About   Help   FAQ
Gene Expression Data
Assay Details
Assay
Reference: J:153498 Diez-Roux G, et al., A high-resolution anatomical atlas of the transcriptome in the mouse embryo. PLoS Biol. 2011;9(1):e1000582
Assay type: RNA in situ
MGI Accession ID: MGI:4823141
Gene symbol: Ano1
Gene name: anoctamin 1, calcium activated chloride channel
Probe: T30726
Probe preparation: Antisense labelled with digoxigenin RNA
Visualized with: Alkaline phosphatase
Assay notes: Cryosections of fresh frozen material were fixed in 4% paraformaldehyde for 20 min. before further processing. A tyramide-biotin/streptavidin amplification step was included in the in situ hybridization procedure.
Results
Specimen euxassay_012103_01: embryonic day 14.5 (more )
Structure Level Pattern Image Note
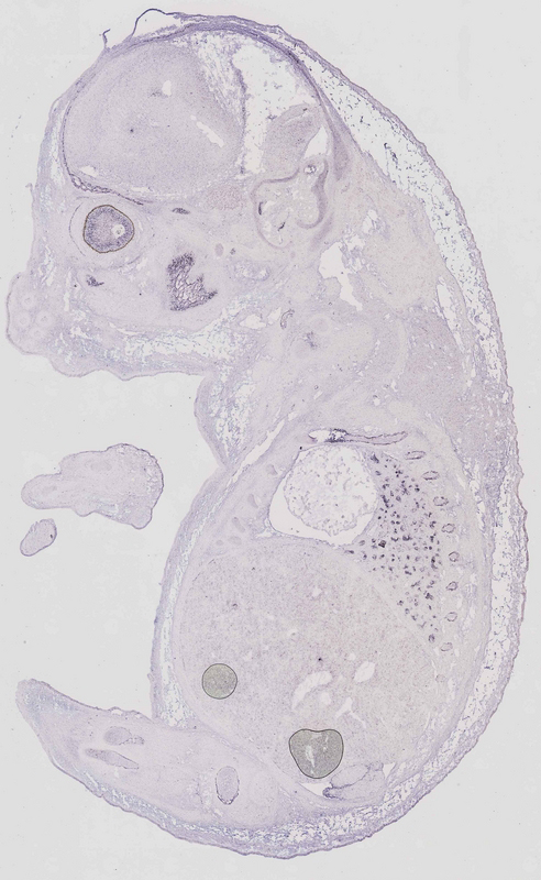
TS23: retina Strong Regionally restricted euxassay_012103_01

Specimen euxassay_012103_02: embryonic day 14.5 (more )
Structure Level Pattern Image Note
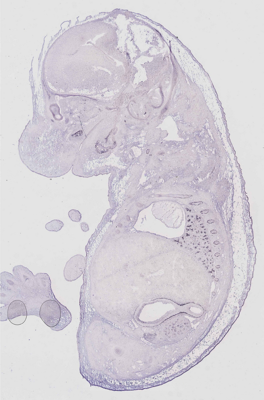
TS23: stomach Strong Regionally restricted euxassay_012103_02
TS23: retina Strong Regionally restricted euxassay_012103_02

Specimen euxassay_012103_03: embryonic day 14.5 (more )
Structure Level Pattern Image Note
TS23: stomach Strong Regionally restricted euxassay_012103_03
TS23: retina Strong Regionally restricted euxassay_012103_03

Specimen euxassay_012103_04: embryonic day 14.5 (more )
Structure Level Pattern Image Note
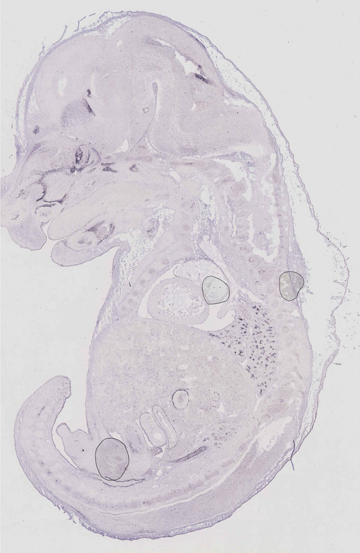
TS23: stomach Strong Regionally restricted euxassay_012103_04
TS23: left lung Strong Regionally restricted euxassay_012103_04
TS23: mandible Strong Regionally restricted euxassay_012103_04
TS23: retina Strong Regionally restricted euxassay_012103_04

