About   Help   FAQ
Gene Expression Data
Assay Details
Assay
Reference: J:153498 Diez-Roux G, et al., A high-resolution anatomical atlas of the transcriptome in the mouse embryo. PLoS Biol. 2011;9(1):e1000582
Assay type: RNA in situ
MGI Accession ID: MGI:4823201
Gene symbol: Aqp1
Gene name: aquaporin 1
Probe: MH2267 probe 1921
Probe preparation: Antisense labelled with digoxigenin RNA
Visualized with: Alkaline phosphatase
Assay notes: Cryosections of fresh frozen material were fixed in 4% paraformaldehyde for 20 min. before further processing. A tyramide-biotin/streptavidin amplification step was included in the in situ hybridization procedure.
Results
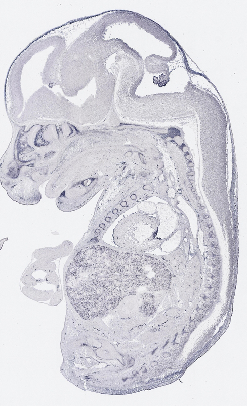
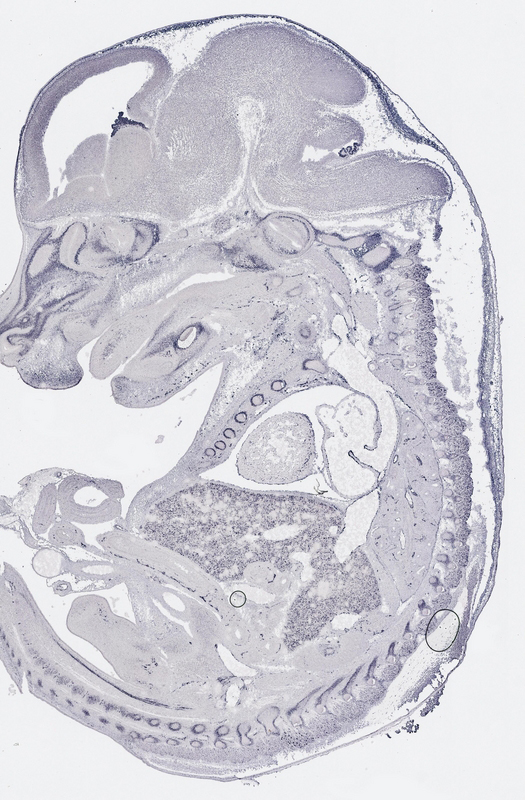
Specimen euxassay_018969_01: embryonic day 14.5 (more )
Structure Level Pattern Image Note
TS23: rib Moderate Regionally restricted euxassay_018969_01
TS23: liver Moderate Regionally restricted euxassay_018969_01
TS23: orbito-sphenoid Weak Regionally restricted euxassay_018969_01
TS23: hand mesenchyme Moderate Regionally restricted euxassay_018969_01

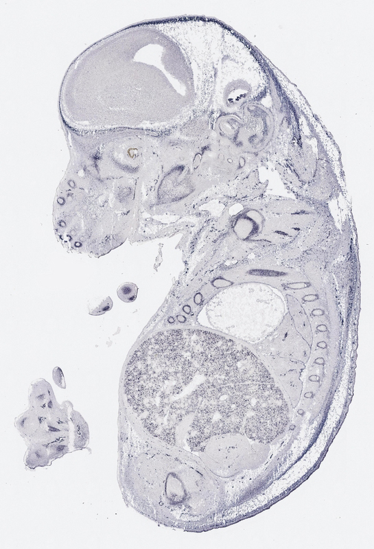
Specimen euxassay_018969_02: embryonic day 14.5 (more )
Structure Level Pattern Image Note
TS23: rib Moderate Regionally restricted euxassay_018969_02
TS23: liver Moderate Regionally restricted euxassay_018969_02
TS23: humerus Weak Regionally restricted euxassay_018969_02
TS23: orbito-sphenoid Weak Regionally restricted euxassay_018969_02
TS23: hand mesenchyme Moderate Regionally restricted euxassay_018969_02

