About   Help   FAQ
Gene Expression Data
Assay Details
Assay
Reference: J:153498 Diez-Roux G, et al., A high-resolution anatomical atlas of the transcriptome in the mouse embryo. PLoS Biol. 2011;9(1):e1000582
Assay type: RNA in situ
MGI Accession ID: MGI:4823149
Gene symbol: Anxa13
Gene name: annexin A13
Probe: MGC clone 19196
Probe preparation: Antisense labelled with digoxigenin RNA
Visualized with: Alkaline phosphatase
Assay notes: Cryosections of fresh frozen material were fixed in 4% paraformaldehyde for 20 min. before further processing. A tyramide-biotin/streptavidin amplification step was included in the in situ hybridization procedure.
Results
Specimen euxassay_005039_05: embryonic day 14.5 (more )
Structure Level Pattern Image Note
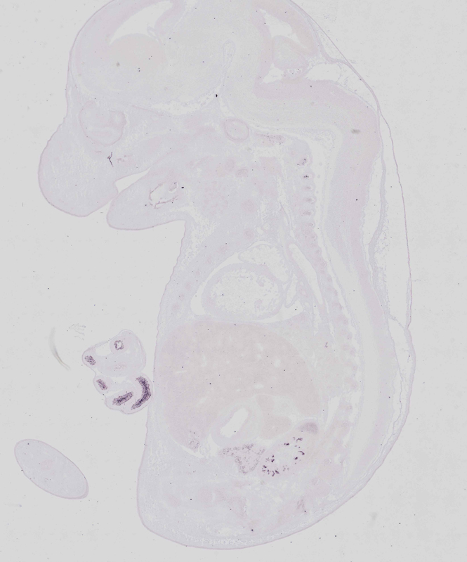
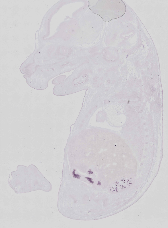
TS23: renal calyx Strong Regionally restricted euxassay_005039_05

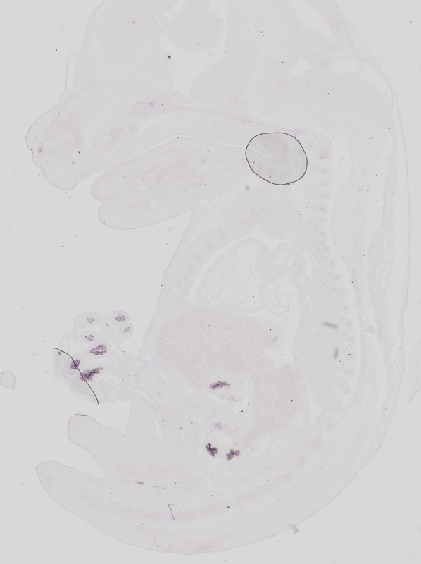
Specimen euxassay_005039_06: embryonic day 14.5 (more )
Structure Level Pattern Image Note
TS23: renal calyx Strong Regionally restricted euxassay_005039_06
TS23: midgut loop Strong Regionally restricted euxassay_005039_06
TS23: pancreas Weak Regionally restricted euxassay_005039_06

Specimen euxassay_005039_07: embryonic day 14.5 (more )
Structure Level Pattern Image Note
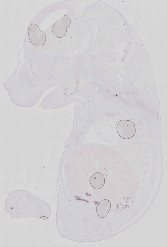
TS23: renal calyx Strong Regionally restricted euxassay_005039_07
TS23: midgut loop Strong Regionally restricted euxassay_005039_07
TS23: pancreas Weak Regionally restricted euxassay_005039_07

Specimen euxassay_005039_08: embryonic day 14.5 (more )
Structure Level Pattern Image Note
TS23: midgut loop Strong Regionally restricted euxassay_005039_08
TS23: pancreas Weak Regionally restricted euxassay_005039_08

Specimen euxassay_005039_09: embryonic day 14.5 (more )
Structure Level Pattern Image Note
TS23: midgut loop Strong Regionally restricted euxassay_005039_09
TS23: pancreas Weak Regionally restricted euxassay_005039_09

Specimen euxassay_005039_10: embryonic day 14.5 (more )
Structure Level Pattern Image Note
TS23: midgut loop Strong Regionally restricted euxassay_005039_10
TS23: midgut Strong Regionally restricted euxassay_005039_10
TS23: pancreas Weak Regionally restricted euxassay_005039_10