Specimen euxassay_012103_05: embryonic day 14.5 (more )
Structure Level Pattern Image Note
TS23: stomach Strong Regionally restricted euxassay_012103_05
TS23: left lung Strong Regionally restricted euxassay_012103_05
TS23: mandible Strong Regionally restricted euxassay_012103_05
TS23: retina Strong Regionally restricted euxassay_012103_05

Specimen euxassay_012103_06: embryonic day 14.5 (more )
Structure Level Pattern Image Note
TS23: stomach Strong Regionally restricted euxassay_012103_06
TS23: left lung Strong Regionally restricted euxassay_012103_06
TS23: mandible Strong Regionally restricted euxassay_012103_06
TS23: maxilla Strong Regionally restricted euxassay_012103_06
TS23: utricle Strong Regionally restricted euxassay_012103_06
TS23: renal calyx Moderate Regionally restricted euxassay_012103_06

Specimen euxassay_012103_07: embryonic day 14.5 (more )
Structure Level Pattern Image Note
TS23: stomach Strong Regionally restricted euxassay_012103_07
TS23: left lung Strong Regionally restricted euxassay_012103_07
TS23: mandible Strong Regionally restricted euxassay_012103_07
TS23: maxilla Strong Regionally restricted euxassay_012103_07
TS23: submandibular gland primordium Strong Regionally restricted euxassay_012103_07
TS23: olfactory epithelium Strong Regionally restricted euxassay_012103_07
TS23: utricle Strong Regionally restricted euxassay_012103_07
TS23: renal calyx Moderate Regionally restricted euxassay_012103_07

Specimen euxassay_012103_08: embryonic day 14.5 (more )
Structure Level Pattern Image Note
TS23: stomach Strong Regionally restricted euxassay_012103_08
TS23: left lung Strong Regionally restricted euxassay_012103_08
TS23: mandible Strong Regionally restricted euxassay_012103_08
TS23: maxilla Strong Regionally restricted euxassay_012103_08
TS23: submandibular gland primordium Strong Regionally restricted euxassay_012103_08
TS23: olfactory epithelium Strong Regionally restricted euxassay_012103_08
TS23: telencephalon mantle layer Strong Regionally restricted euxassay_012103_08
TS23: utricle Strong Regionally restricted euxassay_012103_08
TS23: renal calyx Moderate Regionally restricted euxassay_012103_08

Specimen euxassay_012103_09: embryonic day 14.5 (more )
Structure Level Pattern Image Note
TS23: stomach Strong Regionally restricted euxassay_012103_09
TS23: left lung Strong Regionally restricted euxassay_012103_09
TS23: mandible Strong Regionally restricted euxassay_012103_09
TS23: maxilla Strong Regionally restricted euxassay_012103_09
TS23: submandibular gland primordium Strong Regionally restricted euxassay_012103_09
TS23: olfactory epithelium Strong Regionally restricted euxassay_012103_09
TS23: telencephalon mantle layer Strong Regionally restricted euxassay_012103_09
TS23: cochlea Strong Regionally restricted euxassay_012103_09
TS23: utricle Strong Regionally restricted euxassay_012103_09
TS23: renal calyx Moderate Regionally restricted euxassay_012103_09
TS23: ureter Moderate Regionally restricted euxassay_012103_09

Specimen euxassay_012103_10: embryonic day 14.5 (more )
Structure Level Pattern Image Note
TS23: midgut Strong Regionally restricted euxassay_012103_10
TS23: left lung Strong Regionally restricted euxassay_012103_10
TS23: mandible Strong Regionally restricted euxassay_012103_10
TS23: maxilla Strong Regionally restricted euxassay_012103_10
TS23: submandibular gland primordium Strong Regionally restricted euxassay_012103_10
TS23: olfactory epithelium Strong Regionally restricted euxassay_012103_10
TS23: telencephalon mantle layer Strong Regionally restricted euxassay_012103_10
TS23: olfactory cortex ventricular layer Strong Regionally restricted euxassay_012103_10
TS23: rest of cerebellum ventricular layer Strong Regionally restricted euxassay_012103_10
TS23: ureter Moderate Regionally restricted euxassay_012103_10
TS23: renal calyx Moderate Regionally restricted euxassay_012103_10

