About   Help   FAQ
Gene Expression Data
Assay Details
Assay
Reference: J:153498 Diez-Roux G, et al., A high-resolution anatomical atlas of the transcriptome in the mouse embryo. PLoS Biol. 2011;9(1):e1000582
Assay type: RNA in situ
MGI Accession ID: MGI:4822962
Gene symbol: Actrt2
Gene name: actin-related protein T2
Probe: T31895
Probe preparation: Antisense labelled with digoxigenin RNA
Visualized with: Alkaline phosphatase
Assay notes: Cryosections of fresh frozen material were fixed in 4% paraformaldehyde for 20 min. before further processing. A tyramide-biotin/streptavidin amplification step was included in the in situ hybridization procedure.
Results
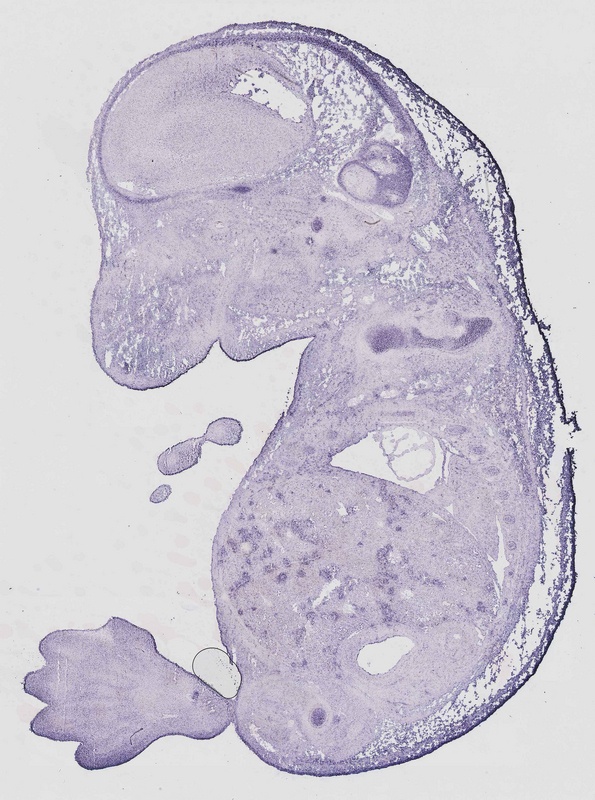
Specimen euxassay_014418_01: embryonic day 14.5 (more )
Structure Level Pattern Image Note
TS23: humerus Strong Regionally restricted euxassay_014418_01
TS23: femur Moderate Regionally restricted euxassay_014418_01
TS23: orbito-sphenoid Weak Regionally restricted euxassay_014418_01
TS23: vault of skull Weak Regionally restricted euxassay_014418_01
TS23: liver lobe Moderate Spotted euxassay_014418_01

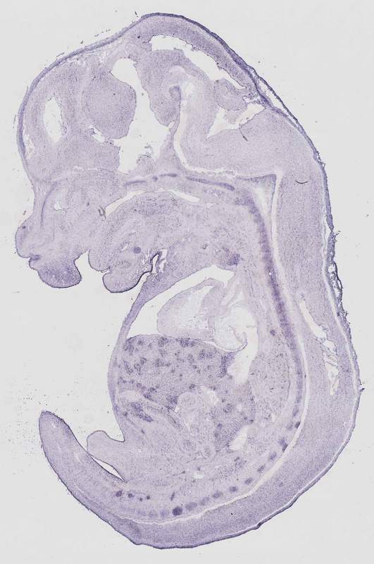
Specimen euxassay_014418_02: embryonic day 14.5 (more )
Structure Level Pattern Image Note
TS23: humerus Strong Regionally restricted euxassay_014418_02
TS23: femur Moderate Regionally restricted euxassay_014418_02
TS23: orbito-sphenoid Moderate Regionally restricted euxassay_014418_02
TS23: temporal bone Moderate Regionally restricted euxassay_014418_02
TS23: exoccipital bone Moderate Regionally restricted euxassay_014418_02
TS23: vault of skull Moderate Regionally restricted euxassay_014418_02
TS23: liver lobe Moderate Spotted euxassay_014418_02

