About   Help   FAQ
Gene Expression Data
Assay Details
Assay
Reference: J:153498 Diez-Roux G, et al., A high-resolution anatomical atlas of the transcriptome in the mouse embryo. PLoS Biol. 2011;9(1):e1000582
Assay type: RNA in situ
MGI Accession ID: MGI:4823262
Gene symbol: Art1
Gene name: ADP-ribosyltransferase 1
Probe: MGC clone 70065
Probe preparation: Antisense labelled with digoxigenin RNA
Visualized with: Alkaline phosphatase
Assay notes: Cryosections of fresh frozen material were fixed in 4% paraformaldehyde for 20 min. before further processing. A tyramide-biotin/streptavidin amplification step was included in the in situ hybridization procedure.
Results
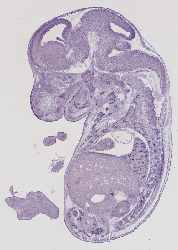
Specimen euxassay_006561_01: embryonic day 14.5 (more )
Structure Level Pattern Image Note
TS23: vertebral axis musculature Strong Regionally restricted euxassay_006561_01
TS23: diaphragm Strong Regionally restricted euxassay_006561_01
TS23: eyelid Strong Regionally restricted euxassay_006561_01
TS23: upper arm muscle Strong Regionally restricted euxassay_006561_01
TS23: forearm rest of mesenchyme Strong Regionally restricted euxassay_006561_01
TS23: pharyngo-tympanic tube Moderate Regionally restricted euxassay_006561_01

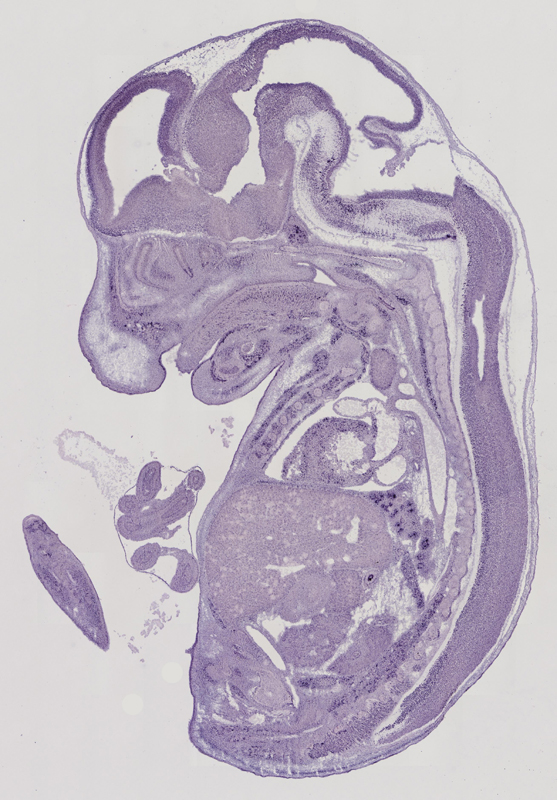
Specimen euxassay_006561_02: embryonic day 14.5 (more )
Structure Level Pattern Image Note
TS23: diaphragm Strong Regionally restricted euxassay_006561_02
TS23: vertebral axis musculature Strong Regionally restricted euxassay_006561_02
TS23: left lung Strong Regionally restricted euxassay_006561_02
TS23: eyelid Strong Regionally restricted euxassay_006561_02
TS23: eye skeletal muscle Strong Regionally restricted euxassay_006561_02
TS23: lower leg rest of mesenchyme Strong Regionally restricted euxassay_006561_02
TS23: upper leg muscle Strong Regionally restricted euxassay_006561_02
TS23: upper arm muscle Strong Regionally restricted euxassay_006561_02
TS23: hand Strong Regionally restricted euxassay_006561_02

Specimen euxassay_006561_03: embryonic day 14.5 (more )
Structure Level Pattern Image Note
TS23: diaphragm Strong Regionally restricted euxassay_006561_03
TS23: vertebral axis musculature Strong Regionally restricted euxassay_006561_03
TS23: left lung Strong Regionally restricted euxassay_006561_03
TS23: stomach proventricular region Strong Regionally restricted euxassay_006561_03
TS23: eyelid Strong Regionally restricted euxassay_006561_03
TS23: eye skeletal muscle Strong Regionally restricted euxassay_006561_03
TS23: lower leg rest of mesenchyme Strong Regionally restricted euxassay_006561_03
TS23: upper leg muscle Strong Regionally restricted euxassay_006561_03
TS23: hand Strong Regionally restricted euxassay_006561_03
TS23: upper arm muscle Strong Regionally restricted euxassay_006561_03

