About   Help   FAQ
Gene Expression Data
Assay Details
Assay
Reference: J:153498 Diez-Roux G, et al., A high-resolution anatomical atlas of the transcriptome in the mouse embryo. PLoS Biol. 2011;9(1):e1000582
Assay type: RNA in situ
MGI Accession ID: MGI:4823124
Gene symbol: Angptl2
Gene name: angiopoietin-like 2
Probe: T35930
Probe preparation: Antisense labelled with digoxigenin RNA
Visualized with: Alkaline phosphatase
Assay notes: Cryosections of fresh frozen material were fixed in 4% paraformaldehyde for 20 min. before further processing. A tyramide-biotin/streptavidin amplification step was included in the in situ hybridization procedure.
Results
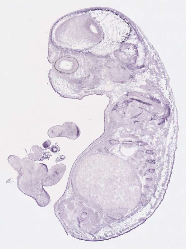
Specimen euxassay_007716_01: embryonic day 14.5 (more )
Structure Level Pattern Image Note
TS23: vault of skull Strong Regionally restricted euxassay_007716_01
TS23: orbito-sphenoid Strong Regionally restricted euxassay_007716_01
TS23: rib Strong Regionally restricted euxassay_007716_01
TS23: upper arm mesenchyme Strong Regionally restricted euxassay_007716_01
TS23: hand Strong Regionally restricted euxassay_007716_01
TS23: lower leg mesenchyme Strong Regionally restricted euxassay_007716_01
TS23: upper leg mesenchyme Strong Regionally restricted euxassay_007716_01
TS23: embryo mesenchyme Strong Regionally restricted euxassay_007716_01
TS23: telencephalon meninges Strong Regionally restricted euxassay_007716_01

Specimen euxassay_007716_02: embryonic day 14.5 (more )
Structure Level Pattern Image Note
TS23: vault of skull Strong Regionally restricted euxassay_007716_02
TS23: orbito-sphenoid Strong Regionally restricted euxassay_007716_02
TS23: basioccipital bone Strong Regionally restricted euxassay_007716_02
TS23: mandible Strong Regionally restricted euxassay_007716_02
TS23: rib Strong Regionally restricted euxassay_007716_02
TS23: upper arm mesenchyme Strong Regionally restricted euxassay_007716_02
TS23: hand Strong Regionally restricted euxassay_007716_02
TS23: lower leg mesenchyme Strong Regionally restricted euxassay_007716_02
TS23: upper leg mesenchyme Strong Regionally restricted euxassay_007716_02
TS23: embryo mesenchyme Strong Regionally restricted euxassay_007716_02
TS23: telencephalon meninges Strong Regionally restricted euxassay_007716_02

Specimen euxassay_007716_03: embryonic day 14.5 (more )
Structure Level Pattern Image Note
TS23: basioccipital bone Strong Regionally restricted euxassay_007716_03
TS23: orbito-sphenoid Strong Regionally restricted euxassay_007716_03
TS23: vault of skull Strong Regionally restricted euxassay_007716_03
TS23: mandible Strong Regionally restricted euxassay_007716_03
TS23: rib Strong Regionally restricted euxassay_007716_03
TS23: upper arm mesenchyme Strong Regionally restricted euxassay_007716_03
TS23: lower leg mesenchyme Strong Regionally restricted euxassay_007716_03
TS23: upper leg mesenchyme Strong Regionally restricted euxassay_007716_03
TS23: embryo mesenchyme Strong Regionally restricted euxassay_007716_03
TS23: telencephalon meninges Strong Regionally restricted euxassay_007716_03

