About   Help   FAQ
Gene Expression Data
Assay Details
Assay
Reference: J:153498 Diez-Roux G, et al., A high-resolution anatomical atlas of the transcriptome in the mouse embryo. PLoS Biol. 2011;9(1):e1000582
Assay type: RNA in situ
MGI Accession ID: MGI:4823242
Gene symbol: Arl5a
Gene name: ADP-ribosylation factor-like 5A
Probe: IMAGE clone 934823
Probe preparation: Antisense labelled with digoxigenin RNA
Visualized with: Alkaline phosphatase
Assay notes: Cryosections of fresh frozen material were fixed in 4% paraformaldehyde for 20 min. before further processing. A tyramide-biotin/streptavidin amplification step was included in the in situ hybridization procedure.
Results
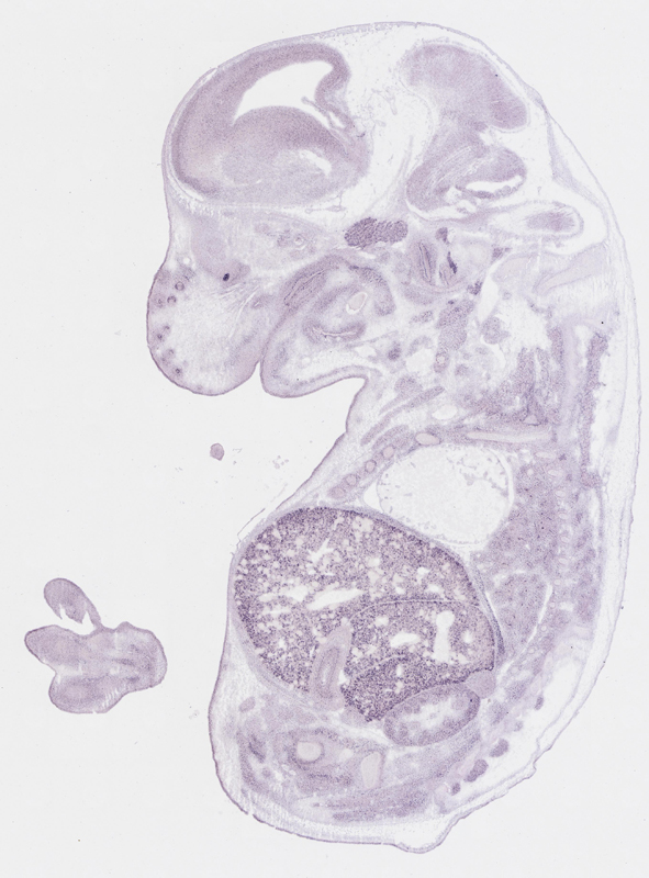
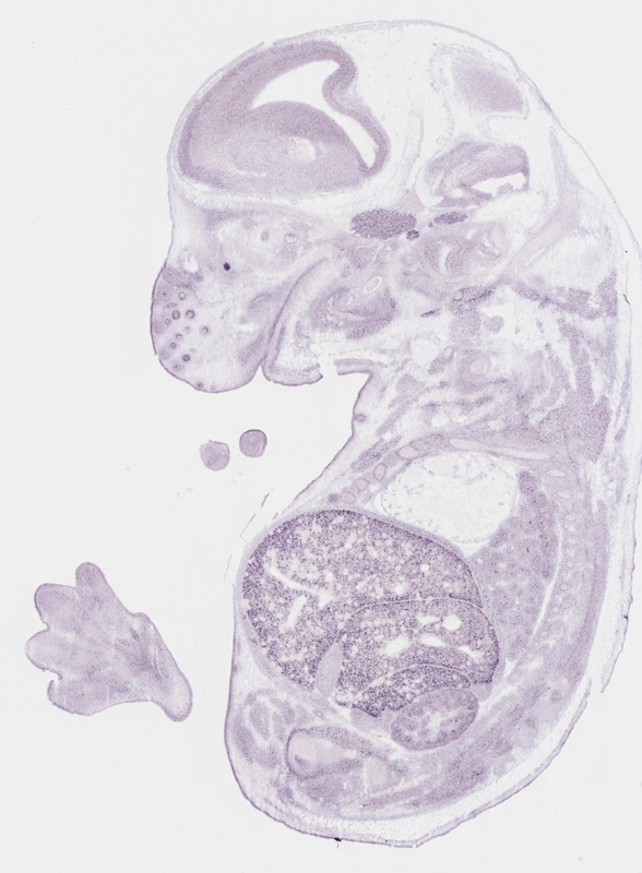
Specimen euxassay_000977_01: embryonic day 14.5 (more )
Structure Level Pattern Image Note
TS23: liver lobe Moderate Uniform euxassay_000977_01
TS23: trigeminal ganglion Weak Uniform euxassay_000977_01

