About   Help   FAQ
Gene Expression Data
Assay Details
Assay
Reference: J:153498 Diez-Roux G, et al., A high-resolution anatomical atlas of the transcriptome in the mouse embryo. PLoS Biol. 2011;9(1):e1000582
Assay type: RNA in situ
MGI Accession ID: MGI:4823254
Gene symbol: Arpc5l
Gene name: actin related protein 2/3 complex, subunit 5-like
Probe: MGC clone 37396
Probe preparation: Antisense labelled with digoxigenin RNA
Visualized with: Alkaline phosphatase
Assay notes: Cryosections of fresh frozen material were fixed in 4% paraformaldehyde for 20 min. before further processing. A tyramide-biotin/streptavidin amplification step was included in the in situ hybridization procedure.
Results
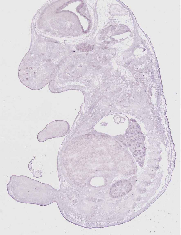
Specimen euxassay_001950_03: embryonic day 14.5 (more )
Structure Level Pattern Image Note
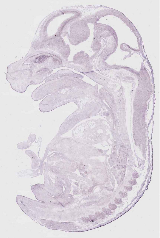
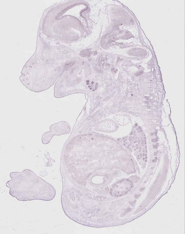
TS23: telencephalon ventricular layer Moderate Uniform euxassay_001950_03

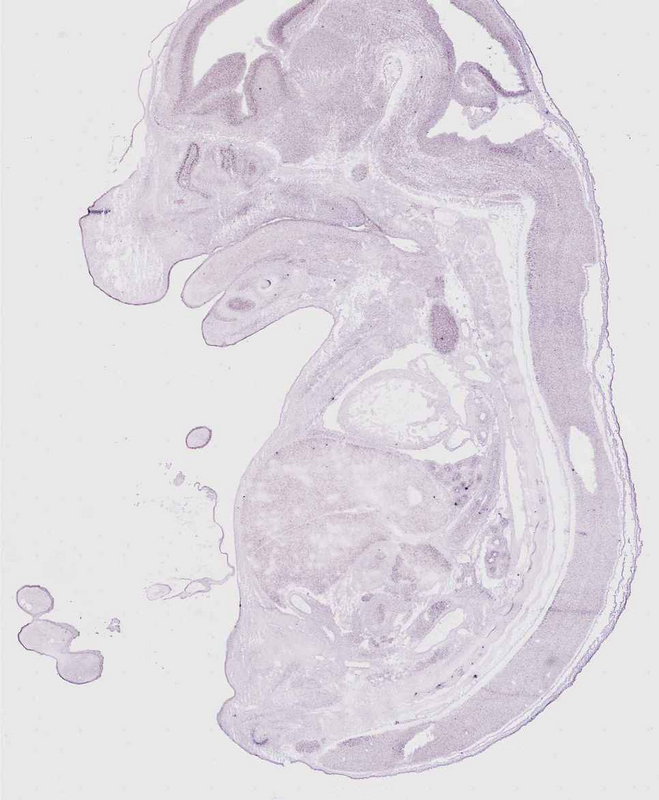
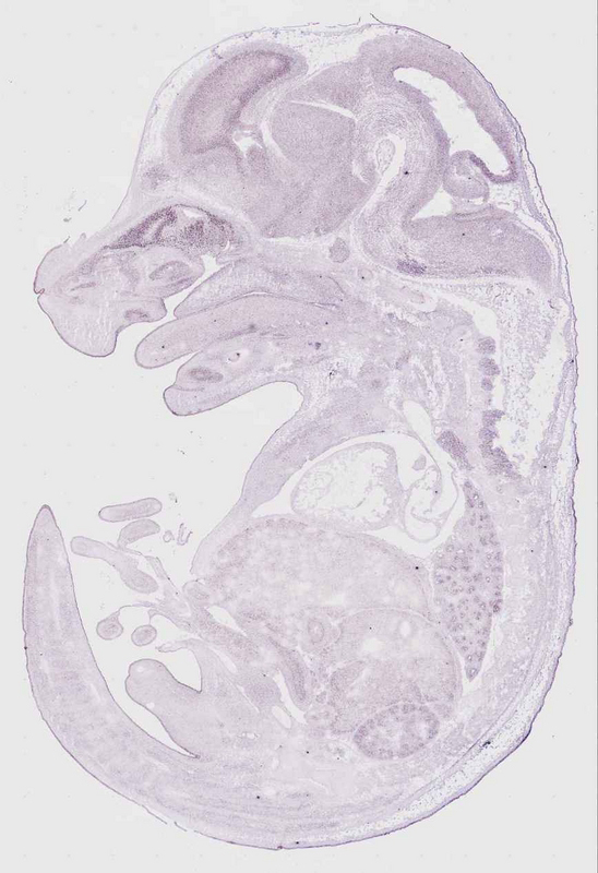
Specimen euxassay_001950_04: embryonic day 14.5 (more )
Structure Level Pattern Image Note
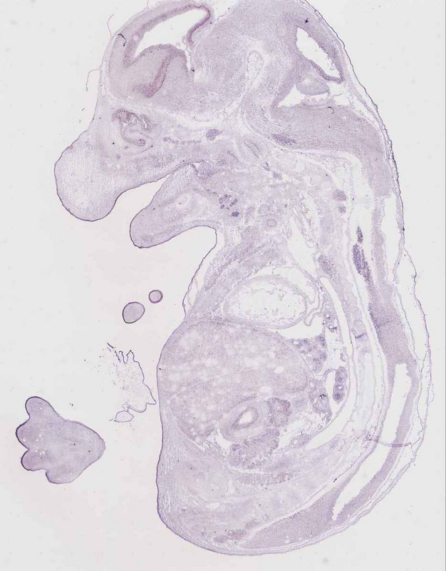
TS23: telencephalon ventricular layer Moderate Uniform euxassay_001950_04
TS23: trigeminal ganglion Moderate Regionally restricted euxassay_001950_04

