About   Help   FAQ
Gene Expression Data
Assay Details
Assay
Reference: J:153498 Diez-Roux G, et al., A high-resolution anatomical atlas of the transcriptome in the mouse embryo. PLoS Biol. 2011;9(1):e1000582
Assay type: RNA in situ
MGI Accession ID: MGI:4823011
Gene symbol: Adk
Gene name: adenosine kinase
Probe: IMAGE clone 2373226
Probe preparation: Antisense labelled with digoxigenin RNA
Visualized with: Alkaline phosphatase
Assay notes: Cryosections of fresh frozen material were fixed in 4% paraformaldehyde for 20 min. before further processing. A tyramide-biotin/streptavidin amplification step was included in the in situ hybridization procedure.
Results
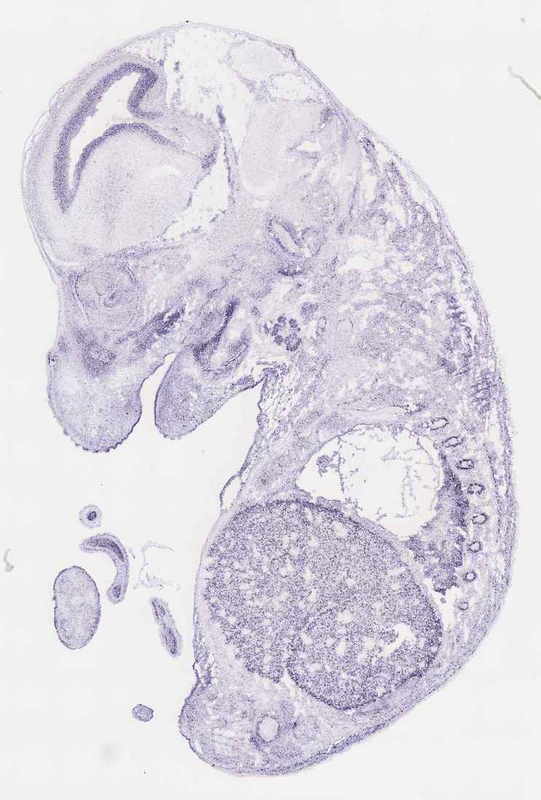
Specimen euxassay_001699_01: embryonic day 14.5 (more )
Structure Level Pattern Image Note
TS23: liver lobe Strong Regionally restricted euxassay_001699_01
TS23: rib Moderate Regionally restricted euxassay_001699_01
TS23: orbito-sphenoid Moderate Regionally restricted euxassay_001699_01
TS23: vault of skull Moderate Regionally restricted euxassay_001699_01
TS23: stomach Weak Regionally restricted euxassay_001699_01
TS23: Meckel's cartilage Moderate Regionally restricted euxassay_001699_01

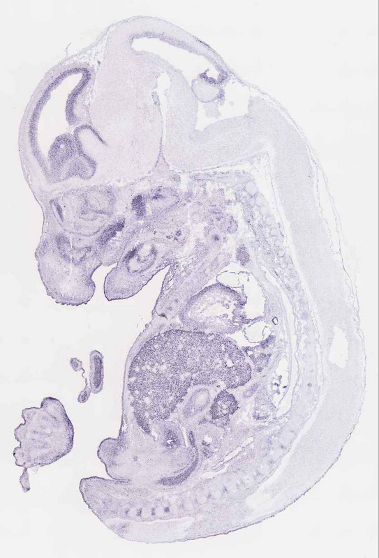
Specimen euxassay_001699_02: embryonic day 14.5 (more )
Structure Level Pattern Image Note
TS23: liver lobe Strong Regionally restricted euxassay_001699_02
TS23: rib Moderate Regionally restricted euxassay_001699_02
TS23: orbito-sphenoid Moderate Regionally restricted euxassay_001699_02
TS23: vault of skull Moderate Regionally restricted euxassay_001699_02
TS23: telencephalon ventricular layer Strong Uniform euxassay_001699_02
TS23: lung Moderate Regionally restricted euxassay_001699_02
TS23: stomach Weak Regionally restricted euxassay_001699_02
TS23: Meckel's cartilage Moderate Regionally restricted euxassay_001699_02

