About   Help   FAQ
Gene Expression Data
Assay Details
Assay
Reference: J:153498 Diez-Roux G, et al., A high-resolution anatomical atlas of the transcriptome in the mouse embryo. PLoS Biol. 2011;9(1):e1000582
Assay type: RNA in situ
MGI Accession ID: MGI:4823039
Gene symbol: Ahi1
Gene name: Abelson helper integration site 1
Probe: MGC clone 62786
Probe preparation: Antisense labelled with digoxigenin RNA
Visualized with: Alkaline phosphatase
Assay notes: Cryosections of fresh frozen material were fixed in 4% paraformaldehyde for 20 min. before further processing. A tyramide-biotin/streptavidin amplification step was included in the in situ hybridization procedure.
Results
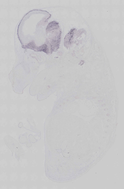
Specimen euxassay_005590_01: embryonic day 14.5 (more )
Structure Level Pattern Image Note
TS23: brain Moderate Regionally restricted euxassay_005590_01

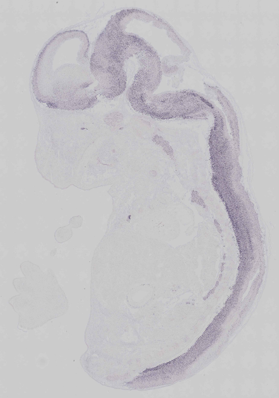
Specimen euxassay_005590_02: embryonic day 14.5 (more )
Structure Level Pattern Image Note
TS23: brain Moderate Regionally restricted euxassay_005590_02
TS23: trigeminal ganglion Weak Single cells euxassay_005590_02

Specimen euxassay_005590_03: embryonic day 14.5 (more )
Structure Level Pattern Image Note
TS23: brain Moderate Regionally restricted euxassay_005590_03
TS23: spinal cord Moderate Regionally restricted euxassay_005590_03
TS23: trigeminal ganglion Weak Single cells euxassay_005590_03

Specimen euxassay_005590_04: embryonic day 14.5 (more )
Structure Level Pattern Image Note
TS23: spinal cord Moderate Regionally restricted euxassay_005590_04
TS23: brain Moderate Regionally restricted euxassay_005590_04
TS23: trigeminal ganglion Weak Single cells euxassay_005590_04

Specimen euxassay_005590_05: embryonic day 14.5 (more )
Structure Level Pattern Image Note
TS23: spinal cord Moderate Regionally restricted euxassay_005590_05
TS23: brain Moderate Regionally restricted euxassay_005590_05
TS23: glossopharyngeal ganglion Weak Single cells euxassay_005590_05
TS23: trigeminal ganglion Weak Single cells euxassay_005590_05

Specimen euxassay_005590_06: embryonic day 14.5 (more )
Structure Level Pattern Image Note
TS23: spinal cord Moderate Regionally restricted euxassay_005590_06
TS23: brain Moderate Regionally restricted euxassay_005590_06
TS23: trigeminal ganglion Weak Single cells euxassay_005590_06
TS23: cervical ganglion Moderate Regionally restricted euxassay_005590_06
TS23: cervico-thoracic ganglion Moderate Regionally restricted euxassay_005590_06

Specimen euxassay_005590_07: embryonic day 14.5 (more )
Structure Level Pattern Image Note
TS23: spinal cord Moderate Regionally restricted euxassay_005590_07
TS23: brain Moderate Regionally restricted euxassay_005590_07
TS23: thoracic ganglion Moderate Regionally restricted euxassay_005590_07

Specimen euxassay_005590_08: embryonic day 14.5 (more )
Structure Level Pattern Image Note
TS23: spinal cord Moderate Regionally restricted euxassay_005590_08
TS23: brain Moderate Regionally restricted euxassay_005590_08
TS23: trigeminal nerve Weak Single cells euxassay_005590_08
TS23: thoracic ganglion Moderate Regionally restricted euxassay_005590_08

Specimen euxassay_005590_09: embryonic day 14.5 (more )
Structure Level Pattern Image Note
TS23: spinal cord Moderate Regionally restricted euxassay_005590_09
TS23: brain Moderate Regionally restricted euxassay_005590_09
TS23: trigeminal nerve Weak Single cells euxassay_005590_09
TS23: thoracic ganglion Moderate Regionally restricted euxassay_005590_09

