About   Help   FAQ
Gene Expression Data
Assay Details
Assay
Reference: J:153498 Diez-Roux G, et al., A high-resolution anatomical atlas of the transcriptome in the mouse embryo. PLoS Biol. 2011;9(1):e1000582
Assay type: RNA in situ
MGI Accession ID: MGI:4823024
Gene symbol: Agap1
Gene name: ArfGAP with GTPase domain, ankyrin repeat and PH domain 1
Probe: T63004
Probe preparation: Antisense labelled with digoxigenin RNA
Visualized with: Alkaline phosphatase
Assay notes: Cryosections of fresh frozen material were fixed in 4% paraformaldehyde for 20 min. before further processing. A tyramide-biotin/streptavidin amplification step was included in the in situ hybridization procedure.
Results
Specimen euxassay_015873_01: embryonic day 14.5 (more )
Structure Level Pattern Image Note
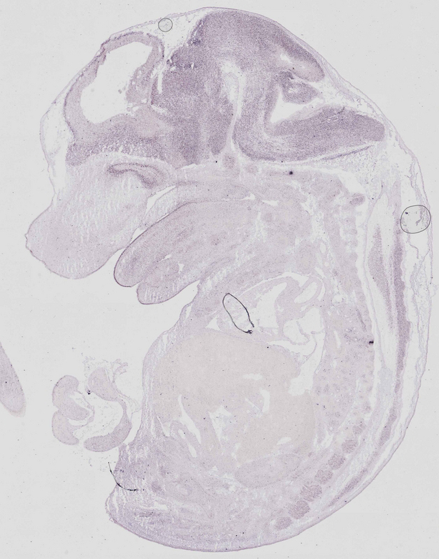
TS23: telencephalon mantle layer Weak Regionally restricted euxassay_015873_01

Specimen euxassay_015873_02: embryonic day 14.5 (more )
Structure Level Pattern Image Note
TS23: neural retina Weak Regionally restricted euxassay_015873_02
TS23: telencephalon mantle layer Weak Regionally restricted euxassay_015873_02

Specimen euxassay_015873_03: embryonic day 14.5 (more )
Structure Level Pattern Image Note
TS23: neural retina Weak Regionally restricted euxassay_015873_03
TS23: telencephalon mantle layer Weak Regionally restricted euxassay_015873_03

Specimen euxassay_015873_04: embryonic day 14.5 (more )
Structure Level Pattern Image Note
TS23: trigeminal ganglion Weak Regionally restricted euxassay_015873_04
TS23: neural retina Weak Regionally restricted euxassay_015873_04
TS23: telencephalon mantle layer Weak Regionally restricted euxassay_015873_04
TS23: cerebellum Weak Regionally restricted euxassay_015873_04

Specimen euxassay_015873_05: embryonic day 14.5 (more )
Structure Level Pattern Image Note
TS23: trigeminal ganglion Weak Regionally restricted euxassay_015873_05
TS23: facial ganglion Weak Regionally restricted euxassay_015873_05
TS23: neural retina Weak Regionally restricted euxassay_015873_05
TS23: telencephalon mantle layer Weak Regionally restricted euxassay_015873_05
TS23: midbrain mantle layer Weak Regionally restricted euxassay_015873_05
TS23: cerebellum Weak Regionally restricted euxassay_015873_05

Specimen euxassay_015873_06: embryonic day 14.5 (more )
Structure Level Pattern Image Note
TS23: trigeminal ganglion Weak Regionally restricted euxassay_015873_06
TS23: facial ganglion Weak Regionally restricted euxassay_015873_06
TS23: midbrain mantle layer Weak Regionally restricted euxassay_015873_06
TS23: telencephalon mantle layer Weak Regionally restricted euxassay_015873_06
TS23: cerebellum Weak Regionally restricted euxassay_015873_06
TS23: metencephalon basal plate Weak Regionally restricted euxassay_015873_06

Specimen euxassay_015873_07: embryonic day 14.5 (more )
Structure Level Pattern Image Note
TS23: trigeminal ganglion Weak Regionally restricted euxassay_015873_07
TS23: vestibulo-cochlear ganglion Weak Regionally restricted euxassay_015873_07
TS23: glossopharyngeal ganglion Weak Regionally restricted euxassay_015873_07
TS23: dorsal root ganglion Weak Regionally restricted euxassay_015873_07
TS23: midbrain mantle layer Weak Regionally restricted euxassay_015873_07
TS23: telencephalon mantle layer Weak Regionally restricted euxassay_015873_07
TS23: medulla oblongata Weak Regionally restricted euxassay_015873_07
TS23: cerebellum Weak Regionally restricted euxassay_015873_07
TS23: metencephalon basal plate Weak Regionally restricted euxassay_015873_07

