About   Help   FAQ
Gene Expression Data
Assay Details
Assay
Reference: J:153498 Diez-Roux G, et al., A high-resolution anatomical atlas of the transcriptome in the mouse embryo. PLoS Biol. 2011;9(1):e1000582
Assay type: RNA in situ
MGI Accession ID: MGI:4823022
Gene symbol: Afp
Gene name: alpha fetoprotein
Probe: IMAGE clone 2135594
Probe preparation: Antisense labelled with digoxigenin RNA
Visualized with: Alkaline phosphatase
Assay notes: Cryosections of fresh frozen material were fixed in 4% paraformaldehyde for 20 min. before further processing. A tyramide-biotin/streptavidin amplification step was included in the in situ hybridization procedure.
Results
Specimen euxassay_003045_01: embryonic day 14.5 (more )
Structure Level Pattern Image Note
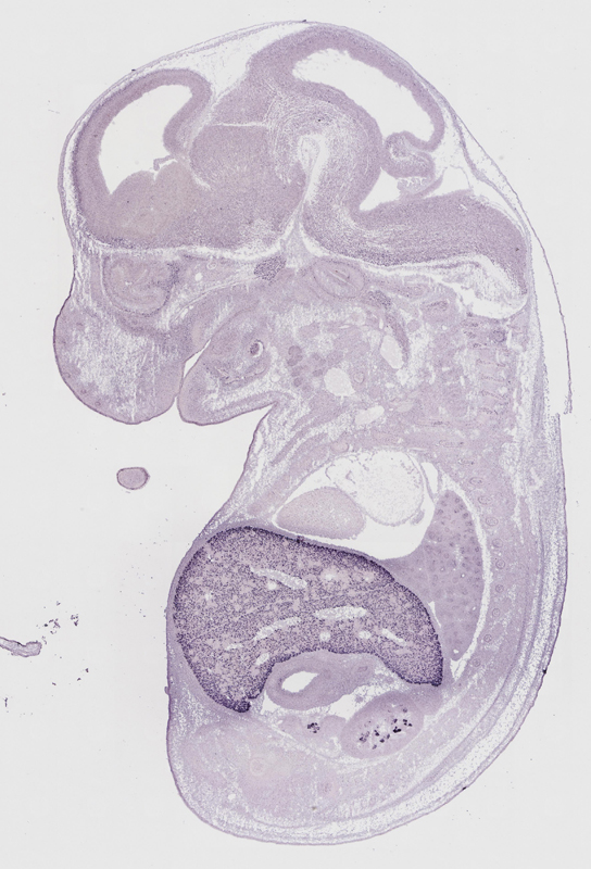
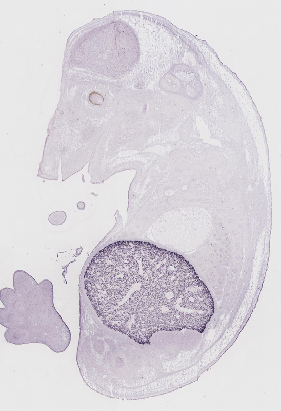
TS23: liver lobe Strong Regionally restricted euxassay_003045_01

Specimen euxassay_003045_02: embryonic day 14.5 (more )
Structure Level Pattern Image Note
TS23: liver lobe Strong Regionally restricted euxassay_003045_02

Specimen euxassay_003045_03: embryonic day 14.5 (more )
Structure Level Pattern Image Note
TS23: liver lobe Strong Regionally restricted euxassay_003045_03

Specimen euxassay_003045_04: embryonic day 14.5 (more )
Structure Level Pattern Image Note
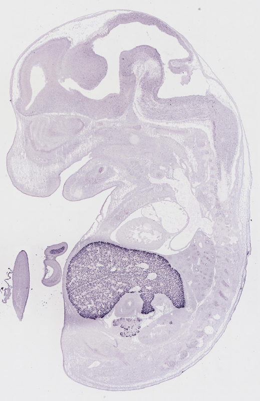
TS23: liver lobe Strong Regionally restricted euxassay_003045_04

Specimen euxassay_003045_05: embryonic day 14.5 (more )
Structure Level Pattern Image Note
TS23: liver lobe Strong Regionally restricted euxassay_003045_05

Specimen euxassay_003045_06: embryonic day 14.5 (more )
Structure Level Pattern Image Note
TS23: liver lobe Strong Regionally restricted euxassay_003045_06

Specimen euxassay_003045_07: embryonic day 14.5 (more )
Structure Level Pattern Image Note
TS23: liver lobe Strong Regionally restricted euxassay_003045_07

Specimen euxassay_003045_08: embryonic day 14.5 (more )
Structure Level Pattern Image Note
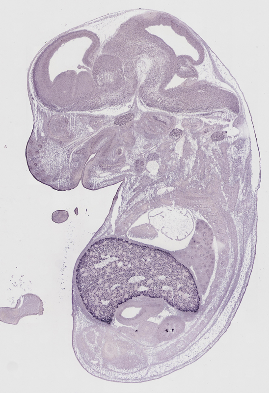
TS23: liver lobe Strong Regionally restricted euxassay_003045_08