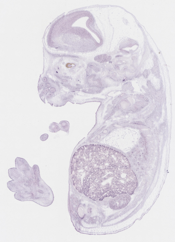
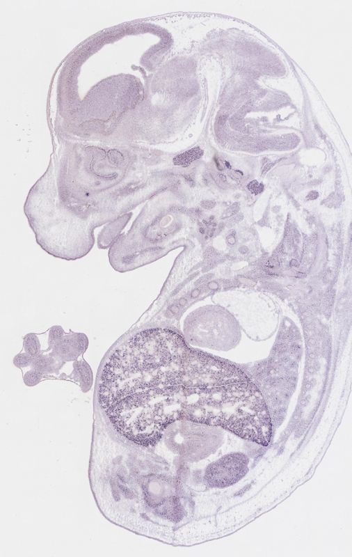
Specimen euxassay_000977_02: embryonic day 14.5 (more )
Structure Level Pattern Image Note
TS23: liver lobe Moderate Uniform euxassay_000977_02
TS23: trigeminal ganglion Weak Uniform euxassay_000977_02
TS23: facial ganglion Weak Uniform euxassay_000977_02

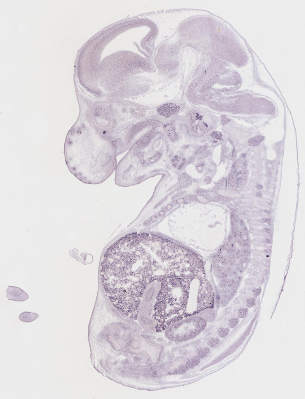
Specimen euxassay_000977_03: embryonic day 14.5 (more )
Structure Level Pattern Image Note
TS23: liver lobe Moderate Uniform euxassay_000977_03
TS23: trigeminal ganglion Weak Uniform euxassay_000977_03
TS23: facial ganglion Weak Uniform euxassay_000977_03

Specimen euxassay_000977_04: embryonic day 14.5 (more )
Structure Level Pattern Image Note
TS23: liver lobe Moderate Uniform euxassay_000977_04
TS23: trigeminal ganglion Weak Uniform euxassay_000977_04
TS23: facial ganglion Weak Uniform euxassay_000977_04
TS23: cochlear ganglion Weak Uniform euxassay_000977_04
TS23: vestibular ganglion Weak Uniform euxassay_000977_04
TS23: inferior glossopharyngeal ganglion Weak Uniform euxassay_000977_04

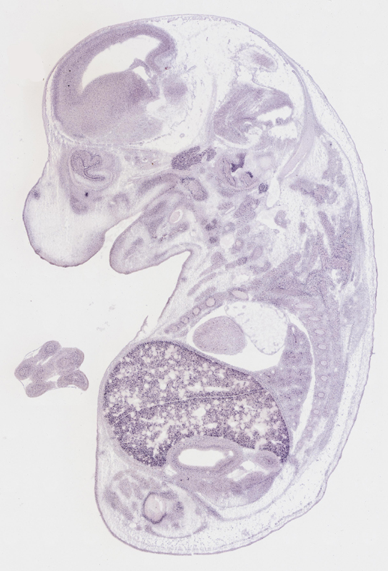
Specimen euxassay_000977_05: embryonic day 14.5 (more )
Structure Level Pattern Image Note
TS23: liver lobe Moderate Uniform euxassay_000977_05
TS23: trigeminal ganglion Moderate Uniform euxassay_000977_05
TS23: cochlear ganglion Moderate Uniform euxassay_000977_05
TS23: vestibular ganglion Moderate Uniform euxassay_000977_05
TS23: inferior glossopharyngeal ganglion Moderate Uniform euxassay_000977_05
TS23: superior glossopharyngeal ganglion Weak Uniform euxassay_000977_05

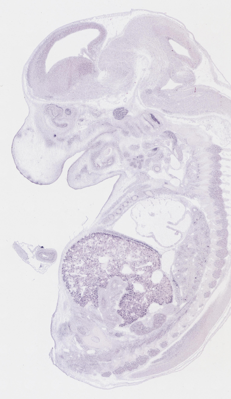
Specimen euxassay_000977_06: embryonic day 14.5 (more )
Note: Additional information for this specimen was included in the Eurexpress data submission file.
Structure Level Pattern Image Note
TS23: liver lobe Moderate Uniform euxassay_000977_06
TS23: superior vagus ganglion Weak Uniform euxassay_000977_06
TS23: trigeminal ganglion Weak Uniform euxassay_000977_06
TS23: medulla oblongata basal plate Weak Uniform euxassay_000977_06 facial motor nucleus