Specimen euxassay_001699_03: embryonic day 14.5 (more )
Structure Level Pattern Image Note
TS23: liver lobe Strong Regionally restricted euxassay_001699_03
TS23: rib Moderate Regionally restricted euxassay_001699_03
TS23: orbito-sphenoid Moderate Regionally restricted euxassay_001699_03
TS23: vault of skull Moderate Regionally restricted euxassay_001699_03
TS23: telencephalon ventricular layer Strong Uniform euxassay_001699_03
TS23: lung Moderate Regionally restricted euxassay_001699_03
TS23: stomach Weak Regionally restricted euxassay_001699_03
TS23: Meckel's cartilage Moderate Regionally restricted euxassay_001699_03

Specimen euxassay_001699_04: embryonic day 14.5 (more )
Structure Level Pattern Image Note
TS23: liver lobe Strong Regionally restricted euxassay_001699_04
TS23: rib Moderate Regionally restricted euxassay_001699_04
TS23: orbito-sphenoid Moderate Regionally restricted euxassay_001699_04
TS23: exoccipital bone Moderate Regionally restricted euxassay_001699_04
TS23: telencephalon ventricular layer Strong Uniform euxassay_001699_04
TS23: lung Moderate Regionally restricted euxassay_001699_04
TS23: stomach Weak Regionally restricted euxassay_001699_04
TS23: Meckel's cartilage Moderate Regionally restricted euxassay_001699_04

Specimen euxassay_001699_05: embryonic day 14.5 (more )
Structure Level Pattern Image Note
TS23: liver lobe Strong Regionally restricted euxassay_001699_05
TS23: rib Moderate Regionally restricted euxassay_001699_05
TS23: exoccipital bone Moderate Regionally restricted euxassay_001699_05
TS23: basisphenoid bone Moderate Regionally restricted euxassay_001699_05
TS23: orbito-sphenoid Moderate Regionally restricted euxassay_001699_05
TS23: telencephalon ventricular layer Strong Uniform euxassay_001699_05
TS23: renal cortex Moderate Uniform euxassay_001699_05
TS23: lung Moderate Regionally restricted euxassay_001699_05
TS23: stomach Weak Regionally restricted euxassay_001699_05
TS23: Meckel's cartilage Moderate Regionally restricted euxassay_001699_05

Specimen euxassay_001699_06: embryonic day 14.5 (more )
Structure Level Pattern Image Note
TS23: liver lobe Strong Regionally restricted euxassay_001699_06
TS23: orbito-sphenoid Moderate Regionally restricted euxassay_001699_06
TS23: telencephalon ventricular layer Strong Uniform euxassay_001699_06
TS23: renal cortex Moderate Uniform euxassay_001699_06
TS23: midbrain ventricular layer Moderate Regionally restricted euxassay_001699_06
TS23: lung Moderate Regionally restricted euxassay_001699_06
TS23: stomach Weak Regionally restricted euxassay_001699_06
TS23: Meckel's cartilage Moderate Regionally restricted euxassay_001699_06

Specimen euxassay_001699_07: embryonic day 14.5 (more )
Structure Level Pattern Image Note
TS23: liver lobe Strong Regionally restricted euxassay_001699_07
TS23: orbito-sphenoid Moderate Regionally restricted euxassay_001699_07
TS23: telencephalon ventricular layer Strong Uniform euxassay_001699_07
TS23: renal cortex Moderate Uniform euxassay_001699_07
TS23: midbrain ventricular layer Moderate Regionally restricted euxassay_001699_07
TS23: lung Moderate Regionally restricted euxassay_001699_07
TS23: submandibular gland primordium Strong Regionally restricted euxassay_001699_07
TS23: pancreas Moderate Regionally restricted euxassay_001699_07
TS23: stomach Weak Regionally restricted euxassay_001699_07
TS23: lower jaw molar Moderate Regionally restricted euxassay_001699_07
TS23: upper jaw molar Moderate Regionally restricted euxassay_001699_07
TS23: nucleus pulposus Moderate Regionally restricted euxassay_001699_07

