About   Help   FAQ
Gene Expression Data
Assay Details
Assay
Reference: J:153498 Diez-Roux G, et al., A high-resolution anatomical atlas of the transcriptome in the mouse embryo. PLoS Biol. 2011;9(1):e1000582
Assay type: RNA in situ
MGI Accession ID: MGI:4823065
Gene symbol: Akirin1
Gene name: akirin 1
Probe: MGC clone 7743
Probe preparation: Antisense labelled with digoxigenin RNA
Visualized with: Alkaline phosphatase
Assay notes: Cryosections of fresh frozen material were fixed in 4% paraformaldehyde for 20 min. before further processing. A tyramide-biotin/streptavidin amplification step was included in the in situ hybridization procedure.
Results
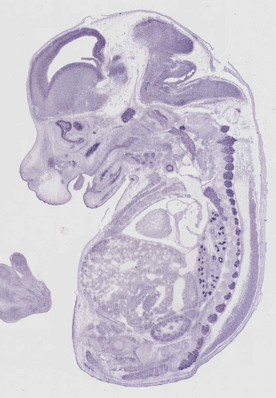
Specimen euxassay_003462_02: embryonic day 14.5 (more )
Structure Level Pattern Image Note
TS23: orbito-sphenoid Moderate Regionally restricted euxassay_003462_02

Specimen euxassay_003462_03: embryonic day 14.5 (more )
Structure Level Pattern Image Note
TS23: orbito-sphenoid Moderate Regionally restricted euxassay_003462_03

Specimen euxassay_003462_04: embryonic day 14.5 (more )
Structure Level Pattern Image Note
TS23: trigeminal ganglion Strong Regionally restricted euxassay_003462_04
TS23: Meckel's cartilage Moderate Regionally restricted euxassay_003462_04
TS23: orbito-sphenoid Moderate Regionally restricted euxassay_003462_04

Specimen euxassay_003462_05: embryonic day 14.5 (more )
Structure Level Pattern Image Note
TS23: trigeminal ganglion Strong Regionally restricted euxassay_003462_05
TS23: facial ganglion Strong Regionally restricted euxassay_003462_05
TS23: Meckel's cartilage Moderate Regionally restricted euxassay_003462_05
TS23: orbito-sphenoid Moderate Regionally restricted euxassay_003462_05

Specimen euxassay_003462_06: embryonic day 14.5 (more )
Structure Level Pattern Image Note
TS23: trigeminal ganglion Strong Regionally restricted euxassay_003462_06
TS23: facial ganglion Strong Regionally restricted euxassay_003462_06
TS23: left lung Strong Regionally restricted euxassay_003462_06
TS23: Meckel's cartilage Moderate Regionally restricted euxassay_003462_06
TS23: orbito-sphenoid Moderate Regionally restricted euxassay_003462_06
TS23: vomeronasal organ Moderate Regionally restricted euxassay_003462_06

Specimen euxassay_003462_07: embryonic day 14.5 (more )
Structure Level Pattern Image Note
TS23: trigeminal ganglion Strong Regionally restricted euxassay_003462_07
TS23: left lung Strong Regionally restricted euxassay_003462_07
TS23: Meckel's cartilage Weak Regionally restricted euxassay_003462_07
TS23: vibrissa Moderate Regionally restricted euxassay_003462_07
TS23: vomeronasal organ Moderate Regionally restricted euxassay_003462_07

Specimen euxassay_003462_08: embryonic day 14.5 (more )
Structure Level Pattern Image Note
TS23: trigeminal ganglion Strong Regionally restricted euxassay_003462_08
TS23: glossopharyngeal ganglion Strong Regionally restricted euxassay_003462_08
TS23: vestibulo-cochlear ganglion Strong Regionally restricted euxassay_003462_08
TS23: left lung Strong Regionally restricted euxassay_003462_08
TS23: vibrissa Moderate Regionally restricted euxassay_003462_08
TS23: vomeronasal organ Moderate Regionally restricted euxassay_003462_08