Specimen euxassay_012103_11: embryonic day 14.5 (more )
Structure Level Pattern Image Note
TS23: midgut Strong Regionally restricted euxassay_012103_11
TS23: left lung Strong Regionally restricted euxassay_012103_11
TS23: mandible Strong Regionally restricted euxassay_012103_11
TS23: maxilla Strong Regionally restricted euxassay_012103_11
TS23: olfactory epithelium Strong Regionally restricted euxassay_012103_11
TS23: olfactory cortex ventricular layer Strong Regionally restricted euxassay_012103_11
TS23: telencephalon mantle layer Strong Regionally restricted euxassay_012103_11
TS23: rest of cerebellum ventricular layer Strong Regionally restricted euxassay_012103_11
TS23: ureter Moderate Regionally restricted euxassay_012103_11
TS23: renal calyx Moderate Regionally restricted euxassay_012103_11

Specimen euxassay_012103_12: embryonic day 14.5 (more )
Structure Level Pattern Image Note
TS23: midgut Strong Regionally restricted euxassay_012103_12
TS23: rectum Strong Regionally restricted euxassay_012103_12
TS23: left lung Strong Regionally restricted euxassay_012103_12
TS23: olfactory epithelium Strong Regionally restricted euxassay_012103_12
TS23: telencephalon ventricular layer Strong Regionally restricted euxassay_012103_12
TS23: rest of cerebellum ventricular layer Strong Regionally restricted euxassay_012103_12

Specimen euxassay_012103_13: embryonic day 14.5 (more )
Structure Level Pattern Image Note
TS23: midgut Strong Regionally restricted euxassay_012103_13
TS23: right lung Strong Regionally restricted euxassay_012103_13
TS23: telencephalon ventricular layer Strong Regionally restricted euxassay_012103_13
TS23: rest of cerebellum ventricular layer Strong Regionally restricted euxassay_012103_13

Specimen euxassay_012103_14: embryonic day 14.5 (more )
Structure Level Pattern Image Note
TS23: midgut Strong Regionally restricted euxassay_012103_14
TS23: right lung Strong Regionally restricted euxassay_012103_14
TS23: olfactory epithelium Strong Regionally restricted euxassay_012103_14
TS23: telencephalon ventricular layer Strong Regionally restricted euxassay_012103_14
TS23: rest of cerebellum ventricular layer Strong Regionally restricted euxassay_012103_14

Specimen euxassay_012103_15: embryonic day 14.5 (more )
Structure Level Pattern Image Note
TS23: midgut Strong Regionally restricted euxassay_012103_15
TS23: right lung Strong Regionally restricted euxassay_012103_15
TS23: heart valve Strong Regionally restricted euxassay_012103_15
TS23: olfactory epithelium Strong Regionally restricted euxassay_012103_15
TS23: telencephalon mantle layer Strong Regionally restricted euxassay_012103_15
TS23: olfactory cortex ventricular layer Strong Regionally restricted euxassay_012103_15
TS23: rest of cerebellum ventricular layer Strong Regionally restricted euxassay_012103_15
TS23: ureter Moderate Regionally restricted euxassay_012103_15

Specimen euxassay_012103_16: embryonic day 14.5 (more )
Structure Level Pattern Image Note
TS23: midgut Strong Regionally restricted euxassay_012103_16
TS23: right lung Strong Regionally restricted euxassay_012103_16
TS23: heart valve Moderate Regionally restricted euxassay_012103_16
TS23: mandible Strong Regionally restricted euxassay_012103_16
TS23: maxilla Strong Regionally restricted euxassay_012103_16
TS23: olfactory epithelium Strong Regionally restricted euxassay_012103_16
TS23: telencephalon mantle layer Strong Regionally restricted euxassay_012103_16
TS23: olfactory cortex ventricular layer Strong Regionally restricted euxassay_012103_16
TS23: rest of cerebellum ventricular layer Strong Regionally restricted euxassay_012103_16
TS23: ureter Moderate Regionally restricted euxassay_012103_16
TS23: renal calyx Moderate Regionally restricted euxassay_012103_16

