About   Help   FAQ
Gene Expression Data
Assay Details
Assay
Reference: J:153498 Diez-Roux G, et al., A high-resolution anatomical atlas of the transcriptome in the mouse embryo. PLoS Biol. 2011;9(1):e1000582
Assay type: RNA in situ
MGI Accession ID: MGI:4823078
Gene symbol: Alb
Gene name: albumin
Probe: MGC clone 27522
Probe preparation: Antisense labelled with digoxigenin RNA
Visualized with: Alkaline phosphatase
Assay notes: Cryosections of fresh frozen material were fixed in 4% paraformaldehyde for 20 min. before further processing. A tyramide-biotin/streptavidin amplification step was included in the in situ hybridization procedure.
Results
Specimen euxassay_005206_01: embryonic day 14.5 (more )
Structure Level Pattern Image Note
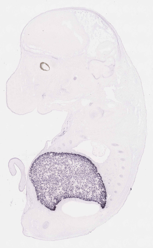
TS23: liver Strong Regionally restricted euxassay_005206_01
TS23: anterior abdominal wall musculature Moderate Regionally restricted euxassay_005206_01
TS23: pectoral girdle and thoracic body wall musculature Moderate Regionally restricted euxassay_005206_01

Specimen euxassay_005206_02: embryonic day 14.5 (more )
Structure Level Pattern Image Note
TS23: liver Strong Regionally restricted euxassay_005206_02
TS23: anterior abdominal wall musculature Moderate Regionally restricted euxassay_005206_02
TS23: pectoral girdle and thoracic body wall musculature Moderate Regionally restricted euxassay_005206_02

Specimen euxassay_005206_03: embryonic day 14.5 (more )
Structure Level Pattern Image Note
TS23: liver Strong Regionally restricted euxassay_005206_03
TS23: anterior abdominal wall musculature Moderate Regionally restricted euxassay_005206_03
TS23: pectoral girdle and thoracic body wall musculature Moderate Regionally restricted euxassay_005206_03

Specimen euxassay_005206_04: embryonic day 14.5 (more )
Structure Level Pattern Image Note
TS23: liver Strong Regionally restricted euxassay_005206_04
TS23: anterior abdominal wall musculature Moderate Regionally restricted euxassay_005206_04
TS23: pectoral girdle and thoracic body wall musculature Moderate Regionally restricted euxassay_005206_04

Specimen euxassay_005206_05: embryonic day 14.5 (more )
Structure Level Pattern Image Note
TS23: liver Strong Regionally restricted euxassay_005206_05
TS23: anterior abdominal wall musculature Moderate Regionally restricted euxassay_005206_05
TS23: pectoral girdle and thoracic body wall musculature Moderate Regionally restricted euxassay_005206_05
TS23: lower lip Strong Regionally restricted euxassay_005206_05

Specimen euxassay_005206_06: embryonic day 14.5 (more )
Structure Level Pattern Image Note
TS23: liver Strong Regionally restricted euxassay_005206_06
TS23: upper lip Strong Regionally restricted euxassay_005206_06

Specimen euxassay_005206_07: embryonic day 14.5 (more )
Structure Level Pattern Image Note
TS23: liver Strong Regionally restricted euxassay_005206_07
TS23: upper lip Strong Regionally restricted euxassay_005206_07

Specimen euxassay_005206_08: embryonic day 14.5 (more )
Structure Level Pattern Image Note
TS23: liver Strong Regionally restricted euxassay_005206_08
TS23: upper lip Strong Regionally restricted euxassay_005206_08

Specimen euxassay_005206_09: embryonic day 14.5 (more )
Structure Level Pattern Image Note
TS23: liver Strong Regionally restricted euxassay_005206_09
TS23: upper lip Strong Regionally restricted euxassay_005206_09

Specimen euxassay_005206_10: embryonic day 14.5 (more )
Structure Level Pattern Image Note
TS23: liver Strong Regionally restricted euxassay_005206_10
TS23: upper lip Strong Regionally restricted euxassay_005206_10

Specimen euxassay_005206_11: embryonic day 14.5 (more )
Structure Level Pattern Image Note
TS23: liver Strong Regionally restricted euxassay_005206_11
TS23: upper lip Strong Regionally restricted euxassay_005206_11