Specimen euxassay_014418_03: embryonic day 14.5 (more )
Structure Level Pattern Image Note
TS23: humerus Moderate Regionally restricted euxassay_014418_03
TS23: femur Moderate Regionally restricted euxassay_014418_03
TS23: scapula Moderate Regionally restricted euxassay_014418_03
TS23: orbito-sphenoid Moderate Regionally restricted euxassay_014418_03
TS23: temporal bone Moderate Regionally restricted euxassay_014418_03
TS23: Meckel's cartilage Moderate Regionally restricted euxassay_014418_03
TS23: liver lobe Moderate Spotted euxassay_014418_03

Specimen euxassay_014418_04: embryonic day 14.5 (more )
Structure Level Pattern Image Note
TS23: humerus Weak Regionally restricted euxassay_014418_04
TS23: femur Moderate Regionally restricted euxassay_014418_04
TS23: scapula Moderate Regionally restricted euxassay_014418_04
TS23: orbito-sphenoid Moderate Regionally restricted euxassay_014418_04
TS23: temporal bone Moderate Regionally restricted euxassay_014418_04
TS23: exoccipital bone Moderate Regionally restricted euxassay_014418_04
TS23: Meckel's cartilage Moderate Regionally restricted euxassay_014418_04
TS23: liver lobe Moderate Spotted euxassay_014418_04

Specimen euxassay_014418_05: embryonic day 14.5 (more )
Structure Level Pattern Image Note
TS23: femur Moderate Regionally restricted euxassay_014418_05
TS23: turbinate bone primordium Weak Regionally restricted euxassay_014418_05
TS23: orbito-sphenoid Weak Regionally restricted euxassay_014418_05
TS23: exoccipital bone Weak Regionally restricted euxassay_014418_05
TS23: Meckel's cartilage Strong Regionally restricted euxassay_014418_05
TS23: liver lobe Moderate Spotted euxassay_014418_05

Specimen euxassay_014418_06: embryonic day 14.5 (more )
Structure Level Pattern Image Note
TS23: femur Moderate Regionally restricted euxassay_014418_06
TS23: turbinate bone primordium Weak Regionally restricted euxassay_014418_06
TS23: exoccipital bone Weak Regionally restricted euxassay_014418_06
TS23: Meckel's cartilage Strong Regionally restricted euxassay_014418_06
TS23: liver lobe Weak Spotted euxassay_014418_06

Specimen euxassay_014418_07: embryonic day 14.5 (more )
Structure Level Pattern Image Note
TS23: pelvic girdle skeleton Moderate Regionally restricted euxassay_014418_07
TS23: turbinate bone primordium Weak Regionally restricted euxassay_014418_07
TS23: exoccipital bone Weak Regionally restricted euxassay_014418_07
TS23: Meckel's cartilage Strong Regionally restricted euxassay_014418_07
TS23: liver lobe Weak Spotted euxassay_014418_07

Specimen euxassay_014418_08: embryonic day 14.5 (more )
Structure Level Pattern Image Note
TS23: pelvic girdle skeleton Moderate Regionally restricted euxassay_014418_08
TS23: Meckel's cartilage Strong Regionally restricted euxassay_014418_08
TS23: axial skeleton Moderate Regionally restricted euxassay_014418_08
TS23: liver lobe Weak Spotted euxassay_014418_08

Specimen euxassay_014418_09: embryonic day 14.5 (more )
Structure Level Pattern Image Note
TS23: basisphenoid bone Weak Regionally restricted euxassay_014418_09
TS23: basioccipital bone Weak Regionally restricted euxassay_014418_09
TS23: Meckel's cartilage Moderate Regionally restricted euxassay_014418_09
TS23: axial skeleton Moderate Regionally restricted euxassay_014418_09
TS23: liver lobe Moderate Spotted euxassay_014418_09

