About   Help   FAQ
Gene Expression Data
Assay Details
Assay
Reference: J:153498 Diez-Roux G, et al., A high-resolution anatomical atlas of the transcriptome in the mouse embryo. PLoS Biol. 2011;9(1):e1000582
Assay type: RNA in situ
MGI Accession ID: MGI:4823178
Gene symbol: Apln
Gene name: apelin
Probe: MGC clone 27819
Probe preparation: Antisense labelled with digoxigenin RNA
Visualized with: Alkaline phosphatase
Assay notes: Cryosections of fresh frozen material were fixed in 4% paraformaldehyde for 20 min. before further processing. A tyramide-biotin/streptavidin amplification step was included in the in situ hybridization procedure.
Results
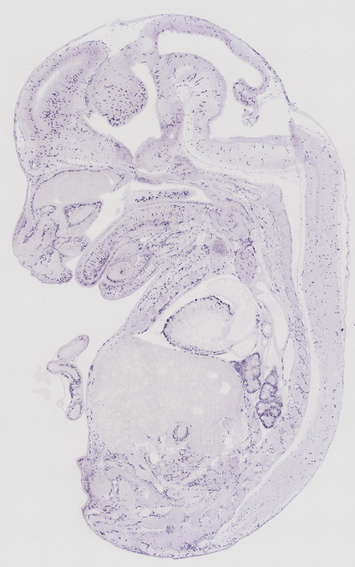
Specimen euxassay_003400_01: embryonic day 14.5 (more )
Structure Level Pattern Image Note
TS23: embryo mesenchyme Moderate Regionally restricted euxassay_003400_01
TS23: brain Moderate Regionally restricted euxassay_003400_01
TS23: stomach Moderate Regionally restricted euxassay_003400_01

Specimen euxassay_003400_02: embryonic day 14.5 (more )
Structure Level Pattern Image Note
TS23: embryo mesenchyme Moderate Regionally restricted euxassay_003400_02
TS23: brain Moderate Regionally restricted euxassay_003400_02
TS23: stomach Moderate Regionally restricted euxassay_003400_02

Specimen euxassay_003400_03: embryonic day 14.5 (more )
Structure Level Pattern Image Note
TS23: axial musculature Weak Regionally restricted euxassay_003400_03
TS23: lung Moderate Regionally restricted euxassay_003400_03
TS23: embryo mesenchyme Moderate Regionally restricted euxassay_003400_03
TS23: brain Moderate Regionally restricted euxassay_003400_03
TS23: stomach Moderate Regionally restricted euxassay_003400_03

Specimen euxassay_003400_04: embryonic day 14.5 (more )
Structure Level Pattern Image Note
TS23: axial musculature Weak Regionally restricted euxassay_003400_04
TS23: lung Moderate Regionally restricted euxassay_003400_04
TS23: embryo mesenchyme Moderate Regionally restricted euxassay_003400_04
TS23: brain Moderate Regionally restricted euxassay_003400_04
TS23: stomach Moderate Regionally restricted euxassay_003400_04

Specimen euxassay_003400_05: embryonic day 14.5 (more )
Structure Level Pattern Image Note
TS23: axial musculature Weak Regionally restricted euxassay_003400_05
TS23: lung Moderate Regionally restricted euxassay_003400_05
TS23: embryo mesenchyme Moderate Regionally restricted euxassay_003400_05
TS23: brain Moderate Regionally restricted euxassay_003400_05
TS23: stomach Moderate Regionally restricted euxassay_003400_05
TS23: testis Weak Regionally restricted euxassay_003400_05

Specimen euxassay_003400_06: embryonic day 14.5 (more )
Structure Level Pattern Image Note
TS23: axial musculature Moderate Regionally restricted euxassay_003400_06
TS23: lung Moderate Regionally restricted euxassay_003400_06
TS23: embryo mesenchyme Moderate Regionally restricted euxassay_003400_06
TS23: brain Moderate Regionally restricted euxassay_003400_06
TS23: pericardium Moderate Regionally restricted euxassay_003400_06
TS23: stomach Moderate Regionally restricted euxassay_003400_06
TS23: testis Weak Regionally restricted euxassay_003400_06

Specimen euxassay_003400_07: embryonic day 14.5 (more )
Structure Level Pattern Image Note
TS23: axial musculature Moderate Regionally restricted euxassay_003400_07
TS23: lung Moderate Regionally restricted euxassay_003400_07
TS23: embryo mesenchyme Moderate Regionally restricted euxassay_003400_07
TS23: brain Moderate Regionally restricted euxassay_003400_07
TS23: pericardium Moderate Regionally restricted euxassay_003400_07
TS23: metanephros Weak Regionally restricted euxassay_003400_07
TS23: stomach Moderate Regionally restricted euxassay_003400_07
TS23: testis Weak Regionally restricted euxassay_003400_07

