About   Help   FAQ
Gene Expression Data
Assay Details
Assay
Reference: J:153498 Diez-Roux G, et al., A high-resolution anatomical atlas of the transcriptome in the mouse embryo. PLoS Biol. 2011;9(1):e1000582
Assay type: RNA in situ
MGI Accession ID: MGI:4823186
Gene symbol: Apobec3
Gene name: apolipoprotein B mRNA editing enzyme, catalytic polypeptide 3
Probe: T30734
Probe preparation: Antisense labelled with digoxigenin RNA
Visualized with: Alkaline phosphatase
Assay notes: Cryosections of fresh frozen material were fixed in 4% paraformaldehyde for 20 min. before further processing. A tyramide-biotin/streptavidin amplification step was included in the in situ hybridization procedure.
Results
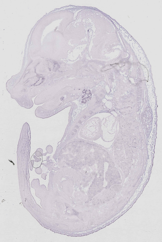
Specimen euxassay_012095_07: embryonic day 14.5 (more )
Structure Level Pattern Image Note
TS23: submandibular gland primordium Moderate Regionally restricted euxassay_012095_07

Specimen euxassay_012095_08: embryonic day 14.5 (more )
Structure Level Pattern Image Note
TS23: submandibular gland primordium Moderate Regionally restricted euxassay_012095_08

Specimen euxassay_012095_09: embryonic day 14.5 (more )
Structure Level Pattern Image Note
TS23: submandibular gland primordium Moderate Regionally restricted euxassay_012095_09

Specimen euxassay_012095_10: embryonic day 14.5 (more )
Structure Level Pattern Image Note
TS23: submandibular gland primordium Moderate Regionally restricted euxassay_012095_10

Specimen euxassay_012095_11: embryonic day 14.5 (more )
Structure Level Pattern Image Note
TS23: submandibular gland primordium Moderate Regionally restricted euxassay_012095_11
TS23: thymus primordium Strong Regionally restricted euxassay_012095_11

Specimen euxassay_012095_12: embryonic day 14.5 (more )
Structure Level Pattern Image Note
TS23: thymus primordium Strong Regionally restricted euxassay_012095_12

Specimen euxassay_012095_13: embryonic day 14.5 (more )
Structure Level Pattern Image Note
TS23: thymus primordium Strong Regionally restricted euxassay_012095_13

Specimen euxassay_012095_14: embryonic day 14.5 (more )
Structure Level Pattern Image Note
TS23: thymus primordium Strong Regionally restricted euxassay_012095_14

Specimen euxassay_012095_15: embryonic day 14.5 (more )
Structure Level Pattern Image Note
TS23: thymus primordium Strong Regionally restricted euxassay_012095_15

Specimen euxassay_012095_16: embryonic day 14.5 (more )
Structure Level Pattern Image Note
TS23: thymus primordium Strong Regionally restricted euxassay_012095_16

Specimen euxassay_012095_18: embryonic day 14.5 (more )
Structure Level Pattern Image Note
TS23: submandibular gland primordium Moderate Regionally restricted euxassay_012095_18

Specimen euxassay_012095_19: embryonic day 14.5 (more )
Structure Level Pattern Image Note
TS23: submandibular gland primordium Weak Regionally restricted euxassay_012095_19

Specimen euxassay_012095_20: embryonic day 14.5 (more )
Structure Level Pattern Image Note
TS23: submandibular gland primordium Weak Regionally restricted euxassay_012095_20


Contributing Projects:
Mouse Genome Database (MGD), Gene Expression Database (GXD), Mouse Models of Human Cancer database (MMHCdb) (formerly Mouse Tumor Biology (MTB)), Gene Ontology (GO)
Citing These Resources
Funding Information
Warranty Disclaimer, Privacy Notice, Licensing, & Copyright
Send questions and comments to User Support.
last database update
01/28/2026
MGI 6.24
The Jackson Laboratory