About   Help   FAQ
Gene Expression Data
Assay Details
Assay
Reference: J:153498 Diez-Roux G, et al., A high-resolution anatomical atlas of the transcriptome in the mouse embryo. PLoS Biol. 2011;9(1):e1000582
Assay type: RNA in situ
MGI Accession ID: MGI:4822959
Gene symbol: Actr1a
Gene name: ARP1 actin-related protein 1A, centractin alpha
Probe: MGC clone 5816
Probe preparation: Antisense labelled with digoxigenin RNA
Visualized with: Alkaline phosphatase
Assay notes: Cryosections of fresh frozen material were fixed in 4% paraformaldehyde for 20 min. before further processing. A tyramide-biotin/streptavidin amplification step was included in the in situ hybridization procedure.
Results
Specimen euxassay_006567_02: embryonic day 14.5 (more )
Structure Level Pattern Image Note
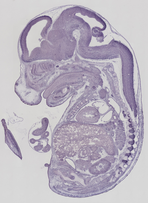
TS23: trigeminal ganglion Strong Uniform euxassay_006567_02

Specimen euxassay_006567_03: embryonic day 14.5 (more )
Structure Level Pattern Image Note
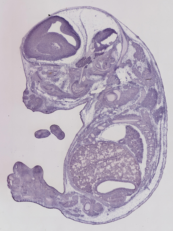
TS23: trigeminal ganglion Strong Uniform euxassay_006567_03
TS23: facial ganglion Strong Uniform euxassay_006567_03

Specimen euxassay_006567_04: embryonic day 14.5 (more )
Structure Level Pattern Image Note
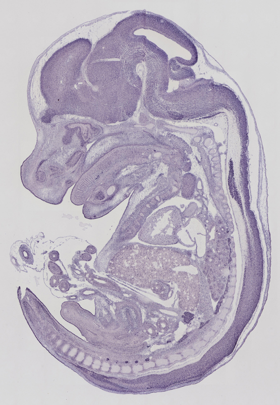
TS23: trigeminal ganglion Strong Uniform euxassay_006567_04
TS23: facial ganglion Strong Uniform euxassay_006567_04

Specimen euxassay_006567_05: embryonic day 14.5 (more )
Structure Level Pattern Image Note
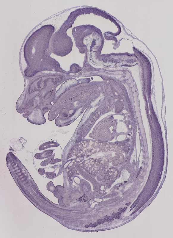
TS23: trigeminal ganglion Strong Uniform euxassay_006567_05
TS23: facial ganglion Strong Uniform euxassay_006567_05
TS23: vestibulo-cochlear ganglion Strong Uniform euxassay_006567_05
TS23: glossopharyngeal ganglion Strong Uniform euxassay_006567_05

Specimen euxassay_006567_06: embryonic day 14.5 (more )
Structure Level Pattern Image Note
TS23: glossopharyngeal ganglion Strong Uniform euxassay_006567_06
TS23: trigeminal ganglion Strong Uniform euxassay_006567_06
TS23: vestibulo-cochlear ganglion Strong Uniform euxassay_006567_06
TS23: facial ganglion Strong Uniform euxassay_006567_06
TS23: dorsal root ganglion Strong Regionally restricted euxassay_006567_06

Specimen euxassay_006567_07: embryonic day 14.5 (more )
Structure Level Pattern Image Note
TS23: vagus ganglion Strong Uniform euxassay_006567_07
TS23: trigeminal ganglion Strong Uniform euxassay_006567_07
TS23: vestibulo-cochlear ganglion Strong Uniform euxassay_006567_07
TS23: dorsal root ganglion Strong Regionally restricted euxassay_006567_07

Specimen euxassay_006567_08: embryonic day 14.5 (more )
Structure Level Pattern Image Note
TS23: trigeminal ganglion Strong Uniform euxassay_006567_08
TS23: dorsal root ganglion Strong Regionally restricted euxassay_006567_08
TS23: cervical ganglion Strong Regionally restricted euxassay_006567_08