Specimen euxassay_003462_09: embryonic day 14.5 (more )
Structure Level Pattern Image Note
TS23: glossopharyngeal ganglion Strong Regionally restricted euxassay_003462_09
TS23: vestibulo-cochlear ganglion Strong Regionally restricted euxassay_003462_09
TS23: trigeminal ganglion Strong Regionally restricted euxassay_003462_09
TS23: dorsal root ganglion Strong Regionally restricted euxassay_003462_09
TS23: left lung Strong Regionally restricted euxassay_003462_09
TS23: Meckel's cartilage Weak Regionally restricted euxassay_003462_09
TS23: upper jaw molar Weak Regionally restricted euxassay_003462_09
TS23: lower jaw molar Weak Regionally restricted euxassay_003462_09
TS23: vibrissa Weak Regionally restricted euxassay_003462_09
TS23: olfactory epithelium Strong Regionally restricted euxassay_003462_09
TS23: vomeronasal organ Moderate Regionally restricted euxassay_003462_09

Specimen euxassay_003462_10: embryonic day 14.5 (more )
Note: Additional information for this specimen was included in the Eurexpress data submission file.
Structure Level Pattern Image Note
TS23: trigeminal ganglion Strong Regionally restricted euxassay_003462_10
TS23: vagus ganglion Strong Regionally restricted euxassay_003462_10
TS23: dorsal root ganglion Strong Regionally restricted euxassay_003462_10
TS23: left lung Strong Regionally restricted euxassay_003462_10
TS23: upper jaw molar Moderate Regionally restricted euxassay_003462_10
TS23: lower jaw molar Moderate Regionally restricted euxassay_003462_10
TS23: Meckel's cartilage Moderate Regionally restricted euxassay_003462_10
TS23: vibrissa Weak Regionally restricted euxassay_003462_10
TS23: olfactory epithelium Strong Regionally restricted euxassay_003462_10
TS23: medulla oblongata basal plate mantle layer Moderate Regionally restricted euxassay_003462_10 facial motor nucleus
TS23: clavicle Moderate Regionally restricted euxassay_003462_10

Specimen euxassay_003462_11: embryonic day 14.5 (more )
Note: Additional information for this specimen was included in the Eurexpress data submission file.
Structure Level Pattern Image Note
TS23: dorsal root ganglion Strong Regionally restricted euxassay_003462_11
TS23: left lung Strong Regionally restricted euxassay_003462_11
TS23: Meckel's cartilage Moderate Regionally restricted euxassay_003462_11
TS23: lower jaw molar Moderate Regionally restricted euxassay_003462_11
TS23: vibrissa Weak Regionally restricted euxassay_003462_11
TS23: olfactory epithelium Strong Regionally restricted euxassay_003462_11
TS23: medulla oblongata basal plate mantle layer Moderate Regionally restricted euxassay_003462_11 facial motor nucleus
TS23: cervical ganglion Moderate Regionally restricted euxassay_003462_11
TS23: clavicle Moderate Regionally restricted euxassay_003462_11

Specimen euxassay_003462_12: embryonic day 14.5 (more )
Structure Level Pattern Image Note
TS23: dorsal root ganglion Moderate Regionally restricted euxassay_003462_12
TS23: left lung Strong Regionally restricted euxassay_003462_12
TS23: olfactory epithelium Strong Regionally restricted euxassay_003462_12
TS23: cervico-thoracic ganglion Moderate Regionally restricted euxassay_003462_12
TS23: clavicle Moderate Regionally restricted euxassay_003462_12

Specimen euxassay_003462_13: embryonic day 14.5 (more )
Structure Level Pattern Image Note
TS23: thymus primordium Weak Uniform euxassay_003462_13
TS23: dorsal root ganglion Strong Regionally restricted euxassay_003462_13
TS23: left lung Strong Regionally restricted euxassay_003462_13
TS23: upper jaw incisor Weak Regionally restricted euxassay_003462_13
TS23: lower jaw incisor Weak Regionally restricted euxassay_003462_13
TS23: olfactory epithelium Strong Regionally restricted euxassay_003462_13
TS23: cervico-thoracic ganglion Moderate Regionally restricted euxassay_003462_13
TS23: clavicle Moderate Regionally restricted euxassay_003462_13