Specimen euxassay_003400_08: embryonic day 14.5 (more )
Structure Level Pattern Image Note
TS23: lung Moderate Regionally restricted euxassay_003400_08
TS23: embryo mesenchyme Moderate Regionally restricted euxassay_003400_08
TS23: brain Moderate Regionally restricted euxassay_003400_08
TS23: pericardium Moderate Regionally restricted euxassay_003400_08
TS23: metanephros Moderate Regionally restricted euxassay_003400_08
TS23: stomach Weak Regionally restricted euxassay_003400_08
TS23: testis Weak Regionally restricted euxassay_003400_08

Specimen euxassay_003400_09: embryonic day 14.5 (more )
Structure Level Pattern Image Note
TS23: lung Moderate Regionally restricted euxassay_003400_09
TS23: embryo mesenchyme Moderate Regionally restricted euxassay_003400_09
TS23: brain Moderate Regionally restricted euxassay_003400_09
TS23: pericardium Moderate Regionally restricted euxassay_003400_09
TS23: metanephros Weak Regionally restricted euxassay_003400_09
TS23: stomach Weak Regionally restricted euxassay_003400_09
TS23: pancreas Moderate Regionally restricted euxassay_003400_09

Specimen euxassay_003400_10: embryonic day 14.5 (more )
Structure Level Pattern Image Note
TS23: lung Moderate Regionally restricted euxassay_003400_10
TS23: embryo mesenchyme Moderate Regionally restricted euxassay_003400_10
TS23: brain Moderate Regionally restricted euxassay_003400_10
TS23: pericardium Moderate Regionally restricted euxassay_003400_10
TS23: metanephros Weak Regionally restricted euxassay_003400_10
TS23: midgut Weak Regionally restricted euxassay_003400_10
TS23: tongue muscle Moderate Regionally restricted euxassay_003400_10
TS23: pancreas Moderate Regionally restricted euxassay_003400_10

Specimen euxassay_003400_11: embryonic day 14.5 (more )
Structure Level Pattern Image Note
TS23: lung Moderate Regionally restricted euxassay_003400_11
TS23: embryo mesenchyme Moderate Regionally restricted euxassay_003400_11
TS23: brain Moderate Regionally restricted euxassay_003400_11
TS23: pericardium Moderate Regionally restricted euxassay_003400_11
TS23: midgut Weak Regionally restricted euxassay_003400_11
TS23: tongue muscle Moderate Regionally restricted euxassay_003400_11
TS23: pancreas Moderate Regionally restricted euxassay_003400_11

Specimen euxassay_003400_12: embryonic day 14.5 (more )
Structure Level Pattern Image Note
TS23: lung Weak Regionally restricted euxassay_003400_12
TS23: embryo mesenchyme Moderate Regionally restricted euxassay_003400_12
TS23: brain Moderate Regionally restricted euxassay_003400_12
TS23: pericardium Moderate Regionally restricted euxassay_003400_12
TS23: hindgut Weak Regionally restricted euxassay_003400_12
TS23: midgut Weak Regionally restricted euxassay_003400_12
TS23: tongue muscle Weak Regionally restricted euxassay_003400_12

Specimen euxassay_003400_13: embryonic day 14.5 (more )
Structure Level Pattern Image Note
TS23: lung Moderate Regionally restricted euxassay_003400_13
TS23: embryo mesenchyme Moderate Regionally restricted euxassay_003400_13
TS23: brain Moderate Regionally restricted euxassay_003400_13
TS23: pericardium Moderate Regionally restricted euxassay_003400_13
TS23: midgut Weak Regionally restricted euxassay_003400_13
TS23: hindgut Weak Regionally restricted euxassay_003400_13
TS23: tongue muscle Weak Regionally restricted euxassay_003400_13
TS23: glans of male genital tubercle Moderate Regionally restricted euxassay_003400_13

Specimen euxassay_003400_14: embryonic day 14.5 (more )
Structure Level Pattern Image Note
TS23: lung Moderate Regionally restricted euxassay_003400_14
TS23: embryo mesenchyme Moderate Regionally restricted euxassay_003400_14
TS23: brain Moderate Regionally restricted euxassay_003400_14
TS23: pericardium Moderate Regionally restricted euxassay_003400_14
TS23: midgut Weak Regionally restricted euxassay_003400_14
TS23: hindgut Weak Regionally restricted euxassay_003400_14
TS23: tongue muscle Weak Regionally restricted euxassay_003400_14
TS23: glans of male genital tubercle Moderate Regionally restricted euxassay_003400_14

Specimen euxassay_003400_15: embryonic day 14.5 (more )
Structure Level Pattern Image Note
TS23: lung Moderate Regionally restricted euxassay_003400_15
TS23: embryo mesenchyme Moderate Regionally restricted euxassay_003400_15
TS23: brain Moderate Regionally restricted euxassay_003400_15
TS23: pericardium Moderate Regionally restricted euxassay_003400_15
TS23: midgut Weak Regionally restricted euxassay_003400_15
TS23: hindgut Weak Regionally restricted euxassay_003400_15
TS23: tongue muscle Moderate Regionally restricted euxassay_003400_15
TS23: glans of male genital tubercle Moderate Regionally restricted euxassay_003400_15

