About   Help   FAQ
Gene Expression Data
Assay Details
Assay
Reference: J:153498 Diez-Roux G, et al., A high-resolution anatomical atlas of the transcriptome in the mouse embryo. PLoS Biol. 2011;9(1):e1000582
Assay type: RNA in situ
MGI Accession ID: MGI:4823115
Gene symbol: Ampd3
Gene name: adenosine monophosphate deaminase 3
Probe: T31330
Probe preparation: Antisense labelled with digoxigenin RNA
Visualized with: Alkaline phosphatase
Assay notes: Cryosections of fresh frozen material were fixed in 4% paraformaldehyde for 20 min. before further processing. A tyramide-biotin/streptavidin amplification step was included in the in situ hybridization procedure.
Results
Specimen euxassay_012445_01: embryonic day 14.5 (more )
Structure Level Pattern Image Note
TS23: liver lobe Weak Regionally restricted euxassay_012445_01

Specimen euxassay_012445_02: embryonic day 14.5 (more )
Structure Level Pattern Image Note
TS23: liver lobe Weak Regionally restricted euxassay_012445_02

Specimen euxassay_012445_03: embryonic day 14.5 (more )
Structure Level Pattern Image Note
TS23: liver lobe Weak Regionally restricted euxassay_012445_03

Specimen euxassay_012445_04: embryonic day 14.5 (more )
Structure Level Pattern Image Note
TS23: liver lobe Weak Regionally restricted euxassay_012445_04
TS23: heart ventricle Moderate Spotted euxassay_012445_04

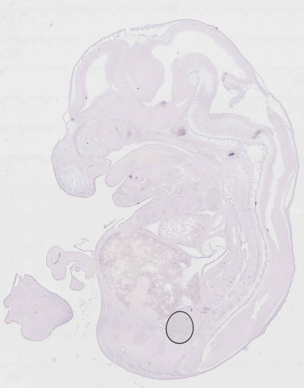
Specimen euxassay_012445_05: embryonic day 14.5 (more )
Structure Level Pattern Image Note
TS23: liver lobe Weak Regionally restricted euxassay_012445_05
TS23: heart ventricle Moderate Spotted euxassay_012445_05

Specimen euxassay_012445_06: embryonic day 14.5 (more )
Structure Level Pattern Image Note
TS23: liver lobe Weak Regionally restricted euxassay_012445_06
TS23: heart ventricle Moderate Spotted euxassay_012445_06

Specimen euxassay_012445_07: embryonic day 14.5 (more )
Structure Level Pattern Image Note
TS23: liver lobe Weak Regionally restricted euxassay_012445_07
TS23: heart ventricle Moderate Spotted euxassay_012445_07

Specimen euxassay_012445_08: embryonic day 14.5 (more )
Structure Level Pattern Image Note
TS23: cervical ganglion Moderate Regionally restricted euxassay_012445_08
TS23: liver lobe Weak Regionally restricted euxassay_012445_08
TS23: heart ventricle Moderate Spotted euxassay_012445_08

Specimen euxassay_012445_09: embryonic day 14.5 (more )
Structure Level Pattern Image Note
TS23: cervico-thoracic ganglion Moderate Regionally restricted euxassay_012445_09
TS23: pituitary gland Moderate Regionally restricted euxassay_012445_09
TS23: liver lobe Weak Regionally restricted euxassay_012445_09
TS23: heart ventricle Moderate Spotted euxassay_012445_09

Specimen euxassay_012445_10: embryonic day 14.5 (more )
Structure Level Pattern Image Note
TS23: cervico-thoracic ganglion Weak Regionally restricted euxassay_012445_10
TS23: pituitary gland Moderate Regionally restricted euxassay_012445_10
TS23: liver lobe Weak Regionally restricted euxassay_012445_10
TS23: heart ventricle Moderate Spotted euxassay_012445_10

Specimen euxassay_012445_11: embryonic day 14.5 (more )
Structure Level Pattern Image Note
TS23: thoracic ganglion Weak Regionally restricted euxassay_012445_11
TS23: pituitary gland Moderate Regionally restricted euxassay_012445_11
TS23: liver lobe Weak Regionally restricted euxassay_012445_11

Specimen euxassay_012445_12: embryonic day 14.5 (more )
Structure Level Pattern Image Note
TS23: pituitary gland Moderate Regionally restricted euxassay_012445_12
TS23: liver lobe Weak Regionally restricted euxassay_012445_12

Specimen euxassay_012445_13: embryonic day 14.5 (more )
Structure Level Pattern Image Note
TS23: pituitary gland Moderate Regionally restricted euxassay_012445_13
TS23: liver lobe Weak Regionally restricted euxassay_012445_13

Specimen euxassay_012445_14: embryonic day 14.5 (more )
Structure Level Pattern Image Note
TS23: cervico-thoracic ganglion Weak Regionally restricted euxassay_012445_14
TS23: pituitary gland Moderate Regionally restricted euxassay_012445_14
TS23: liver lobe Weak Regionally restricted euxassay_012445_14
TS23: heart ventricle Moderate Spotted euxassay_012445_14

Specimen euxassay_012445_15: embryonic day 14.5 (more )
Structure Level Pattern Image Note
TS23: cervico-thoracic ganglion Moderate Regionally restricted euxassay_012445_15
TS23: cervical ganglion Moderate Regionally restricted euxassay_012445_15
TS23: pituitary gland Weak Regionally restricted euxassay_012445_15
TS23: liver lobe Weak Regionally restricted euxassay_012445_15

Specimen euxassay_012445_16: embryonic day 14.5 (more )
Structure Level Pattern Image Note
TS23: cervical ganglion Moderate Regionally restricted euxassay_012445_16
TS23: liver lobe Weak Regionally restricted euxassay_012445_16

Specimen euxassay_012445_17: embryonic day 14.5 (more )
Structure Level Pattern Image Note
TS23: liver lobe Weak Regionally restricted euxassay_012445_17

Specimen euxassay_012445_18: embryonic day 14.5 (more )
Structure Level Pattern Image Note
TS23: liver lobe Weak Regionally restricted euxassay_012445_18

Specimen euxassay_012445_19: embryonic day 14.5 (more )
Structure Level Pattern Image Note
TS23: liver lobe Weak Regionally restricted euxassay_012445_19


Contributing Projects:
Mouse Genome Database (MGD), Gene Expression Database (GXD), Mouse Models of Human Cancer database (MMHCdb) (formerly Mouse Tumor Biology (MTB)), Gene Ontology (GO)
Citing These Resources
Funding Information
Warranty Disclaimer, Privacy Notice, Licensing, & Copyright
Send questions and comments to User Support.
last database update
01/20/2026
MGI 6.24
The Jackson Laboratory