Specimen euxassay_012103_17: embryonic day 14.5 (more )
Structure Level Pattern Image Note
TS23: midgut Strong Regionally restricted euxassay_012103_17
TS23: right lung Strong Regionally restricted euxassay_012103_17
TS23: mandible Strong Regionally restricted euxassay_012103_17
TS23: maxilla Strong Regionally restricted euxassay_012103_17
TS23: submandibular gland primordium Strong Regionally restricted euxassay_012103_17
TS23: olfactory epithelium Strong Regionally restricted euxassay_012103_17
TS23: telencephalon mantle layer Strong Regionally restricted euxassay_012103_17
TS23: rest of cerebellum ventricular layer Strong Regionally restricted euxassay_012103_17
TS23: ureter Moderate Regionally restricted euxassay_012103_17
TS23: renal calyx Moderate Regionally restricted euxassay_012103_17
TS23: renal pelvis Moderate Regionally restricted euxassay_012103_17

Specimen euxassay_012103_18: embryonic day 14.5 (more )
Structure Level Pattern Image Note
TS23: midgut Strong Regionally restricted euxassay_012103_18
TS23: right lung Strong Regionally restricted euxassay_012103_18
TS23: mandible Strong Regionally restricted euxassay_012103_18
TS23: maxilla Strong Regionally restricted euxassay_012103_18
TS23: submandibular gland primordium Strong Regionally restricted euxassay_012103_18
TS23: olfactory epithelium Strong Regionally restricted euxassay_012103_18
TS23: telencephalon mantle layer Strong Regionally restricted euxassay_012103_18
TS23: rest of cerebellum ventricular layer Strong Regionally restricted euxassay_012103_18
TS23: cochlea Strong Regionally restricted euxassay_012103_18
TS23: renal calyx Moderate Regionally restricted euxassay_012103_18
TS23: renal pelvis Moderate Regionally restricted euxassay_012103_18

Specimen euxassay_012103_19: embryonic day 14.5 (more )
Structure Level Pattern Image Note
TS23: midgut Strong Regionally restricted euxassay_012103_19
TS23: right lung Strong Regionally restricted euxassay_012103_19
TS23: mandible Strong Regionally restricted euxassay_012103_19
TS23: maxilla Strong Regionally restricted euxassay_012103_19
TS23: submandibular gland primordium Strong Regionally restricted euxassay_012103_19
TS23: utricle Strong Regionally restricted euxassay_012103_19
TS23: renal calyx Moderate Regionally restricted euxassay_012103_19
TS23: renal pelvis Moderate Regionally restricted euxassay_012103_19

Specimen euxassay_012103_20: embryonic day 14.5 (more )
Structure Level Pattern Image Note
TS23: right lung Strong Regionally restricted euxassay_012103_20
TS23: mandible Strong Regionally restricted euxassay_012103_20
TS23: maxilla Strong Regionally restricted euxassay_012103_20
TS23: utricle Strong Regionally restricted euxassay_012103_20

Specimen euxassay_012103_21: embryonic day 14.5 (more )
Structure Level Pattern Image Note
TS23: right lung Strong Regionally restricted euxassay_012103_21
TS23: mandible Strong Regionally restricted euxassay_012103_21
TS23: maxilla Strong Regionally restricted euxassay_012103_21
TS23: utricle Strong Regionally restricted euxassay_012103_21

Specimen euxassay_012103_22: embryonic day 14.5 (more )
Structure Level Pattern Image Note
TS23: right lung Strong Regionally restricted euxassay_012103_22
TS23: mandible Strong Regionally restricted euxassay_012103_22
TS23: maxilla Strong Regionally restricted euxassay_012103_22
TS23: utricle Strong Regionally restricted euxassay_012103_22

Specimen euxassay_012103_23: embryonic day 14.5 (more )
Structure Level Pattern Image Note
TS23: right lung Strong Regionally restricted euxassay_012103_23
TS23: mandible Strong Regionally restricted euxassay_012103_23
TS23: maxilla Strong Regionally restricted euxassay_012103_23
TS23: utricle Strong Regionally restricted euxassay_012103_23
TS23: retina Strong Regionally restricted euxassay_012103_23


Contributing Projects:
Mouse Genome Database (MGD), Gene Expression Database (GXD), Mouse Models of Human Cancer database (MMHCdb) (formerly Mouse Tumor Biology (MTB)), Gene Ontology (GO)
Citing These Resources
Funding Information
Warranty Disclaimer, Privacy Notice, Licensing, & Copyright
Send questions and comments to User Support.
last database update
01/20/2026
MGI 6.24
The Jackson Laboratory