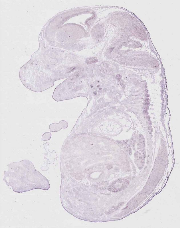
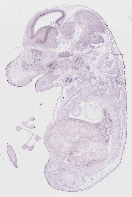
Specimen euxassay_001950_05: embryonic day 14.5 (more )
Structure Level Pattern Image Note
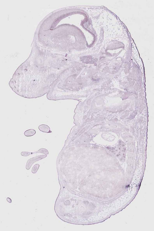
TS23: telencephalon ventricular layer Moderate Uniform euxassay_001950_05
TS23: facial ganglion Moderate Regionally restricted euxassay_001950_05
TS23: trigeminal ganglion Moderate Regionally restricted euxassay_001950_05

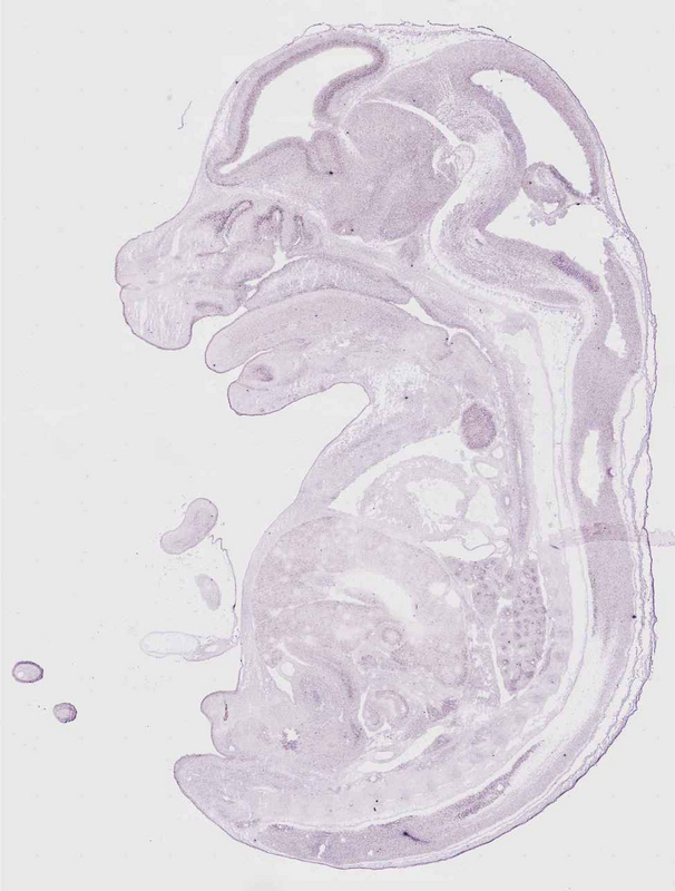
Specimen euxassay_001950_06: embryonic day 14.5 (more )
Structure Level Pattern Image Note
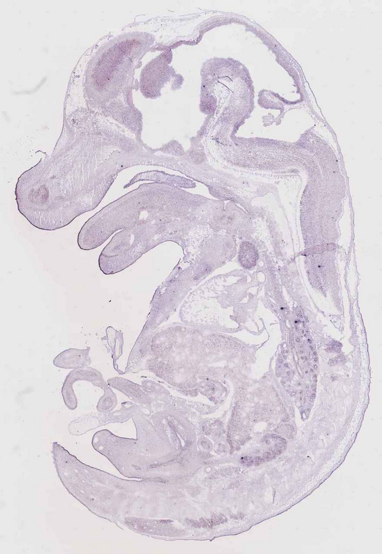
TS23: telencephalon ventricular layer Moderate Uniform euxassay_001950_06
TS23: trigeminal ganglion Moderate Regionally restricted euxassay_001950_06
TS23: vibrissa Moderate Regionally restricted euxassay_001950_06
TS23: dorsal root ganglion Moderate Regionally restricted euxassay_001950_06

Specimen euxassay_001950_07: embryonic day 14.5 (more )
Structure Level Pattern Image Note
TS23: telencephalon ventricular layer Moderate Uniform euxassay_001950_07
TS23: glossopharyngeal ganglion Moderate Regionally restricted euxassay_001950_07
TS23: trigeminal ganglion Moderate Regionally restricted euxassay_001950_07
TS23: vibrissa Moderate Regionally restricted euxassay_001950_07
TS23: dorsal root ganglion Moderate Regionally restricted euxassay_001950_07
TS23: submandibular gland primordium Strong Regionally restricted euxassay_001950_07

Specimen euxassay_001950_08: embryonic day 14.5 (more )
Note: Additional information for this specimen was included in the Eurexpress data submission file.
Structure Level Pattern Image Note
TS23: telencephalon ventricular layer Moderate Uniform euxassay_001950_08
TS23: trigeminal ganglion Moderate Regionally restricted euxassay_001950_08
TS23: vagus ganglion Moderate Regionally restricted euxassay_001950_08
TS23: vibrissa Moderate Regionally restricted euxassay_001950_08
TS23: dorsal root ganglion Moderate Regionally restricted euxassay_001950_08
TS23: submandibular gland primordium Strong Regionally restricted euxassay_001950_08
TS23: metencephalon basal plate Moderate Regionally restricted euxassay_001950_08 trigeminal motor nucleus