Specimen euxassay_001699_08: embryonic day 14.5 (more )
Structure Level Pattern Image Note
TS23: liver lobe Strong Regionally restricted euxassay_001699_08
TS23: orbito-sphenoid Moderate Regionally restricted euxassay_001699_08
TS23: telencephalon ventricular layer Strong Uniform euxassay_001699_08
TS23: midbrain ventricular layer Moderate Regionally restricted euxassay_001699_08
TS23: lung Moderate Regionally restricted euxassay_001699_08
TS23: submandibular gland primordium Strong Regionally restricted euxassay_001699_08
TS23: pancreas Moderate Regionally restricted euxassay_001699_08
TS23: stomach Weak Regionally restricted euxassay_001699_08
TS23: upper jaw molar Moderate Regionally restricted euxassay_001699_08
TS23: lower jaw molar Moderate Regionally restricted euxassay_001699_08
TS23: nucleus pulposus Moderate Regionally restricted euxassay_001699_08
TS23: thoracic segment skeleton Moderate Regionally restricted euxassay_001699_08

Specimen euxassay_001699_09: embryonic day 14.5 (more )
Structure Level Pattern Image Note
TS23: liver lobe Strong Regionally restricted euxassay_001699_09
TS23: telencephalon ventricular layer Strong Uniform euxassay_001699_09
TS23: midbrain ventricular layer Moderate Regionally restricted euxassay_001699_09
TS23: lung Moderate Regionally restricted euxassay_001699_09
TS23: submandibular gland primordium Strong Regionally restricted euxassay_001699_09
TS23: pancreas Moderate Regionally restricted euxassay_001699_09
TS23: stomach Weak Regionally restricted euxassay_001699_09
TS23: midgut Weak Regionally restricted euxassay_001699_09
TS23: upper jaw molar Moderate Regionally restricted euxassay_001699_09
TS23: lower jaw molar Moderate Regionally restricted euxassay_001699_09
TS23: nucleus pulposus Moderate Regionally restricted euxassay_001699_09
TS23: thoracic segment skeleton Moderate Regionally restricted euxassay_001699_09

Specimen euxassay_001699_10: embryonic day 14.5 (more )
Structure Level Pattern Image Note
TS23: liver lobe Strong Regionally restricted euxassay_001699_10
TS23: telencephalon ventricular layer Strong Uniform euxassay_001699_10
TS23: midbrain ventricular layer Moderate Regionally restricted euxassay_001699_10
TS23: submandibular gland primordium Strong Regionally restricted euxassay_001699_10
TS23: pancreas Moderate Regionally restricted euxassay_001699_10
TS23: bladder Moderate Regionally restricted euxassay_001699_10
TS23: midgut Moderate Regionally restricted euxassay_001699_10
TS23: upper jaw molar Moderate Regionally restricted euxassay_001699_10
TS23: lower jaw molar Moderate Regionally restricted euxassay_001699_10
TS23: thymus primordium Weak Uniform euxassay_001699_10
TS23: rectum Moderate Regionally restricted euxassay_001699_10
TS23: nucleus pulposus Moderate Regionally restricted euxassay_001699_10
TS23: thoracic segment skeleton Moderate Regionally restricted euxassay_001699_10

Specimen euxassay_001699_11: embryonic day 14.5 (more )
Structure Level Pattern Image Note
TS23: liver lobe Strong Regionally restricted euxassay_001699_11
TS23: telencephalon ventricular layer Strong Uniform euxassay_001699_11
TS23: midbrain ventricular layer Weak Regionally restricted euxassay_001699_11
TS23: lung Moderate Regionally restricted euxassay_001699_11
TS23: bladder Moderate Regionally restricted euxassay_001699_11
TS23: midgut Moderate Regionally restricted euxassay_001699_11
TS23: thymus primordium Weak Uniform euxassay_001699_11
TS23: esophagus Moderate Regionally restricted euxassay_001699_11
TS23: rectum Moderate Regionally restricted euxassay_001699_11
TS23: nucleus pulposus Moderate Regionally restricted euxassay_001699_11
TS23: thoracic segment skeleton Moderate Regionally restricted euxassay_001699_11

Specimen euxassay_001699_12: embryonic day 14.5 (more )
Structure Level Pattern Image Note
TS23: liver lobe Strong Regionally restricted euxassay_001699_12
TS23: telencephalon ventricular layer Strong Uniform euxassay_001699_12
TS23: midbrain ventricular layer Moderate Regionally restricted euxassay_001699_12
TS23: lung Moderate Regionally restricted euxassay_001699_12
TS23: bladder Moderate Regionally restricted euxassay_001699_12
TS23: midgut Moderate Regionally restricted euxassay_001699_12
TS23: hindgut Moderate Regionally restricted euxassay_001699_12
TS23: thymus primordium Weak Uniform euxassay_001699_12
TS23: esophagus Moderate Regionally restricted euxassay_001699_12
TS23: nucleus pulposus Moderate Regionally restricted euxassay_001699_12
TS23: thoracic segment skeleton Moderate Regionally restricted euxassay_001699_12