Specimen euxassay_015873_08: embryonic day 14.5 (more )
Structure Level Pattern Image Note
TS23: trigeminal ganglion Weak Regionally restricted euxassay_015873_08
TS23: midbrain mantle layer Weak Regionally restricted euxassay_015873_08
TS23: telencephalon mantle layer Weak Regionally restricted euxassay_015873_08
TS23: diencephalon lateral wall mantle layer Weak Regionally restricted euxassay_015873_08
TS23: medulla oblongata Weak Regionally restricted euxassay_015873_08
TS23: cerebellum Weak Regionally restricted euxassay_015873_08
TS23: metencephalon basal plate Weak Regionally restricted euxassay_015873_08

Specimen euxassay_015873_09: embryonic day 14.5 (more )
Structure Level Pattern Image Note
TS23: vagus ganglion Weak Regionally restricted euxassay_015873_09
TS23: upper jaw molar Weak Regionally restricted euxassay_015873_09
TS23: lower jaw molar Weak Regionally restricted euxassay_015873_09
TS23: diencephalon lateral wall mantle layer Weak Regionally restricted euxassay_015873_09
TS23: telencephalon mantle layer Weak Regionally restricted euxassay_015873_09
TS23: midbrain mantle layer Weak Regionally restricted euxassay_015873_09
TS23: metencephalon basal plate Weak Regionally restricted euxassay_015873_09
TS23: cerebellum Weak Regionally restricted euxassay_015873_09
TS23: medulla oblongata Weak Regionally restricted euxassay_015873_09
TS23: spinal cord mantle layer Weak Regionally restricted euxassay_015873_09

Specimen euxassay_015873_10: embryonic day 14.5 (more )
Structure Level Pattern Image Note
TS23: dorsal root ganglion Weak Regionally restricted euxassay_015873_10
TS23: cervico-thoracic ganglion Weak Regionally restricted euxassay_015873_10
TS23: cervical ganglion Weak Regionally restricted euxassay_015873_10
TS23: midbrain mantle layer Weak Regionally restricted euxassay_015873_10
TS23: telencephalon mantle layer Weak Regionally restricted euxassay_015873_10
TS23: diencephalon lateral wall mantle layer Weak Regionally restricted euxassay_015873_10
TS23: metencephalon basal plate Weak Regionally restricted euxassay_015873_10
TS23: cerebellum Weak Regionally restricted euxassay_015873_10
TS23: medulla oblongata Weak Regionally restricted euxassay_015873_10
TS23: spinal cord mantle layer Weak Regionally restricted euxassay_015873_10

Specimen euxassay_015873_11: embryonic day 14.5 (more )
Structure Level Pattern Image Note
TS23: olfactory epithelium Weak Regionally restricted euxassay_015873_11
TS23: midbrain mantle layer Weak Regionally restricted euxassay_015873_11
TS23: telencephalon mantle layer Weak Regionally restricted euxassay_015873_11
TS23: diencephalon lateral wall mantle layer Weak Regionally restricted euxassay_015873_11
TS23: metencephalon basal plate Weak Regionally restricted euxassay_015873_11
TS23: cerebellum Weak Regionally restricted euxassay_015873_11
TS23: medulla oblongata Weak Regionally restricted euxassay_015873_11
TS23: spinal cord mantle layer Weak Regionally restricted euxassay_015873_11

Specimen euxassay_015873_12: embryonic day 14.5 (more )
Structure Level Pattern Image Note
TS23: olfactory epithelium Weak Regionally restricted euxassay_015873_12
TS23: thoracic ganglion Weak Regionally restricted euxassay_015873_12
TS23: midbrain mantle layer Weak Regionally restricted euxassay_015873_12
TS23: telencephalon mantle layer Weak Regionally restricted euxassay_015873_12
TS23: diencephalon lateral wall mantle layer Weak Regionally restricted euxassay_015873_12
TS23: metencephalon basal plate Weak Regionally restricted euxassay_015873_12
TS23: cerebellum Weak Regionally restricted euxassay_015873_12
TS23: medulla oblongata Weak Regionally restricted euxassay_015873_12
TS23: spinal cord mantle layer Weak Regionally restricted euxassay_015873_12