Specimen euxassay_014418_10: embryonic day 14.5 (more )
Structure Level Pattern Image Note
TS23: basioccipital bone Weak Regionally restricted euxassay_014418_10
TS23: basisphenoid bone Weak Regionally restricted euxassay_014418_10
TS23: Meckel's cartilage Moderate Regionally restricted euxassay_014418_10
TS23: axial skeleton Moderate Regionally restricted euxassay_014418_10
TS23: liver lobe Moderate Spotted euxassay_014418_10

Specimen euxassay_014418_11: embryonic day 14.5 (more )
Structure Level Pattern Image Note
TS23: basisphenoid bone Weak Regionally restricted euxassay_014418_11
TS23: basioccipital bone Weak Regionally restricted euxassay_014418_11
TS23: turbinate bone primordium Weak Regionally restricted euxassay_014418_11
TS23: orbito-sphenoid Weak Regionally restricted euxassay_014418_11
TS23: axial skeleton Moderate Regionally restricted euxassay_014418_11
TS23: liver lobe Moderate Spotted euxassay_014418_11

Specimen euxassay_014418_12: embryonic day 14.5 (more )
Structure Level Pattern Image Note
TS23: basioccipital bone Weak Regionally restricted euxassay_014418_12
TS23: basisphenoid bone Weak Regionally restricted euxassay_014418_12
TS23: Meckel's cartilage Weak Regionally restricted euxassay_014418_12
TS23: axial skeleton Moderate Regionally restricted euxassay_014418_12
TS23: liver lobe Moderate Spotted euxassay_014418_12

Specimen euxassay_014418_13: embryonic day 14.5 (more )
Structure Level Pattern Image Note
TS23: turbinate bone primordium Weak Regionally restricted euxassay_014418_13
TS23: basisphenoid bone Weak Regionally restricted euxassay_014418_13
TS23: basioccipital bone Weak Regionally restricted euxassay_014418_13
TS23: Meckel's cartilage Moderate Regionally restricted euxassay_014418_13
TS23: axial skeleton Weak Regionally restricted euxassay_014418_13
TS23: liver lobe Moderate Spotted euxassay_014418_13

Specimen euxassay_014418_14: embryonic day 14.5 (more )
Structure Level Pattern Image Note
TS23: pelvic girdle skeleton Moderate Regionally restricted euxassay_014418_14
TS23: basisphenoid bone Weak Regionally restricted euxassay_014418_14
TS23: basioccipital bone Weak Regionally restricted euxassay_014418_14
TS23: turbinate bone primordium Weak Regionally restricted euxassay_014418_14
TS23: Meckel's cartilage Moderate Regionally restricted euxassay_014418_14
TS23: axial skeleton Weak Regionally restricted euxassay_014418_14
TS23: liver lobe Moderate Spotted euxassay_014418_14

Specimen euxassay_014418_15: embryonic day 14.5 (more )
Structure Level Pattern Image Note
TS23: pelvic girdle skeleton Moderate Regionally restricted euxassay_014418_15
TS23: turbinate bone primordium Weak Regionally restricted euxassay_014418_15
TS23: orbito-sphenoid Weak Regionally restricted euxassay_014418_15
TS23: basioccipital bone Weak Regionally restricted euxassay_014418_15
TS23: basisphenoid bone Weak Regionally restricted euxassay_014418_15
TS23: Meckel's cartilage Moderate Regionally restricted euxassay_014418_15
TS23: axial skeleton Weak Regionally restricted euxassay_014418_15
TS23: liver lobe Moderate Spotted euxassay_014418_15

Specimen euxassay_014418_16: embryonic day 14.5 (more )
Structure Level Pattern Image Note
TS23: orbito-sphenoid Weak Regionally restricted euxassay_014418_16
TS23: turbinate bone primordium Weak Regionally restricted euxassay_014418_16
TS23: Meckel's cartilage Moderate Regionally restricted euxassay_014418_16
TS23: axial skeleton Weak Regionally restricted euxassay_014418_16
TS23: liver lobe Moderate Spotted euxassay_014418_16

Specimen euxassay_014418_17: embryonic day 14.5 (more )
Structure Level Pattern Image Note
TS23: orbito-sphenoid Moderate Regionally restricted euxassay_014418_17
TS23: Meckel's cartilage Moderate Regionally restricted euxassay_014418_17
TS23: liver lobe Moderate Spotted euxassay_014418_17