Specimen euxassay_001699_13: embryonic day 14.5 (more )
Structure Level Pattern Image Note
TS23: liver lobe Strong Regionally restricted euxassay_001699_13
TS23: telencephalon ventricular layer Strong Uniform euxassay_001699_13
TS23: renal cortex Moderate Uniform euxassay_001699_13
TS23: midbrain ventricular layer Moderate Regionally restricted euxassay_001699_13
TS23: lung Moderate Regionally restricted euxassay_001699_13
TS23: bladder Moderate Regionally restricted euxassay_001699_13
TS23: midgut Moderate Regionally restricted euxassay_001699_13
TS23: hindgut Moderate Regionally restricted euxassay_001699_13
TS23: foregut-midgut junction Moderate Regionally restricted euxassay_001699_13
TS23: thymus primordium Weak Uniform euxassay_001699_13
TS23: thoracic segment skeleton Moderate Regionally restricted euxassay_001699_13

Specimen euxassay_001699_14: embryonic day 14.5 (more )
Structure Level Pattern Image Note
TS23: liver lobe Strong Regionally restricted euxassay_001699_14
TS23: telencephalon ventricular layer Strong Uniform euxassay_001699_14
TS23: renal cortex Moderate Uniform euxassay_001699_14
TS23: midbrain ventricular layer Moderate Regionally restricted euxassay_001699_14
TS23: lung Moderate Regionally restricted euxassay_001699_14
TS23: foregut-midgut junction Moderate Regionally restricted euxassay_001699_14
TS23: hindgut Moderate Regionally restricted euxassay_001699_14
TS23: midgut Moderate Regionally restricted euxassay_001699_14
TS23: thymus primordium Weak Uniform euxassay_001699_14
TS23: thoracic segment skeleton Moderate Regionally restricted euxassay_001699_14

Specimen euxassay_001699_15: embryonic day 14.5 (more )
Structure Level Pattern Image Note
TS23: liver lobe Strong Regionally restricted euxassay_001699_15
TS23: telencephalon ventricular layer Strong Uniform euxassay_001699_15
TS23: renal cortex Moderate Uniform euxassay_001699_15
TS23: midbrain ventricular layer Moderate Regionally restricted euxassay_001699_15
TS23: lung Moderate Regionally restricted euxassay_001699_15
TS23: pancreas Moderate Regionally restricted euxassay_001699_15
TS23: midgut Moderate Regionally restricted euxassay_001699_15
TS23: hindgut Moderate Regionally restricted euxassay_001699_15
TS23: foregut-midgut junction Moderate Regionally restricted euxassay_001699_15
TS23: nucleus pulposus Moderate Regionally restricted euxassay_001699_15
TS23: thoracic segment skeleton Moderate Regionally restricted euxassay_001699_15

Specimen euxassay_001699_16: embryonic day 14.5 (more )
Structure Level Pattern Image Note
TS23: liver lobe Strong Regionally restricted euxassay_001699_16
TS23: telencephalon ventricular layer Strong Uniform euxassay_001699_16
TS23: renal cortex Moderate Uniform euxassay_001699_16
TS23: midbrain ventricular layer Moderate Regionally restricted euxassay_001699_16
TS23: lung Moderate Regionally restricted euxassay_001699_16
TS23: foregut-midgut junction Moderate Regionally restricted euxassay_001699_16
TS23: midgut Moderate Regionally restricted euxassay_001699_16
TS23: nucleus pulposus Moderate Regionally restricted euxassay_001699_16
TS23: thoracic segment skeleton Moderate Regionally restricted euxassay_001699_16

Specimen euxassay_001699_17: embryonic day 14.5 (more )
Structure Level Pattern Image Note
TS23: liver lobe Strong Regionally restricted euxassay_001699_17
TS23: rib Moderate Regionally restricted euxassay_001699_17
TS23: telencephalon ventricular layer Strong Uniform euxassay_001699_17
TS23: lung Moderate Regionally restricted euxassay_001699_17
TS23: submandibular gland primordium Strong Regionally restricted euxassay_001699_17
TS23: midgut Moderate Regionally restricted euxassay_001699_17
TS23: thoracic segment skeleton Moderate Regionally restricted euxassay_001699_17

