About   Help   FAQ
Gene Expression Data
Assay Details
Assay
Reference: J:153498 Diez-Roux G, et al., A high-resolution anatomical atlas of the transcriptome in the mouse embryo. PLoS Biol. 2011;9(1):e1000582
Assay type: RNA in situ
MGI Accession ID: MGI:4823207
Gene symbol: Arap3
Gene name: ArfGAP with RhoGAP domain, ankyrin repeat and PH domain 3
Probe: MGC clone 93003
Probe preparation: Antisense labelled with digoxigenin RNA
Visualized with: Alkaline phosphatase
Assay notes: Cryosections of fresh frozen material were fixed in 4% paraformaldehyde for 20 min. before further processing. A tyramide-biotin/streptavidin amplification step was included in the in situ hybridization procedure.
Results
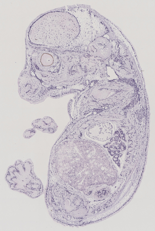
Specimen euxassay_008606_01: embryonic day 14.5 (more )
Structure Level Pattern Image Note
TS23: embryo Strong euxassay_008606_01

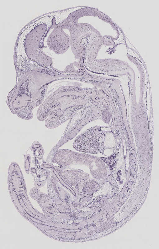
Specimen euxassay_008606_02: embryonic day 14.5 (more )
Structure Level Pattern Image Note
TS23: embryo Strong euxassay_008606_02

Specimen euxassay_008606_03: embryonic day 14.5 (more )
Structure Level Pattern Image Note
TS23: embryo Strong euxassay_008606_03

Specimen euxassay_008606_04: embryonic day 14.5 (more )
Structure Level Pattern Image Note
TS23: embryo Strong euxassay_008606_04

Specimen euxassay_008606_05: embryonic day 14.5 (more )
Structure Level Pattern Image Note
TS23: embryo Strong euxassay_008606_05

Specimen euxassay_008606_06: embryonic day 14.5 (more )
Structure Level Pattern Image Note
TS23: embryo Strong euxassay_008606_06

Specimen euxassay_008606_07: embryonic day 14.5 (more )
Structure Level Pattern Image Note
TS23: embryo Strong euxassay_008606_07

Specimen euxassay_008606_08: embryonic day 14.5 (more )
Structure Level Pattern Image Note
TS23: embryo Strong euxassay_008606_08

Specimen euxassay_008606_09: embryonic day 14.5 (more )
Structure Level Pattern Image Note
TS23: embryo Strong euxassay_008606_09

Specimen euxassay_008606_10: embryonic day 14.5 (more )
Structure Level Pattern Image Note
TS23: embryo Strong euxassay_008606_10

Specimen euxassay_008606_11: embryonic day 14.5 (more )
Structure Level Pattern Image Note
TS23: embryo Strong euxassay_008606_11

Specimen euxassay_008606_12: embryonic day 14.5 (more )
Structure Level Pattern Image Note
TS23: embryo Strong euxassay_008606_12

Specimen euxassay_008606_13: embryonic day 14.5 (more )
Structure Level Pattern Image Note
TS23: embryo Strong euxassay_008606_13

Specimen euxassay_008606_14: embryonic day 14.5 (more )
Structure Level Pattern Image Note
TS23: embryo Strong euxassay_008606_14

Specimen euxassay_008606_15: embryonic day 14.5 (more )
Structure Level Pattern Image Note
TS23: embryo Strong euxassay_008606_15

Specimen euxassay_008606_16: embryonic day 14.5 (more )
Structure Level Pattern Image Note
TS23: embryo Strong euxassay_008606_16

Specimen euxassay_008606_17: embryonic day 14.5 (more )
Structure Level Pattern Image Note
TS23: embryo Strong euxassay_008606_17

Specimen euxassay_008606_18: embryonic day 14.5 (more )
Structure Level Pattern Image Note
TS23: embryo Strong euxassay_008606_18

Specimen euxassay_008606_19: embryonic day 14.5 (more )
Structure Level Pattern Image Note
TS23: embryo Strong euxassay_008606_19

Specimen euxassay_008606_20: embryonic day 14.5 (more )
Structure Level Pattern Image Note
TS23: embryo Strong euxassay_008606_20

Specimen euxassay_008606_21: embryonic day 14.5 (more )
Structure Level Pattern Image Note
TS23: embryo Strong euxassay_008606_21

Specimen euxassay_008606_22: embryonic day 14.5 (more )
Structure Level Pattern Image Note
TS23: embryo Strong euxassay_008606_22


Contributing Projects:
Mouse Genome Database (MGD), Gene Expression Database (GXD), Mouse Models of Human Cancer database (MMHCdb) (formerly Mouse Tumor Biology (MTB)), Gene Ontology (GO)
Citing These Resources
Funding Information
Warranty Disclaimer, Privacy Notice, Licensing, & Copyright
Send questions and comments to User Support.
last database update
03/24/2026
MGI 6.24
The Jackson Laboratory