About   Help   FAQ
Gene Expression Data
Assay Details
Assay
Reference: J:153498 Diez-Roux G, et al., A high-resolution anatomical atlas of the transcriptome in the mouse embryo. PLoS Biol. 2011;9(1):e1000582
Assay type: RNA in situ
MGI Accession ID: MGI:4823176
Gene symbol: Aph1b
Gene name: aph1 homolog B, gamma secretase subunit
Probe: MGC clone 90603
Probe preparation: Antisense labelled with digoxigenin RNA
Visualized with: Alkaline phosphatase
Assay notes: Cryosections of fresh frozen material were fixed in 4% paraformaldehyde for 20 min. before further processing. A tyramide-biotin/streptavidin amplification step was included in the in situ hybridization procedure.
Results
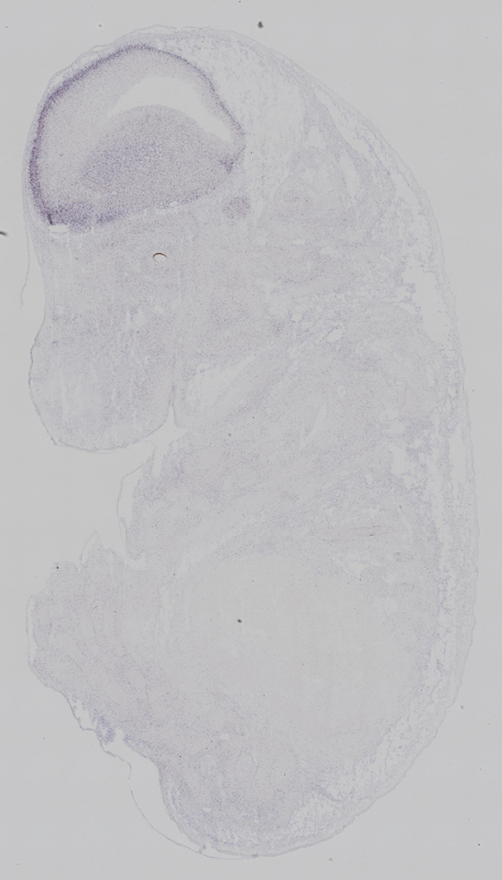
Specimen euxassay_005760_01: embryonic day 14.5 (more )
Structure Level Pattern Image Note
TS23: brain Moderate Regionally restricted euxassay_005760_01

Specimen euxassay_005760_02: embryonic day 14.5 (more )
Structure Level Pattern Image Note
TS23: brain Moderate Regionally restricted euxassay_005760_02

Specimen euxassay_005760_03: embryonic day 14.5 (more )
Structure Level Pattern Image Note
TS23: brain Moderate Regionally restricted euxassay_005760_03
TS23: cerebral cortex Moderate Regionally restricted euxassay_005760_03

Specimen euxassay_005760_04: embryonic day 14.5 (more )
Structure Level Pattern Image Note
TS23: brain Moderate Regionally restricted euxassay_005760_04
TS23: cerebral cortex Moderate Regionally restricted euxassay_005760_04
TS23: trigeminal ganglion Moderate Regionally restricted euxassay_005760_04

Specimen euxassay_005760_05: embryonic day 14.5 (more )
Structure Level Pattern Image Note
TS23: brain Moderate Regionally restricted euxassay_005760_05
TS23: cerebral cortex Moderate Regionally restricted euxassay_005760_05
TS23: dorsal root ganglion Moderate Regionally restricted euxassay_005760_05
TS23: trigeminal ganglion Moderate Regionally restricted euxassay_005760_05

Specimen euxassay_005760_06: embryonic day 14.5 (more )
Structure Level Pattern Image Note
TS23: brain Moderate Regionally restricted euxassay_005760_06
TS23: cerebral cortex Moderate Regionally restricted euxassay_005760_06
TS23: dorsal root ganglion Moderate Regionally restricted euxassay_005760_06
TS23: trigeminal ganglion Weak Regionally restricted euxassay_005760_06

Specimen euxassay_005760_07: embryonic day 14.5 (more )
Structure Level Pattern Image Note
TS23: brain Moderate Regionally restricted euxassay_005760_07
TS23: spinal cord Moderate Regionally restricted euxassay_005760_07
TS23: cerebral cortex Moderate Regionally restricted euxassay_005760_07
TS23: dorsal root ganglion Moderate Regionally restricted euxassay_005760_07
TS23: trigeminal ganglion Weak Regionally restricted euxassay_005760_07

Specimen euxassay_005760_08: embryonic day 14.5 (more )
Structure Level Pattern Image Note
TS23: brain Moderate Regionally restricted euxassay_005760_08
TS23: spinal cord Moderate Regionally restricted euxassay_005760_08
TS23: cerebral cortex Strong Regionally restricted euxassay_005760_08
TS23: dorsal root ganglion Moderate Regionally restricted euxassay_005760_08
TS23: trigeminal ganglion Weak Regionally restricted euxassay_005760_08

Specimen euxassay_005760_09: embryonic day 14.5 (more )
Structure Level Pattern Image Note
TS23: brain Moderate Regionally restricted euxassay_005760_09
TS23: spinal cord Moderate Regionally restricted euxassay_005760_09
TS23: cerebral cortex Strong Regionally restricted euxassay_005760_09
TS23: dorsal root ganglion Moderate Regionally restricted euxassay_005760_09

