About   Help   FAQ
Gene Expression Data
Assay Details
Assay
Reference: J:153498 Diez-Roux G, et al., A high-resolution anatomical atlas of the transcriptome in the mouse embryo. PLoS Biol. 2011;9(1):e1000582
Assay type: RNA in situ
MGI Accession ID: MGI:4823189
Gene symbol: Apoe
Gene name: apolipoprotein E
Probe: MGC clone 36251
Probe preparation: Antisense labelled with digoxigenin RNA
Visualized with: Alkaline phosphatase
Assay notes: Cryosections of fresh frozen material were fixed in 4% paraformaldehyde for 20 min. before further processing. A tyramide-biotin/streptavidin amplification step was included in the in situ hybridization procedure.
Results
Specimen euxassay_003949_02: embryonic day 14.5 (more )
Structure Level Pattern Image Note
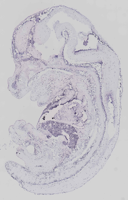
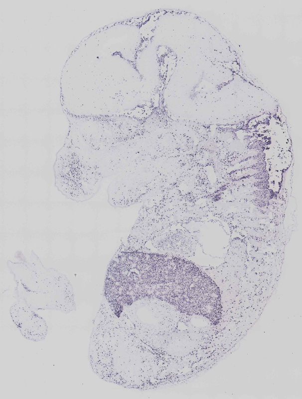
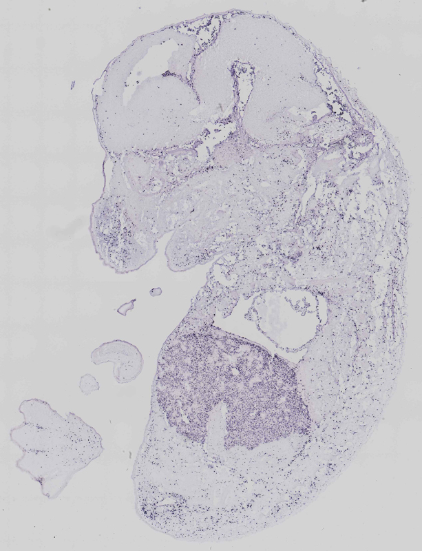
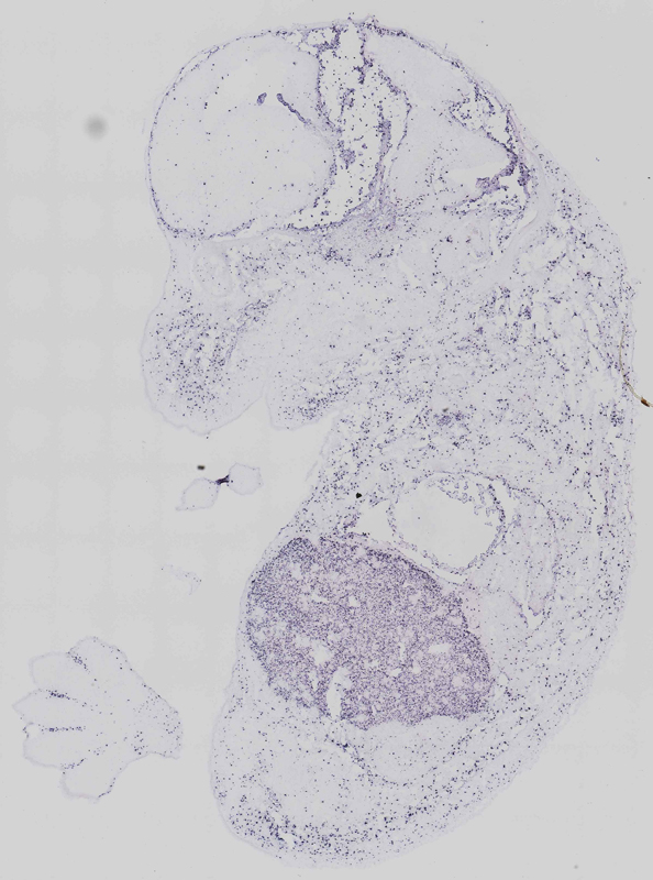
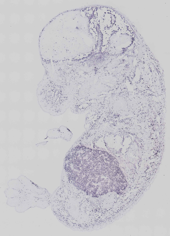
TS23: liver left lobe Strong Regionally restricted euxassay_003949_02