Specimen euxassay_003462_14: embryonic day 14.5 (more )
Structure Level Pattern Image Note
TS23: thymus primordium Weak Uniform euxassay_003462_14
TS23: dorsal root ganglion Strong Regionally restricted euxassay_003462_14
TS23: left lung Strong Regionally restricted euxassay_003462_14
TS23: upper jaw incisor Weak Regionally restricted euxassay_003462_14
TS23: lower jaw incisor Weak Regionally restricted euxassay_003462_14
TS23: olfactory epithelium Strong Regionally restricted euxassay_003462_14

Specimen euxassay_003462_15: embryonic day 14.5 (more )
Structure Level Pattern Image Note
TS23: thymus primordium Weak Uniform euxassay_003462_15
TS23: right lung Strong Regionally restricted euxassay_003462_15
TS23: esophagus Moderate Regionally restricted euxassay_003462_15

Specimen euxassay_003462_16: embryonic day 14.5 (more )
Structure Level Pattern Image Note
TS23: thymus primordium Weak Uniform euxassay_003462_16
TS23: dorsal root ganglion Strong Regionally restricted euxassay_003462_16
TS23: right lung Strong Regionally restricted euxassay_003462_16
TS23: olfactory epithelium Strong Regionally restricted euxassay_003462_16

Specimen euxassay_003462_17: embryonic day 14.5 (more )
Note: Additional information for this specimen was included in the Eurexpress data submission file.
Structure Level Pattern Image Note
TS23: thymus primordium Moderate Uniform euxassay_003462_17
TS23: dorsal root ganglion Strong Regionally restricted euxassay_003462_17
TS23: right lung Strong Regionally restricted euxassay_003462_17
TS23: upper jaw incisor Weak Regionally restricted euxassay_003462_17
TS23: lower jaw incisor Weak Regionally restricted euxassay_003462_17
TS23: olfactory epithelium Strong Regionally restricted euxassay_003462_17
TS23: medulla oblongata basal plate mantle layer Moderate Regionally restricted euxassay_003462_17 facial motor nucleus

Specimen euxassay_003462_18: embryonic day 14.5 (more )
Note: Additional information for this specimen was included in the Eurexpress data submission file.
Structure Level Pattern Image Note
TS23: dorsal root ganglion Strong Regionally restricted euxassay_003462_18
TS23: right lung Strong Regionally restricted euxassay_003462_18
TS23: upper jaw incisor Weak Regionally restricted euxassay_003462_18
TS23: lower jaw incisor Weak Regionally restricted euxassay_003462_18
TS23: olfactory epithelium Strong Regionally restricted euxassay_003462_18
TS23: medulla oblongata basal plate mantle layer Moderate Regionally restricted euxassay_003462_18 facial motor nucleus
TS23: clavicle Moderate Regionally restricted euxassay_003462_18

Specimen euxassay_003462_19: embryonic day 14.5 (more )
Structure Level Pattern Image Note
TS23: trigeminal ganglion Strong Regionally restricted euxassay_003462_19
TS23: dorsal root ganglion Strong Regionally restricted euxassay_003462_19
TS23: right lung Strong Regionally restricted euxassay_003462_19
TS23: Meckel's cartilage Weak Regionally restricted euxassay_003462_19
TS23: lower jaw molar Weak Regionally restricted euxassay_003462_19
TS23: upper jaw molar Weak Regionally restricted euxassay_003462_19
TS23: olfactory epithelium Strong Regionally restricted euxassay_003462_19
TS23: cervical ganglion Moderate Regionally restricted euxassay_003462_19
TS23: cervico-thoracic ganglion Moderate Regionally restricted euxassay_003462_19
TS23: clavicle Moderate Regionally restricted euxassay_003462_19