Specimen euxassay_007716_04: embryonic day 14.5 (more )
Structure Level Pattern Image Note
TS23: basioccipital bone Strong Regionally restricted euxassay_007716_04
TS23: vault of skull Strong Regionally restricted euxassay_007716_04
TS23: orbito-sphenoid Strong Regionally restricted euxassay_007716_04
TS23: mandible Strong Regionally restricted euxassay_007716_04
TS23: rib Strong Regionally restricted euxassay_007716_04
TS23: upper arm mesenchyme Strong Regionally restricted euxassay_007716_04
TS23: lower leg mesenchyme Strong Regionally restricted euxassay_007716_04
TS23: upper leg mesenchyme Strong Regionally restricted euxassay_007716_04
TS23: embryo mesenchyme Strong Regionally restricted euxassay_007716_04
TS23: telencephalon meninges Strong Regionally restricted euxassay_007716_04

Specimen euxassay_007716_05: embryonic day 14.5 (more )
Structure Level Pattern Image Note
TS23: basioccipital bone Strong Regionally restricted euxassay_007716_05
TS23: vault of skull Strong Regionally restricted euxassay_007716_05
TS23: orbito-sphenoid Strong Regionally restricted euxassay_007716_05
TS23: mandible Strong Regionally restricted euxassay_007716_05
TS23: rib Strong Regionally restricted euxassay_007716_05
TS23: upper arm mesenchyme Strong Regionally restricted euxassay_007716_05
TS23: lower leg mesenchyme Strong Regionally restricted euxassay_007716_05
TS23: upper leg mesenchyme Strong Regionally restricted euxassay_007716_05
TS23: foot Strong Regionally restricted euxassay_007716_05
TS23: embryo mesenchyme Strong Regionally restricted euxassay_007716_05
TS23: telencephalon meninges Strong Regionally restricted euxassay_007716_05
TS23: hindbrain meninges Strong Regionally restricted euxassay_007716_05

Specimen euxassay_007716_06: embryonic day 14.5 (more )
Structure Level Pattern Image Note
TS23: basioccipital bone Strong Regionally restricted euxassay_007716_06
TS23: orbito-sphenoid Strong Regionally restricted euxassay_007716_06
TS23: vault of skull Strong Regionally restricted euxassay_007716_06
TS23: mandible Strong Regionally restricted euxassay_007716_06
TS23: rib Strong Regionally restricted euxassay_007716_06
TS23: upper arm mesenchyme Strong Regionally restricted euxassay_007716_06
TS23: lower leg mesenchyme Strong Regionally restricted euxassay_007716_06
TS23: upper leg mesenchyme Strong Regionally restricted euxassay_007716_06
TS23: foot Strong Regionally restricted euxassay_007716_06
TS23: embryo mesenchyme Strong Regionally restricted euxassay_007716_06
TS23: telencephalon meninges Strong Regionally restricted euxassay_007716_06
TS23: hindbrain meninges Strong Regionally restricted euxassay_007716_06

Specimen euxassay_007716_07: embryonic day 14.5 (more )
Structure Level Pattern Image Note
TS23: basioccipital bone Strong Regionally restricted euxassay_007716_07
TS23: vault of skull Strong Regionally restricted euxassay_007716_07
TS23: orbito-sphenoid Strong Regionally restricted euxassay_007716_07
TS23: mandible Strong Regionally restricted euxassay_007716_07
TS23: rib Strong Regionally restricted euxassay_007716_07
TS23: axial skeleton Strong Regionally restricted euxassay_007716_07
TS23: clavicle Strong Regionally restricted euxassay_007716_07
TS23: foot Strong Regionally restricted euxassay_007716_07
TS23: upper leg mesenchyme Strong Regionally restricted euxassay_007716_07
TS23: pericardium Strong Regionally restricted euxassay_007716_07
TS23: embryo mesenchyme Strong Regionally restricted euxassay_007716_07
TS23: telencephalon meninges Strong Regionally restricted euxassay_007716_07
TS23: hindbrain meninges Strong Regionally restricted euxassay_007716_07
TS23: midbrain meninges Strong Regionally restricted euxassay_007716_07