Specimen euxassay_003045_09: embryonic day 14.5 (more )
Structure Level Pattern Image Note
TS23: liver lobe Strong Regionally restricted euxassay_003045_09

Specimen euxassay_003045_10: embryonic day 14.5 (more )
Structure Level Pattern Image Note
TS23: liver lobe Strong Regionally restricted euxassay_003045_10
TS23: pancreas Strong Regionally restricted euxassay_003045_10

Specimen euxassay_003045_11: embryonic day 14.5 (more )
Structure Level Pattern Image Note
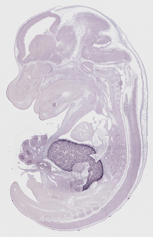
TS23: liver lobe Strong Regionally restricted euxassay_003045_11
TS23: pancreas Strong Regionally restricted euxassay_003045_11

Specimen euxassay_003045_12: embryonic day 14.5 (more )
Structure Level Pattern Image Note
TS23: liver lobe Strong Regionally restricted euxassay_003045_12
TS23: pancreas Strong Regionally restricted euxassay_003045_12
TS23: midgut Strong Regionally restricted euxassay_003045_12

Specimen euxassay_003045_13: embryonic day 14.5 (more )
Structure Level Pattern Image Note
TS23: liver lobe Strong Regionally restricted euxassay_003045_13
TS23: pancreas Strong Regionally restricted euxassay_003045_13
TS23: midgut Strong Regionally restricted euxassay_003045_13

Specimen euxassay_003045_14: embryonic day 14.5 (more )
Structure Level Pattern Image Note
TS23: liver lobe Strong Regionally restricted euxassay_003045_14
TS23: midgut Strong Regionally restricted euxassay_003045_14
TS23: foregut-midgut junction Strong Regionally restricted euxassay_003045_14

Specimen euxassay_003045_15: embryonic day 14.5 (more )
Structure Level Pattern Image Note
TS23: liver lobe Strong Regionally restricted euxassay_003045_15
TS23: midgut Strong Regionally restricted euxassay_003045_15
TS23: hindgut Strong Regionally restricted euxassay_003045_15
TS23: foregut-midgut junction Strong Regionally restricted euxassay_003045_15

Specimen euxassay_003045_16: embryonic day 14.5 (more )
Structure Level Pattern Image Note
TS23: liver lobe Strong Regionally restricted euxassay_003045_16
TS23: rectum Strong Regionally restricted euxassay_003045_16
TS23: midgut Strong Regionally restricted euxassay_003045_16
TS23: hindgut Strong Regionally restricted euxassay_003045_16

Specimen euxassay_003045_17: embryonic day 14.5 (more )
Structure Level Pattern Image Note
TS23: liver lobe Strong Regionally restricted euxassay_003045_17
TS23: midgut Strong Regionally restricted euxassay_003045_17
TS23: hindgut Strong Regionally restricted euxassay_003045_17

Specimen euxassay_003045_18: embryonic day 14.5 (more )
Structure Level Pattern Image Note
TS23: liver lobe Strong Regionally restricted euxassay_003045_18
TS23: midgut Moderate Regionally restricted euxassay_003045_18

Specimen euxassay_003045_19: embryonic day 14.5 (more )
Structure Level Pattern Image Note
TS23: liver lobe Strong Regionally restricted euxassay_003045_19
TS23: midgut Weak Regionally restricted euxassay_003045_19

Specimen euxassay_003045_20: embryonic day 14.5 (more )
Structure Level Pattern Image Note
TS23: liver lobe Strong Regionally restricted euxassay_003045_20
TS23: midgut Weak Regionally restricted euxassay_003045_20

Specimen euxassay_003045_21: embryonic day 14.5 (more )
Structure Level Pattern Image Note
TS23: liver lobe Strong Regionally restricted euxassay_003045_21
TS23: renal calyx Strong Regionally restricted euxassay_003045_21
TS23: midgut Weak Regionally restricted euxassay_003045_21

Specimen euxassay_003045_22: embryonic day 14.5 (more )
Structure Level Pattern Image Note
TS23: liver lobe Strong Regionally restricted euxassay_003045_22
TS23: renal calyx Strong Regionally restricted euxassay_003045_22
TS23: midgut Weak Regionally restricted euxassay_003045_22

Specimen euxassay_003045_23: embryonic day 14.5 (more )
Structure Level Pattern Image Note
TS23: liver lobe Strong Regionally restricted euxassay_003045_23
TS23: renal calyx Strong Regionally restricted euxassay_003045_23

Specimen euxassay_003045_24: embryonic day 14.5 (more )
Structure Level Pattern Image Note
TS23: liver lobe Strong Regionally restricted euxassay_003045_24


Contributing Projects:
Mouse Genome Database (MGD), Gene Expression Database (GXD), Mouse Models of Human Cancer database (MMHCdb) (formerly Mouse Tumor Biology (MTB)), Gene Ontology (GO)
Citing These Resources
Funding Information
Warranty Disclaimer, Privacy Notice, Licensing, & Copyright
Send questions and comments to User Support.
last database update
12/30/2025
MGI 6.24
The Jackson Laboratory