Specimen euxassay_001950_09: embryonic day 14.5 (more )
Note: Additional information for this specimen was included in the Eurexpress data submission file.
Structure Level Pattern Image Note
TS23: telencephalon ventricular layer Moderate Uniform euxassay_001950_09
TS23: trigeminal ganglion Moderate Regionally restricted euxassay_001950_09
TS23: submandibular gland primordium Strong Regionally restricted euxassay_001950_09
TS23: ventral grey horn Weak Regionally restricted euxassay_001950_09
TS23: metencephalon basal plate Moderate Regionally restricted euxassay_001950_09 facial motor nucleus
TS23: olfactory epithelium Moderate Regionally restricted euxassay_001950_09

Specimen euxassay_001950_10: embryonic day 14.5 (more )
Structure Level Pattern Image Note
TS23: telencephalon ventricular layer Moderate Uniform euxassay_001950_10
TS23: thymus primordium Moderate Uniform euxassay_001950_10
TS23: olfactory epithelium Moderate Regionally restricted euxassay_001950_10
TS23: lower jaw incisor Moderate Regionally restricted euxassay_001950_10

Specimen euxassay_001950_11: embryonic day 14.5 (more )
Structure Level Pattern Image Note
TS23: olfactory cortex ventricular layer Moderate Uniform euxassay_001950_11
TS23: telencephalon ventricular layer Moderate Uniform euxassay_001950_11
TS23: ventral grey horn Weak Regionally restricted euxassay_001950_11
TS23: thymus primordium Moderate Uniform euxassay_001950_11
TS23: olfactory epithelium Moderate Regionally restricted euxassay_001950_11
TS23: upper jaw incisor Moderate Regionally restricted euxassay_001950_11
TS23: lower jaw incisor Moderate Regionally restricted euxassay_001950_11

Specimen euxassay_001950_12: embryonic day 14.5 (more )
Structure Level Pattern Image Note
TS23: telencephalon ventricular layer Moderate Uniform euxassay_001950_12
TS23: dorsal root ganglion Moderate Regionally restricted euxassay_001950_12
TS23: olfactory epithelium Moderate Regionally restricted euxassay_001950_12
TS23: upper jaw incisor Moderate Regionally restricted euxassay_001950_12

Specimen euxassay_001950_13: embryonic day 14.5 (more )
Structure Level Pattern Image Note
TS23: telencephalon ventricular layer Moderate Uniform euxassay_001950_13
TS23: dorsal root ganglion Moderate Regionally restricted euxassay_001950_13
TS23: ventral grey horn Weak Regionally restricted euxassay_001950_13
TS23: thymus primordium Moderate Uniform euxassay_001950_13

Specimen euxassay_001950_14: embryonic day 14.5 (more )
Structure Level Pattern Image Note
TS23: dorsal root ganglion Moderate Regionally restricted euxassay_001950_14
TS23: ventral grey horn Moderate Regionally restricted euxassay_001950_14
TS23: thymus primordium Moderate Uniform euxassay_001950_14
TS23: olfactory epithelium Moderate Regionally restricted euxassay_001950_14
TS23: lower jaw incisor Moderate Regionally restricted euxassay_001950_14

Specimen euxassay_001950_15: embryonic day 14.5 (more )
Note: Additional information for this specimen was included in the Eurexpress data submission file.
Structure Level Pattern Image Note
TS23: telencephalon ventricular layer Moderate Uniform euxassay_001950_15
TS23: dorsal root ganglion Moderate Regionally restricted euxassay_001950_15
TS23: metencephalon basal plate Moderate Regionally restricted euxassay_001950_15 facial motor nucleus
TS23: olfactory epithelium Moderate Regionally restricted euxassay_001950_15
TS23: lower jaw incisor Moderate Regionally restricted euxassay_001950_15
TS23: upper jaw incisor Moderate Regionally restricted euxassay_001950_15

