About   Help   FAQ
Gene Expression Data
Assay Details
Assay
Reference: J:153498 Diez-Roux G, et al., A high-resolution anatomical atlas of the transcriptome in the mouse embryo. PLoS Biol. 2011;9(1):e1000582
Assay type: RNA in situ
MGI Accession ID: MGI:4823117
Gene symbol: Amy1
Gene name: amylase 1, salivary
Probe: IMAGE clone 1886328
Probe preparation: Antisense labelled with digoxigenin RNA
Visualized with: Alkaline phosphatase
Assay notes: Cryosections of fresh frozen material were fixed in 4% paraformaldehyde for 20 min. before further processing. A tyramide-biotin/streptavidin amplification step was included in the in situ hybridization procedure.
Results
Specimen euxassay_006206_01: embryonic day 14.5 (more )
Structure Level Pattern Image Note
TS23: brain Moderate Regionally restricted euxassay_006206_01

Specimen euxassay_006206_02: embryonic day 14.5 (more )
Structure Level Pattern Image Note
TS23: brain Moderate Regionally restricted euxassay_006206_02

Specimen euxassay_006206_03: embryonic day 14.5 (more )
Structure Level Pattern Image Note
TS23: brain Moderate Regionally restricted euxassay_006206_03
TS23: trigeminal ganglion Moderate Regionally restricted euxassay_006206_03

Specimen euxassay_006206_04: embryonic day 14.5 (more )
Structure Level Pattern Image Note
TS23: brain Moderate Regionally restricted euxassay_006206_04
TS23: trigeminal ganglion Moderate Regionally restricted euxassay_006206_04
TS23: facial ganglion Moderate Regionally restricted euxassay_006206_04

Specimen euxassay_006206_05: embryonic day 14.5 (more )
Structure Level Pattern Image Note
TS23: brain Moderate Regionally restricted euxassay_006206_05
TS23: trigeminal ganglion Moderate Regionally restricted euxassay_006206_05
TS23: vestibulo-cochlear ganglion Moderate Regionally restricted euxassay_006206_05
TS23: dorsal root ganglion Weak Regionally restricted euxassay_006206_05

Specimen euxassay_006206_06: embryonic day 14.5 (more )
Structure Level Pattern Image Note
TS23: brain Moderate Regionally restricted euxassay_006206_06
TS23: trigeminal ganglion Moderate Regionally restricted euxassay_006206_06
TS23: glossopharyngeal ganglion Moderate Regionally restricted euxassay_006206_06
TS23: vestibulo-cochlear ganglion Moderate Regionally restricted euxassay_006206_06
TS23: dorsal root ganglion Weak Regionally restricted euxassay_006206_06

Specimen euxassay_006206_07: embryonic day 14.5 (more )
Structure Level Pattern Image Note
TS23: brain Moderate Regionally restricted euxassay_006206_07
TS23: spinal cord Moderate Regionally restricted euxassay_006206_07
TS23: trigeminal ganglion Moderate Regionally restricted euxassay_006206_07
TS23: vagus ganglion Moderate Regionally restricted euxassay_006206_07
TS23: vestibulo-cochlear ganglion Moderate Regionally restricted euxassay_006206_07
TS23: dorsal root ganglion Weak Regionally restricted euxassay_006206_07
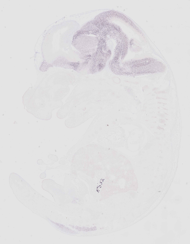
TS23: pancreas Strong Regionally restricted euxassay_006206_07

Specimen euxassay_006206_08: embryonic day 14.5 (more )
Structure Level Pattern Image Note
TS23: brain Moderate Regionally restricted euxassay_006206_08
TS23: trigeminal ganglion Moderate Regionally restricted euxassay_006206_08
TS23: dorsal root ganglion Weak Regionally restricted euxassay_006206_08
TS23: pancreas Strong Regionally restricted euxassay_006206_08

Specimen euxassay_006206_09: embryonic day 14.5 (more )
Structure Level Pattern Image Note
TS23: brain Moderate Regionally restricted euxassay_006206_09
TS23: dorsal root ganglion Weak Regionally restricted euxassay_006206_09
TS23: pancreas Strong Regionally restricted euxassay_006206_09

Specimen euxassay_006206_10: embryonic day 14.5 (more )
Structure Level Pattern Image Note
TS23: brain Moderate Regionally restricted euxassay_006206_10
TS23: dorsal root ganglion Weak Regionally restricted euxassay_006206_10
TS23: pancreas Strong Regionally restricted euxassay_006206_10