Specimen euxassay_003949_03: embryonic day 14.5 (more )
Structure Level Pattern Image Note
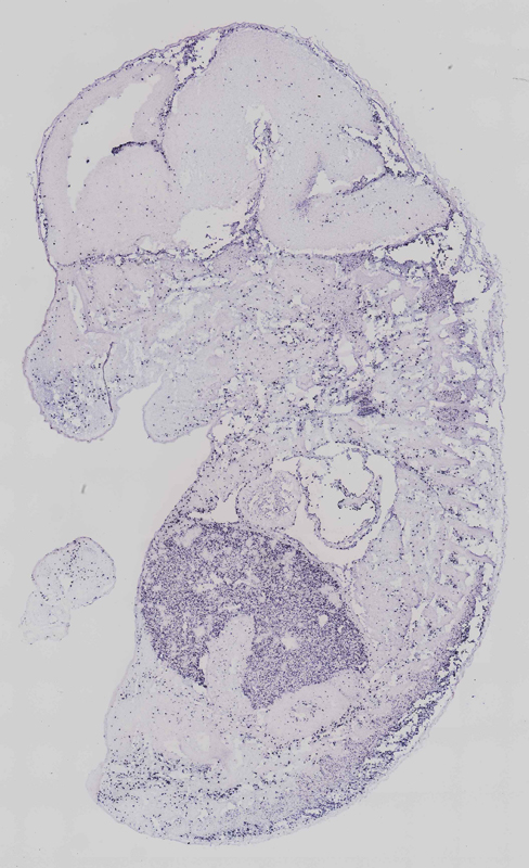
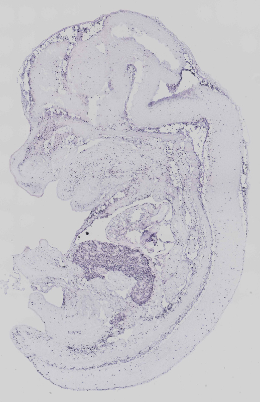
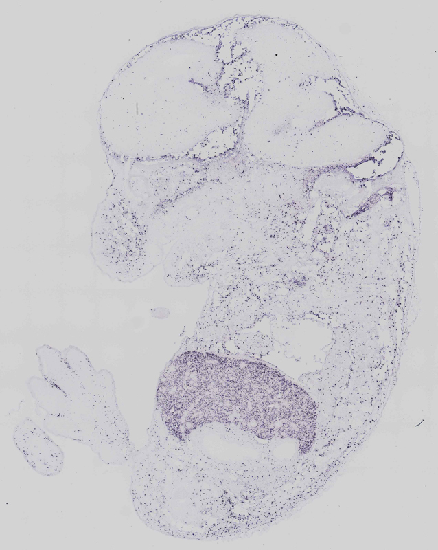
TS23: liver left lobe Strong Regionally restricted euxassay_003949_03

Specimen euxassay_003949_04: embryonic day 14.5 (more )
Structure Level Pattern Image Note
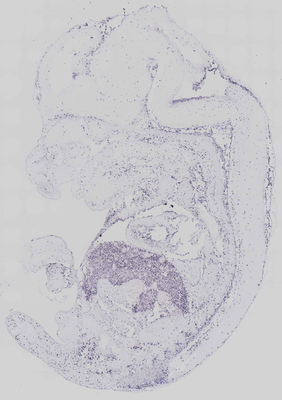
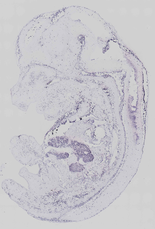
TS23: liver left lobe Strong Regionally restricted euxassay_003949_04