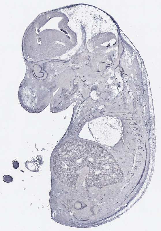
Specimen euxassay_018969_03: embryonic day 14.5 (more )
Structure Level Pattern Image Note
TS23: rib Moderate Regionally restricted euxassay_018969_03
TS23: liver Moderate Regionally restricted euxassay_018969_03
TS23: humerus Moderate Regionally restricted euxassay_018969_03
TS23: orbito-sphenoid Weak Regionally restricted euxassay_018969_03
TS23: hand mesenchyme Moderate Regionally restricted euxassay_018969_03
TS23: foot mesenchyme Moderate Regionally restricted euxassay_018969_03

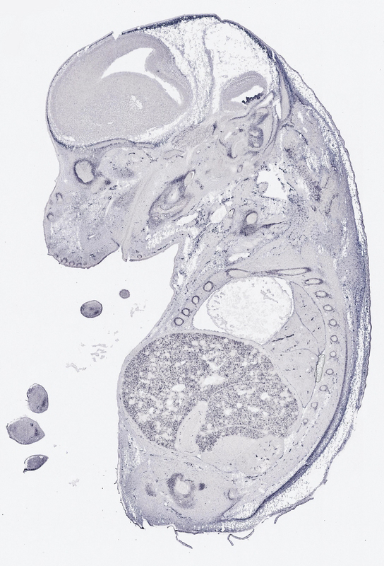
Specimen euxassay_018969_04: embryonic day 14.5 (more )
Structure Level Pattern Image Note
TS23: vibrissa Strong Regionally restricted euxassay_018969_04
TS23: rib Moderate Regionally restricted euxassay_018969_04
TS23: liver Moderate Regionally restricted euxassay_018969_04
TS23: humerus Moderate Regionally restricted euxassay_018969_04
TS23: mandible Weak Regionally restricted euxassay_018969_04
TS23: orbito-sphenoid Weak Regionally restricted euxassay_018969_04
TS23: hand mesenchyme Moderate Regionally restricted euxassay_018969_04

Specimen euxassay_018969_05: embryonic day 14.5 (more )
Structure Level Pattern Image Note
TS23: lateral ventricle choroid plexus Strong Regionally restricted euxassay_018969_05
TS23: metencephalon part of 4th ventricle choroid plexus Strong Regionally restricted euxassay_018969_05
TS23: vibrissa Strong Regionally restricted euxassay_018969_05
TS23: rib Moderate Regionally restricted euxassay_018969_05
TS23: liver Moderate Regionally restricted euxassay_018969_05
TS23: humerus Moderate Regionally restricted euxassay_018969_05
TS23: mandible Weak Regionally restricted euxassay_018969_05
TS23: orbito-sphenoid Weak Regionally restricted euxassay_018969_05
TS23: hand mesenchyme Moderate Regionally restricted euxassay_018969_05
TS23: foot mesenchyme Moderate Regionally restricted euxassay_018969_05

Specimen euxassay_018969_06: embryonic day 14.5 (more )
Structure Level Pattern Image Note
TS23: metencephalon part of 4th ventricle choroid plexus Strong Regionally restricted euxassay_018969_06
TS23: lateral ventricle choroid plexus Strong Regionally restricted euxassay_018969_06
TS23: vibrissa Strong Regionally restricted euxassay_018969_06
TS23: rib Moderate Regionally restricted euxassay_018969_06
TS23: liver Moderate Regionally restricted euxassay_018969_06
TS23: humerus Weak Regionally restricted euxassay_018969_06
TS23: mandible Weak Regionally restricted euxassay_018969_06
TS23: orbito-sphenoid Weak Regionally restricted euxassay_018969_06
TS23: foot mesenchyme Moderate Regionally restricted euxassay_018969_06
TS23: hand mesenchyme Moderate Regionally restricted euxassay_018969_06