Specimen euxassay_006561_04: embryonic day 14.5 (more )
Structure Level Pattern Image Note
TS23: diaphragm Strong Regionally restricted euxassay_006561_04
TS23: vertebral axis musculature Strong Regionally restricted euxassay_006561_04
TS23: left lung Strong Regionally restricted euxassay_006561_04
TS23: stomach proventricular region Strong Regionally restricted euxassay_006561_04
TS23: eye skeletal muscle Strong Regionally restricted euxassay_006561_04
TS23: upper leg muscle Strong Regionally restricted euxassay_006561_04
TS23: lower leg rest of mesenchyme Strong Regionally restricted euxassay_006561_04
TS23: foot Strong Regionally restricted euxassay_006561_04

Specimen euxassay_006561_05: embryonic day 14.5 (more )
Structure Level Pattern Image Note
TS23: diaphragm Strong Regionally restricted euxassay_006561_05
TS23: vertebral axis musculature Strong Regionally restricted euxassay_006561_05
TS23: left lung Strong Regionally restricted euxassay_006561_05
TS23: stomach proventricular region Strong Regionally restricted euxassay_006561_05
TS23: foot Strong Regionally restricted euxassay_006561_05
TS23: upper leg muscle Strong Regionally restricted euxassay_006561_05
TS23: heart ventricle Strong Regionally restricted euxassay_006561_05

Specimen euxassay_006561_06: embryonic day 14.5 (more )
Structure Level Pattern Image Note
TS23: diaphragm Strong Regionally restricted euxassay_006561_06
TS23: vertebral axis musculature Strong Regionally restricted euxassay_006561_06
TS23: left lung Strong Regionally restricted euxassay_006561_06
TS23: stomach proventricular region Strong Regionally restricted euxassay_006561_06
TS23: upper leg muscle Strong Regionally restricted euxassay_006561_06
TS23: heart ventricle Strong Regionally restricted euxassay_006561_06

Specimen euxassay_006561_07: embryonic day 14.5 (more )
Structure Level Pattern Image Note
TS23: diaphragm Strong Regionally restricted euxassay_006561_07
TS23: vertebral axis musculature Strong Regionally restricted euxassay_006561_07
TS23: left lung Strong Regionally restricted euxassay_006561_07
TS23: tongue muscle Moderate Regionally restricted euxassay_006561_07
TS23: esophagus epithelium Strong Regionally restricted euxassay_006561_07
TS23: adenohypophysis Strong Regionally restricted euxassay_006561_07
TS23: heart ventricle Strong Regionally restricted euxassay_006561_07

Specimen euxassay_006561_08: embryonic day 14.5 (more )
Structure Level Pattern Image Note
TS23: diaphragm Strong Regionally restricted euxassay_006561_08
TS23: vertebral axis musculature Strong Regionally restricted euxassay_006561_08
TS23: left lung Strong Regionally restricted euxassay_006561_08
TS23: tongue muscle Moderate Regionally restricted euxassay_006561_08
TS23: esophagus epithelium Strong Regionally restricted euxassay_006561_08
TS23: adenohypophysis Strong Regionally restricted euxassay_006561_08
TS23: heart ventricle Strong Regionally restricted euxassay_006561_08

Specimen euxassay_006561_09: embryonic day 14.5 (more )
Structure Level Pattern Image Note
TS23: diaphragm Strong Regionally restricted euxassay_006561_09
TS23: vertebral axis musculature Strong Regionally restricted euxassay_006561_09
TS23: left lung Strong Regionally restricted euxassay_006561_09
TS23: tongue muscle Moderate Regionally restricted euxassay_006561_09
TS23: esophagus epithelium Strong Regionally restricted euxassay_006561_09
TS23: adenohypophysis Strong Regionally restricted euxassay_006561_09
TS23: heart ventricle Strong Regionally restricted euxassay_006561_09

Specimen euxassay_006561_10: embryonic day 14.5 (more )
Structure Level Pattern Image Note
TS23: diaphragm Strong Regionally restricted euxassay_006561_10
TS23: vertebral axis musculature Strong Regionally restricted euxassay_006561_10
TS23: right lung Strong Regionally restricted euxassay_006561_10
TS23: tongue muscle Moderate Regionally restricted euxassay_006561_10
TS23: urethra Strong Regionally restricted euxassay_006561_10 Originally this result was annotated to a male-specific term, but as the specimen was not sexed, it is likely the data annotator intended to use a non-sex specific term.
TS23: anterior naris Strong Regionally restricted euxassay_006561_10
TS23: adenohypophysis Strong Regionally restricted euxassay_006561_10
TS23: heart ventricle Strong Regionally restricted euxassay_006561_10