Specimen euxassay_015873_13: embryonic day 14.5 (more )
Structure Level Pattern Image Note
TS23: olfactory epithelium Weak Regionally restricted euxassay_015873_13
TS23: upper jaw incisor Weak Regionally restricted euxassay_015873_13
TS23: lower jaw incisor Weak Regionally restricted euxassay_015873_13
TS23: thoracic ganglion Weak Regionally restricted euxassay_015873_13
TS23: midbrain mantle layer Weak Regionally restricted euxassay_015873_13
TS23: telencephalon mantle layer Weak Regionally restricted euxassay_015873_13
TS23: diencephalon lateral wall mantle layer Weak Regionally restricted euxassay_015873_13
TS23: metencephalon basal plate Weak Regionally restricted euxassay_015873_13
TS23: cerebellum Weak Regionally restricted euxassay_015873_13
TS23: medulla oblongata Weak Regionally restricted euxassay_015873_13
TS23: spinal cord mantle layer Weak Regionally restricted euxassay_015873_13

Specimen euxassay_015873_14: embryonic day 14.5 (more )
Structure Level Pattern Image Note
TS23: dorsal root ganglion Weak Regionally restricted euxassay_015873_14
TS23: vomeronasal organ Weak Regionally restricted euxassay_015873_14
TS23: olfactory epithelium Weak Regionally restricted euxassay_015873_14
TS23: upper jaw incisor Weak Regionally restricted euxassay_015873_14
TS23: lower jaw incisor Weak Regionally restricted euxassay_015873_14
TS23: thoracic ganglion Weak Regionally restricted euxassay_015873_14
TS23: midbrain mantle layer Weak Regionally restricted euxassay_015873_14
TS23: telencephalon mantle layer Weak Regionally restricted euxassay_015873_14
TS23: diencephalon lateral wall mantle layer Weak Regionally restricted euxassay_015873_14
TS23: metencephalon basal plate Weak Regionally restricted euxassay_015873_14
TS23: cerebellum Weak Regionally restricted euxassay_015873_14
TS23: medulla oblongata Weak Regionally restricted euxassay_015873_14
TS23: spinal cord mantle layer Weak Regionally restricted euxassay_015873_14

Specimen euxassay_015873_15: embryonic day 14.5 (more )
Structure Level Pattern Image Note
TS23: dorsal root ganglion Weak Regionally restricted euxassay_015873_15
TS23: midbrain mantle layer Weak Regionally restricted euxassay_015873_15
TS23: telencephalon mantle layer Weak Regionally restricted euxassay_015873_15
TS23: diencephalon lateral wall mantle layer Weak Regionally restricted euxassay_015873_15
TS23: metencephalon basal plate Weak Regionally restricted euxassay_015873_15
TS23: cerebellum Weak Regionally restricted euxassay_015873_15
TS23: medulla oblongata Weak Regionally restricted euxassay_015873_15
TS23: spinal cord mantle layer Weak Regionally restricted euxassay_015873_15

Specimen euxassay_015873_16: embryonic day 14.5 (more )
Structure Level Pattern Image Note
TS23: dorsal root ganglion Weak Regionally restricted euxassay_015873_16
TS23: olfactory epithelium Weak Regionally restricted euxassay_015873_16
TS23: midbrain mantle layer Weak Regionally restricted euxassay_015873_16
TS23: telencephalon mantle layer Weak Regionally restricted euxassay_015873_16
TS23: diencephalon lateral wall mantle layer Weak Regionally restricted euxassay_015873_16
TS23: medulla oblongata Weak Regionally restricted euxassay_015873_16
TS23: cerebellum Weak Regionally restricted euxassay_015873_16
TS23: metencephalon basal plate Weak Regionally restricted euxassay_015873_16
TS23: spinal cord mantle layer Weak Regionally restricted euxassay_015873_16

Specimen euxassay_015873_17: embryonic day 14.5 (more )
Structure Level Pattern Image Note
TS23: dorsal root ganglion Weak Regionally restricted euxassay_015873_17
TS23: olfactory epithelium Weak Regionally restricted euxassay_015873_17
TS23: vomeronasal organ Weak Regionally restricted euxassay_015873_17
TS23: upper jaw incisor Weak Regionally restricted euxassay_015873_17
TS23: lower jaw incisor Weak Regionally restricted euxassay_015873_17
TS23: cervical ganglion Weak Regionally restricted euxassay_015873_17
TS23: cervico-thoracic ganglion Weak Regionally restricted euxassay_015873_17
TS23: midbrain mantle layer Weak Regionally restricted euxassay_015873_17
TS23: telencephalon mantle layer Weak Regionally restricted euxassay_015873_17
TS23: diencephalon lateral wall mantle layer Weak Regionally restricted euxassay_015873_17
TS23: metencephalon basal plate Weak Regionally restricted euxassay_015873_17
TS23: cerebellum Weak Regionally restricted euxassay_015873_17
TS23: medulla oblongata Weak Regionally restricted euxassay_015873_17