Specimen euxassay_007716_08: embryonic day 14.5 (more )
Structure Level Pattern Image Note
TS23: basioccipital bone Strong Regionally restricted euxassay_007716_08
TS23: vault of skull Strong Regionally restricted euxassay_007716_08
TS23: mandible Strong Regionally restricted euxassay_007716_08
TS23: axial skeleton Strong Regionally restricted euxassay_007716_08
TS23: rib Strong Regionally restricted euxassay_007716_08
TS23: clavicle Strong Regionally restricted euxassay_007716_08
TS23: foot Strong Regionally restricted euxassay_007716_08
TS23: upper leg mesenchyme Strong Regionally restricted euxassay_007716_08
TS23: pericardium Strong Regionally restricted euxassay_007716_08
TS23: diaphragm Strong Regionally restricted euxassay_007716_08
TS23: embryo mesenchyme Strong Regionally restricted euxassay_007716_08
TS23: telencephalon meninges Strong Regionally restricted euxassay_007716_08
TS23: hindbrain meninges Strong Regionally restricted euxassay_007716_08
TS23: midbrain meninges Strong Regionally restricted euxassay_007716_08
TS23: diencephalon meninges Strong Regionally restricted euxassay_007716_08

Specimen euxassay_007716_09: embryonic day 14.5 (more )
Structure Level Pattern Image Note
TS23: vault of skull Strong Regionally restricted euxassay_007716_09
TS23: basioccipital bone Strong Regionally restricted euxassay_007716_09
TS23: mandible Strong Regionally restricted euxassay_007716_09
TS23: maxilla Strong Regionally restricted euxassay_007716_09
TS23: axial skeleton Strong Regionally restricted euxassay_007716_09
TS23: rib Strong Regionally restricted euxassay_007716_09
TS23: clavicle Strong Regionally restricted euxassay_007716_09
TS23: pericardium Strong Regionally restricted euxassay_007716_09
TS23: diaphragm Strong Regionally restricted euxassay_007716_09
TS23: embryo mesenchyme Strong Regionally restricted euxassay_007716_09
TS23: diencephalon meninges Strong Regionally restricted euxassay_007716_09
TS23: telencephalon meninges Strong Regionally restricted euxassay_007716_09
TS23: hindbrain meninges Strong Regionally restricted euxassay_007716_09
TS23: midbrain meninges Strong Regionally restricted euxassay_007716_09
TS23: spinal cord meninges Strong Regionally restricted euxassay_007716_09

Specimen euxassay_007716_10: embryonic day 14.5 (more )
Structure Level Pattern Image Note
TS23: basioccipital bone Strong Regionally restricted euxassay_007716_10
TS23: vault of skull Strong Regionally restricted euxassay_007716_10
TS23: mandible Strong Regionally restricted euxassay_007716_10
TS23: maxilla Strong Regionally restricted euxassay_007716_10
TS23: axial skeleton Strong Regionally restricted euxassay_007716_10
TS23: rib Strong Regionally restricted euxassay_007716_10
TS23: clavicle Strong Regionally restricted euxassay_007716_10
TS23: upper leg mesenchyme Strong Regionally restricted euxassay_007716_10
TS23: pericardium Strong Regionally restricted euxassay_007716_10
TS23: heart valve Strong Regionally restricted euxassay_007716_10
TS23: diaphragm Strong Regionally restricted euxassay_007716_10
TS23: embryo mesenchyme Strong Regionally restricted euxassay_007716_10
TS23: diencephalon meninges Strong Regionally restricted euxassay_007716_10
TS23: telencephalon meninges Strong Regionally restricted euxassay_007716_10
TS23: hindbrain meninges Strong Regionally restricted euxassay_007716_10
TS23: midbrain meninges Strong Regionally restricted euxassay_007716_10
TS23: spinal cord meninges Strong Regionally restricted euxassay_007716_10

