About   Help   FAQ
Gene Expression Data
Assay Details
Assay
Reference: J:153498 Diez-Roux G, et al., A high-resolution anatomical atlas of the transcriptome in the mouse embryo. PLoS Biol. 2011;9(1):e1000582
Assay type: RNA in situ
MGI Accession ID: MGI:4823043
Gene symbol: Ahsp
Gene name: alpha hemoglobin stabilizing protein
Probe: T37703
Probe preparation: Antisense labelled with digoxigenin RNA
Visualized with: Alkaline phosphatase
Assay notes: Cryosections of fresh frozen material were fixed in 4% paraformaldehyde for 20 min. before further processing. A tyramide-biotin/streptavidin amplification step was included in the in situ hybridization procedure.
Results
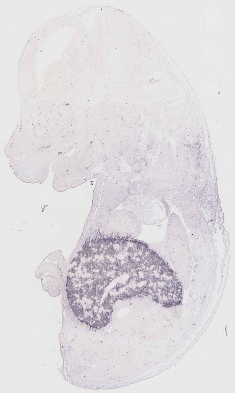
Specimen euxassay_011712_01: embryonic day 14.5 (more )
Structure Level Pattern Image Note
TS23: embryo Strong Single cells euxassay_011712_01
TS23: liver Strong Regionally restricted euxassay_011712_01

Specimen euxassay_011712_02: embryonic day 14.5 (more )
Structure Level Pattern Image Note
TS23: embryo Strong Single cells euxassay_011712_02
TS23: liver Strong Regionally restricted euxassay_011712_02

Specimen euxassay_011712_03: embryonic day 14.5 (more )
Structure Level Pattern Image Note
TS23: embryo Strong Single cells euxassay_011712_03
TS23: liver Strong Regionally restricted euxassay_011712_03

Specimen euxassay_011712_04: embryonic day 14.5 (more )
Structure Level Pattern Image Note
TS23: embryo Strong Single cells euxassay_011712_04
TS23: liver Strong Regionally restricted euxassay_011712_04

Specimen euxassay_011712_05: embryonic day 14.5 (more )
Structure Level Pattern Image Note
TS23: embryo Strong Single cells euxassay_011712_05
TS23: liver Strong Regionally restricted euxassay_011712_05

Specimen euxassay_011712_06: embryonic day 14.5 (more )
Structure Level Pattern Image Note
TS23: embryo Strong Single cells euxassay_011712_06
TS23: liver Strong Regionally restricted euxassay_011712_06

Specimen euxassay_011712_07: embryonic day 14.5 (more )
Structure Level Pattern Image Note
TS23: embryo Strong Single cells euxassay_011712_07
TS23: liver Strong Regionally restricted euxassay_011712_07

Specimen euxassay_011712_08: embryonic day 14.5 (more )
Structure Level Pattern Image Note
TS23: embryo Strong Single cells euxassay_011712_08
TS23: liver Strong Regionally restricted euxassay_011712_08

Specimen euxassay_011712_09: embryonic day 14.5 (more )
Structure Level Pattern Image Note
TS23: embryo Strong Single cells euxassay_011712_09
TS23: liver Strong Regionally restricted euxassay_011712_09

Specimen euxassay_011712_10: embryonic day 14.5 (more )
Structure Level Pattern Image Note
TS23: embryo Strong Single cells euxassay_011712_10
TS23: liver Strong Regionally restricted euxassay_011712_10

Specimen euxassay_011712_11: embryonic day 14.5 (more )
Structure Level Pattern Image Note
TS23: embryo Strong Single cells euxassay_011712_11
TS23: liver Strong Regionally restricted euxassay_011712_11

Specimen euxassay_011712_12: embryonic day 14.5 (more )
Structure Level Pattern Image Note
TS23: embryo Strong Single cells euxassay_011712_12
TS23: liver Strong Regionally restricted euxassay_011712_12

Specimen euxassay_011712_13: embryonic day 14.5 (more )
Structure Level Pattern Image Note
TS23: embryo Strong Single cells euxassay_011712_13
TS23: liver Strong Regionally restricted euxassay_011712_13

Specimen euxassay_011712_14: embryonic day 14.5 (more )
Structure Level Pattern Image Note
TS23: embryo Strong Single cells euxassay_011712_14
TS23: liver Strong Regionally restricted euxassay_011712_14

Specimen euxassay_011712_15: embryonic day 14.5 (more )
Structure Level Pattern Image Note
TS23: embryo Strong Single cells euxassay_011712_15
TS23: liver Strong Regionally restricted euxassay_011712_15

Specimen euxassay_011712_16: embryonic day 14.5 (more )
Structure Level Pattern Image Note
TS23: embryo Strong Single cells euxassay_011712_16
TS23: liver Strong Regionally restricted euxassay_011712_16

Specimen euxassay_011712_17: embryonic day 14.5 (more )
Structure Level Pattern Image Note
TS23: embryo Strong Single cells euxassay_011712_17
TS23: liver Strong Regionally restricted euxassay_011712_17

Specimen euxassay_011712_18: embryonic day 14.5 (more )
Structure Level Pattern Image Note
TS23: embryo Strong Single cells euxassay_011712_18
TS23: liver Strong Regionally restricted euxassay_011712_18

Specimen euxassay_011712_19: embryonic day 14.5 (more )
Structure Level Pattern Image Note
TS23: embryo Strong Single cells euxassay_011712_19
TS23: liver Strong Regionally restricted euxassay_011712_19

Specimen euxassay_011712_20: embryonic day 14.5 (more )
Structure Level Pattern Image Note
TS23: embryo Strong Single cells euxassay_011712_20
TS23: liver Strong Regionally restricted euxassay_011712_20

Specimen euxassay_011712_21: embryonic day 14.5 (more )
Structure Level Pattern Image Note
TS23: embryo Strong Single cells euxassay_011712_21
TS23: liver Strong Regionally restricted euxassay_011712_21

Specimen euxassay_011712_22: embryonic day 14.5 (more )
Structure Level Pattern Image Note
TS23: embryo Strong Single cells euxassay_011712_22
TS23: liver Strong Regionally restricted euxassay_011712_22

Specimen euxassay_011712_23: embryonic day 14.5 (more )
Structure Level Pattern Image Note
TS23: embryo Strong Single cells euxassay_011712_23
TS23: liver Strong Regionally restricted euxassay_011712_23


Contributing Projects:
Mouse Genome Database (MGD), Gene Expression Database (GXD), Mouse Models of Human Cancer database (MMHCdb) (formerly Mouse Tumor Biology (MTB)), Gene Ontology (GO)
Citing These Resources
Funding Information
Warranty Disclaimer, Privacy Notice, Licensing, & Copyright
Send questions and comments to User Support.
last database update
01/06/2026
MGI 6.24
The Jackson Laboratory