About   Help   FAQ
Gene Expression Data
Assay Details
Assay
Reference: J:153498 Diez-Roux G, et al., A high-resolution anatomical atlas of the transcriptome in the mouse embryo. PLoS Biol. 2011;9(1):e1000582
Assay type: RNA in situ
MGI Accession ID: MGI:4823200
Gene symbol: Aqp1
Gene name: aquaporin 1
Probe: MGC clone 5663
Probe preparation: Antisense labelled with digoxigenin RNA
Visualized with: Alkaline phosphatase
Assay notes: Cryosections of fresh frozen material were fixed in 4% paraformaldehyde for 20 min. before further processing. A tyramide-biotin/streptavidin amplification step was included in the in situ hybridization procedure.
Results
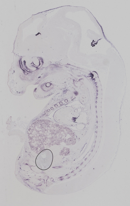
Specimen euxassay_002187_01: embryonic day 14.5 (more )
Structure Level Pattern Image Note
TS23: metencephalon part of 4th ventricle choroid plexus Strong Regionally restricted euxassay_002187_01
TS23: vault of skull Strong Regionally restricted euxassay_002187_01
TS23: rib Weak Regionally restricted euxassay_002187_01
TS23: liver lobe Moderate Regionally restricted euxassay_002187_01
TS23: humerus Weak Regionally restricted euxassay_002187_01

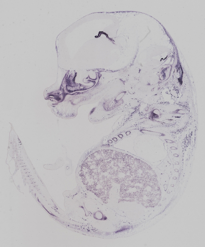
Specimen euxassay_002187_02: embryonic day 14.5 (more )
Structure Level Pattern Image Note
TS23: metencephalon part of 4th ventricle choroid plexus Strong Regionally restricted euxassay_002187_02
TS23: vault of skull Strong Regionally restricted euxassay_002187_02
TS23: exoccipital bone Strong Regionally restricted euxassay_002187_02
TS23: rib Weak Regionally restricted euxassay_002187_02
TS23: liver lobe Weak Regionally restricted euxassay_002187_02
TS23: humerus Weak Regionally restricted euxassay_002187_02

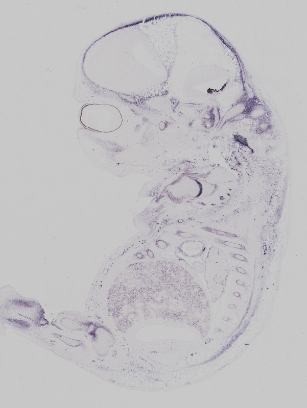
Specimen euxassay_002187_03: embryonic day 14.5 (more )
Structure Level Pattern Image Note
TS23: metencephalon part of 4th ventricle choroid plexus Strong Regionally restricted euxassay_002187_03
TS23: vault of skull Moderate Regionally restricted euxassay_002187_03
TS23: rib Weak Regionally restricted euxassay_002187_03
TS23: liver lobe Weak Regionally restricted euxassay_002187_03
TS23: humerus Weak Regionally restricted euxassay_002187_03

Specimen euxassay_002187_04: embryonic day 14.5 (more )
Structure Level Pattern Image Note
TS23: metencephalon part of 4th ventricle choroid plexus Strong Regionally restricted euxassay_002187_04
TS23: vault of skull Moderate Regionally restricted euxassay_002187_04
TS23: orbito-sphenoid Moderate Regionally restricted euxassay_002187_04
TS23: axial skeleton Moderate Regionally restricted euxassay_002187_04
TS23: rib Moderate Regionally restricted euxassay_002187_04
TS23: mandible Weak Regionally restricted euxassay_002187_04
TS23: liver lobe Weak Regionally restricted euxassay_002187_04

Specimen euxassay_002187_05: embryonic day 14.5 (more )
Structure Level Pattern Image Note
TS23: metencephalon part of 4th ventricle choroid plexus Strong Regionally restricted euxassay_002187_05
TS23: orbito-sphenoid Moderate Regionally restricted euxassay_002187_05
TS23: vault of skull Moderate Regionally restricted euxassay_002187_05
TS23: rib Moderate Regionally restricted euxassay_002187_05
TS23: axial skeleton Moderate Regionally restricted euxassay_002187_05
TS23: mandible Weak Regionally restricted euxassay_002187_05
TS23: vibrissa Moderate Regionally restricted euxassay_002187_05
TS23: liver lobe Moderate Regionally restricted euxassay_002187_05
TS23: foot mesenchyme Moderate Regionally restricted euxassay_002187_05