Specimen euxassay_007716_11: embryonic day 14.5 (more )
Structure Level Pattern Image Note
TS23: vault of skull Strong Regionally restricted euxassay_007716_11
TS23: basioccipital bone Strong Regionally restricted euxassay_007716_11
TS23: mandible Strong Regionally restricted euxassay_007716_11
TS23: maxilla Strong Regionally restricted euxassay_007716_11
TS23: axial skeleton Strong Regionally restricted euxassay_007716_11
TS23: rib Strong Regionally restricted euxassay_007716_11
TS23: pelvic girdle skeleton Strong Regionally restricted euxassay_007716_11
TS23: pericardium Strong Regionally restricted euxassay_007716_11
TS23: heart valve Strong Regionally restricted euxassay_007716_11
TS23: aorta Strong Regionally restricted euxassay_007716_11
TS23: diaphragm Strong Regionally restricted euxassay_007716_11
TS23: embryo mesenchyme Strong Regionally restricted euxassay_007716_11
TS23: diencephalon meninges Strong Regionally restricted euxassay_007716_11
TS23: telencephalon meninges Strong Regionally restricted euxassay_007716_11
TS23: hindbrain meninges Strong Regionally restricted euxassay_007716_11
TS23: midbrain meninges Strong Regionally restricted euxassay_007716_11
TS23: spinal cord meninges Strong Regionally restricted euxassay_007716_11

Specimen euxassay_007716_12: embryonic day 14.5 (more )
Structure Level Pattern Image Note
TS23: basioccipital bone Strong Regionally restricted euxassay_007716_12
TS23: vault of skull Strong Regionally restricted euxassay_007716_12
TS23: mandible Strong Regionally restricted euxassay_007716_12
TS23: axial skeleton Strong Regionally restricted euxassay_007716_12
TS23: rib Strong Regionally restricted euxassay_007716_12
TS23: pelvic girdle skeleton Strong Regionally restricted euxassay_007716_12
TS23: pericardium Strong Regionally restricted euxassay_007716_12
TS23: heart valve Strong Regionally restricted euxassay_007716_12
TS23: aorta Strong Regionally restricted euxassay_007716_12
TS23: diaphragm Strong Regionally restricted euxassay_007716_12
TS23: embryo mesenchyme Strong Regionally restricted euxassay_007716_12
TS23: diencephalon meninges Strong Regionally restricted euxassay_007716_12
TS23: telencephalon meninges Strong Regionally restricted euxassay_007716_12
TS23: hindbrain meninges Strong Regionally restricted euxassay_007716_12
TS23: midbrain meninges Strong Regionally restricted euxassay_007716_12
TS23: spinal cord meninges Strong Regionally restricted euxassay_007716_12

Specimen euxassay_007716_13: embryonic day 14.5 (more )
Structure Level Pattern Image Note
TS23: basioccipital bone Strong Regionally restricted euxassay_007716_13
TS23: vault of skull Strong Regionally restricted euxassay_007716_13
TS23: mandible Strong Regionally restricted euxassay_007716_13
TS23: sternum Strong Regionally restricted euxassay_007716_13
TS23: axial skeleton Strong Regionally restricted euxassay_007716_13
TS23: heart valve Strong Regionally restricted euxassay_007716_13
TS23: pericardium Strong Regionally restricted euxassay_007716_13
TS23: aorta Strong Regionally restricted euxassay_007716_13
TS23: diaphragm Strong Regionally restricted euxassay_007716_13
TS23: embryo mesenchyme Strong Regionally restricted euxassay_007716_13
TS23: diencephalon meninges Strong Regionally restricted euxassay_007716_13
TS23: telencephalon meninges Strong Regionally restricted euxassay_007716_13
TS23: hindbrain meninges Strong Regionally restricted euxassay_007716_13
TS23: midbrain meninges Strong Regionally restricted euxassay_007716_13
TS23: spinal cord meninges Strong Regionally restricted euxassay_007716_13

