About   Help   FAQ
Gene Expression Data
Assay Details
Assay
Reference: J:153498 Diez-Roux G, et al., A high-resolution anatomical atlas of the transcriptome in the mouse embryo. PLoS Biol. 2011;9(1):e1000582
Assay type: RNA in situ
MGI Accession ID: MGI:4823074
Gene symbol: Akt3
Gene name: Akt serine/threonine kinase 3
Probe: MGC clone 76721
Probe preparation: Antisense labelled with digoxigenin RNA
Visualized with: Alkaline phosphatase
Assay notes: Cryosections of fresh frozen material were fixed in 4% paraformaldehyde for 20 min. before further processing. A tyramide-biotin/streptavidin amplification step was included in the in situ hybridization procedure.
Results
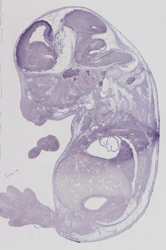
Specimen euxassay_006568_01: embryonic day 14.5 (more )
Structure Level Pattern Image Note
TS23: brain Moderate Regionally restricted euxassay_006568_01
TS23: neural retina Moderate Regionally restricted euxassay_006568_01

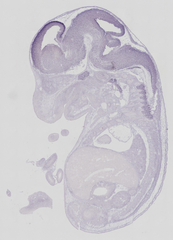
Specimen euxassay_006568_02: embryonic day 14.5 (more )
Structure Level Pattern Image Note
TS23: brain Moderate Regionally restricted euxassay_006568_02
TS23: neural retina Moderate Regionally restricted euxassay_006568_02
TS23: trigeminal ganglion Moderate Uniform euxassay_006568_02
TS23: facial ganglion Moderate Uniform euxassay_006568_02

Specimen euxassay_006568_03: embryonic day 14.5 (more )
Structure Level Pattern Image Note
TS23: brain Moderate Regionally restricted euxassay_006568_03
TS23: neural retina Moderate Regionally restricted euxassay_006568_03
TS23: trigeminal ganglion Moderate Uniform euxassay_006568_03

Specimen euxassay_006568_04: embryonic day 14.5 (more )
Structure Level Pattern Image Note
TS23: brain Moderate Regionally restricted euxassay_006568_04
TS23: trigeminal ganglion Moderate Uniform euxassay_006568_04

Specimen euxassay_006568_05: embryonic day 14.5 (more )
Structure Level Pattern Image Note
TS23: brain Moderate Regionally restricted euxassay_006568_05
TS23: trigeminal ganglion Moderate Uniform euxassay_006568_05
TS23: vestibulo-cochlear ganglion Moderate Uniform euxassay_006568_05
TS23: glossopharyngeal ganglion Moderate Uniform euxassay_006568_05
TS23: facial ganglion Moderate Uniform euxassay_006568_05
TS23: dorsal root ganglion Moderate Regionally restricted euxassay_006568_05

Specimen euxassay_006568_06: embryonic day 14.5 (more )
Structure Level Pattern Image Note
TS23: brain Moderate Regionally restricted euxassay_006568_06
TS23: trigeminal ganglion Moderate Uniform euxassay_006568_06
TS23: vagus ganglion Moderate Uniform euxassay_006568_06
TS23: facial ganglion Moderate Uniform euxassay_006568_06
TS23: dorsal root ganglion Moderate Regionally restricted euxassay_006568_06

Specimen euxassay_006568_07: embryonic day 14.5 (more )
Structure Level Pattern Image Note
TS23: brain Moderate Regionally restricted euxassay_006568_07
TS23: spinal cord Moderate Regionally restricted euxassay_006568_07
TS23: trigeminal ganglion Moderate Uniform euxassay_006568_07
TS23: dorsal root ganglion Moderate Regionally restricted euxassay_006568_07
TS23: cervical ganglion Moderate Regionally restricted euxassay_006568_07

Specimen euxassay_006568_08: embryonic day 14.5 (more )
Structure Level Pattern Image Note
TS23: brain Moderate Regionally restricted euxassay_006568_08
TS23: spinal cord Moderate Regionally restricted euxassay_006568_08
TS23: trigeminal ganglion Moderate Uniform euxassay_006568_08
TS23: dorsal root ganglion Moderate Regionally restricted euxassay_006568_08
TS23: cervical ganglion Moderate Regionally restricted euxassay_006568_08

Specimen euxassay_006568_09: embryonic day 14.5 (more )
Structure Level Pattern Image Note
TS23: brain Moderate Regionally restricted euxassay_006568_09
TS23: spinal cord Moderate Regionally restricted euxassay_006568_09
TS23: trigeminal nerve Moderate Regionally restricted euxassay_006568_09
TS23: dorsal root ganglion Moderate Regionally restricted euxassay_006568_09
TS23: cervico-thoracic ganglion Moderate Regionally restricted euxassay_006568_09

Specimen euxassay_006568_10: embryonic day 14.5 (more )
Structure Level Pattern Image Note
TS23: brain Moderate Regionally restricted euxassay_006568_10
TS23: spinal cord Moderate Regionally restricted euxassay_006568_10
TS23: trigeminal nerve Moderate Regionally restricted euxassay_006568_10
TS23: dorsal root ganglion Moderate Regionally restricted euxassay_006568_10

Specimen euxassay_006568_11: embryonic day 14.5 (more )
Structure Level Pattern Image Note
TS23: brain Moderate Regionally restricted euxassay_006568_11
TS23: spinal cord Moderate Regionally restricted euxassay_006568_11
TS23: dorsal root ganglion Moderate Regionally restricted euxassay_006568_11
TS23: cervico-thoracic ganglion Moderate Regionally restricted euxassay_006568_11