Specimen euxassay_002187_06: embryonic day 14.5 (more )
Structure Level Pattern Image Note
TS23: metencephalon part of 4th ventricle choroid plexus Strong Regionally restricted euxassay_002187_06
TS23: lateral ventricle choroid plexus Strong Regionally restricted euxassay_002187_06
TS23: orbito-sphenoid Moderate Regionally restricted euxassay_002187_06
TS23: vault of skull Moderate Regionally restricted euxassay_002187_06
TS23: axial skeleton Moderate Regionally restricted euxassay_002187_06
TS23: rib Moderate Regionally restricted euxassay_002187_06
TS23: mandible Weak Regionally restricted euxassay_002187_06
TS23: vibrissa Weak Regionally restricted euxassay_002187_06
TS23: liver lobe Weak Regionally restricted euxassay_002187_06
TS23: pelvic girdle skeleton Weak Regionally restricted euxassay_002187_06
TS23: foot mesenchyme Moderate Regionally restricted euxassay_002187_06

Specimen euxassay_002187_07: embryonic day 14.5 (more )
Structure Level Pattern Image Note
TS23: metencephalon part of 4th ventricle choroid plexus Strong Regionally restricted euxassay_002187_07
TS23: lateral ventricle choroid plexus Strong Regionally restricted euxassay_002187_07
TS23: orbito-sphenoid Moderate Regionally restricted euxassay_002187_07
TS23: vault of skull Moderate Regionally restricted euxassay_002187_07
TS23: rib Moderate Regionally restricted euxassay_002187_07
TS23: axial skeleton Moderate Regionally restricted euxassay_002187_07
TS23: mandible Weak Regionally restricted euxassay_002187_07
TS23: vibrissa Weak Regionally restricted euxassay_002187_07
TS23: liver lobe Weak Regionally restricted euxassay_002187_07
TS23: Meckel's cartilage Moderate Regionally restricted euxassay_002187_07
TS23: pelvic girdle skeleton Weak Regionally restricted euxassay_002187_07

Specimen euxassay_002187_08: embryonic day 14.5 (more )
Structure Level Pattern Image Note
TS23: metencephalon part of 4th ventricle choroid plexus Strong Regionally restricted euxassay_002187_08
TS23: lateral ventricle choroid plexus Strong Regionally restricted euxassay_002187_08
TS23: turbinate bone primordium Strong Regionally restricted euxassay_002187_08
TS23: axial skeleton Moderate Regionally restricted euxassay_002187_08
TS23: rib Moderate Regionally restricted euxassay_002187_08
TS23: mandible Weak Regionally restricted euxassay_002187_08
TS23: vibrissa Weak Regionally restricted euxassay_002187_08
TS23: liver lobe Weak Regionally restricted euxassay_002187_08
TS23: Meckel's cartilage Moderate Regionally restricted euxassay_002187_08
TS23: pelvic girdle skeleton Weak Regionally restricted euxassay_002187_08

Specimen euxassay_002187_09: embryonic day 14.5 (more )
Structure Level Pattern Image Note
TS23: metencephalon part of 4th ventricle choroid plexus Strong Regionally restricted euxassay_002187_09
TS23: lateral ventricle choroid plexus Strong Regionally restricted euxassay_002187_09
TS23: turbinate bone primordium Strong Regionally restricted euxassay_002187_09
TS23: rib Moderate Regionally restricted euxassay_002187_09
TS23: axial skeleton Moderate Regionally restricted euxassay_002187_09
TS23: mandible Weak Regionally restricted euxassay_002187_09
TS23: liver lobe Moderate Regionally restricted euxassay_002187_09
TS23: Meckel's cartilage Moderate Regionally restricted euxassay_002187_09
TS23: pelvic girdle skeleton Weak Regionally restricted euxassay_002187_09
TS23: lower lip Weak Regionally restricted euxassay_002187_09
TS23: thyroid cartilage Weak Regionally restricted euxassay_002187_09
TS23: heart valve Weak Regionally restricted euxassay_002187_09