Specimen euxassay_007716_14: embryonic day 14.5 (more )
Structure Level Pattern Image Note
TS23: vault of skull Strong Regionally restricted euxassay_007716_14
TS23: mandible Strong Regionally restricted euxassay_007716_14
TS23: axial skeleton Strong Regionally restricted euxassay_007716_14
TS23: rib Strong Regionally restricted euxassay_007716_14
TS23: sternum Strong Regionally restricted euxassay_007716_14
TS23: heart valve Strong Regionally restricted euxassay_007716_14
TS23: pericardium Strong Regionally restricted euxassay_007716_14
TS23: aorta Strong Regionally restricted euxassay_007716_14
TS23: diaphragm Strong Regionally restricted euxassay_007716_14
TS23: embryo mesenchyme Strong Regionally restricted euxassay_007716_14
TS23: diencephalon meninges Strong Regionally restricted euxassay_007716_14
TS23: telencephalon meninges Strong Regionally restricted euxassay_007716_14
TS23: hindbrain meninges Strong Regionally restricted euxassay_007716_14
TS23: midbrain meninges Strong Regionally restricted euxassay_007716_14
TS23: spinal cord meninges Strong Regionally restricted euxassay_007716_14

Specimen euxassay_007716_15: embryonic day 14.5 (more )
Structure Level Pattern Image Note
TS23: vault of skull Strong Regionally restricted euxassay_007716_15
TS23: mandible Strong Regionally restricted euxassay_007716_15
TS23: axial skeleton Strong Regionally restricted euxassay_007716_15
TS23: rib Strong Regionally restricted euxassay_007716_15
TS23: clavicle Strong Regionally restricted euxassay_007716_15
TS23: pericardium Strong Regionally restricted euxassay_007716_15
TS23: heart valve Strong Regionally restricted euxassay_007716_15
TS23: aorta Strong Regionally restricted euxassay_007716_15
TS23: diaphragm Strong Regionally restricted euxassay_007716_15
TS23: embryo mesenchyme Strong Regionally restricted euxassay_007716_15
TS23: diencephalon meninges Strong Regionally restricted euxassay_007716_15
TS23: telencephalon meninges Strong Regionally restricted euxassay_007716_15
TS23: hindbrain meninges Strong Regionally restricted euxassay_007716_15
TS23: midbrain meninges Strong Regionally restricted euxassay_007716_15
TS23: spinal cord meninges Strong Regionally restricted euxassay_007716_15

Specimen euxassay_007716_16: embryonic day 14.5 (more )
Structure Level Pattern Image Note
TS23: vault of skull Strong Regionally restricted euxassay_007716_16
TS23: mandible Strong Regionally restricted euxassay_007716_16
TS23: rib Strong Regionally restricted euxassay_007716_16
TS23: axial skeleton Strong Regionally restricted euxassay_007716_16
TS23: clavicle Strong Regionally restricted euxassay_007716_16
TS23: pericardium Strong Regionally restricted euxassay_007716_16
TS23: diaphragm Strong Regionally restricted euxassay_007716_16
TS23: embryo mesenchyme Strong Regionally restricted euxassay_007716_16
TS23: diencephalon meninges Strong Regionally restricted euxassay_007716_16
TS23: telencephalon meninges Strong Regionally restricted euxassay_007716_16
TS23: hindbrain meninges Strong Regionally restricted euxassay_007716_16
TS23: midbrain meninges Strong Regionally restricted euxassay_007716_16
TS23: spinal cord meninges Strong Regionally restricted euxassay_007716_16

Specimen euxassay_007716_17: embryonic day 14.5 (more )
Structure Level Pattern Image Note
TS23: vault of skull Strong Regionally restricted euxassay_007716_17
TS23: mandible Strong Regionally restricted euxassay_007716_17
TS23: maxilla Strong Regionally restricted euxassay_007716_17
TS23: axial skeleton Strong Regionally restricted euxassay_007716_17
TS23: rib Strong Regionally restricted euxassay_007716_17
TS23: clavicle Strong Regionally restricted euxassay_007716_17
TS23: pericardium Strong Regionally restricted euxassay_007716_17
TS23: diaphragm Strong Regionally restricted euxassay_007716_17
TS23: embryo mesenchyme Strong Regionally restricted euxassay_007716_17
TS23: diencephalon meninges Strong Regionally restricted euxassay_007716_17
TS23: telencephalon meninges Strong Regionally restricted euxassay_007716_17
TS23: hindbrain meninges Strong Regionally restricted euxassay_007716_17
TS23: midbrain meninges Strong Regionally restricted euxassay_007716_17
TS23: spinal cord meninges Strong Regionally restricted euxassay_007716_17