Specimen euxassay_005590_10: embryonic day 14.5 (more )
Structure Level Pattern Image Note
TS23: spinal cord Moderate Regionally restricted euxassay_005590_10
TS23: brain Moderate Regionally restricted euxassay_005590_10
TS23: cervico-thoracic ganglion Moderate Regionally restricted euxassay_005590_10

Specimen euxassay_005590_11: embryonic day 14.5 (more )
Structure Level Pattern Image Note
TS23: brain Moderate Regionally restricted euxassay_005590_11
TS23: cervico-thoracic ganglion Moderate Regionally restricted euxassay_005590_11
TS23: olfactory epithelium Weak Regionally restricted euxassay_005590_11

Specimen euxassay_005590_12: embryonic day 14.5 (more )
Structure Level Pattern Image Note
TS23: brain Moderate Regionally restricted euxassay_005590_12
TS23: cervico-thoracic ganglion Moderate Regionally restricted euxassay_005590_12
TS23: olfactory epithelium Moderate Regionally restricted euxassay_005590_12

Specimen euxassay_005590_13: embryonic day 14.5 (more )
Structure Level Pattern Image Note
TS23: brain Moderate Regionally restricted euxassay_005590_13
TS23: cervical ganglion Weak Regionally restricted euxassay_005590_13

Specimen euxassay_005590_14: embryonic day 14.5 (more )
Structure Level Pattern Image Note
TS23: brain Moderate Regionally restricted euxassay_005590_14
TS23: glossopharyngeal ganglion Weak Single cells euxassay_005590_14

Specimen euxassay_005590_15: embryonic day 14.5 (more )
Structure Level Pattern Image Note
TS23: brain Moderate Regionally restricted euxassay_005590_15
TS23: glossopharyngeal ganglion Weak Single cells euxassay_005590_15
TS23: olfactory epithelium Moderate Regionally restricted euxassay_005590_15

Specimen euxassay_005590_16: embryonic day 14.5 (more )
Structure Level Pattern Image Note
TS23: brain Moderate Regionally restricted euxassay_005590_16
TS23: trigeminal ganglion Weak Single cells euxassay_005590_16
TS23: trigeminal nerve Weak Single cells euxassay_005590_16
TS23: olfactory epithelium Moderate Regionally restricted euxassay_005590_16

Specimen euxassay_005590_17: embryonic day 14.5 (more )
Structure Level Pattern Image Note
TS23: brain Moderate Regionally restricted euxassay_005590_17
TS23: trigeminal ganglion Weak Single cells euxassay_005590_17
TS23: olfactory epithelium Moderate Regionally restricted euxassay_005590_17

Specimen euxassay_005590_18: embryonic day 14.5 (more )
Structure Level Pattern Image Note
TS23: brain Moderate Regionally restricted euxassay_005590_18
TS23: trigeminal ganglion Weak Single cells euxassay_005590_18

Specimen euxassay_005590_19: embryonic day 14.5 (more )
Structure Level Pattern Image Note
TS23: brain Moderate Regionally restricted euxassay_005590_19
TS23: trigeminal ganglion Weak Single cells euxassay_005590_19

Specimen euxassay_005590_20: embryonic day 14.5 (more )
Structure Level Pattern Image Note
TS23: brain Moderate Regionally restricted euxassay_005590_20
TS23: trigeminal ganglion Weak Single cells euxassay_005590_20

Specimen euxassay_005590_21: embryonic day 14.5 (more )
Structure Level Pattern Image Note
TS23: brain Moderate Regionally restricted euxassay_005590_21

Specimen euxassay_005590_22: embryonic day 14.5 (more )
Structure Level Pattern Image Note
TS23: brain Moderate Regionally restricted euxassay_005590_22


Contributing Projects:
Mouse Genome Database (MGD), Gene Expression Database (GXD), Mouse Models of Human Cancer database (MMHCdb) (formerly Mouse Tumor Biology (MTB)), Gene Ontology (GO)
Citing These Resources
Funding Information
Warranty Disclaimer, Privacy Notice, Licensing, & Copyright
Send questions and comments to User Support.
last database update
12/30/2025
MGI 6.24
The Jackson Laboratory