Specimen euxassay_001699_18: embryonic day 14.5 (more )
Structure Level Pattern Image Note
TS23: liver lobe Strong Regionally restricted euxassay_001699_18
TS23: rib Moderate Regionally restricted euxassay_001699_18
TS23: telencephalon ventricular layer Strong Uniform euxassay_001699_18
TS23: lung Moderate Regionally restricted euxassay_001699_18
TS23: submandibular gland primordium Strong Regionally restricted euxassay_001699_18
TS23: midgut Moderate Regionally restricted euxassay_001699_18
TS23: upper jaw molar Moderate Regionally restricted euxassay_001699_18
TS23: lower jaw molar Moderate Regionally restricted euxassay_001699_18

Specimen euxassay_001699_19: embryonic day 14.5 (more )
Structure Level Pattern Image Note
TS23: liver lobe Strong Regionally restricted euxassay_001699_19
TS23: thoracic vertebra Moderate Regionally restricted euxassay_001699_19
TS23: telencephalon ventricular layer Strong Uniform euxassay_001699_19
TS23: lung Moderate Regionally restricted euxassay_001699_19
TS23: submandibular gland primordium Strong Regionally restricted euxassay_001699_19
TS23: midgut Moderate Regionally restricted euxassay_001699_19
TS23: upper jaw molar Moderate Regionally restricted euxassay_001699_19
TS23: lower jaw molar Moderate Regionally restricted euxassay_001699_19

Specimen euxassay_001699_20: embryonic day 14.5 (more )
Structure Level Pattern Image Note
TS23: liver lobe Strong Regionally restricted euxassay_001699_20
TS23: rib Moderate Regionally restricted euxassay_001699_20
TS23: telencephalon ventricular layer Moderate Uniform euxassay_001699_20
TS23: lung Moderate Regionally restricted euxassay_001699_20
TS23: submandibular gland primordium Strong Regionally restricted euxassay_001699_20
TS23: midgut Moderate Regionally restricted euxassay_001699_20
TS23: upper jaw molar Moderate Regionally restricted euxassay_001699_20
TS23: lower jaw molar Moderate Regionally restricted euxassay_001699_20

Specimen euxassay_001699_21: embryonic day 14.5 (more )
Structure Level Pattern Image Note
TS23: liver lobe Strong Regionally restricted euxassay_001699_21
TS23: rib Moderate Regionally restricted euxassay_001699_21
TS23: orbito-sphenoid Moderate Regionally restricted euxassay_001699_21
TS23: telencephalon ventricular layer Moderate Uniform euxassay_001699_21
TS23: lung Moderate Regionally restricted euxassay_001699_21
TS23: Meckel's cartilage Moderate Regionally restricted euxassay_001699_21

Specimen euxassay_001699_22: embryonic day 14.5 (more )
Structure Level Pattern Image Note
TS23: liver lobe Strong Regionally restricted euxassay_001699_22
TS23: rib Moderate Regionally restricted euxassay_001699_22
TS23: orbito-sphenoid Moderate Regionally restricted euxassay_001699_22
TS23: telencephalon ventricular layer Moderate Uniform euxassay_001699_22
TS23: Meckel's cartilage Moderate Regionally restricted euxassay_001699_22

Specimen euxassay_001699_23: embryonic day 14.5 (more )
Structure Level Pattern Image Note
TS23: liver lobe Strong Regionally restricted euxassay_001699_23
TS23: orbito-sphenoid Moderate Regionally restricted euxassay_001699_23
TS23: telencephalon ventricular layer Moderate Uniform euxassay_001699_23
TS23: Meckel's cartilage Moderate Regionally restricted euxassay_001699_23


Contributing Projects:
Mouse Genome Database (MGD), Gene Expression Database (GXD), Mouse Models of Human Cancer database (MMHCdb) (formerly Mouse Tumor Biology (MTB)), Gene Ontology (GO)
Citing These Resources
Funding Information
Warranty Disclaimer, Privacy Notice, Licensing, & Copyright
Send questions and comments to User Support.
last database update
01/20/2026
MGI 6.24
The Jackson Laboratory