Specimen euxassay_002187_10: embryonic day 14.5 (more )
Structure Level Pattern Image Note
TS23: metencephalon part of 4th ventricle choroid plexus Strong Regionally restricted euxassay_002187_10
TS23: lateral ventricle choroid plexus Strong Regionally restricted euxassay_002187_10
TS23: turbinate bone primordium Strong Regionally restricted euxassay_002187_10
TS23: axial skeleton Moderate Regionally restricted euxassay_002187_10
TS23: rib Moderate Regionally restricted euxassay_002187_10
TS23: liver lobe Moderate Regionally restricted euxassay_002187_10
TS23: Meckel's cartilage Moderate Regionally restricted euxassay_002187_10
TS23: lower lip Weak Regionally restricted euxassay_002187_10
TS23: upper lip Weak Regionally restricted euxassay_002187_10
TS23: thyroid cartilage Weak Regionally restricted euxassay_002187_10

Specimen euxassay_002187_11: embryonic day 14.5 (more )
Structure Level Pattern Image Note
TS23: metencephalon part of 4th ventricle choroid plexus Strong Regionally restricted euxassay_002187_11
TS23: turbinate bone primordium Strong Regionally restricted euxassay_002187_11
TS23: axial skeleton Moderate Regionally restricted euxassay_002187_11
TS23: liver lobe Weak Regionally restricted euxassay_002187_11
TS23: Meckel's cartilage Moderate Regionally restricted euxassay_002187_11
TS23: clavicle Weak Regionally restricted euxassay_002187_11
TS23: upper lip Weak Regionally restricted euxassay_002187_11
TS23: lower lip Weak Regionally restricted euxassay_002187_11
TS23: thyroid cartilage Weak Regionally restricted euxassay_002187_11
TS23: heart valve Weak Regionally restricted euxassay_002187_11

Specimen euxassay_002187_12: embryonic day 14.5 (more )
Structure Level Pattern Image Note
TS23: metencephalon part of 4th ventricle choroid plexus Strong Regionally restricted euxassay_002187_12
TS23: axial skeleton Weak Regionally restricted euxassay_002187_12
TS23: nasal septum Strong Regionally restricted euxassay_002187_12
TS23: liver lobe Weak Regionally restricted euxassay_002187_12
TS23: clavicle Weak Regionally restricted euxassay_002187_12
TS23: upper lip Weak Regionally restricted euxassay_002187_12
TS23: thyroid cartilage Weak Regionally restricted euxassay_002187_12
TS23: heart valve Weak Regionally restricted euxassay_002187_12

Specimen euxassay_002187_13: embryonic day 14.5 (more )
Structure Level Pattern Image Note
TS23: metencephalon part of 4th ventricle choroid plexus Strong Regionally restricted euxassay_002187_13
TS23: rib Moderate Regionally restricted euxassay_002187_13
TS23: axial skeleton Moderate Regionally restricted euxassay_002187_13
TS23: nasal septum Strong Regionally restricted euxassay_002187_13
TS23: liver lobe Moderate Regionally restricted euxassay_002187_13
TS23: Meckel's cartilage Moderate Regionally restricted euxassay_002187_13
TS23: nephric duct of male Weak Regionally restricted euxassay_002187_13
TS23: tongue Moderate Regionally restricted euxassay_002187_13
TS23: upper lip Weak Regionally restricted euxassay_002187_13
TS23: lower lip Weak Regionally restricted euxassay_002187_13

Specimen euxassay_002187_14: embryonic day 14.5 (more )
Structure Level Pattern Image Note
TS23: metencephalon part of 4th ventricle choroid plexus Strong Regionally restricted euxassay_002187_14
TS23: rib Weak Regionally restricted euxassay_002187_14
TS23: axial skeleton Moderate Regionally restricted euxassay_002187_14
TS23: nasal septum Strong Regionally restricted euxassay_002187_14
TS23: liver lobe Weak Regionally restricted euxassay_002187_14
TS23: Meckel's cartilage Moderate Regionally restricted euxassay_002187_14
TS23: clavicle Weak Regionally restricted euxassay_002187_14
TS23: upper lip Weak Regionally restricted euxassay_002187_14
TS23: lower lip Weak Regionally restricted euxassay_002187_14