Specimen euxassay_003949_05: embryonic day 14.5 (more )
Structure Level Pattern Image Note
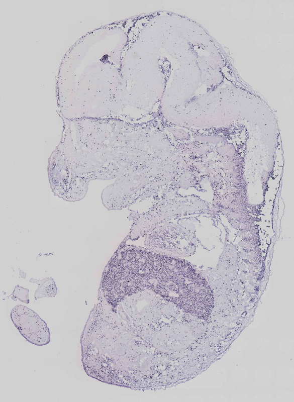
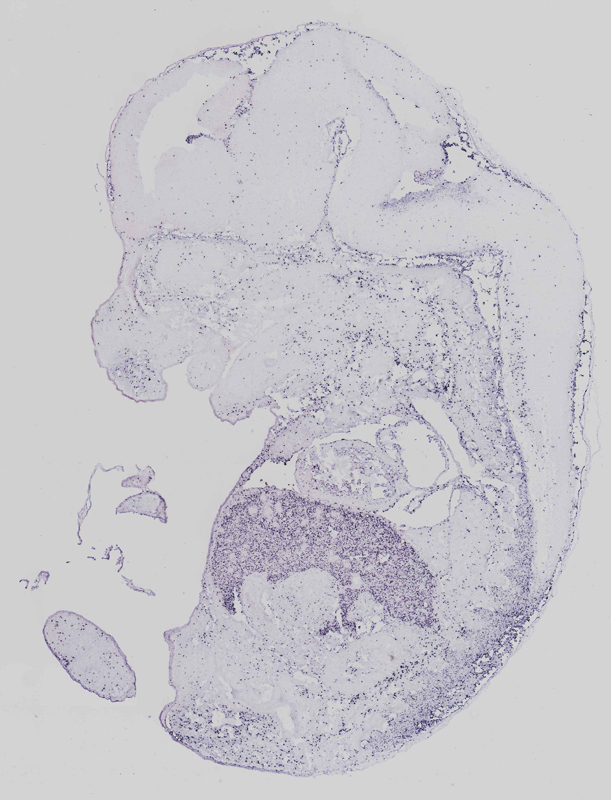
TS23: liver left lobe Strong Regionally restricted euxassay_003949_05

Specimen euxassay_003949_06: embryonic day 14.5 (more )
Structure Level Pattern Image Note
TS23: liver left lobe Strong Regionally restricted euxassay_003949_06

Specimen euxassay_003949_07: embryonic day 14.5 (more )
Structure Level Pattern Image Note
TS23: liver left lobe Strong Regionally restricted euxassay_003949_07
TS23: lateral ventricle choroid plexus Moderate Regionally restricted euxassay_003949_07

Specimen euxassay_003949_08: embryonic day 14.5 (more )
Structure Level Pattern Image Note
TS23: liver left lobe Strong Regionally restricted euxassay_003949_08
TS23: lateral ventricle choroid plexus Moderate Regionally restricted euxassay_003949_08

Specimen euxassay_003949_09: embryonic day 14.5 (more )
Structure Level Pattern Image Note
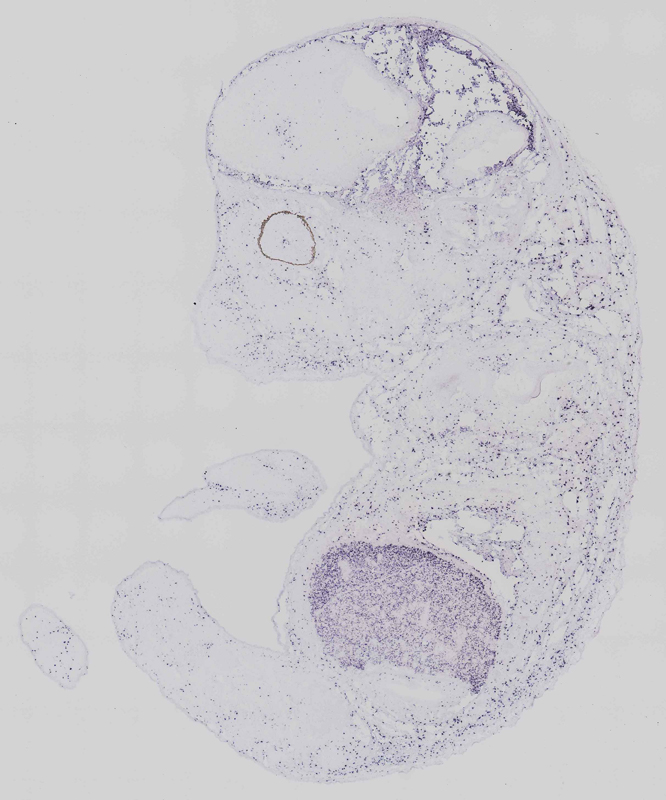
TS23: liver left lobe Strong Regionally restricted euxassay_003949_09
TS23: lateral ventricle choroid plexus Moderate Regionally restricted euxassay_003949_09

