About   Help   FAQ
Gene Expression Data
Assay Details
Assay
Reference: J:153498 Diez-Roux G, et al., A high-resolution anatomical atlas of the transcriptome in the mouse embryo. PLoS Biol. 2011;9(1):e1000582
Assay type: RNA in situ
MGI Accession ID: MGI:4823208
Gene symbol: Arf2
Gene name: ARF GTPase 2
Probe: IMAGE clone 3025910
Probe preparation: Antisense labelled with digoxigenin RNA
Visualized with: Alkaline phosphatase
Assay notes: Cryosections of fresh frozen material were fixed in 4% paraformaldehyde for 20 min. before further processing. A tyramide-biotin/streptavidin amplification step was included in the in situ hybridization procedure.
Results
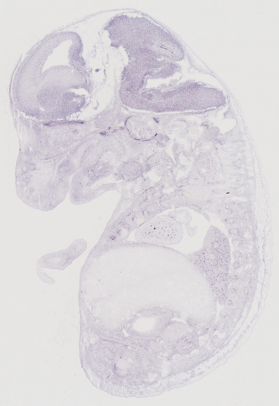
Specimen euxassay_002359_01: embryonic day 14.5 (more )
Structure Level Pattern Image Note
TS23: brain Moderate Uniform euxassay_002359_01
TS23: temporal bone Moderate Regionally restricted euxassay_002359_01
TS23: orbito-sphenoid Moderate Regionally restricted euxassay_002359_01
TS23: basisphenoid bone Moderate Regionally restricted euxassay_002359_01
TS23: basioccipital bone Moderate Regionally restricted euxassay_002359_01

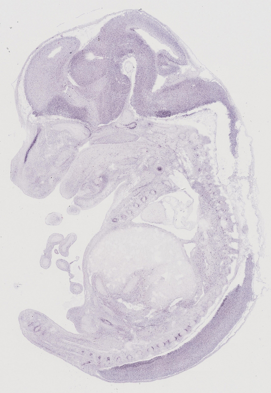
Specimen euxassay_002359_02: embryonic day 14.5 (more )
Structure Level Pattern Image Note
TS23: brain Weak Uniform euxassay_002359_02
TS23: temporal bone Moderate Regionally restricted euxassay_002359_02
TS23: orbito-sphenoid Moderate Regionally restricted euxassay_002359_02
TS23: basioccipital bone Moderate Regionally restricted euxassay_002359_02

Specimen euxassay_002359_03: embryonic day 14.5 (more )
Structure Level Pattern Image Note
TS23: brain Weak Uniform euxassay_002359_03
TS23: temporal bone Moderate Regionally restricted euxassay_002359_03
TS23: basioccipital bone Moderate Regionally restricted euxassay_002359_03
TS23: orbito-sphenoid Moderate Regionally restricted euxassay_002359_03

Specimen euxassay_002359_04: embryonic day 14.5 (more )
Structure Level Pattern Image Note
TS23: brain Weak Uniform euxassay_002359_04
TS23: temporal bone Moderate Regionally restricted euxassay_002359_04
TS23: basioccipital bone Moderate Regionally restricted euxassay_002359_04
TS23: orbito-sphenoid Moderate Regionally restricted euxassay_002359_04

Specimen euxassay_002359_05: embryonic day 14.5 (more )
Structure Level Pattern Image Note
TS23: brain Weak Uniform euxassay_002359_05
TS23: orbito-sphenoid Moderate Regionally restricted euxassay_002359_05

Specimen euxassay_002359_06: embryonic day 14.5 (more )
Structure Level Pattern Image Note
TS23: brain Weak Uniform euxassay_002359_06
TS23: orbito-sphenoid Moderate Regionally restricted euxassay_002359_06

Specimen euxassay_002359_07: embryonic day 14.5 (more )
Structure Level Pattern Image Note
TS23: brain Weak Uniform euxassay_002359_07
TS23: turbinate bone primordium Moderate Regionally restricted euxassay_002359_07
TS23: orbito-sphenoid Moderate Regionally restricted euxassay_002359_07

Specimen euxassay_002359_08: embryonic day 14.5 (more )
Structure Level Pattern Image Note
TS23: brain Weak Uniform euxassay_002359_08
TS23: spinal cord Weak Uniform euxassay_002359_08
TS23: turbinate bone primordium Moderate Regionally restricted euxassay_002359_08
TS23: basisphenoid bone Moderate Regionally restricted euxassay_002359_08

Specimen euxassay_002359_09: embryonic day 14.5 (more )
Structure Level Pattern Image Note
TS23: spinal cord Weak Uniform euxassay_002359_09
TS23: brain Weak Uniform euxassay_002359_09
TS23: turbinate bone primordium Moderate Regionally restricted euxassay_002359_09