Specimen euxassay_015873_18: embryonic day 14.5 (more )
Structure Level Pattern Image Note
TS23: vagus ganglion Weak Regionally restricted euxassay_015873_18
TS23: glossopharyngeal ganglion Weak Regionally restricted euxassay_015873_18
TS23: vestibulo-cochlear ganglion Weak Regionally restricted euxassay_015873_18
TS23: trigeminal ganglion Weak Regionally restricted euxassay_015873_18
TS23: dorsal root ganglion Weak Regionally restricted euxassay_015873_18
TS23: olfactory epithelium Weak Regionally restricted euxassay_015873_18
TS23: upper jaw incisor Weak Regionally restricted euxassay_015873_18
TS23: lower jaw incisor Weak Regionally restricted euxassay_015873_18
TS23: midbrain mantle layer Weak Regionally restricted euxassay_015873_18
TS23: telencephalon mantle layer Weak Regionally restricted euxassay_015873_18
TS23: diencephalon lateral wall mantle layer Weak Regionally restricted euxassay_015873_18
TS23: metencephalon basal plate Weak Regionally restricted euxassay_015873_18
TS23: cerebellum Weak Regionally restricted euxassay_015873_18
TS23: medulla oblongata Weak Regionally restricted euxassay_015873_18

Specimen euxassay_015873_19: embryonic day 14.5 (more )
Structure Level Pattern Image Note
TS23: glossopharyngeal ganglion Weak Regionally restricted euxassay_015873_19
TS23: trigeminal ganglion Weak Regionally restricted euxassay_015873_19
TS23: vestibulo-cochlear ganglion Weak Regionally restricted euxassay_015873_19
TS23: olfactory epithelium Weak Regionally restricted euxassay_015873_19
TS23: telencephalon mantle layer Weak Regionally restricted euxassay_015873_19
TS23: cerebellum Weak Regionally restricted euxassay_015873_19
TS23: metencephalon basal plate Weak Regionally restricted euxassay_015873_19

Specimen euxassay_015873_20: embryonic day 14.5 (more )
Structure Level Pattern Image Note
TS23: trigeminal ganglion Weak Regionally restricted euxassay_015873_20
TS23: telencephalon mantle layer Weak Regionally restricted euxassay_015873_20
TS23: cerebellum Weak Regionally restricted euxassay_015873_20

Specimen euxassay_015873_21: embryonic day 14.5 (more )
Structure Level Pattern Image Note
TS23: trigeminal ganglion Weak Regionally restricted euxassay_015873_21
TS23: facial ganglion Weak Regionally restricted euxassay_015873_21
TS23: telencephalon mantle layer Weak Regionally restricted euxassay_015873_21
TS23: cerebellum Weak Regionally restricted euxassay_015873_21

Specimen euxassay_015873_22: embryonic day 14.5 (more )
Structure Level Pattern Image Note
TS23: trigeminal ganglion Weak Regionally restricted euxassay_015873_22
TS23: telencephalon mantle layer Weak Regionally restricted euxassay_015873_22

Specimen euxassay_015873_23: embryonic day 14.5 (more )
Structure Level Pattern Image Note
TS23: trigeminal ganglion Weak Regionally restricted euxassay_015873_23
TS23: telencephalon mantle layer Weak Regionally restricted euxassay_015873_23

Specimen euxassay_015873_24: embryonic day 14.5 (more )
Structure Level Pattern Image Note
TS23: neural retina Weak Regionally restricted euxassay_015873_24
TS23: telencephalon mantle layer Weak Regionally restricted euxassay_015873_24


Contributing Projects:
Mouse Genome Database (MGD), Gene Expression Database (GXD), Mouse Models of Human Cancer database (MMHCdb) (formerly Mouse Tumor Biology (MTB)), Gene Ontology (GO)
Citing These Resources
Funding Information
Warranty Disclaimer, Privacy Notice, Licensing, & Copyright
Send questions and comments to User Support.
last database update
01/06/2026
MGI 6.24
The Jackson Laboratory