Specimen euxassay_018969_07: embryonic day 14.5 (more )
Structure Level Pattern Image Note
TS23: lateral ventricle choroid plexus Strong Regionally restricted euxassay_018969_07
TS23: metencephalon part of 4th ventricle choroid plexus Strong Regionally restricted euxassay_018969_07
TS23: vibrissa Strong Regionally restricted euxassay_018969_07
TS23: rib Moderate Regionally restricted euxassay_018969_07
TS23: femur Weak Regionally restricted euxassay_018969_07
TS23: liver Moderate Regionally restricted euxassay_018969_07
TS23: mandible Weak Regionally restricted euxassay_018969_07
TS23: maxilla Weak Regionally restricted euxassay_018969_07
TS23: Meckel's cartilage Weak Regionally restricted euxassay_018969_07
TS23: turbinate bone primordium Weak Regionally restricted euxassay_018969_07
TS23: orbito-sphenoid Weak Regionally restricted euxassay_018969_07
TS23: foot mesenchyme Moderate Regionally restricted euxassay_018969_07

Specimen euxassay_018969_08: embryonic day 14.5 (more )
Structure Level Pattern Image Note
TS23: metencephalon part of 4th ventricle choroid plexus Strong Regionally restricted euxassay_018969_08
TS23: lateral ventricle choroid plexus Strong Regionally restricted euxassay_018969_08
TS23: rib Moderate Regionally restricted euxassay_018969_08
TS23: axial skeleton Moderate Regionally restricted euxassay_018969_08
TS23: femur Weak Regionally restricted euxassay_018969_08
TS23: liver Moderate Regionally restricted euxassay_018969_08
TS23: Meckel's cartilage Weak Regionally restricted euxassay_018969_08
TS23: turbinate bone primordium Weak Regionally restricted euxassay_018969_08
TS23: orbito-sphenoid Weak Regionally restricted euxassay_018969_08
TS23: otic capsule Weak Regionally restricted euxassay_018969_08

Specimen euxassay_018969_09: embryonic day 14.5 (more )
Structure Level Pattern Image Note
TS23: metencephalon part of 4th ventricle choroid plexus Strong Regionally restricted euxassay_018969_09
TS23: lateral ventricle choroid plexus Strong Regionally restricted euxassay_018969_09
TS23: rib Moderate Regionally restricted euxassay_018969_09
TS23: axial skeleton Moderate Regionally restricted euxassay_018969_09
TS23: pelvic girdle skeleton Moderate Regionally restricted euxassay_018969_09
TS23: femur Weak Regionally restricted euxassay_018969_09
TS23: liver Moderate Regionally restricted euxassay_018969_09
TS23: mandible Weak Regionally restricted euxassay_018969_09
TS23: Meckel's cartilage Weak Regionally restricted euxassay_018969_09
TS23: turbinate bone primordium Moderate Regionally restricted euxassay_018969_09
TS23: clavicle Weak Regionally restricted euxassay_018969_09
TS23: otic capsule Weak Regionally restricted euxassay_018969_09
TS23: foot mesenchyme Moderate Regionally restricted euxassay_018969_09

Specimen euxassay_018969_10: embryonic day 14.5 (more )
Structure Level Pattern Image Note
TS23: metencephalon part of 4th ventricle choroid plexus Strong Regionally restricted euxassay_018969_10
TS23: lateral ventricle choroid plexus Strong Regionally restricted euxassay_018969_10
TS23: rib Moderate Regionally restricted euxassay_018969_10
TS23: pelvic girdle skeleton Moderate Regionally restricted euxassay_018969_10
TS23: axial skeleton Moderate Regionally restricted euxassay_018969_10
TS23: liver Moderate Regionally restricted euxassay_018969_10
TS23: mandible Weak Regionally restricted euxassay_018969_10
TS23: Meckel's cartilage Moderate Regionally restricted euxassay_018969_10
TS23: turbinate bone primordium Moderate Regionally restricted euxassay_018969_10
TS23: clavicle Weak Regionally restricted euxassay_018969_10