Specimen euxassay_000977_07: embryonic day 14.5 (more )
Note: Additional information for this specimen was included in the Eurexpress data submission file.
Structure Level Pattern Image Note
TS23: liver lobe Moderate Uniform euxassay_000977_07
TS23: medulla oblongata basal plate Weak Uniform euxassay_000977_07 facial motor nucleus

Specimen euxassay_000977_08: embryonic day 14.5 (more )
Structure Level Pattern Image Note
TS23: liver lobe Moderate Uniform euxassay_000977_08

Specimen euxassay_000977_09: embryonic day 14.5 (more )
Structure Level Pattern Image Note
TS23: liver lobe Moderate Uniform euxassay_000977_09

Specimen euxassay_000977_10: embryonic day 14.5 (more )
Structure Level Pattern Image Note
TS23: liver lobe Moderate Uniform euxassay_000977_10

Specimen euxassay_000977_12: embryonic day 14.5 (more )
Structure Level Pattern Image Note
TS23: liver lobe Moderate Uniform euxassay_000977_12

Specimen euxassay_000977_13: embryonic day 14.5 (more )
Note: Additional information for this specimen was included in the Eurexpress data submission file.
Structure Level Pattern Image Note
TS23: liver lobe Moderate Uniform euxassay_000977_13
TS23: medulla oblongata basal plate Weak Uniform euxassay_000977_13 facial motor nucleus

Specimen euxassay_000977_14: embryonic day 14.5 (more )
Note: Additional information for this specimen was included in the Eurexpress data submission file.
Structure Level Pattern Image Note
TS23: liver lobe Moderate Uniform euxassay_000977_14
TS23: medulla oblongata basal plate Weak Uniform euxassay_000977_14 facial motor nucleus

Specimen euxassay_000977_15: embryonic day 14.5 (more )
Structure Level Pattern Image Note
TS23: liver lobe Moderate Uniform euxassay_000977_15

Specimen euxassay_000977_16: embryonic day 14.5 (more )
Structure Level Pattern Image Note
TS23: liver lobe Moderate Uniform euxassay_000977_16
TS23: vestibular ganglion Moderate Uniform euxassay_000977_16
TS23: cochlear ganglion Moderate Uniform euxassay_000977_16
TS23: inferior glossopharyngeal ganglion Weak Uniform euxassay_000977_16
TS23: superior glossopharyngeal ganglion Weak Uniform euxassay_000977_16
TS23: trigeminal ganglion Weak Uniform euxassay_000977_16

Specimen euxassay_000977_17: embryonic day 14.5 (more )
Structure Level Pattern Image Note
TS23: liver lobe Moderate Uniform euxassay_000977_17
TS23: cochlear ganglion Weak Uniform euxassay_000977_17
TS23: vestibular ganglion Weak Uniform euxassay_000977_17
TS23: trigeminal ganglion Weak Uniform euxassay_000977_17
TS23: superior glossopharyngeal ganglion Weak Uniform euxassay_000977_17
TS23: inferior glossopharyngeal ganglion Weak Uniform euxassay_000977_17

Specimen euxassay_000977_18: embryonic day 14.5 (more )
Structure Level Pattern Image Note
TS23: liver lobe Moderate Uniform euxassay_000977_18
TS23: trigeminal ganglion Weak Uniform euxassay_000977_18
TS23: facial ganglion Weak Uniform euxassay_000977_18

Specimen euxassay_000977_19: embryonic day 14.5 (more )
Structure Level Pattern Image Note
TS23: liver lobe Weak Uniform euxassay_000977_19
TS23: trigeminal ganglion Weak Uniform euxassay_000977_19
TS23: facial ganglion Weak Uniform euxassay_000977_19

Specimen euxassay_000977_20: embryonic day 14.5 (more )
Structure Level Pattern Image Note
TS23: liver lobe Moderate Uniform euxassay_000977_20
TS23: trigeminal ganglion Weak Uniform euxassay_000977_20

Specimen euxassay_000977_21: embryonic day 14.5 (more )
Structure Level Pattern Image Note
TS23: liver lobe Moderate Uniform euxassay_000977_21

Specimen euxassay_000977_22: embryonic day 14.5 (more )
Structure Level Pattern Image Note
TS23: liver lobe Moderate Uniform euxassay_000977_22

Specimen euxassay_000977_23: embryonic day 14.5 (more )
Structure Level Pattern Image Note
TS23: liver lobe Weak Uniform euxassay_000977_23


Contributing Projects:
Mouse Genome Database (MGD), Gene Expression Database (GXD), Mouse Models of Human Cancer database (MMHCdb) (formerly Mouse Tumor Biology (MTB)), Gene Ontology (GO)
Citing These Resources
Funding Information
Warranty Disclaimer, Privacy Notice, Licensing, & Copyright
Send questions and comments to User Support.
last database update
12/30/2025
MGI 6.24
The Jackson Laboratory