Specimen euxassay_003400_16: embryonic day 14.5 (more )
Structure Level Pattern Image Note
TS23: lung Moderate Regionally restricted euxassay_003400_16
TS23: embryo mesenchyme Moderate Regionally restricted euxassay_003400_16
TS23: brain Moderate Regionally restricted euxassay_003400_16
TS23: pericardium Moderate Regionally restricted euxassay_003400_16
TS23: midgut Weak Regionally restricted euxassay_003400_16
TS23: hindgut Weak Regionally restricted euxassay_003400_16
TS23: tongue muscle Moderate Regionally restricted euxassay_003400_16
TS23: glans of male genital tubercle Weak Regionally restricted euxassay_003400_16

Specimen euxassay_003400_17: embryonic day 14.5 (more )
Structure Level Pattern Image Note
TS23: lung Moderate Regionally restricted euxassay_003400_17
TS23: embryo mesenchyme Moderate Regionally restricted euxassay_003400_17
TS23: brain Moderate Regionally restricted euxassay_003400_17
TS23: pericardium Moderate Regionally restricted euxassay_003400_17
TS23: metanephros Weak Regionally restricted euxassay_003400_17
TS23: midgut Weak Regionally restricted euxassay_003400_17
TS23: hindgut Weak Regionally restricted euxassay_003400_17
TS23: glans of male genital tubercle Moderate Regionally restricted euxassay_003400_17

Specimen euxassay_003400_18: embryonic day 14.5 (more )
Structure Level Pattern Image Note
TS23: lung Moderate Regionally restricted euxassay_003400_18
TS23: embryo mesenchyme Moderate Regionally restricted euxassay_003400_18
TS23: brain Moderate Regionally restricted euxassay_003400_18
TS23: pericardium Moderate Regionally restricted euxassay_003400_18
TS23: metanephros Moderate Regionally restricted euxassay_003400_18
TS23: midgut Weak Regionally restricted euxassay_003400_18

Specimen euxassay_003400_19: embryonic day 14.5 (more )
Structure Level Pattern Image Note
TS23: axial musculature Moderate Regionally restricted euxassay_003400_19
TS23: lung Moderate Regionally restricted euxassay_003400_19
TS23: embryo mesenchyme Moderate Regionally restricted euxassay_003400_19
TS23: brain Moderate Regionally restricted euxassay_003400_19
TS23: metanephros Weak Regionally restricted euxassay_003400_19
TS23: midgut Weak Regionally restricted euxassay_003400_19

Specimen euxassay_003400_20: embryonic day 14.5 (more )
Structure Level Pattern Image Note
TS23: axial musculature Weak Regionally restricted euxassay_003400_20
TS23: lung Moderate Regionally restricted euxassay_003400_20
TS23: embryo mesenchyme Moderate Regionally restricted euxassay_003400_20
TS23: brain Moderate Regionally restricted euxassay_003400_20
TS23: metanephros Weak Regionally restricted euxassay_003400_20
TS23: midgut Weak Regionally restricted euxassay_003400_20
TS23: testis Weak Regionally restricted euxassay_003400_20

Specimen euxassay_003400_21: embryonic day 14.5 (more )
Structure Level Pattern Image Note
TS23: axial musculature Moderate Regionally restricted euxassay_003400_21
TS23: lung Moderate Regionally restricted euxassay_003400_21
TS23: embryo mesenchyme Moderate Regionally restricted euxassay_003400_21
TS23: brain Moderate Regionally restricted euxassay_003400_21
TS23: testis Weak Regionally restricted euxassay_003400_21

Specimen euxassay_003400_22: embryonic day 14.5 (more )
Structure Level Pattern Image Note
TS23: axial musculature Moderate Regionally restricted euxassay_003400_22
TS23: lung Moderate Regionally restricted euxassay_003400_22
TS23: embryo mesenchyme Moderate Regionally restricted euxassay_003400_22
TS23: brain Moderate Regionally restricted euxassay_003400_22
TS23: testis Weak Regionally restricted euxassay_003400_22

Specimen euxassay_003400_23: embryonic day 14.5 (more )
Structure Level Pattern Image Note
TS23: lung Moderate Regionally restricted euxassay_003400_23
TS23: embryo mesenchyme Moderate Regionally restricted euxassay_003400_23
TS23: brain Moderate Regionally restricted euxassay_003400_23

Specimen euxassay_003400_24: embryonic day 14.5 (more )
Structure Level Pattern Image Note
TS23: lung Moderate Regionally restricted euxassay_003400_24
TS23: embryo mesenchyme Moderate Regionally restricted euxassay_003400_24
TS23: brain Moderate Regionally restricted euxassay_003400_24


Contributing Projects:
Mouse Genome Database (MGD), Gene Expression Database (GXD), Mouse Models of Human Cancer database (MMHCdb) (formerly Mouse Tumor Biology (MTB)), Gene Ontology (GO)
Citing These Resources
Funding Information
Warranty Disclaimer, Privacy Notice, Licensing, & Copyright
Send questions and comments to User Support.
last database update
12/30/2025
MGI 6.24
The Jackson Laboratory