About   Help   FAQ
Gene Expression Data
Assay Details
Assay
Reference: J:153498 Diez-Roux G, et al., A high-resolution anatomical atlas of the transcriptome in the mouse embryo. PLoS Biol. 2011;9(1):e1000582
Assay type: RNA in situ
MGI Accession ID: MGI:4823229
Gene symbol: Arhgdig
Gene name: Rho GDP dissociation inhibitor gamma
Probe: IMAGE clone 407050
Probe preparation: Antisense labelled with digoxigenin RNA
Visualized with: Alkaline phosphatase
Assay notes: Cryosections of fresh frozen material were fixed in 4% paraformaldehyde for 20 min. before further processing. A tyramide-biotin/streptavidin amplification step was included in the in situ hybridization procedure.
Results
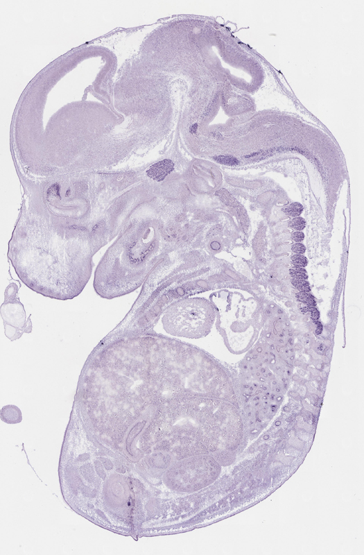
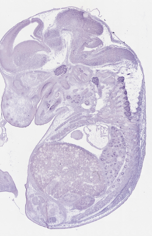
Specimen euxassay_000468_03: embryonic day 14.5 (more )
Structure Level Pattern Image Note
TS23: trigeminal ganglion Moderate Uniform euxassay_000468_03

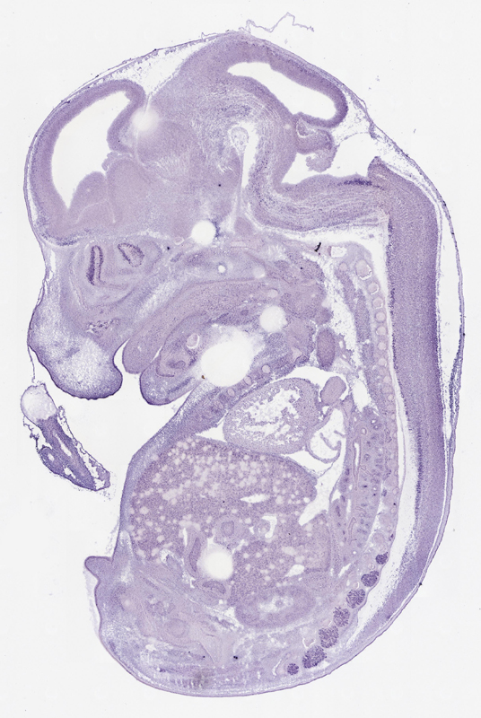
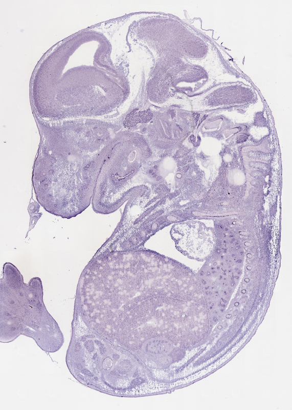
Specimen euxassay_000468_04: embryonic day 14.5 (more )
Structure Level Pattern Image Note
TS23: trigeminal ganglion Strong Uniform euxassay_000468_04
TS23: facial ganglion Strong Uniform euxassay_000468_04

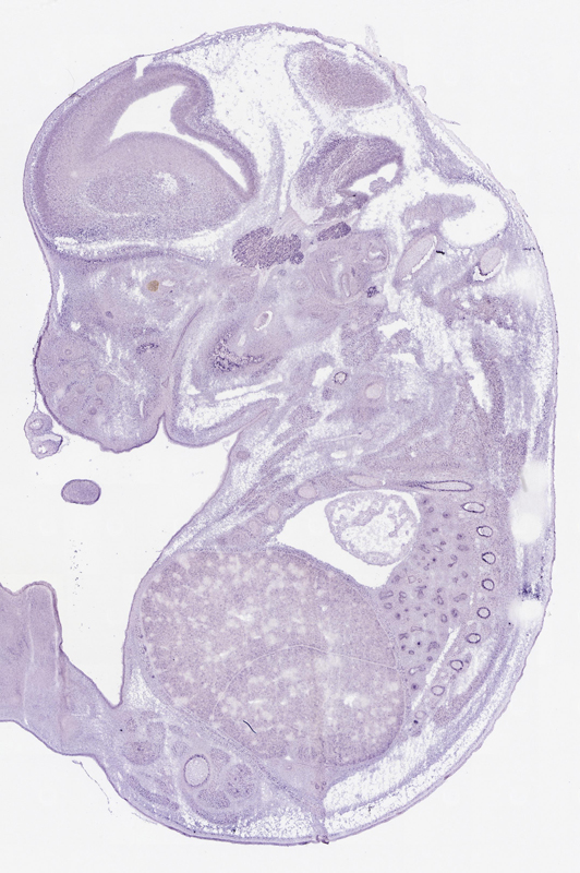
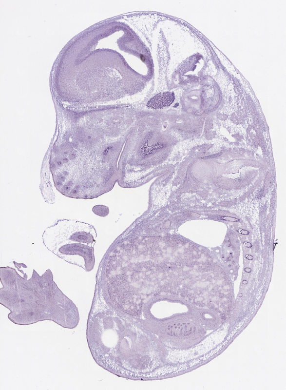
Specimen euxassay_000468_05: embryonic day 14.5 (more )
Structure Level Pattern Image Note
TS23: trigeminal ganglion Strong Uniform euxassay_000468_05

