About   Help   FAQ
Gene Expression Data
Assay Details
Assay
Reference: J:153498 Diez-Roux G, et al., A high-resolution anatomical atlas of the transcriptome in the mouse embryo. PLoS Biol. 2011;9(1):e1000582
Assay type: RNA in situ
MGI Accession ID: MGI:4823003
Gene symbol: Add3
Gene name: adducin 3
Probe: MGC clone 46880
Probe preparation: Antisense labelled with digoxigenin RNA
Visualized with: Alkaline phosphatase
Assay notes: Cryosections of fresh frozen material were fixed in 4% paraformaldehyde for 20 min. before further processing. A tyramide-biotin/streptavidin amplification step was included in the in situ hybridization procedure.
Results
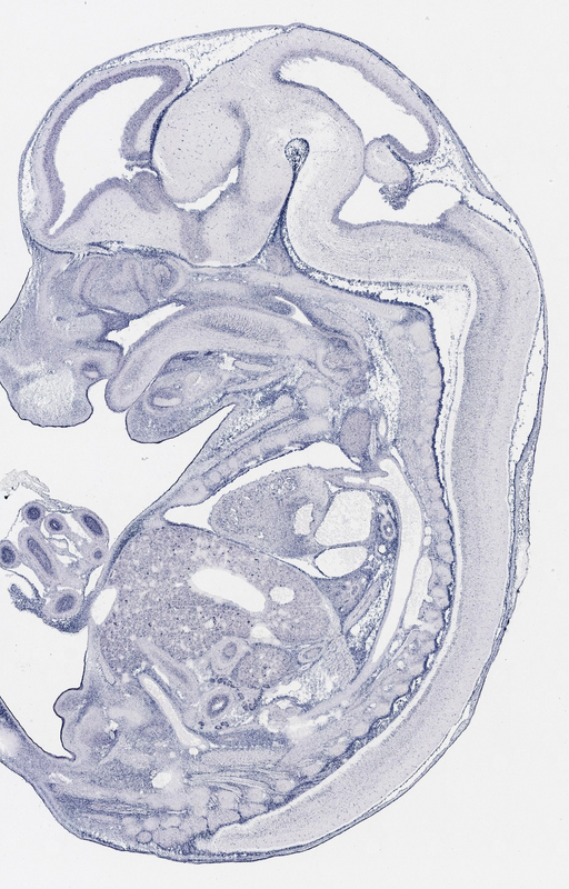
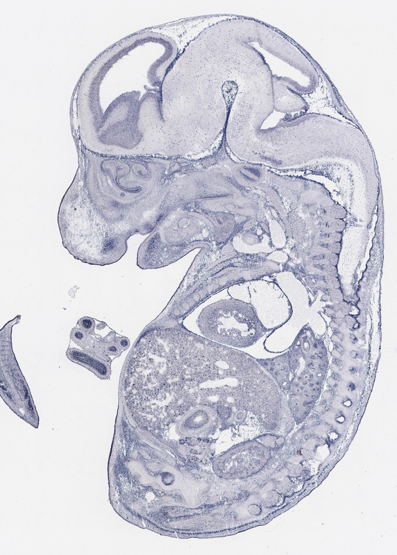
Specimen euxassay_002919_02: embryonic day 14.5 (more )
Structure Level Pattern Image Note
TS23: telencephalon ventricular layer Moderate Uniform euxassay_002919_02

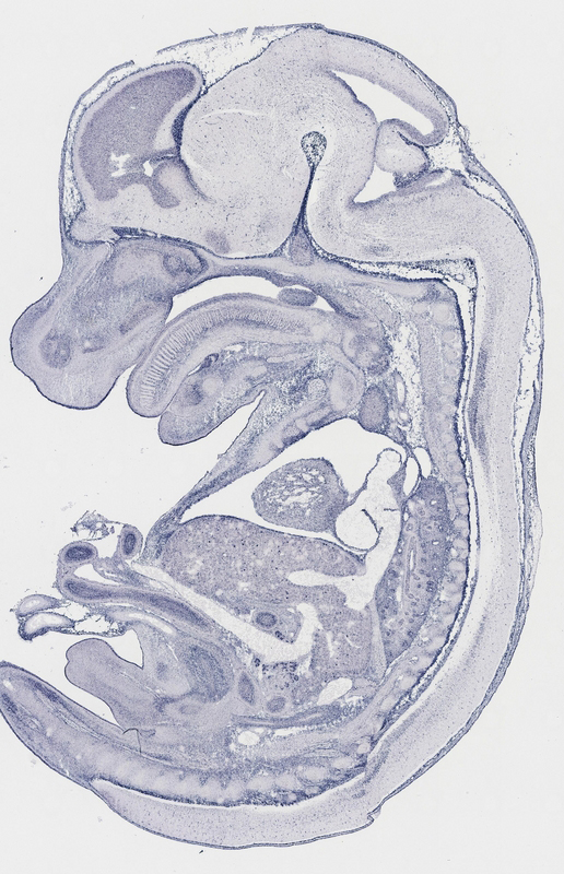
Specimen euxassay_002919_03: embryonic day 14.5 (more )
Structure Level Pattern Image Note
TS23: telencephalon ventricular layer Moderate Uniform euxassay_002919_03

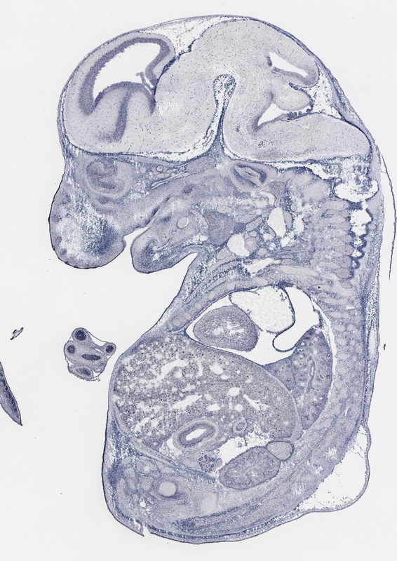
Specimen euxassay_002919_04: embryonic day 14.5 (more )
Structure Level Pattern Image Note
TS23: telencephalon ventricular layer Moderate Uniform euxassay_002919_04