Specimen euxassay_018969_11: embryonic day 14.5 (more )
Structure Level Pattern Image Note
TS23: metencephalon part of 4th ventricle choroid plexus Strong Regionally restricted euxassay_018969_11
TS23: rib Moderate Regionally restricted euxassay_018969_11
TS23: axial skeleton Moderate Regionally restricted euxassay_018969_11
TS23: liver Moderate Regionally restricted euxassay_018969_11
TS23: Meckel's cartilage Moderate Regionally restricted euxassay_018969_11
TS23: turbinate bone primordium Moderate Regionally restricted euxassay_018969_11
TS23: thyroid cartilage Weak Regionally restricted euxassay_018969_11
TS23: naris Moderate Regionally restricted euxassay_018969_11
TS23: heart valve Moderate Regionally restricted euxassay_018969_11

Specimen euxassay_018969_12: embryonic day 14.5 (more )
Structure Level Pattern Image Note
TS23: metencephalon part of 4th ventricle choroid plexus Strong Regionally restricted euxassay_018969_12
TS23: axial skeleton Moderate Regionally restricted euxassay_018969_12
TS23: rib Moderate Regionally restricted euxassay_018969_12
TS23: liver Moderate Regionally restricted euxassay_018969_12
TS23: nephric duct of male Moderate Regionally restricted euxassay_018969_12
TS23: Meckel's cartilage Moderate Regionally restricted euxassay_018969_12
TS23: thyroid cartilage Weak Regionally restricted euxassay_018969_12
TS23: clavicle Weak Regionally restricted euxassay_018969_12
TS23: naris Moderate Regionally restricted euxassay_018969_12
TS23: nasal septum Moderate Regionally restricted euxassay_018969_12
TS23: heart valve Moderate Regionally restricted euxassay_018969_12

Specimen euxassay_018969_13: embryonic day 14.5 (more )
Structure Level Pattern Image Note
TS23: metencephalon part of 4th ventricle choroid plexus Strong Regionally restricted euxassay_018969_13
TS23: lateral ventricle choroid plexus Strong Regionally restricted euxassay_018969_13
TS23: rib Moderate Regionally restricted euxassay_018969_13
TS23: axial skeleton Moderate Regionally restricted euxassay_018969_13
TS23: liver Moderate Regionally restricted euxassay_018969_13
TS23: Meckel's cartilage Moderate Regionally restricted euxassay_018969_13
TS23: thyroid cartilage Weak Regionally restricted euxassay_018969_13
TS23: clavicle Weak Regionally restricted euxassay_018969_13
TS23: nasal septum Moderate Regionally restricted euxassay_018969_13
TS23: heart valve Moderate Regionally restricted euxassay_018969_13

Specimen euxassay_018969_14: embryonic day 14.5 (more )
Structure Level Pattern Image Note
TS23: metencephalon part of 4th ventricle choroid plexus Strong Regionally restricted euxassay_018969_14
TS23: lateral ventricle choroid plexus Strong Regionally restricted euxassay_018969_14
TS23: axial skeleton Moderate Regionally restricted euxassay_018969_14
TS23: liver Moderate Regionally restricted euxassay_018969_14
TS23: Meckel's cartilage Moderate Regionally restricted euxassay_018969_14
TS23: thyroid cartilage Weak Regionally restricted euxassay_018969_14
TS23: axial skeleton tail region Weak Regionally restricted euxassay_018969_14
TS23: clavicle Weak Regionally restricted euxassay_018969_14
TS23: nasal septum Moderate Regionally restricted euxassay_018969_14