Specimen euxassay_005039_11: embryonic day 14.5 (more )
Structure Level Pattern Image Note
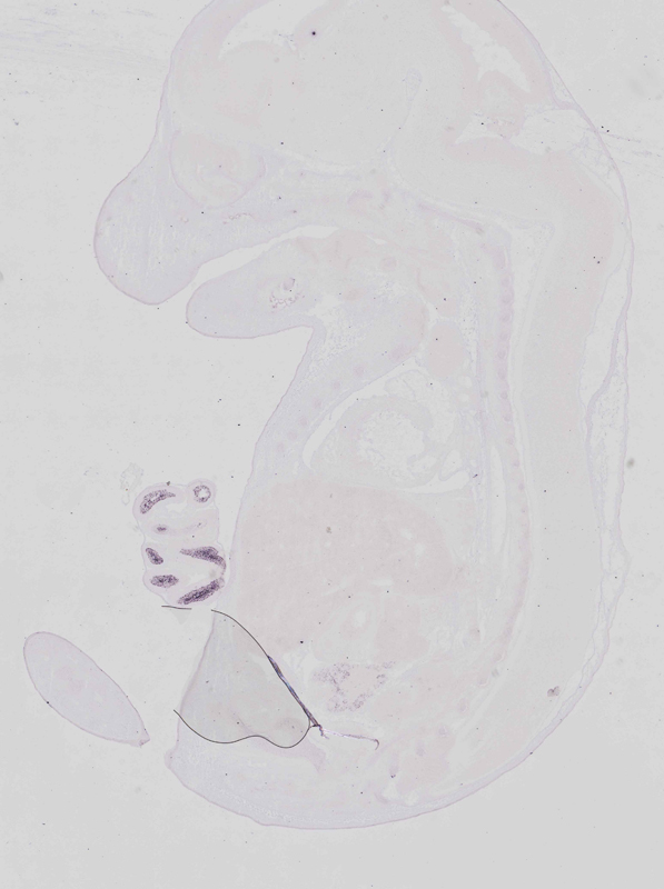
TS23: midgut loop Strong Regionally restricted euxassay_005039_11
TS23: rectum Strong Regionally restricted euxassay_005039_11
TS23: hindgut Strong Regionally restricted euxassay_005039_11
TS23: midgut Strong Regionally restricted euxassay_005039_11

Specimen euxassay_005039_12: embryonic day 14.5 (more )
Structure Level Pattern Image Note
TS23: midgut loop Strong Regionally restricted euxassay_005039_12
TS23: midgut Strong Regionally restricted euxassay_005039_12

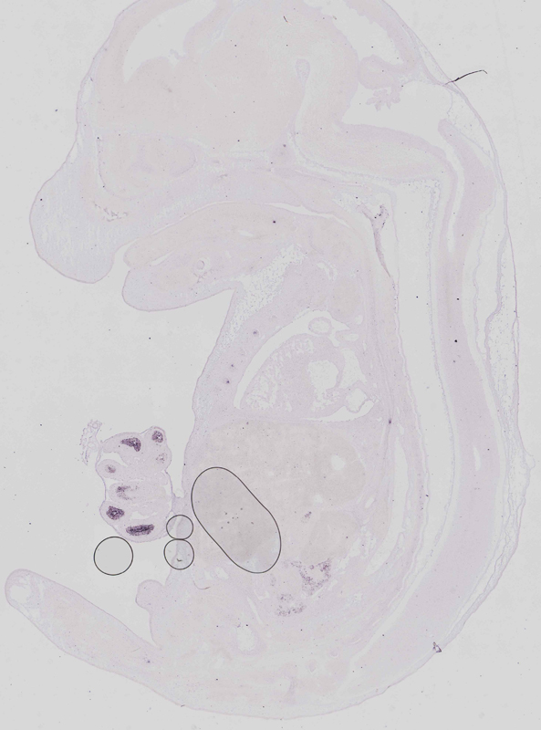
Specimen euxassay_005039_13: embryonic day 14.5 (more )
Structure Level Pattern Image Note
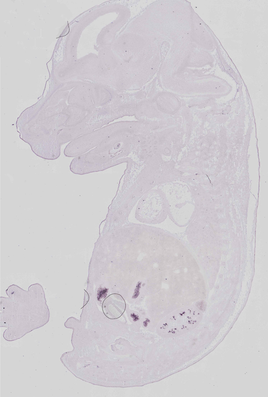
TS23: renal calyx Strong Regionally restricted euxassay_005039_13
TS23: midgut Strong Regionally restricted euxassay_005039_13
TS23: midgut loop Strong Regionally restricted euxassay_005039_13
TS23: pancreas Weak Regionally restricted euxassay_005039_13

Specimen euxassay_005039_14: embryonic day 14.5 (more )
Structure Level Pattern Image Note
TS23: renal calyx Strong Regionally restricted euxassay_005039_14
TS23: midgut Strong Regionally restricted euxassay_005039_14

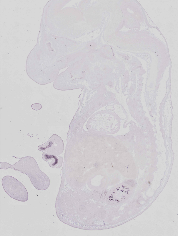
Specimen euxassay_005039_15: embryonic day 14.5 (more )
Structure Level Pattern Image Note
TS23: renal calyx Strong Regionally restricted euxassay_005039_15
TS23: midgut Strong Regionally restricted euxassay_005039_15

Specimen euxassay_005039_16: embryonic day 14.5 (more )
Structure Level Pattern Image Note
TS23: renal calyx Strong Regionally restricted euxassay_005039_16
TS23: midgut Strong Regionally restricted euxassay_005039_16

Specimen euxassay_005039_17: embryonic day 14.5 (more )
Structure Level Pattern Image Note
TS23: midgut Strong Regionally restricted euxassay_005039_17


Contributing Projects:
Mouse Genome Database (MGD), Gene Expression Database (GXD), Mouse Models of Human Cancer database (MMHCdb) (formerly Mouse Tumor Biology (MTB)), Gene Ontology (GO)
Citing These Resources
Funding Information
Warranty Disclaimer, Privacy Notice, Licensing, & Copyright
Send questions and comments to User Support.
last database update
12/30/2025
MGI 6.24
The Jackson Laboratory