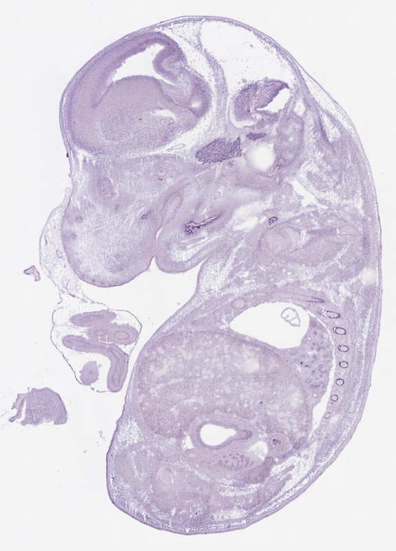
Specimen euxassay_000468_06: embryonic day 14.5 (more )
Structure Level Pattern Image Note
TS23: trigeminal ganglion Moderate Uniform euxassay_000468_06
TS23: olfactory epithelium Moderate Regionally restricted euxassay_000468_06

Specimen euxassay_000468_07: embryonic day 14.5 (more )
Note: Additional information for this specimen was included in the Eurexpress data submission file.
Structure Level Pattern Image Note
TS23: trigeminal ganglion Moderate Uniform euxassay_000468_07
TS23: glossopharyngeal ganglion Moderate Regionally restricted euxassay_000468_07
TS23: medulla oblongata basal plate Weak Uniform euxassay_000468_07 trigeminal motor nucleus
TS23: olfactory epithelium Moderate Regionally restricted euxassay_000468_07

Specimen euxassay_000468_08: embryonic day 14.5 (more )
Structure Level Pattern Image Note
TS23: glossopharyngeal ganglion Moderate Regionally restricted euxassay_000468_08
TS23: trigeminal ganglion Moderate Uniform euxassay_000468_08
TS23: dorsal root ganglion Moderate Regionally restricted euxassay_000468_08
TS23: olfactory epithelium Moderate Regionally restricted euxassay_000468_08

Specimen euxassay_000468_09: embryonic day 14.5 (more )
Note: Additional information for this specimen was included in the Eurexpress data submission file.
Structure Level Pattern Image Note
TS23: vagus ganglion Moderate Regionally restricted euxassay_000468_09
TS23: trigeminal ganglion Moderate Uniform euxassay_000468_09
TS23: dorsal root ganglion Moderate Regionally restricted euxassay_000468_09
TS23: medulla oblongata basal plate Moderate Uniform euxassay_000468_09 facial motor nucleus
TS23: olfactory epithelium Moderate Regionally restricted euxassay_000468_09

Specimen euxassay_000468_10: embryonic day 14.5 (more )
Note: Additional information for this specimen was included in the Eurexpress data submission file.
Structure Level Pattern Image Note
TS23: dorsal root ganglion Moderate Regionally restricted euxassay_000468_10
TS23: ventral grey horn Moderate Regionally restricted euxassay_000468_10
TS23: medulla oblongata basal plate Moderate Uniform euxassay_000468_10 facial motor nucleus and inferior olivary nucleus
TS23: olfactory epithelium Moderate Regionally restricted euxassay_000468_10
TS23: upper jaw molar Weak Regionally restricted euxassay_000468_10

Specimen euxassay_000468_11: embryonic day 14.5 (more )
Structure Level Pattern Image Note
TS23: dorsal root ganglion Weak Regionally restricted euxassay_000468_11
TS23: ventral grey horn Moderate Regionally restricted euxassay_000468_11
TS23: olfactory epithelium Moderate Regionally restricted euxassay_000468_11
TS23: upper jaw molar Weak Regionally restricted euxassay_000468_11

Specimen euxassay_000468_12: embryonic day 14.5 (more )
Structure Level Pattern Image Note
TS23: ventral grey horn Moderate Regionally restricted euxassay_000468_12