Specimen euxassay_005206_12: embryonic day 14.5 (more )
Structure Level Pattern Image Note
TS23: liver Strong Regionally restricted euxassay_005206_12
TS23: upper lip Strong Regionally restricted euxassay_005206_12

Specimen euxassay_005206_13: embryonic day 14.5 (more )
Structure Level Pattern Image Note
TS23: liver Strong Regionally restricted euxassay_005206_13
TS23: upper lip Strong Regionally restricted euxassay_005206_13

Specimen euxassay_005206_14: embryonic day 14.5 (more )
Structure Level Pattern Image Note
TS23: liver Strong Regionally restricted euxassay_005206_14
TS23: upper lip Strong Regionally restricted euxassay_005206_14

Specimen euxassay_005206_15: embryonic day 14.5 (more )
Structure Level Pattern Image Note
TS23: liver Strong Regionally restricted euxassay_005206_15
TS23: upper lip Strong Regionally restricted euxassay_005206_15

Specimen euxassay_005206_16: embryonic day 14.5 (more )
Structure Level Pattern Image Note
TS23: liver Strong Regionally restricted euxassay_005206_16
TS23: upper lip Strong Regionally restricted euxassay_005206_16

Specimen euxassay_005206_17: embryonic day 14.5 (more )
Structure Level Pattern Image Note
TS23: liver Strong Regionally restricted euxassay_005206_17
TS23: pectoral girdle and thoracic body wall musculature Weak Regionally restricted euxassay_005206_17
TS23: anterior abdominal wall musculature Weak Regionally restricted euxassay_005206_17

Specimen euxassay_005206_18: embryonic day 14.5 (more )
Structure Level Pattern Image Note
TS23: liver Strong Regionally restricted euxassay_005206_18
TS23: pectoral girdle and thoracic body wall musculature Weak Regionally restricted euxassay_005206_18
TS23: anterior abdominal wall musculature Weak Regionally restricted euxassay_005206_18
TS23: lower lip Strong Regionally restricted euxassay_005206_18

Specimen euxassay_005206_19: embryonic day 14.5 (more )
Structure Level Pattern Image Note
TS23: liver Strong Regionally restricted euxassay_005206_19
TS23: anterior abdominal wall musculature Weak Regionally restricted euxassay_005206_19
TS23: pectoral girdle and thoracic body wall musculature Weak Regionally restricted euxassay_005206_19

Specimen euxassay_005206_20: embryonic day 14.5 (more )
Structure Level Pattern Image Note
TS23: liver Strong Regionally restricted euxassay_005206_20
TS23: pectoral girdle and thoracic body wall musculature Moderate Regionally restricted euxassay_005206_20
TS23: anterior abdominal wall musculature Moderate Regionally restricted euxassay_005206_20

Specimen euxassay_005206_21: embryonic day 14.5 (more )
Structure Level Pattern Image Note
TS23: liver Strong Regionally restricted euxassay_005206_21
TS23: anterior abdominal wall musculature Moderate Regionally restricted euxassay_005206_21
TS23: pectoral girdle and thoracic body wall musculature Moderate Regionally restricted euxassay_005206_21

Specimen euxassay_005206_22: embryonic day 14.5 (more )
Structure Level Pattern Image Note
TS23: liver Strong Regionally restricted euxassay_005206_22
TS23: anterior abdominal wall musculature Moderate Regionally restricted euxassay_005206_22
TS23: pectoral girdle and thoracic body wall musculature Moderate Regionally restricted euxassay_005206_22

Specimen euxassay_005206_23: embryonic day 14.5 (more )
Structure Level Pattern Image Note
TS23: liver Strong Regionally restricted euxassay_005206_23
TS23: anterior abdominal wall musculature Moderate Regionally restricted euxassay_005206_23
TS23: pectoral girdle and thoracic body wall musculature Moderate Regionally restricted euxassay_005206_23


Contributing Projects:
Mouse Genome Database (MGD), Gene Expression Database (GXD), Mouse Models of Human Cancer database (MMHCdb) (formerly Mouse Tumor Biology (MTB)), Gene Ontology (GO)
Citing These Resources
Funding Information
Warranty Disclaimer, Privacy Notice, Licensing, & Copyright
Send questions and comments to User Support.
last database update
12/30/2025
MGI 6.24
The Jackson Laboratory