About   Help   FAQ
Gene Expression Data
Assay Details
Assay
Reference: J:153498 Diez-Roux G, et al., A high-resolution anatomical atlas of the transcriptome in the mouse embryo. PLoS Biol. 2011;9(1):e1000582
Assay type: RNA in situ
MGI Accession ID: MGI:4823102
Gene symbol: Ambp
Gene name: alpha 1 microglobulin/bikunin precursor
Probe: MGC clone 14070
Probe preparation: Antisense labelled with digoxigenin RNA
Visualized with: Alkaline phosphatase
Assay notes: Cryosections of fresh frozen material were fixed in 4% paraformaldehyde for 20 min. before further processing. A tyramide-biotin/streptavidin amplification step was included in the in situ hybridization procedure.
Results
Specimen euxassay_006659_01: embryonic day 14.5 (more )
Structure Level Pattern Image Note
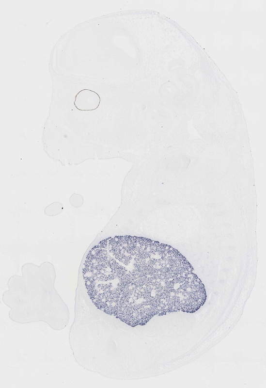
TS23: liver left lobe Strong Regionally restricted euxassay_006659_01

Specimen euxassay_006659_02: embryonic day 14.5 (more )
Structure Level Pattern Image Note
TS23: liver left lobe Strong Regionally restricted euxassay_006659_02

Specimen euxassay_006659_03: embryonic day 14.5 (more )
Structure Level Pattern Image Note
TS23: liver left lobe Strong Regionally restricted euxassay_006659_03

Specimen euxassay_006659_04: embryonic day 14.5 (more )
Structure Level Pattern Image Note
TS23: liver left lobe Strong Regionally restricted euxassay_006659_04

Specimen euxassay_006659_05: embryonic day 14.5 (more )
Structure Level Pattern Image Note
TS23: liver left lobe Strong Regionally restricted euxassay_006659_05

Specimen euxassay_006659_06: embryonic day 14.5 (more )
Structure Level Pattern Image Note
TS23: liver left lobe Strong Regionally restricted euxassay_006659_06

Specimen euxassay_006659_07: embryonic day 14.5 (more )
Structure Level Pattern Image Note
TS23: liver left lobe Strong Regionally restricted euxassay_006659_07
TS23: midgut Moderate Regionally restricted euxassay_006659_07
TS23: midgut loop Moderate Regionally restricted euxassay_006659_07

Specimen euxassay_006659_08: embryonic day 14.5 (more )
Structure Level Pattern Image Note
TS23: liver left lobe Strong Regionally restricted euxassay_006659_08
TS23: midgut Moderate Regionally restricted euxassay_006659_08
TS23: midgut loop Moderate Regionally restricted euxassay_006659_08

Specimen euxassay_006659_09: embryonic day 14.5 (more )
Structure Level Pattern Image Note
TS23: liver left lobe Strong Regionally restricted euxassay_006659_09
TS23: midgut loop Moderate Regionally restricted euxassay_006659_09

Specimen euxassay_006659_10: embryonic day 14.5 (more )
Structure Level Pattern Image Note
TS23: liver left lobe Strong Regionally restricted euxassay_006659_10
TS23: pancreas Strong Regionally restricted euxassay_006659_10

Specimen euxassay_006659_11: embryonic day 14.5 (more )
Structure Level Pattern Image Note
TS23: liver left lobe Strong Regionally restricted euxassay_006659_11
TS23: pancreas Strong Regionally restricted euxassay_006659_11

Specimen euxassay_006659_12: embryonic day 14.5 (more )
Structure Level Pattern Image Note
TS23: liver left lobe Strong Regionally restricted euxassay_006659_12
TS23: pancreas Strong Regionally restricted euxassay_006659_12

Specimen euxassay_006659_13: embryonic day 14.5 (more )
Structure Level Pattern Image Note
TS23: liver right lobe Strong Regionally restricted euxassay_006659_13
TS23: pancreas Strong Regionally restricted euxassay_006659_13
TS23: midgut Moderate Regionally restricted euxassay_006659_13

Specimen euxassay_006659_14: embryonic day 14.5 (more )
Structure Level Pattern Image Note
TS23: liver right lobe Strong Regionally restricted euxassay_006659_14
TS23: pancreas Strong Regionally restricted euxassay_006659_14
TS23: midgut Moderate Regionally restricted euxassay_006659_14

Specimen euxassay_006659_15: embryonic day 14.5 (more )
Structure Level Pattern Image Note
TS23: liver right lobe Strong Regionally restricted euxassay_006659_15
TS23: midgut Moderate Regionally restricted euxassay_006659_15

Specimen euxassay_006659_16: embryonic day 14.5 (more )
Structure Level Pattern Image Note
TS23: liver right lobe Strong Regionally restricted euxassay_006659_16
TS23: pancreas Strong Regionally restricted euxassay_006659_16
TS23: midgut Moderate Regionally restricted euxassay_006659_16

Specimen euxassay_006659_17: embryonic day 14.5 (more )
Structure Level Pattern Image Note
TS23: liver right lobe Strong Regionally restricted euxassay_006659_17
TS23: pancreas Strong Regionally restricted euxassay_006659_17
TS23: midgut Moderate Regionally restricted euxassay_006659_17

Specimen euxassay_006659_18: embryonic day 14.5 (more )
Structure Level Pattern Image Note
TS23: liver right lobe Strong Regionally restricted euxassay_006659_18
TS23: pancreas Strong Regionally restricted euxassay_006659_18
TS23: midgut Moderate Regionally restricted euxassay_006659_18

Specimen euxassay_006659_19: embryonic day 14.5 (more )
Structure Level Pattern Image Note
TS23: liver right lobe Strong Regionally restricted euxassay_006659_19
TS23: midgut Moderate Regionally restricted euxassay_006659_19

Specimen euxassay_006659_20: embryonic day 14.5 (more )
Structure Level Pattern Image Note
TS23: liver right lobe Strong Regionally restricted euxassay_006659_20
TS23: midgut Moderate Regionally restricted euxassay_006659_20

Specimen euxassay_006659_21: embryonic day 14.5 (more )
Structure Level Pattern Image Note
TS23: liver right lobe Strong Regionally restricted euxassay_006659_21
TS23: midgut Moderate Regionally restricted euxassay_006659_21

Specimen euxassay_006659_22: embryonic day 14.5 (more )
Structure Level Pattern Image Note
TS23: liver right lobe Strong Regionally restricted euxassay_006659_22

Specimen euxassay_006659_23: embryonic day 14.5 (more )
Structure Level Pattern Image Note
TS23: liver right lobe Strong Regionally restricted euxassay_006659_23

Specimen euxassay_006659_24: embryonic day 14.5 (more )
Structure Level Pattern Image Note
TS23: liver right lobe Strong Regionally restricted euxassay_006659_24


Contributing Projects:
Mouse Genome Database (MGD), Gene Expression Database (GXD), Mouse Models of Human Cancer database (MMHCdb) (formerly Mouse Tumor Biology (MTB)), Gene Ontology (GO)
Citing These Resources
Funding Information
Warranty Disclaimer, Privacy Notice, Licensing, & Copyright
Send questions and comments to User Support.
last database update
12/30/2025
MGI 6.24
The Jackson Laboratory