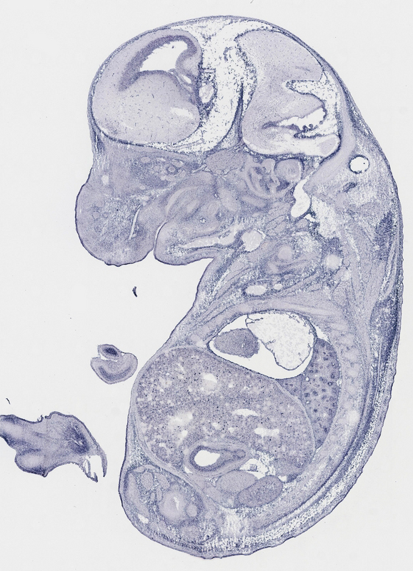
Specimen euxassay_002919_05: embryonic day 14.5 (more )
Structure Level Pattern Image Note
TS23: telencephalon ventricular layer Moderate Uniform euxassay_002919_05

Specimen euxassay_002919_06: embryonic day 14.5 (more )
Structure Level Pattern Image Note
TS23: telencephalon ventricular layer Moderate Uniform euxassay_002919_06

Specimen euxassay_002919_07: embryonic day 14.5 (more )
Structure Level Pattern Image Note
TS23: telencephalon ventricular layer Moderate Uniform euxassay_002919_07

Specimen euxassay_002919_08: embryonic day 14.5 (more )
Structure Level Pattern Image Note
TS23: telencephalon ventricular layer Strong Uniform euxassay_002919_08

Specimen euxassay_002919_09: embryonic day 14.5 (more )
Structure Level Pattern Image Note
TS23: telencephalon ventricular layer Strong Uniform euxassay_002919_09

Specimen euxassay_002919_10: embryonic day 14.5 (more )
Structure Level Pattern Image Note
TS23: telencephalon ventricular layer Strong Uniform euxassay_002919_10

Specimen euxassay_002919_11: embryonic day 14.5 (more )
Structure Level Pattern Image Note
TS23: telencephalon ventricular layer Strong Uniform euxassay_002919_11
TS23: olfactory cortex ventricular layer Strong Uniform euxassay_002919_11

Specimen euxassay_002919_12: embryonic day 14.5 (more )
Structure Level Pattern Image Note
TS23: olfactory cortex ventricular layer Strong Uniform euxassay_002919_12
TS23: telencephalon ventricular layer Strong Uniform euxassay_002919_12

Specimen euxassay_002919_13: embryonic day 14.5 (more )
Structure Level Pattern Image Note
TS23: telencephalon ventricular layer Strong Uniform euxassay_002919_13

Specimen euxassay_002919_14: embryonic day 14.5 (more )
Structure Level Pattern Image Note
TS23: telencephalon ventricular layer Strong Uniform euxassay_002919_14

Specimen euxassay_002919_15: embryonic day 14.5 (more )
Structure Level Pattern Image Note
TS23: telencephalon ventricular layer Strong Uniform euxassay_002919_15

Specimen euxassay_002919_16: embryonic day 14.5 (more )
Structure Level Pattern Image Note
TS23: telencephalon ventricular layer Strong Uniform euxassay_002919_16

Specimen euxassay_002919_17: embryonic day 14.5 (more )
Structure Level Pattern Image Note
TS23: olfactory cortex ventricular layer Strong Uniform euxassay_002919_17
TS23: telencephalon ventricular layer Strong Uniform euxassay_002919_17

Specimen euxassay_002919_18: embryonic day 14.5 (more )
Structure Level Pattern Image Note
TS23: olfactory cortex ventricular layer Strong Uniform euxassay_002919_18
TS23: telencephalon ventricular layer Strong Uniform euxassay_002919_18

Specimen euxassay_002919_19: embryonic day 14.5 (more )
Structure Level Pattern Image Note
TS23: telencephalon ventricular layer Strong Uniform euxassay_002919_19

Specimen euxassay_002919_20: embryonic day 14.5 (more )
Structure Level Pattern Image Note
TS23: telencephalon ventricular layer Strong Uniform euxassay_002919_20

Specimen euxassay_002919_21: embryonic day 14.5 (more )
Structure Level Pattern Image Note
TS23: telencephalon ventricular layer Strong Uniform euxassay_002919_21

Specimen euxassay_002919_22: embryonic day 14.5 (more )
Structure Level Pattern Image Note
TS23: telencephalon ventricular layer Strong Uniform euxassay_002919_22

Specimen euxassay_002919_23: embryonic day 14.5 (more )
Structure Level Pattern Image Note
TS23: telencephalon ventricular layer Strong Uniform euxassay_002919_23

Specimen euxassay_002919_24: embryonic day 14.5 (more )
Structure Level Pattern Image Note
TS23: telencephalon ventricular layer Strong Uniform euxassay_002919_24


Contributing Projects:
Mouse Genome Database (MGD), Gene Expression Database (GXD), Mouse Models of Human Cancer database (MMHCdb) (formerly Mouse Tumor Biology (MTB)), Gene Ontology (GO)
Citing These Resources
Funding Information
Warranty Disclaimer, Privacy Notice, Licensing, & Copyright
Send questions and comments to User Support.
last database update
03/24/2026
MGI 6.24
The Jackson Laboratory