About   Help   FAQ
Gene Expression Data
Assay Details
Assay
Reference: J:153498 Diez-Roux G, et al., A high-resolution anatomical atlas of the transcriptome in the mouse embryo. PLoS Biol. 2011;9(1):e1000582
Assay type: RNA in situ
MGI Accession ID: MGI:4823230
Gene symbol: Arhgef15
Gene name: Rho guanine nucleotide exchange factor 15
Probe: MGC clone 102247
Probe preparation: Antisense labelled with digoxigenin RNA
Visualized with: Alkaline phosphatase
Assay notes: Cryosections of fresh frozen material were fixed in 4% paraformaldehyde for 20 min. before further processing. A tyramide-biotin/streptavidin amplification step was included in the in situ hybridization procedure.
Results
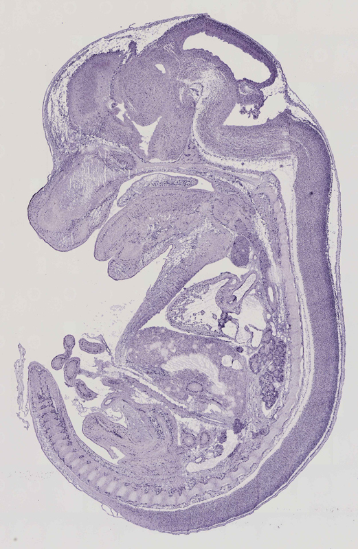
Specimen euxassay_009548_01: embryonic day 14.5 (more )
Structure Level Pattern Image Note
TS23: embryo Strong euxassay_009548_01

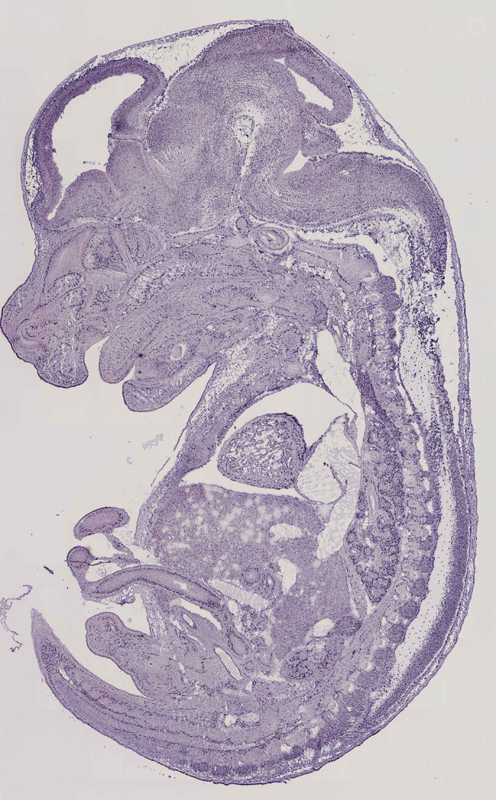
Specimen euxassay_009548_02: embryonic day 14.5 (more )
Structure Level Pattern Image Note
TS23: embryo Strong euxassay_009548_02

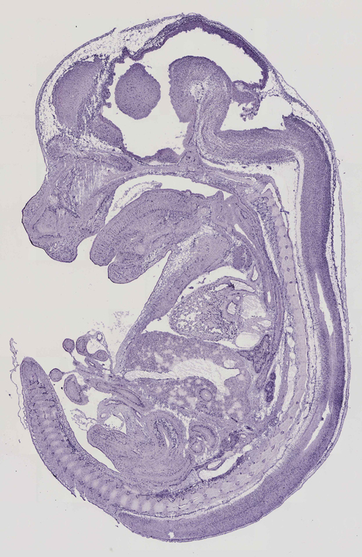
Specimen euxassay_009548_03: embryonic day 14.5 (more )
Structure Level Pattern Image Note
TS23: embryo Strong euxassay_009548_03

Specimen euxassay_009548_04: embryonic day 14.5 (more )
Structure Level Pattern Image Note
TS23: embryo Strong euxassay_009548_04

Specimen euxassay_009548_05: embryonic day 14.5 (more )
Structure Level Pattern Image Note
TS23: embryo Strong euxassay_009548_05

Specimen euxassay_009548_06: embryonic day 14.5 (more )
Structure Level Pattern Image Note
TS23: embryo Strong euxassay_009548_06

Specimen euxassay_009548_07: embryonic day 14.5 (more )
Structure Level Pattern Image Note
TS23: embryo Strong euxassay_009548_07

Specimen euxassay_009548_08: embryonic day 14.5 (more )
Structure Level Pattern Image Note
TS23: embryo Strong euxassay_009548_08

Specimen euxassay_009548_09: embryonic day 14.5 (more )
Structure Level Pattern Image Note
TS23: embryo Strong euxassay_009548_09

Specimen euxassay_009548_10: embryonic day 14.5 (more )
Structure Level Pattern Image Note
TS23: embryo Strong euxassay_009548_10

Specimen euxassay_009548_11: embryonic day 14.5 (more )
Structure Level Pattern Image Note
TS23: embryo Strong euxassay_009548_11

Specimen euxassay_009548_12: embryonic day 14.5 (more )
Structure Level Pattern Image Note
TS23: embryo Strong euxassay_009548_12

Specimen euxassay_009548_13: embryonic day 14.5 (more )
Structure Level Pattern Image Note
TS23: embryo Strong euxassay_009548_13

Specimen euxassay_009548_14: embryonic day 14.5 (more )
Structure Level Pattern Image Note
TS23: embryo Strong euxassay_009548_14

Specimen euxassay_009548_15: embryonic day 14.5 (more )
Structure Level Pattern Image Note
TS23: embryo Strong euxassay_009548_15

Specimen euxassay_009548_16: embryonic day 14.5 (more )
Structure Level Pattern Image Note
TS23: embryo Strong euxassay_009548_16

Specimen euxassay_009548_17: embryonic day 14.5 (more )
Structure Level Pattern Image Note
TS23: embryo Strong euxassay_009548_17

Specimen euxassay_009548_18: embryonic day 14.5 (more )
Structure Level Pattern Image Note
TS23: embryo Strong euxassay_009548_18

Specimen euxassay_009548_19: embryonic day 14.5 (more )
Structure Level Pattern Image Note
TS23: embryo Strong euxassay_009548_19

Specimen euxassay_009548_20: embryonic day 14.5 (more )
Structure Level Pattern Image Note
TS23: embryo Strong euxassay_009548_20

Specimen euxassay_009548_21: embryonic day 14.5 (more )
Structure Level Pattern Image Note
TS23: embryo Strong euxassay_009548_21

Specimen euxassay_009548_22: embryonic day 14.5 (more )
Structure Level Pattern Image Note
TS23: embryo Strong euxassay_009548_22

Specimen euxassay_009548_23: embryonic day 14.5 (more )
Structure Level Pattern Image Note
TS23: embryo Strong euxassay_009548_23


Contributing Projects:
Mouse Genome Database (MGD), Gene Expression Database (GXD), Mouse Models of Human Cancer database (MMHCdb) (formerly Mouse Tumor Biology (MTB)), Gene Ontology (GO)
Citing These Resources
Funding Information
Warranty Disclaimer, Privacy Notice, Licensing, & Copyright
Send questions and comments to User Support.
last database update
01/28/2026
MGI 6.24
The Jackson Laboratory