Specimen euxassay_005760_10: embryonic day 14.5 (more )
Structure Level Pattern Image Note
TS23: brain Moderate Regionally restricted euxassay_005760_10
TS23: spinal cord Moderate Regionally restricted euxassay_005760_10
TS23: cerebral cortex Strong Regionally restricted euxassay_005760_10
TS23: dorsal root ganglion Moderate Regionally restricted euxassay_005760_10

Specimen euxassay_005760_11: embryonic day 14.5 (more )
Structure Level Pattern Image Note
TS23: brain Moderate Regionally restricted euxassay_005760_11
TS23: spinal cord Moderate Regionally restricted euxassay_005760_11
TS23: cerebral cortex Strong Regionally restricted euxassay_005760_11
TS23: dorsal root ganglion Moderate Regionally restricted euxassay_005760_11

Specimen euxassay_005760_12: embryonic day 14.5 (more )
Structure Level Pattern Image Note
TS23: brain Moderate Regionally restricted euxassay_005760_12
TS23: spinal cord Moderate Regionally restricted euxassay_005760_12
TS23: cerebral cortex Strong Regionally restricted euxassay_005760_12
TS23: dorsal root ganglion Moderate Regionally restricted euxassay_005760_12

Specimen euxassay_005760_13: embryonic day 14.5 (more )
Structure Level Pattern Image Note
TS23: brain Moderate Regionally restricted euxassay_005760_13
TS23: cerebral cortex Strong Regionally restricted euxassay_005760_13
TS23: dorsal root ganglion Moderate Regionally restricted euxassay_005760_13

Specimen euxassay_005760_14: embryonic day 14.5 (more )
Structure Level Pattern Image Note
TS23: brain Moderate Regionally restricted euxassay_005760_14
TS23: cerebral cortex Strong Regionally restricted euxassay_005760_14
TS23: dorsal root ganglion Moderate Regionally restricted euxassay_005760_14

Specimen euxassay_005760_15: embryonic day 14.5 (more )
Structure Level Pattern Image Note
TS23: brain Moderate Regionally restricted euxassay_005760_15
TS23: cerebral cortex Strong Regionally restricted euxassay_005760_15
TS23: dorsal root ganglion Moderate Regionally restricted euxassay_005760_15

Specimen euxassay_005760_16: embryonic day 14.5 (more )
Structure Level Pattern Image Note
TS23: brain Moderate Regionally restricted euxassay_005760_16
TS23: cerebral cortex Strong Regionally restricted euxassay_005760_16
TS23: dorsal root ganglion Moderate Regionally restricted euxassay_005760_16

Specimen euxassay_005760_17: embryonic day 14.5 (more )
Structure Level Pattern Image Note
TS23: brain Moderate Regionally restricted euxassay_005760_17
TS23: cerebral cortex Strong Regionally restricted euxassay_005760_17
TS23: dorsal root ganglion Moderate Regionally restricted euxassay_005760_17
TS23: trigeminal ganglion Moderate Regionally restricted euxassay_005760_17
TS23: trigeminal nerve Moderate Regionally restricted euxassay_005760_17

Specimen euxassay_005760_18: embryonic day 14.5 (more )
Structure Level Pattern Image Note
TS23: brain Moderate Regionally restricted euxassay_005760_18
TS23: cerebral cortex Strong Regionally restricted euxassay_005760_18
TS23: trigeminal ganglion Moderate Regionally restricted euxassay_005760_18

Specimen euxassay_005760_19: embryonic day 14.5 (more )
Structure Level Pattern Image Note
TS23: brain Moderate Regionally restricted euxassay_005760_19
TS23: cerebral cortex Strong Regionally restricted euxassay_005760_19
TS23: trigeminal ganglion Moderate Regionally restricted euxassay_005760_19

Specimen euxassay_005760_20: embryonic day 14.5 (more )
Structure Level Pattern Image Note
TS23: brain Moderate Regionally restricted euxassay_005760_20
TS23: cerebral cortex Strong Regionally restricted euxassay_005760_20

Specimen euxassay_005760_21: embryonic day 14.5 (more )
Structure Level Pattern Image Note
TS23: brain Moderate Regionally restricted euxassay_005760_21
TS23: cerebral cortex Strong Regionally restricted euxassay_005760_21

Specimen euxassay_005760_22: embryonic day 14.5 (more )
Structure Level Pattern Image Note
TS23: brain Moderate Regionally restricted euxassay_005760_22
TS23: cerebral cortex Strong Regionally restricted euxassay_005760_22

Specimen euxassay_005760_23: embryonic day 14.5 (more )
Structure Level Pattern Image Note
TS23: brain Moderate Regionally restricted euxassay_005760_23
TS23: cerebral cortex Strong Regionally restricted euxassay_005760_23


Contributing Projects:
Mouse Genome Database (MGD), Gene Expression Database (GXD), Mouse Models of Human Cancer database (MMHCdb) (formerly Mouse Tumor Biology (MTB)), Gene Ontology (GO)
Citing These Resources
Funding Information
Warranty Disclaimer, Privacy Notice, Licensing, & Copyright
Send questions and comments to User Support.
last database update
03/24/2026
MGI 6.24
The Jackson Laboratory