Specimen euxassay_002359_10: embryonic day 14.5 (more )
Structure Level Pattern Image Note
TS23: spinal cord Weak Uniform euxassay_002359_10
TS23: brain Weak Uniform euxassay_002359_10
TS23: turbinate bone primordium Moderate Regionally restricted euxassay_002359_10

Specimen euxassay_002359_11: embryonic day 14.5 (more )
Structure Level Pattern Image Note
TS23: spinal cord Weak Uniform euxassay_002359_11
TS23: brain Weak Uniform euxassay_002359_11
TS23: nasal septum Moderate Regionally restricted euxassay_002359_11

Specimen euxassay_002359_12: embryonic day 14.5 (more )
Structure Level Pattern Image Note
TS23: spinal cord Weak Uniform euxassay_002359_12
TS23: brain Weak Uniform euxassay_002359_12
TS23: nasal septum Moderate Regionally restricted euxassay_002359_12

Specimen euxassay_002359_13: embryonic day 14.5 (more )
Structure Level Pattern Image Note
TS23: spinal cord Weak Uniform euxassay_002359_13
TS23: brain Weak Uniform euxassay_002359_13
TS23: nasal septum Moderate Regionally restricted euxassay_002359_13

Specimen euxassay_002359_14: embryonic day 14.5 (more )
Structure Level Pattern Image Note
TS23: spinal cord Weak Uniform euxassay_002359_14
TS23: brain Weak Uniform euxassay_002359_14
TS23: nasal septum Moderate Regionally restricted euxassay_002359_14

Specimen euxassay_002359_15: embryonic day 14.5 (more )
Structure Level Pattern Image Note
TS23: spinal cord Weak Uniform euxassay_002359_15
TS23: brain Weak Uniform euxassay_002359_15
TS23: nasal septum Moderate Regionally restricted euxassay_002359_15
TS23: basisphenoid bone Moderate Regionally restricted euxassay_002359_15

Specimen euxassay_002359_16: embryonic day 14.5 (more )
Structure Level Pattern Image Note
TS23: brain Weak Uniform euxassay_002359_16
TS23: turbinate bone primordium Moderate Regionally restricted euxassay_002359_16
TS23: basisphenoid bone Moderate Regionally restricted euxassay_002359_16

Specimen euxassay_002359_17: embryonic day 14.5 (more )
Structure Level Pattern Image Note
TS23: brain Weak Uniform euxassay_002359_17
TS23: turbinate bone primordium Moderate Regionally restricted euxassay_002359_17
TS23: orbito-sphenoid Moderate Regionally restricted euxassay_002359_17

Specimen euxassay_002359_18: embryonic day 14.5 (more )
Structure Level Pattern Image Note
TS23: brain Weak Uniform euxassay_002359_18
TS23: turbinate bone primordium Moderate Regionally restricted euxassay_002359_18
TS23: orbito-sphenoid Moderate Regionally restricted euxassay_002359_18
TS23: basioccipital bone Moderate Regionally restricted euxassay_002359_18

Specimen euxassay_002359_19: embryonic day 14.5 (more )
Structure Level Pattern Image Note
TS23: brain Weak Uniform euxassay_002359_19
TS23: turbinate bone primordium Moderate Regionally restricted euxassay_002359_19
TS23: temporal bone Moderate Regionally restricted euxassay_002359_19
TS23: orbito-sphenoid Moderate Regionally restricted euxassay_002359_19
TS23: basioccipital bone Moderate Regionally restricted euxassay_002359_19

Specimen euxassay_002359_20: embryonic day 14.5 (more )
Structure Level Pattern Image Note
TS23: brain Weak Uniform euxassay_002359_20
TS23: orbito-sphenoid Moderate Regionally restricted euxassay_002359_20
TS23: temporal bone Moderate Regionally restricted euxassay_002359_20
TS23: basioccipital bone Moderate Regionally restricted euxassay_002359_20

Specimen euxassay_002359_22: embryonic day 14.5 (more )
Structure Level Pattern Image Note
TS23: brain Weak Uniform euxassay_002359_22

Specimen euxassay_002359_23: embryonic day 14.5 (more )
Structure Level Pattern Image Note
TS23: brain Weak Uniform euxassay_002359_23

Specimen euxassay_002359_24: embryonic day 14.5 (more )
Structure Level Pattern Image Note
TS23: brain Weak Uniform euxassay_002359_24


Contributing Projects:
Mouse Genome Database (MGD), Gene Expression Database (GXD), Mouse Models of Human Cancer database (MMHCdb) (formerly Mouse Tumor Biology (MTB)), Gene Ontology (GO)
Citing These Resources
Funding Information
Warranty Disclaimer, Privacy Notice, Licensing, & Copyright
Send questions and comments to User Support.
last database update
01/06/2026
MGI 6.24
The Jackson Laboratory