Specimen euxassay_007716_18: embryonic day 14.5 (more )
Structure Level Pattern Image Note
TS23: vault of skull Strong Regionally restricted euxassay_007716_18
TS23: basioccipital bone Strong Regionally restricted euxassay_007716_18
TS23: maxilla Strong Regionally restricted euxassay_007716_18
TS23: mandible Strong Regionally restricted euxassay_007716_18
TS23: axial skeleton Strong Regionally restricted euxassay_007716_18
TS23: rib Strong Regionally restricted euxassay_007716_18
TS23: clavicle Strong Regionally restricted euxassay_007716_18
TS23: pericardium Strong Regionally restricted euxassay_007716_18
TS23: diaphragm Strong Regionally restricted euxassay_007716_18
TS23: embryo mesenchyme Strong Regionally restricted euxassay_007716_18
TS23: diencephalon meninges Strong Regionally restricted euxassay_007716_18
TS23: telencephalon meninges Strong Regionally restricted euxassay_007716_18
TS23: hindbrain meninges Strong Regionally restricted euxassay_007716_18
TS23: midbrain meninges Strong Regionally restricted euxassay_007716_18
TS23: spinal cord meninges Strong Regionally restricted euxassay_007716_18

Specimen euxassay_007716_19: embryonic day 14.5 (more )
Structure Level Pattern Image Note
TS23: basioccipital bone Strong Regionally restricted euxassay_007716_19
TS23: vault of skull Strong Regionally restricted euxassay_007716_19
TS23: maxilla Strong Regionally restricted euxassay_007716_19
TS23: mandible Strong Regionally restricted euxassay_007716_19
TS23: rib Strong Regionally restricted euxassay_007716_19
TS23: axial skeleton Strong Regionally restricted euxassay_007716_19
TS23: upper arm mesenchyme Strong Regionally restricted euxassay_007716_19
TS23: clavicle Strong Regionally restricted euxassay_007716_19
TS23: pelvic girdle skeleton Strong Regionally restricted euxassay_007716_19
TS23: embryo mesenchyme Strong Regionally restricted euxassay_007716_19
TS23: diencephalon meninges Strong Regionally restricted euxassay_007716_19
TS23: telencephalon meninges Strong Regionally restricted euxassay_007716_19
TS23: hindbrain meninges Strong Regionally restricted euxassay_007716_19
TS23: midbrain meninges Strong Regionally restricted euxassay_007716_19

Specimen euxassay_007716_20: embryonic day 14.5 (more )
Structure Level Pattern Image Note
TS23: basioccipital bone Strong Regionally restricted euxassay_007716_20
TS23: vault of skull Strong Regionally restricted euxassay_007716_20
TS23: mandible Strong Regionally restricted euxassay_007716_20
TS23: maxilla Strong Regionally restricted euxassay_007716_20
TS23: rib Strong Regionally restricted euxassay_007716_20
TS23: axial skeleton Strong Regionally restricted euxassay_007716_20
TS23: upper arm mesenchyme Strong Regionally restricted euxassay_007716_20
TS23: pelvic girdle skeleton Strong Regionally restricted euxassay_007716_20
TS23: embryo mesenchyme Strong Regionally restricted euxassay_007716_20
TS23: telencephalon meninges Strong Regionally restricted euxassay_007716_20
TS23: hindbrain meninges Strong Regionally restricted euxassay_007716_20
TS23: midbrain meninges Strong Regionally restricted euxassay_007716_20
TS23: diencephalon meninges Strong Regionally restricted euxassay_007716_20