Specimen euxassay_006561_11: embryonic day 14.5 (more )
Structure Level Pattern Image Note
TS23: diaphragm Strong Regionally restricted euxassay_006561_11
TS23: vertebral axis musculature Strong Regionally restricted euxassay_006561_11
TS23: right lung Strong Regionally restricted euxassay_006561_11
TS23: tongue muscle Moderate Regionally restricted euxassay_006561_11
TS23: urethra Strong Regionally restricted euxassay_006561_11 Originally this result was annotated to a male-specific term, but as the specimen was not sexed, it is likely the data annotator intended to use a non-sex specific term.
TS23: bladder Strong Regionally restricted euxassay_006561_11
TS23: adenohypophysis Strong Regionally restricted euxassay_006561_11
TS23: heart ventricle Strong Regionally restricted euxassay_006561_11

Specimen euxassay_006561_12: embryonic day 14.5 (more )
Structure Level Pattern Image Note
TS23: diaphragm Strong Regionally restricted euxassay_006561_12
TS23: vertebral axis musculature Strong Regionally restricted euxassay_006561_12
TS23: right lung Strong Regionally restricted euxassay_006561_12
TS23: anterior naris Strong Regionally restricted euxassay_006561_12
TS23: heart ventricle Strong Regionally restricted euxassay_006561_12

Specimen euxassay_006561_13: embryonic day 14.5 (more )
Structure Level Pattern Image Note
TS23: diaphragm Strong Regionally restricted euxassay_006561_13
TS23: vertebral axis musculature Strong Regionally restricted euxassay_006561_13
TS23: right lung Strong Regionally restricted euxassay_006561_13

Specimen euxassay_006561_14: embryonic day 14.5 (more )
Structure Level Pattern Image Note
TS23: diaphragm Strong Regionally restricted euxassay_006561_14
TS23: vertebral axis musculature Strong Regionally restricted euxassay_006561_14
TS23: right lung Strong Regionally restricted euxassay_006561_14

Specimen euxassay_006561_15: embryonic day 14.5 (more )
Structure Level Pattern Image Note
TS23: diaphragm Strong Regionally restricted euxassay_006561_15
TS23: vertebral axis musculature Strong Regionally restricted euxassay_006561_15
TS23: right lung Strong Regionally restricted euxassay_006561_15
TS23: eye skeletal muscle Strong Regionally restricted euxassay_006561_15
TS23: upper arm muscle Strong Regionally restricted euxassay_006561_15
TS23: upper leg muscle Strong Regionally restricted euxassay_006561_15
TS23: pharyngo-tympanic tube Moderate Regionally restricted euxassay_006561_15

Specimen euxassay_006561_16: embryonic day 14.5 (more )
Structure Level Pattern Image Note
TS23: diaphragm Strong Regionally restricted euxassay_006561_16
TS23: vertebral axis musculature Strong Regionally restricted euxassay_006561_16
TS23: right lung Strong Regionally restricted euxassay_006561_16
TS23: eye skeletal muscle Strong Regionally restricted euxassay_006561_16
TS23: upper leg muscle Strong Regionally restricted euxassay_006561_16
TS23: upper arm muscle Strong Regionally restricted euxassay_006561_16
TS23: pharyngo-tympanic tube Strong Regionally restricted euxassay_006561_16

Specimen euxassay_006561_17: embryonic day 14.5 (more )
Structure Level Pattern Image Note
TS23: diaphragm Strong Regionally restricted euxassay_006561_17
TS23: vertebral axis musculature Strong Regionally restricted euxassay_006561_17
TS23: right lung Strong Regionally restricted euxassay_006561_17
TS23: eyelid Strong Regionally restricted euxassay_006561_17
TS23: eye skeletal muscle Strong Regionally restricted euxassay_006561_17
TS23: upper leg muscle Strong Regionally restricted euxassay_006561_17
TS23: foot Strong Regionally restricted euxassay_006561_17
TS23: upper arm muscle Strong Regionally restricted euxassay_006561_17
TS23: pharyngo-tympanic tube Strong Regionally restricted euxassay_006561_17


Contributing Projects:
Mouse Genome Database (MGD), Gene Expression Database (GXD), Mouse Models of Human Cancer database (MMHCdb) (formerly Mouse Tumor Biology (MTB)), Gene Ontology (GO)
Citing These Resources
Funding Information
Warranty Disclaimer, Privacy Notice, Licensing, & Copyright
Send questions and comments to User Support.
last database update
01/06/2026
MGI 6.24
The Jackson Laboratory