08
TS23: turbinate bone primordium Strong Regionally restricted euxassay_004604_08
TS23: trachea Moderate Regionally restricted euxassay_004604_08
TS23: heart ventricle Weak Regionally restricted euxassay_004604_08

Specimen euxassay_004604_09: embryonic day 14.5 (more )
Structure Level Pattern Image Note
TS23: liver left lobe Strong Regionally restricted euxassay_004604_09
TS23: turbinate bone primordium Strong Regionally restricted euxassay_004604_09
TS23: trachea Moderate Regionally restricted euxassay_004604_09
TS23: heart ventricle Weak Regionally restricted euxassay_004604_09

Specimen euxassay_004604_10: embryonic day 14.5 (more )
Structure Level Pattern Image Note
TS23: liver right lobe Strong Regionally restricted euxassay_004604_10
TS23: turbinate bone primordium Strong Regionally restricted euxassay_004604_10
TS23: aorta Moderate Regionally restricted euxassay_004604_10
TS23: heart ventricle Weak Regionally restricted euxassay_004604_10

Specimen euxassay_004604_11: embryonic day 14.5 (more )
Structure Level Pattern Image Note
TS23: liver right lobe Strong Regionally restricted euxassay_004604_11
TS23: turbinate bone primordium Strong Regionally restricted euxassay_004604_11
TS23: aorta Moderate Regionally restricted euxassay_004604_11
TS23: heart ventricle Weak Regionally restricted euxassay_004604_11

Specimen euxassay_004604_12: embryonic day 14.5 (more )
Structure Level Pattern Image Note
TS23: liver right lobe Moderate Regionally restricted euxassay_004604_12
TS23: aorta Moderate Regionally restricted euxassay_004604_12
TS23: heart ventricle Weak Regionally restricted euxassay_004604_12

Specimen euxassay_004604_13: embryonic day 14.5 (more )
Structure Level Pattern Image Note
TS23: liver right lobe Moderate Regionally restricted euxassay_004604_13
TS23: aorta Moderate Regionally restricted euxassay_004604_13
TS23: heart ventricle Weak Regionally restricted euxassay_004604_13

Specimen euxassay_004604_14: embryonic day 14.5 (more )
Structure Level Pattern Image Note
TS23: liver right lobe Strong Regionally restricted euxassay_004604_14
TS23: turbinate bone primordium Strong Regionally restricted euxassay_004604_14
TS23: trachea Moderate Regionally restricted euxassay_004604_14
TS23: heart ventricle Weak Regionally restricted euxassay_004604_14

Specimen euxassay_004604_15: embryonic day 14.5 (more )
Structure Level Pattern Image Note
TS23: liver right lobe Strong Regionally restricted euxassay_004604_15
TS23: turbinate bone primordium Strong Regionally restricted euxassay_004604_15

Specimen euxassay_004604_16: embryonic day 14.5 (more )
Structure Level Pattern Image Note
TS23: liver right lobe Strong Regionally restricted euxassay_004604_16
TS23: turbinate bone primordium Strong Regionally restricted euxassay_004604_16

Specimen euxassay_004604_17: embryonic day 14.5 (more )
Structure Level Pattern Image Note
TS23: liver right lobe Strong Regionally restricted euxassay_004604_17

Specimen euxassay_004604_18: embryonic day 14.5 (more )
Structure Level Pattern Image Note
TS23: liver right lobe Strong Regionally restricted euxassay_004604_18

Specimen euxassay_004604_19: embryonic day 14.5 (more )
Structure Level Pattern Image Note
TS23: liver right lobe Weak Regionally restricted euxassay_004604_19

Specimen euxassay_004604_20: embryonic day 14.5 (more )
Structure Level Pattern Image Note
TS23: liver right lobe Weak Regionally restricted euxassay_004604_20

Specimen euxassay_004604_21: embryonic day 14.5 (more )
Structure Level Pattern Image Note
TS23: liver right lobe Weak Regionally restricted euxassay_004604_21


Contributing Projects:
Mouse Genome Database (MGD), Gene Expression Database (GXD), Mouse Models of Human Cancer database (MMHCdb) (formerly Mouse Tumor Biology (MTB)), Gene Ontology (GO)
Citing These Resources
Funding Information
Warranty Disclaimer, Privacy Notice, Licensing, & Copyright
Send questions and comments to User Support.
last database update
12/30/2025
MGI 6.24
The Jackson Laboratory