Specimen euxassay_007716_21: embryonic day 14.5 (more )
Structure Level Pattern Image Note
TS23: basioccipital bone Strong Regionally restricted euxassay_007716_21
TS23: vault of skull Strong Regionally restricted euxassay_007716_21
TS23: mandible Strong Regionally restricted euxassay_007716_21
TS23: rib Strong Regionally restricted euxassay_007716_21
TS23: upper arm mesenchyme Strong Regionally restricted euxassay_007716_21
TS23: upper leg mesenchyme Strong Regionally restricted euxassay_007716_21
TS23: embryo mesenchyme Strong Regionally restricted euxassay_007716_21
TS23: diencephalon meninges Strong Regionally restricted euxassay_007716_21
TS23: telencephalon meninges Strong Regionally restricted euxassay_007716_21
TS23: hindbrain meninges Strong Regionally restricted euxassay_007716_21
TS23: midbrain meninges Strong Regionally restricted euxassay_007716_21

Specimen euxassay_007716_22: embryonic day 14.5 (more )
Structure Level Pattern Image Note
TS23: basioccipital bone Strong Regionally restricted euxassay_007716_22
TS23: vault of skull Strong Regionally restricted euxassay_007716_22
TS23: mandible Strong Regionally restricted euxassay_007716_22
TS23: rib Strong Regionally restricted euxassay_007716_22
TS23: upper arm mesenchyme Strong Regionally restricted euxassay_007716_22
TS23: upper leg mesenchyme Strong Regionally restricted euxassay_007716_22
TS23: embryo mesenchyme Strong Regionally restricted euxassay_007716_22
TS23: hindbrain meninges Strong Regionally restricted euxassay_007716_22
TS23: telencephalon meninges Strong Regionally restricted euxassay_007716_22
TS23: midbrain meninges Strong Regionally restricted euxassay_007716_22

Specimen euxassay_007716_23: embryonic day 14.5 (more )
Structure Level Pattern Image Note
TS23: basioccipital bone Strong Regionally restricted euxassay_007716_23
TS23: vault of skull Strong Regionally restricted euxassay_007716_23
TS23: mandible Strong Regionally restricted euxassay_007716_23
TS23: rib Strong Regionally restricted euxassay_007716_23
TS23: upper arm mesenchyme Strong Regionally restricted euxassay_007716_23
TS23: upper leg mesenchyme Strong Regionally restricted euxassay_007716_23
TS23: embryo mesenchyme Strong Regionally restricted euxassay_007716_23
TS23: telencephalon meninges Strong Regionally restricted euxassay_007716_23
TS23: hindbrain meninges Strong Regionally restricted euxassay_007716_23
TS23: midbrain meninges Strong Regionally restricted euxassay_007716_23

Specimen euxassay_007716_24: embryonic day 14.5 (more )
Structure Level Pattern Image Note
TS23: basioccipital bone Strong Regionally restricted euxassay_007716_24
TS23: vault of skull Strong Regionally restricted euxassay_007716_24
TS23: rib Strong Regionally restricted euxassay_007716_24
TS23: upper arm mesenchyme Strong Regionally restricted euxassay_007716_24
TS23: upper leg mesenchyme Strong Regionally restricted euxassay_007716_24
TS23: foot Strong Regionally restricted euxassay_007716_24
TS23: hand Strong Regionally restricted euxassay_007716_24
TS23: embryo mesenchyme Strong Regionally restricted euxassay_007716_24
TS23: telencephalon meninges Strong Regionally restricted euxassay_007716_24
TS23: hindbrain meninges Strong Regionally restricted euxassay_007716_24
TS23: midbrain meninges Strong Regionally restricted euxassay_007716_24


Contributing Projects:
Mouse Genome Database (MGD), Gene Expression Database (GXD), Mouse Models of Human Cancer database (MMHCdb) (formerly Mouse Tumor Biology (MTB)), Gene Ontology (GO)
Citing These Resources
Funding Information
Warranty Disclaimer, Privacy Notice, Licensing, & Copyright
Send questions and comments to User Support.
last database update
01/06/2026
MGI 6.24
The Jackson Laboratory