Specimen euxassay_018969_15: embryonic day 14.5 (more )
Structure Level Pattern Image Note
TS23: metencephalon part of 4th ventricle choroid plexus Strong Regionally restricted euxassay_018969_15
TS23: lateral ventricle choroid plexus Strong Regionally restricted euxassay_018969_15
TS23: axial skeleton Moderate Regionally restricted euxassay_018969_15
TS23: liver Moderate Regionally restricted euxassay_018969_15
TS23: nephric duct of male Moderate Regionally restricted euxassay_018969_15
TS23: Meckel's cartilage Moderate Regionally restricted euxassay_018969_15
TS23: turbinate bone primordium Moderate Regionally restricted euxassay_018969_15
TS23: axial skeleton tail region Weak Regionally restricted euxassay_018969_15
TS23: otic capsule Weak Regionally restricted euxassay_018969_15
TS23: nasal septum Moderate Regionally restricted euxassay_018969_15

Specimen euxassay_018969_16: embryonic day 14.5 (more )
Structure Level Pattern Image Note
TS23: metencephalon part of 4th ventricle choroid plexus Strong Regionally restricted euxassay_018969_16
TS23: lateral ventricle choroid plexus Strong Regionally restricted euxassay_018969_16
TS23: rib Moderate Regionally restricted euxassay_018969_16
TS23: axial skeleton Moderate Regionally restricted euxassay_018969_16
TS23: liver Moderate Regionally restricted euxassay_018969_16
TS23: Meckel's cartilage Moderate Regionally restricted euxassay_018969_16
TS23: turbinate bone primordium Moderate Regionally restricted euxassay_018969_16
TS23: axial skeleton tail region Weak Regionally restricted euxassay_018969_16
TS23: clavicle Weak Regionally restricted euxassay_018969_16
TS23: otic capsule Weak Regionally restricted euxassay_018969_16
TS23: nasal septum Moderate Regionally restricted euxassay_018969_16
TS23: naris Moderate Regionally restricted euxassay_018969_16

Specimen euxassay_018969_17: embryonic day 14.5 (more )
Structure Level Pattern Image Note
TS23: metencephalon part of 4th ventricle choroid plexus Strong Regionally restricted euxassay_018969_17
TS23: lateral ventricle choroid plexus Strong Regionally restricted euxassay_018969_17
TS23: rib Moderate Regionally restricted euxassay_018969_17
TS23: axial skeleton Moderate Regionally restricted euxassay_018969_17
TS23: pelvic girdle skeleton Weak Regionally restricted euxassay_018969_17
TS23: liver Moderate Regionally restricted euxassay_018969_17
TS23: mandible Weak Regionally restricted euxassay_018969_17
TS23: Meckel's cartilage Moderate Regionally restricted euxassay_018969_17
TS23: turbinate bone primordium Moderate Regionally restricted euxassay_018969_17
TS23: tail mesenchyme Moderate Regionally restricted euxassay_018969_17
TS23: clavicle Weak Regionally restricted euxassay_018969_17
TS23: otic capsule Weak Regionally restricted euxassay_018969_17
TS23: nasal septum Moderate Regionally restricted euxassay_018969_17
TS23: naris Moderate Regionally restricted euxassay_018969_17

Specimen euxassay_018969_18: embryonic day 14.5 (more )
Structure Level Pattern Image Note
TS23: metencephalon part of 4th ventricle choroid plexus Strong Regionally restricted euxassay_018969_18
TS23: lateral ventricle choroid plexus Strong Regionally restricted euxassay_018969_18
TS23: rib Moderate Regionally restricted euxassay_018969_18
TS23: pelvic girdle skeleton Moderate Regionally restricted euxassay_018969_18
TS23: liver Moderate Regionally restricted euxassay_018969_18
TS23: mandible Weak Regionally restricted euxassay_018969_18
TS23: Meckel's cartilage Weak Regionally restricted euxassay_018969_18
TS23: turbinate bone primordium Moderate Regionally restricted euxassay_018969_18
TS23: orbito-sphenoid Weak Regionally restricted euxassay_018969_18