Specimen euxassay_002187_15: embryonic day 14.5 (more )
Structure Level Pattern Image Note
TS23: metencephalon part of 4th ventricle choroid plexus Strong Regionally restricted euxassay_002187_15
TS23: rib Weak Regionally restricted euxassay_002187_15
TS23: nasal septum Strong Regionally restricted euxassay_002187_15
TS23: liver lobe Weak Regionally restricted euxassay_002187_15
TS23: Meckel's cartilage Moderate Regionally restricted euxassay_002187_15
TS23: pelvic girdle skeleton Weak Regionally restricted euxassay_002187_15
TS23: upper lip Weak Regionally restricted euxassay_002187_15

Specimen euxassay_002187_16: embryonic day 14.5 (more )
Structure Level Pattern Image Note
TS23: metencephalon part of 4th ventricle choroid plexus Strong Regionally restricted euxassay_002187_16
TS23: lateral ventricle choroid plexus Strong Regionally restricted euxassay_002187_16
TS23: turbinate bone primordium Strong Regionally restricted euxassay_002187_16
TS23: rib Weak Regionally restricted euxassay_002187_16
TS23: mandible Weak Regionally restricted euxassay_002187_16
TS23: nasal septum Strong Regionally restricted euxassay_002187_16
TS23: liver lobe Moderate Regionally restricted euxassay_002187_16
TS23: Meckel's cartilage Moderate Regionally restricted euxassay_002187_16
TS23: pelvic girdle skeleton Moderate Regionally restricted euxassay_002187_16
TS23: clavicle Weak Regionally restricted euxassay_002187_16
TS23: upper lip Moderate Regionally restricted euxassay_002187_16
TS23: lower lip Moderate Regionally restricted euxassay_002187_16

Specimen euxassay_002187_17: embryonic day 14.5 (more )
Structure Level Pattern Image Note
TS23: metencephalon part of 4th ventricle choroid plexus Strong Regionally restricted euxassay_002187_17
TS23: lateral ventricle choroid plexus Strong Regionally restricted euxassay_002187_17
TS23: turbinate bone primordium Strong Regionally restricted euxassay_002187_17
TS23: orbito-sphenoid Moderate Regionally restricted euxassay_002187_17
TS23: vault of skull Moderate Regionally restricted euxassay_002187_17
TS23: exoccipital bone Moderate Regionally restricted euxassay_002187_17
TS23: rib Weak Regionally restricted euxassay_002187_17
TS23: mandible Weak Regionally restricted euxassay_002187_17
TS23: nasal septum Strong Regionally restricted euxassay_002187_17
TS23: liver lobe Moderate Regionally restricted euxassay_002187_17
TS23: Meckel's cartilage Moderate Regionally restricted euxassay_002187_17
TS23: pelvic girdle skeleton Moderate Regionally restricted euxassay_002187_17
TS23: lower lip Moderate Regionally restricted euxassay_002187_17
TS23: upper lip Weak Regionally restricted euxassay_002187_17

Specimen euxassay_002187_18: embryonic day 14.5 (more )
Structure Level Pattern Image Note
TS23: lateral ventricle choroid plexus Strong Regionally restricted euxassay_002187_18
TS23: metencephalon part of 4th ventricle choroid plexus Strong Regionally restricted euxassay_002187_18
TS23: exoccipital bone Moderate Regionally restricted euxassay_002187_18
TS23: vault of skull Moderate Regionally restricted euxassay_002187_18
TS23: orbito-sphenoid Moderate Regionally restricted euxassay_002187_18
TS23: turbinate bone primordium Strong Regionally restricted euxassay_002187_18
TS23: rib Weak Regionally restricted euxassay_002187_18
TS23: mandible Weak Regionally restricted euxassay_002187_18
TS23: liver lobe Moderate Regionally restricted euxassay_002187_18
TS23: humerus Weak Regionally restricted euxassay_002187_18
TS23: upper lip Weak Regionally restricted euxassay_002187_18