Specimen euxassay_003949_10: embryonic day 14.5 (more )
Structure Level Pattern Image Note
TS23: liver left lobe Strong Regionally restricted euxassay_003949_10
TS23: lateral ventricle choroid plexus Moderate Regionally restricted euxassay_003949_10

Specimen euxassay_003949_11: embryonic day 14.5 (more )
Structure Level Pattern Image Note
TS23: liver left lobe Strong Regionally restricted euxassay_003949_11
TS23: lateral ventricle choroid plexus Moderate Regionally restricted euxassay_003949_11

Specimen euxassay_003949_12: embryonic day 14.5 (more )
Structure Level Pattern Image Note
TS23: liver left lobe Strong Regionally restricted euxassay_003949_12

Specimen euxassay_003949_13: embryonic day 14.5 (more )
Structure Level Pattern Image Note
TS23: liver left lobe Strong Regionally restricted euxassay_003949_13

Specimen euxassay_003949_14: embryonic day 14.5 (more )
Structure Level Pattern Image Note
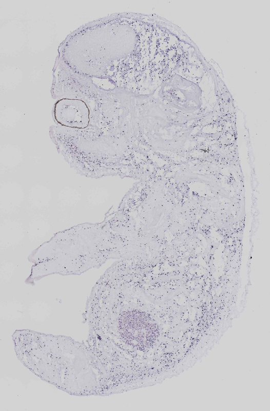
TS23: liver right lobe Strong Regionally restricted euxassay_003949_14

Specimen euxassay_003949_15: embryonic day 14.5 (more )
Structure Level Pattern Image Note
TS23: liver right lobe Strong Regionally restricted euxassay_003949_15

Specimen euxassay_003949_16: embryonic day 14.5 (more )
Structure Level Pattern Image Note
TS23: liver right lobe Strong Regionally restricted euxassay_003949_16
TS23: lateral ventricle choroid plexus Moderate Regionally restricted euxassay_003949_16

Specimen euxassay_003949_17: embryonic day 14.5 (more )
Structure Level Pattern Image Note
TS23: liver right lobe Strong Regionally restricted euxassay_003949_17
TS23: lateral ventricle choroid plexus Strong Regionally restricted euxassay_003949_17

Specimen euxassay_003949_18: embryonic day 14.5 (more )
Structure Level Pattern Image Note
TS23: liver right lobe Strong Regionally restricted euxassay_003949_18
TS23: lateral ventricle choroid plexus Moderate Regionally restricted euxassay_003949_18

Specimen euxassay_003949_19: embryonic day 14.5 (more )
Structure Level Pattern Image Note
TS23: liver right lobe Strong Regionally restricted euxassay_003949_19
TS23: lateral ventricle choroid plexus Moderate Regionally restricted euxassay_003949_19

Specimen euxassay_003949_20: embryonic day 14.5 (more )
Structure Level Pattern Image Note
TS23: liver right lobe Strong Regionally restricted euxassay_003949_20
TS23: lateral ventricle choroid plexus Moderate Regionally restricted euxassay_003949_20

Specimen euxassay_003949_21: embryonic day 14.5 (more )
Structure Level Pattern Image Note
TS23: liver right lobe Strong Regionally restricted euxassay_003949_21


Contributing Projects:
Mouse Genome Database (MGD), Gene Expression Database (GXD), Mouse Models of Human Cancer database (MMHCdb) (formerly Mouse Tumor Biology (MTB)), Gene Ontology (GO)
Citing These Resources
Funding Information
Warranty Disclaimer, Privacy Notice, Licensing, & Copyright
Send questions and comments to User Support.
last database update
12/30/2025
MGI 6.24
The Jackson Laboratory