About   Help   FAQ
Gene Expression Data
Assay Details
Assay
Reference: J:153498 Diez-Roux G, et al., A high-resolution anatomical atlas of the transcriptome in the mouse embryo. PLoS Biol. 2011;9(1):e1000582
Assay type: RNA in situ
MGI Accession ID: MGI:4823081
Gene symbol: Aldh1b1
Gene name: aldehyde dehydrogenase 1 family, member B1
Probe: T32007
Probe preparation: Antisense labelled with digoxigenin RNA
Visualized with: Alkaline phosphatase
Assay notes: Cryosections of fresh frozen material were fixed in 4% paraformaldehyde for 20 min. before further processing. A tyramide-biotin/streptavidin amplification step was included in the in situ hybridization procedure.
Results
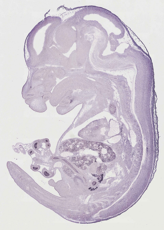
Specimen euxassay_011652_06: embryonic day 14.5 (more )
Structure Level Pattern Image Note
TS23: midgut Moderate Regionally restricted euxassay_011652_06

Specimen euxassay_011652_07: embryonic day 14.5 (more )
Structure Level Pattern Image Note
TS23: midgut Moderate Regionally restricted euxassay_011652_07

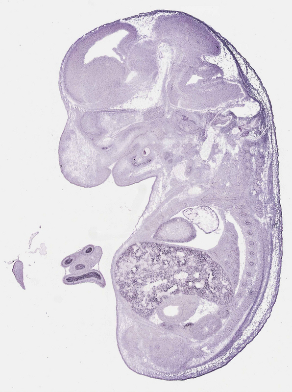
Specimen euxassay_011652_08: embryonic day 14.5 (more )
Structure Level Pattern Image Note
TS23: pancreas Strong Regionally restricted euxassay_011652_08
TS23: midgut Moderate Regionally restricted euxassay_011652_08

Specimen euxassay_011652_09: embryonic day 14.5 (more )
Structure Level Pattern Image Note
TS23: pancreas Strong Regionally restricted euxassay_011652_09
TS23: midgut Moderate Regionally restricted euxassay_011652_09

Specimen euxassay_011652_10: embryonic day 14.5 (more )
Structure Level Pattern Image Note
TS23: pancreas Strong Regionally restricted euxassay_011652_10
TS23: midgut Moderate Regionally restricted euxassay_011652_10

Specimen euxassay_011652_11: embryonic day 14.5 (more )
Structure Level Pattern Image Note
TS23: pancreas Strong Regionally restricted euxassay_011652_11
TS23: midgut Moderate Regionally restricted euxassay_011652_11

Specimen euxassay_011652_12: embryonic day 14.5 (more )
Structure Level Pattern Image Note
TS23: pancreas Strong Regionally restricted euxassay_011652_12
TS23: midgut Moderate Regionally restricted euxassay_011652_12

Specimen euxassay_011652_13: embryonic day 14.5 (more )
Structure Level Pattern Image Note
TS23: midgut Moderate Regionally restricted euxassay_011652_13

Specimen euxassay_011652_14: embryonic day 14.5 (more )
Structure Level Pattern Image Note
TS23: pancreas Strong Regionally restricted euxassay_011652_14
TS23: midgut Moderate Regionally restricted euxassay_011652_14

Specimen euxassay_011652_15: embryonic day 14.5 (more )
Structure Level Pattern Image Note
TS23: pancreas Strong Regionally restricted euxassay_011652_15


Contributing Projects:
Mouse Genome Database (MGD), Gene Expression Database (GXD), Mouse Models of Human Cancer database (MMHCdb) (formerly Mouse Tumor Biology (MTB)), Gene Ontology (GO)
Citing These Resources
Funding Information
Warranty Disclaimer, Privacy Notice, Licensing, & Copyright
Send questions and comments to User Support.
last database update
01/28/2026
MGI 6.24
The Jackson Laboratory