Specimen euxassay_002187_19: embryonic day 14.5 (more )
Structure Level Pattern Image Note
TS23: turbinate bone primordium Strong Regionally restricted euxassay_002187_19
TS23: orbito-sphenoid Moderate Regionally restricted euxassay_002187_19
TS23: vault of skull Moderate Regionally restricted euxassay_002187_19
TS23: exoccipital bone Moderate Regionally restricted euxassay_002187_19
TS23: rib Weak Regionally restricted euxassay_002187_19
TS23: mandible Weak Regionally restricted euxassay_002187_19
TS23: liver lobe Moderate Regionally restricted euxassay_002187_19
TS23: humerus Weak Regionally restricted euxassay_002187_19

Specimen euxassay_002187_20: embryonic day 14.5 (more )
Structure Level Pattern Image Note
TS23: exoccipital bone Moderate Regionally restricted euxassay_002187_20
TS23: orbito-sphenoid Moderate Regionally restricted euxassay_002187_20
TS23: vault of skull Moderate Regionally restricted euxassay_002187_20
TS23: rib Weak Regionally restricted euxassay_002187_20
TS23: mandible Weak Regionally restricted euxassay_002187_20
TS23: liver lobe Moderate Regionally restricted euxassay_002187_20
TS23: humerus Weak Regionally restricted euxassay_002187_20

Specimen euxassay_002187_21: embryonic day 14.5 (more )
Structure Level Pattern Image Note
TS23: orbito-sphenoid Moderate Regionally restricted euxassay_002187_21
TS23: vault of skull Moderate Regionally restricted euxassay_002187_21
TS23: exoccipital bone Moderate Regionally restricted euxassay_002187_21
TS23: rib Weak Regionally restricted euxassay_002187_21
TS23: vibrissa Moderate Regionally restricted euxassay_002187_21
TS23: liver lobe Moderate Regionally restricted euxassay_002187_21

Specimen euxassay_002187_22: embryonic day 14.5 (more )
Structure Level Pattern Image Note
TS23: exoccipital bone Moderate Regionally restricted euxassay_002187_22
TS23: orbito-sphenoid Moderate Regionally restricted euxassay_002187_22
TS23: rib Weak Regionally restricted euxassay_002187_22
TS23: vibrissa Moderate Regionally restricted euxassay_002187_22
TS23: liver lobe Weak Regionally restricted euxassay_002187_22

Specimen euxassay_002187_23: embryonic day 14.5 (more )
Structure Level Pattern Image Note
TS23: vault of skull Moderate Regionally restricted euxassay_002187_23
TS23: rib Weak Regionally restricted euxassay_002187_23
TS23: vibrissa Moderate Regionally restricted euxassay_002187_23
TS23: liver lobe Weak Regionally restricted euxassay_002187_23
TS23: foot mesenchyme Moderate Regionally restricted euxassay_002187_23
TS23: hand mesenchyme Moderate Regionally restricted euxassay_002187_23

Specimen euxassay_002187_24: embryonic day 14.5 (more )
Structure Level Pattern Image Note
TS23: rib Weak Regionally restricted euxassay_002187_24
TS23: liver lobe Weak Regionally restricted euxassay_002187_24
TS23: foot mesenchyme Moderate Regionally restricted euxassay_002187_24
TS23: hindlimb digit 2 phalanx Moderate Regionally restricted euxassay_002187_24
TS23: hindlimb digit 3 phalanx Moderate Regionally restricted euxassay_002187_24
TS23: hand mesenchyme Moderate Regionally restricted euxassay_002187_24


Contributing Projects:
Mouse Genome Database (MGD), Gene Expression Database (GXD), Mouse Models of Human Cancer database (MMHCdb) (formerly Mouse Tumor Biology (MTB)), Gene Ontology (GO)
Citing These Resources
Funding Information
Warranty Disclaimer, Privacy Notice, Licensing, & Copyright
Send questions and comments to User Support.
last database update
01/20/2026
MGI 6.24
The Jackson Laboratory