Specimen euxassay_018969_19: embryonic day 14.5 (more )
Structure Level Pattern Image Note
TS23: metencephalon part of 4th ventricle choroid plexus Strong Regionally restricted euxassay_018969_19
TS23: lateral ventricle choroid plexus Strong Regionally restricted euxassay_018969_19
TS23: pelvic girdle skeleton Weak Regionally restricted euxassay_018969_19
TS23: femur Weak Regionally restricted euxassay_018969_19
TS23: liver Moderate Regionally restricted euxassay_018969_19
TS23: mandible Weak Regionally restricted euxassay_018969_19
TS23: Meckel's cartilage Weak Regionally restricted euxassay_018969_19
TS23: turbinate bone primordium Moderate Regionally restricted euxassay_018969_19
TS23: orbito-sphenoid Weak Regionally restricted euxassay_018969_19

Specimen euxassay_018969_20: embryonic day 14.5 (more )
Structure Level Pattern Image Note
TS23: metencephalon part of 4th ventricle choroid plexus Strong Regionally restricted euxassay_018969_20
TS23: vibrissa Moderate Regionally restricted euxassay_018969_20
TS23: rib Moderate Regionally restricted euxassay_018969_20
TS23: femur Weak Regionally restricted euxassay_018969_20
TS23: liver Moderate Regionally restricted euxassay_018969_20
TS23: mandible Weak Regionally restricted euxassay_018969_20
TS23: turbinate bone primordium Moderate Regionally restricted euxassay_018969_20
TS23: orbito-sphenoid Weak Regionally restricted euxassay_018969_20

Specimen euxassay_018969_21: embryonic day 14.5 (more )
Structure Level Pattern Image Note
TS23: metencephalon part of 4th ventricle choroid plexus Strong Regionally restricted euxassay_018969_21
TS23: vibrissa Strong Regionally restricted euxassay_018969_21
TS23: rib Moderate Regionally restricted euxassay_018969_21
TS23: femur Weak Regionally restricted euxassay_018969_21
TS23: liver Moderate Regionally restricted euxassay_018969_21
TS23: humerus Moderate Regionally restricted euxassay_018969_21
TS23: mandible Weak Regionally restricted euxassay_018969_21
TS23: orbito-sphenoid Weak Regionally restricted euxassay_018969_21
TS23: foot mesenchyme Moderate Regionally restricted euxassay_018969_21

Specimen euxassay_018969_22: embryonic day 14.5 (more )
Structure Level Pattern Image Note
TS23: vibrissa Strong Regionally restricted euxassay_018969_22
TS23: rib Moderate Regionally restricted euxassay_018969_22
TS23: femur Weak Regionally restricted euxassay_018969_22
TS23: liver Moderate Regionally restricted euxassay_018969_22
TS23: humerus Moderate Regionally restricted euxassay_018969_22
TS23: mandible Weak Regionally restricted euxassay_018969_22
TS23: orbito-sphenoid Weak Regionally restricted euxassay_018969_22
TS23: foot mesenchyme Moderate Regionally restricted euxassay_018969_22
TS23: hand mesenchyme Moderate Regionally restricted euxassay_018969_22


Contributing Projects:
Mouse Genome Database (MGD), Gene Expression Database (GXD), Mouse Models of Human Cancer database (MMHCdb) (formerly Mouse Tumor Biology (MTB)), Gene Ontology (GO)
Citing These Resources
Funding Information
Warranty Disclaimer, Privacy Notice, Licensing, & Copyright
Send questions and comments to User Support.
last database update
12/30/2025
MGI 6.24
The Jackson Laboratory