Specimen euxassay_006206_11: embryonic day 14.5 (more )
Structure Level Pattern Image Note
TS23: brain Moderate Regionally restricted euxassay_006206_11
TS23: pancreas Strong Regionally restricted euxassay_006206_11

Specimen euxassay_006206_12: embryonic day 14.5 (more )
Structure Level Pattern Image Note
TS23: brain Moderate Regionally restricted euxassay_006206_12
TS23: pancreas Strong Regionally restricted euxassay_006206_12

Specimen euxassay_006206_13: embryonic day 14.5 (more )
Structure Level Pattern Image Note
TS23: brain Moderate Regionally restricted euxassay_006206_13
TS23: dorsal root ganglion Weak Regionally restricted euxassay_006206_13
TS23: pancreas Strong Regionally restricted euxassay_006206_13

Specimen euxassay_006206_14: embryonic day 14.5 (more )
Structure Level Pattern Image Note
TS23: brain Moderate Regionally restricted euxassay_006206_14
TS23: dorsal root ganglion Weak Regionally restricted euxassay_006206_14
TS23: pancreas Strong Regionally restricted euxassay_006206_14

Specimen euxassay_006206_15: embryonic day 14.5 (more )
Structure Level Pattern Image Note
TS23: brain Moderate Regionally restricted euxassay_006206_15
TS23: dorsal root ganglion Weak Regionally restricted euxassay_006206_15
TS23: pancreas Strong Regionally restricted euxassay_006206_15

Specimen euxassay_006206_16: embryonic day 14.5 (more )
Structure Level Pattern Image Note
TS23: brain Moderate Regionally restricted euxassay_006206_16
TS23: vagus ganglion Moderate Regionally restricted euxassay_006206_16
TS23: vestibulo-cochlear ganglion Moderate Regionally restricted euxassay_006206_16
TS23: dorsal root ganglion Weak Regionally restricted euxassay_006206_16
TS23: pancreas Strong Regionally restricted euxassay_006206_16

Specimen euxassay_006206_17: embryonic day 14.5 (more )
Structure Level Pattern Image Note
TS23: brain Moderate Regionally restricted euxassay_006206_17
TS23: glossopharyngeal ganglion Moderate Regionally restricted euxassay_006206_17
TS23: trigeminal ganglion Moderate Regionally restricted euxassay_006206_17
TS23: vestibulo-cochlear ganglion Moderate Regionally restricted euxassay_006206_17

Specimen euxassay_006206_18: embryonic day 14.5 (more )
Structure Level Pattern Image Note
TS23: brain Moderate Regionally restricted euxassay_006206_18
TS23: trigeminal ganglion Moderate Regionally restricted euxassay_006206_18
TS23: vestibulo-cochlear ganglion Moderate Regionally restricted euxassay_006206_18

Specimen euxassay_006206_19: embryonic day 14.5 (more )
Structure Level Pattern Image Note
TS23: brain Moderate Regionally restricted euxassay_006206_19
TS23: trigeminal ganglion Moderate Regionally restricted euxassay_006206_19
TS23: vestibulo-cochlear ganglion Moderate Regionally restricted euxassay_006206_19

Specimen euxassay_006206_20: embryonic day 14.5 (more )
Structure Level Pattern Image Note
TS23: brain Moderate Regionally restricted euxassay_006206_20
TS23: trigeminal ganglion Moderate Regionally restricted euxassay_006206_20
TS23: facial ganglion Moderate Regionally restricted euxassay_006206_20

Specimen euxassay_006206_21: embryonic day 14.5 (more )
Structure Level Pattern Image Note
TS23: brain Moderate Regionally restricted euxassay_006206_21
TS23: trigeminal ganglion Moderate Regionally restricted euxassay_006206_21

Specimen euxassay_006206_22: embryonic day 14.5 (more )
Structure Level Pattern Image Note
TS23: brain Moderate Regionally restricted euxassay_006206_22
TS23: trigeminal ganglion Moderate Regionally restricted euxassay_006206_22

Specimen euxassay_006206_23: embryonic day 14.5 (more )
Structure Level Pattern Image Note
TS23: brain Moderate Regionally restricted euxassay_006206_23


Contributing Projects:
Mouse Genome Database (MGD), Gene Expression Database (GXD), Mouse Models of Human Cancer database (MMHCdb) (formerly Mouse Tumor Biology (MTB)), Gene Ontology (GO)
Citing These Resources
Funding Information
Warranty Disclaimer, Privacy Notice, Licensing, & Copyright
Send questions and comments to User Support.
last database update
01/06/2026
MGI 6.24
The Jackson Laboratory