Specimen euxassay_003462_20: embryonic day 14.5 (more )
Structure Level Pattern Image Note
TS23: vagus ganglion Strong Regionally restricted euxassay_003462_20
TS23: glossopharyngeal ganglion Strong Regionally restricted euxassay_003462_20
TS23: trigeminal ganglion Strong Regionally restricted euxassay_003462_20
TS23: vestibulo-cochlear ganglion Strong Regionally restricted euxassay_003462_20
TS23: dorsal root ganglion Moderate Regionally restricted euxassay_003462_20
TS23: right lung Strong Regionally restricted euxassay_003462_20
TS23: upper jaw molar Weak Regionally restricted euxassay_003462_20
TS23: lower jaw molar Weak Regionally restricted euxassay_003462_20
TS23: Meckel's cartilage Weak Regionally restricted euxassay_003462_20
TS23: olfactory epithelium Strong Regionally restricted euxassay_003462_20

Specimen euxassay_003462_21: embryonic day 14.5 (more )
Structure Level Pattern Image Note
TS23: trigeminal ganglion Strong Regionally restricted euxassay_003462_21
TS23: glossopharyngeal ganglion Strong Regionally restricted euxassay_003462_21
TS23: right lung Strong Regionally restricted euxassay_003462_21
TS23: upper jaw molar Weak Regionally restricted euxassay_003462_21
TS23: lower jaw molar Weak Regionally restricted euxassay_003462_21
TS23: Meckel's cartilage Weak Regionally restricted euxassay_003462_21
TS23: vibrissa Weak Regionally restricted euxassay_003462_21
TS23: vomeronasal organ Moderate Regionally restricted euxassay_003462_21

Specimen euxassay_003462_22: embryonic day 14.5 (more )
Structure Level Pattern Image Note
TS23: trigeminal ganglion Strong Regionally restricted euxassay_003462_22
TS23: facial ganglion Strong Regionally restricted euxassay_003462_22
TS23: right lung Strong Regionally restricted euxassay_003462_22
TS23: upper jaw molar Weak Regionally restricted euxassay_003462_22
TS23: lower jaw molar Weak Regionally restricted euxassay_003462_22
TS23: Meckel's cartilage Weak Regionally restricted euxassay_003462_22
TS23: orbito-sphenoid Moderate Regionally restricted euxassay_003462_22
TS23: vibrissa Weak Regionally restricted euxassay_003462_22
TS23: vomeronasal organ Moderate Regionally restricted euxassay_003462_22

Specimen euxassay_003462_23: embryonic day 14.5 (more )
Structure Level Pattern Image Note
TS23: trigeminal ganglion Strong Regionally restricted euxassay_003462_23
TS23: facial ganglion Strong Regionally restricted euxassay_003462_23
TS23: right lung Strong Regionally restricted euxassay_003462_23
TS23: upper jaw molar Weak Regionally restricted euxassay_003462_23
TS23: lower jaw molar Weak Regionally restricted euxassay_003462_23
TS23: Meckel's cartilage Weak Regionally restricted euxassay_003462_23
TS23: orbito-sphenoid Moderate Regionally restricted euxassay_003462_23
TS23: vibrissa Weak Regionally restricted euxassay_003462_23

Specimen euxassay_003462_24: embryonic day 14.5 (more )
Structure Level Pattern Image Note
TS23: trigeminal ganglion Strong Regionally restricted euxassay_003462_24
TS23: right lung Strong Regionally restricted euxassay_003462_24
TS23: Meckel's cartilage Weak Regionally restricted euxassay_003462_24
TS23: orbito-sphenoid Moderate Regionally restricted euxassay_003462_24
TS23: vibrissa Weak Regionally restricted euxassay_003462_24


Contributing Projects:
Mouse Genome Database (MGD), Gene Expression Database (GXD), Mouse Models of Human Cancer database (MMHCdb) (formerly Mouse Tumor Biology (MTB)), Gene Ontology (GO)
Citing These Resources
Funding Information
Warranty Disclaimer, Privacy Notice, Licensing, & Copyright
Send questions and comments to User Support.
last database update
01/06/2026
MGI 6.24
The Jackson Laboratory