Specimen euxassay_001950_16: embryonic day 14.5 (more )
Note: Additional information for this specimen was included in the Eurexpress data submission file.
Structure Level Pattern Image Note
TS23: telencephalon ventricular layer Moderate Uniform euxassay_001950_16
TS23: olfactory cortex ventricular layer Moderate Uniform euxassay_001950_16
TS23: vagus ganglion Moderate Regionally restricted euxassay_001950_16
TS23: submandibular gland primordium Strong Regionally restricted euxassay_001950_16
TS23: metencephalon basal plate Moderate Regionally restricted euxassay_001950_16 facial motor nucleus
TS23: olfactory epithelium Moderate Regionally restricted euxassay_001950_16
TS23: lower jaw incisor Moderate Regionally restricted euxassay_001950_16
TS23: upper jaw incisor Moderate Regionally restricted euxassay_001950_16

Specimen euxassay_001950_17: embryonic day 14.5 (more )
Note: Additional information for this specimen was included in the Eurexpress data submission file.
Structure Level Pattern Image Note
TS23: telencephalon ventricular layer Moderate Uniform euxassay_001950_17
TS23: olfactory cortex ventricular layer Moderate Uniform euxassay_001950_17
TS23: glossopharyngeal ganglion Moderate Regionally restricted euxassay_001950_17
TS23: trigeminal ganglion Moderate Regionally restricted euxassay_001950_17
TS23: submandibular gland primordium Strong Regionally restricted euxassay_001950_17
TS23: metencephalon basal plate Moderate Regionally restricted euxassay_001950_17 trigeminal motor nucleus
TS23: olfactory epithelium Moderate Regionally restricted euxassay_001950_17

Specimen euxassay_001950_18: embryonic day 14.5 (more )
Structure Level Pattern Image Note
TS23: telencephalon ventricular layer Moderate Uniform euxassay_001950_18
TS23: trigeminal ganglion Moderate Regionally restricted euxassay_001950_18
TS23: facial ganglion Moderate Regionally restricted euxassay_001950_18
TS23: glossopharyngeal ganglion Moderate Regionally restricted euxassay_001950_18
TS23: submandibular gland primordium Strong Regionally restricted euxassay_001950_18
TS23: olfactory epithelium Moderate Regionally restricted euxassay_001950_18

Specimen euxassay_001950_19: embryonic day 14.5 (more )
Structure Level Pattern Image Note
TS23: telencephalon ventricular layer Moderate Uniform euxassay_001950_19
TS23: trigeminal ganglion Moderate Regionally restricted euxassay_001950_19
TS23: vibrissa Moderate Regionally restricted euxassay_001950_19

Specimen euxassay_001950_20: embryonic day 14.5 (more )
Structure Level Pattern Image Note
TS23: telencephalon ventricular layer Moderate Uniform euxassay_001950_20
TS23: trigeminal ganglion Moderate Regionally restricted euxassay_001950_20
TS23: facial ganglion Moderate Regionally restricted euxassay_001950_20
TS23: vibrissa Moderate Regionally restricted euxassay_001950_20

Specimen euxassay_001950_21: embryonic day 14.5 (more )
Structure Level Pattern Image Note
TS23: telencephalon ventricular layer Moderate Uniform euxassay_001950_21
TS23: trigeminal ganglion Moderate Regionally restricted euxassay_001950_21
TS23: vibrissa Moderate Regionally restricted euxassay_001950_21

Specimen euxassay_001950_22: embryonic day 14.5 (more )
Structure Level Pattern Image Note
TS23: telencephalon ventricular layer Moderate Uniform euxassay_001950_22
TS23: trigeminal ganglion Moderate Regionally restricted euxassay_001950_22

Specimen euxassay_001950_23: embryonic day 14.5 (more )
Structure Level Pattern Image Note
TS23: telencephalon ventricular layer Moderate Uniform euxassay_001950_23


Contributing Projects:
Mouse Genome Database (MGD), Gene Expression Database (GXD), Mouse Models of Human Cancer database (MMHCdb) (formerly Mouse Tumor Biology (MTB)), Gene Ontology (GO)
Citing These Resources
Funding Information
Warranty Disclaimer, Privacy Notice, Licensing, & Copyright
Send questions and comments to User Support.
last database update
12/30/2025
MGI 6.24
The Jackson Laboratory