Specimen euxassay_006568_12: embryonic day 14.5 (more )
Structure Level Pattern Image Note
TS23: brain Moderate Regionally restricted euxassay_006568_12
TS23: spinal cord Moderate Regionally restricted euxassay_006568_12
TS23: dorsal root ganglion Moderate Regionally restricted euxassay_006568_12
TS23: thoracic ganglion Moderate Regionally restricted euxassay_006568_12

Specimen euxassay_006568_13: embryonic day 14.5 (more )
Structure Level Pattern Image Note
TS23: brain Moderate Regionally restricted euxassay_006568_13
TS23: spinal cord Moderate Regionally restricted euxassay_006568_13
TS23: thoracic ganglion Moderate Regionally restricted euxassay_006568_13

Specimen euxassay_006568_14: embryonic day 14.5 (more )
Structure Level Pattern Image Note
TS23: brain Moderate Regionally restricted euxassay_006568_14
TS23: spinal cord Moderate Regionally restricted euxassay_006568_14
TS23: dorsal root ganglion Moderate Regionally restricted euxassay_006568_14
TS23: thoracic ganglion Moderate Regionally restricted euxassay_006568_14

Specimen euxassay_006568_15: embryonic day 14.5 (more )
Structure Level Pattern Image Note
TS23: brain Moderate Regionally restricted euxassay_006568_15
TS23: spinal cord Moderate Regionally restricted euxassay_006568_15
TS23: dorsal root ganglion Moderate Regionally restricted euxassay_006568_15
TS23: cervico-thoracic ganglion Moderate Regionally restricted euxassay_006568_15
TS23: thoracic ganglion Moderate Regionally restricted euxassay_006568_15
TS23: cervical ganglion Moderate Regionally restricted euxassay_006568_15

Specimen euxassay_006568_16: embryonic day 14.5 (more )
Structure Level Pattern Image Note
TS23: brain Moderate Regionally restricted euxassay_006568_16
TS23: spinal cord Moderate Regionally restricted euxassay_006568_16
TS23: vagus ganglion Moderate Uniform euxassay_006568_16
TS23: glossopharyngeal ganglion Moderate Uniform euxassay_006568_16
TS23: dorsal root ganglion Moderate Regionally restricted euxassay_006568_16
TS23: cervical ganglion Moderate Regionally restricted euxassay_006568_16

Specimen euxassay_006568_17: embryonic day 14.5 (more )
Structure Level Pattern Image Note
TS23: brain Moderate Regionally restricted euxassay_006568_17
TS23: vestibulo-cochlear ganglion Moderate Uniform euxassay_006568_17
TS23: trigeminal ganglion Moderate Uniform euxassay_006568_17
TS23: glossopharyngeal ganglion Moderate Uniform euxassay_006568_17
TS23: trigeminal nerve Moderate Regionally restricted euxassay_006568_17
TS23: dorsal root ganglion Moderate Regionally restricted euxassay_006568_17

Specimen euxassay_006568_18: embryonic day 14.5 (more )
Structure Level Pattern Image Note
TS23: brain Moderate Regionally restricted euxassay_006568_18
TS23: trigeminal ganglion Moderate Uniform euxassay_006568_18
TS23: glossopharyngeal ganglion Moderate Uniform euxassay_006568_18
TS23: vestibulo-cochlear ganglion Moderate Uniform euxassay_006568_18
TS23: facial ganglion Moderate Uniform euxassay_006568_18
TS23: trigeminal nerve Moderate Regionally restricted euxassay_006568_18

Specimen euxassay_006568_19: embryonic day 14.5 (more )
Structure Level Pattern Image Note
TS23: brain Moderate Regionally restricted euxassay_006568_19
TS23: trigeminal ganglion Moderate Uniform euxassay_006568_19
TS23: facial ganglion Moderate Uniform euxassay_006568_19

Specimen euxassay_006568_20: embryonic day 14.5 (more )
Structure Level Pattern Image Note
TS23: brain Moderate Regionally restricted euxassay_006568_20
TS23: trigeminal ganglion Moderate Uniform euxassay_006568_20
TS23: facial ganglion Moderate Uniform euxassay_006568_20

Specimen euxassay_006568_21: embryonic day 14.5 (more )
Structure Level Pattern Image Note
TS23: brain Moderate Regionally restricted euxassay_006568_21
TS23: trigeminal ganglion Moderate Uniform euxassay_006568_21
TS23: facial ganglion Moderate Uniform euxassay_006568_21

Specimen euxassay_006568_22: embryonic day 14.5 (more )
Structure Level Pattern Image Note
TS23: brain Moderate Regionally restricted euxassay_006568_22
TS23: trigeminal ganglion Moderate Uniform euxassay_006568_22

Specimen euxassay_006568_23: embryonic day 14.5 (more )
Structure Level Pattern Image Note
TS23: brain Moderate Regionally restricted euxassay_006568_23
TS23: neural retina Moderate Regionally restricted euxassay_006568_23

Specimen euxassay_006568_24: embryonic day 14.5 (more )
Structure Level Pattern Image Note
TS23: brain Moderate Regionally restricted euxassay_006568_24
TS23: neural retina Moderate Regionally restricted euxassay_006568_24


Contributing Projects:
Mouse Genome Database (MGD), Gene Expression Database (GXD), Mouse Models of Human Cancer database (MMHCdb) (formerly Mouse Tumor Biology (MTB)), Gene Ontology (GO)
Citing These Resources
Funding Information
Warranty Disclaimer, Privacy Notice, Licensing, & Copyright
Send questions and comments to User Support.
last database update
12/30/2025
MGI 6.24
The Jackson Laboratory