Specimen euxassay_000468_13: embryonic day 14.5 (more )
Structure Level Pattern Image Note
TS23: dorsal root ganglion Moderate Regionally restricted euxassay_000468_13
TS23: ventral grey horn Moderate Regionally restricted euxassay_000468_13
TS23: olfactory epithelium Moderate Regionally restricted euxassay_000468_13
TS23: upper jaw molar Moderate Regionally restricted euxassay_000468_13

Specimen euxassay_000468_14: embryonic day 14.5 (more )
Structure Level Pattern Image Note
TS23: dorsal root ganglion Moderate Regionally restricted euxassay_000468_14
TS23: ventral grey horn Moderate Regionally restricted euxassay_000468_14
TS23: medulla oblongata basal plate ventricular layer Moderate Regionally restricted euxassay_000468_14
TS23: upper jaw molar Moderate Regionally restricted euxassay_000468_14

Specimen euxassay_000468_15: embryonic day 14.5 (more )
Structure Level Pattern Image Note
TS23: dorsal root ganglion Moderate Regionally restricted euxassay_000468_15
TS23: ventral grey horn Moderate Regionally restricted euxassay_000468_15
TS23: olfactory epithelium Moderate Regionally restricted euxassay_000468_15
TS23: medulla oblongata basal plate ventricular layer Moderate Regionally restricted euxassay_000468_15

Specimen euxassay_000468_16: embryonic day 14.5 (more )
Structure Level Pattern Image Note
TS23: dorsal root ganglion Moderate Regionally restricted euxassay_000468_16
TS23: ventral grey horn Moderate Regionally restricted euxassay_000468_16
TS23: olfactory epithelium Moderate Regionally restricted euxassay_000468_16
TS23: medulla oblongata basal plate ventricular layer Moderate Regionally restricted euxassay_000468_16

Specimen euxassay_000468_17: embryonic day 14.5 (more )
Note: Additional information for this specimen was included in the Eurexpress data submission file.
Structure Level Pattern Image Note
TS23: trigeminal ganglion Moderate Regionally restricted euxassay_000468_17
TS23: dorsal root ganglion Moderate Regionally restricted euxassay_000468_17
TS23: ventral grey horn Moderate Regionally restricted euxassay_000468_17
TS23: medulla oblongata basal plate Moderate Uniform euxassay_000468_17 facial motor nucleus
TS23: olfactory epithelium Moderate Regionally restricted euxassay_000468_17

Specimen euxassay_000468_18: embryonic day 14.5 (more )
Note: Additional information for this specimen was included in the Eurexpress data submission file.
Structure Level Pattern Image Note
TS23: trigeminal ganglion Moderate Regionally restricted euxassay_000468_18
TS23: dorsal root ganglion Moderate Regionally restricted euxassay_000468_18
TS23: medulla oblongata basal plate Moderate Uniform euxassay_000468_18 facial motor nucleus, trigeminal motor nucleus and inferior olivary nucleus
TS23: olfactory epithelium Moderate Regionally restricted euxassay_000468_18

Specimen euxassay_000468_19: embryonic day 14.5 (more )
Structure Level Pattern Image Note
TS23: trigeminal ganglion Moderate Regionally restricted euxassay_000468_19
TS23: vagus ganglion Moderate Regionally restricted euxassay_000468_19
TS23: dorsal root ganglion Moderate Regionally restricted euxassay_000468_19

Specimen euxassay_000468_20: embryonic day 14.5 (more )
Structure Level Pattern Image Note
TS23: glossopharyngeal ganglion Moderate Regionally restricted euxassay_000468_20
TS23: trigeminal ganglion Moderate Regionally restricted euxassay_000468_20

Specimen euxassay_000468_21: embryonic day 14.5 (more )
Structure Level Pattern Image Note
TS23: trigeminal ganglion Moderate Regionally restricted euxassay_000468_21
TS23: facial ganglion Moderate Regionally restricted euxassay_000468_21

Specimen euxassay_000468_22: embryonic day 14.5 (more )
Structure Level Pattern Image Note
TS23: trigeminal ganglion Moderate Regionally restricted euxassay_000468_22
TS23: facial ganglion Moderate Regionally restricted euxassay_000468_22

Specimen euxassay_000468_23: embryonic day 14.5 (more )
Structure Level Pattern Image Note
TS23: trigeminal ganglion Moderate Regionally restricted euxassay_000468_23


Contributing Projects:
Mouse Genome Database (MGD), Gene Expression Database (GXD), Mouse Models of Human Cancer database (MMHCdb) (formerly Mouse Tumor Biology (MTB)), Gene Ontology (GO)
Citing These Resources
Funding Information
Warranty Disclaimer, Privacy Notice, Licensing, & Copyright
Send questions and comments to User Support.
last database update
12/30/2025
MGI 6.24
The Jackson Laboratory