Specimen euxassay_014418_18: embryonic day 14.5 (more )
Structure Level Pattern Image Note
TS23: femur Moderate Regionally restricted euxassay_014418_18
TS23: orbito-sphenoid Weak Regionally restricted euxassay_014418_18
TS23: Meckel's cartilage Moderate Regionally restricted euxassay_014418_18
TS23: liver lobe Moderate Spotted euxassay_014418_18

Specimen euxassay_014418_19: embryonic day 14.5 (more )
Structure Level Pattern Image Note
TS23: femur Moderate Regionally restricted euxassay_014418_19
TS23: orbito-sphenoid Weak Regionally restricted euxassay_014418_19
TS23: Meckel's cartilage Moderate Regionally restricted euxassay_014418_19
TS23: liver lobe Moderate Spotted euxassay_014418_19

Specimen euxassay_014418_20: embryonic day 14.5 (more )
Structure Level Pattern Image Note
TS23: femur Moderate Regionally restricted euxassay_014418_20
TS23: orbito-sphenoid Weak Regionally restricted euxassay_014418_20
TS23: Meckel's cartilage Moderate Regionally restricted euxassay_014418_20
TS23: liver lobe Moderate Spotted euxassay_014418_20

Specimen euxassay_014418_21: embryonic day 14.5 (more )
Structure Level Pattern Image Note
TS23: humerus Moderate Regionally restricted euxassay_014418_21
TS23: femur Moderate Regionally restricted euxassay_014418_21
TS23: scapula Moderate Regionally restricted euxassay_014418_21
TS23: exoccipital bone Weak Regionally restricted euxassay_014418_21
TS23: orbito-sphenoid Weak Regionally restricted euxassay_014418_21
TS23: vault of skull Weak Regionally restricted euxassay_014418_21
TS23: Meckel's cartilage Moderate Regionally restricted euxassay_014418_21
TS23: liver lobe Moderate Spotted euxassay_014418_21

Specimen euxassay_014418_22: embryonic day 14.5 (more )
Structure Level Pattern Image Note
TS23: humerus Moderate Regionally restricted euxassay_014418_22
TS23: femur Moderate Regionally restricted euxassay_014418_22
TS23: scapula Moderate Regionally restricted euxassay_014418_22
TS23: temporal bone Weak Regionally restricted euxassay_014418_22
TS23: orbito-sphenoid Weak Regionally restricted euxassay_014418_22
TS23: liver lobe Moderate Spotted euxassay_014418_22

Specimen euxassay_014418_23: embryonic day 14.5 (more )
Structure Level Pattern Image Note
TS23: humerus Moderate Regionally restricted euxassay_014418_23
TS23: fibula Moderate Regionally restricted euxassay_014418_23
TS23: tibia Moderate Regionally restricted euxassay_014418_23
TS23: orbito-sphenoid Weak Regionally restricted euxassay_014418_23
TS23: temporal bone Weak Regionally restricted euxassay_014418_23
TS23: vault of skull Weak Regionally restricted euxassay_014418_23

Specimen euxassay_014418_24: embryonic day 14.5 (more )
Structure Level Pattern Image Note
TS23: humerus Moderate Regionally restricted euxassay_014418_24
TS23: tibia Moderate Regionally restricted euxassay_014418_24
TS23: fibula Moderate Regionally restricted euxassay_014418_24
TS23: vault of skull Weak Regionally restricted euxassay_014418_24
TS23: orbito-sphenoid Weak Regionally restricted euxassay_014418_24
TS23: temporal bone Weak Regionally restricted euxassay_014418_24


Contributing Projects:
Mouse Genome Database (MGD), Gene Expression Database (GXD), Mouse Models of Human Cancer database (MMHCdb) (formerly Mouse Tumor Biology (MTB)), Gene Ontology (GO)
Citing These Resources
Funding Information
Warranty Disclaimer, Privacy Notice, Licensing, & Copyright
Send questions and comments to User Support.
last database update
03/24/2026
MGI 6.24
The Jackson Laboratory