Specimen euxassay_006567_09: embryonic day 14.5 (more )
Structure Level Pattern Image Note
TS23: trigeminal ganglion Strong Uniform euxassay_006567_09
TS23: trigeminal nerve Strong Regionally restricted euxassay_006567_09
TS23: dorsal root ganglion Strong Regionally restricted euxassay_006567_09
TS23: cervico-thoracic ganglion Strong Regionally restricted euxassay_006567_09
TS23: cervical ganglion Strong Regionally restricted euxassay_006567_09

Specimen euxassay_006567_10: embryonic day 14.5 (more )
Structure Level Pattern Image Note
TS23: trigeminal nerve Strong Regionally restricted euxassay_006567_10
TS23: dorsal root ganglion Strong Regionally restricted euxassay_006567_10

Specimen euxassay_006567_11: embryonic day 14.5 (more )
Structure Level Pattern Image Note
TS23: dorsal root ganglion Strong Regionally restricted euxassay_006567_11
TS23: cervico-thoracic ganglion Strong Regionally restricted euxassay_006567_11

Specimen euxassay_006567_12: embryonic day 14.5 (more )
Structure Level Pattern Image Note
TS23: dorsal root ganglion Strong Regionally restricted euxassay_006567_12
TS23: cervico-thoracic ganglion Strong Regionally restricted euxassay_006567_12
TS23: thoracic ganglion Strong Regionally restricted euxassay_006567_12

Specimen euxassay_006567_13: embryonic day 14.5 (more )
Structure Level Pattern Image Note
TS23: dorsal root ganglion Strong Regionally restricted euxassay_006567_13
TS23: thoracic ganglion Strong Regionally restricted euxassay_006567_13

Specimen euxassay_006567_14: embryonic day 14.5 (more )
Structure Level Pattern Image Note
TS23: thoracic ganglion Strong Regionally restricted euxassay_006567_14

Specimen euxassay_006567_15: embryonic day 14.5 (more )
Structure Level Pattern Image Note
TS23: thoracic ganglion Strong Regionally restricted euxassay_006567_15
TS23: cervico-thoracic ganglion Strong Regionally restricted euxassay_006567_15

Specimen euxassay_006567_16: embryonic day 14.5 (more )
Structure Level Pattern Image Note
TS23: dorsal root ganglion Strong Regionally restricted euxassay_006567_16
TS23: thoracic ganglion Strong Regionally restricted euxassay_006567_16
TS23: cervico-thoracic ganglion Strong Regionally restricted euxassay_006567_16
TS23: cervical ganglion Strong Regionally restricted euxassay_006567_16

Specimen euxassay_006567_17: embryonic day 14.5 (more )
Structure Level Pattern Image Note
TS23: trigeminal nerve Strong Regionally restricted euxassay_006567_17
TS23: trigeminal ganglion Strong Uniform euxassay_006567_17
TS23: vestibulo-cochlear ganglion Strong Uniform euxassay_006567_17
TS23: dorsal root ganglion Strong Regionally restricted euxassay_006567_17
TS23: cervical ganglion Strong Regionally restricted euxassay_006567_17

Specimen euxassay_006567_18: embryonic day 14.5 (more )
Structure Level Pattern Image Note
TS23: glossopharyngeal ganglion Strong Uniform euxassay_006567_18
TS23: trigeminal ganglion Strong Uniform euxassay_006567_18
TS23: vagus ganglion Strong Uniform euxassay_006567_18
TS23: vestibulo-cochlear ganglion Strong Uniform euxassay_006567_18
TS23: dorsal root ganglion Strong Regionally restricted euxassay_006567_18

Specimen euxassay_006567_19: embryonic day 14.5 (more )
Structure Level Pattern Image Note
TS23: trigeminal ganglion Strong Uniform euxassay_006567_19
TS23: facial ganglion Strong Uniform euxassay_006567_19
TS23: glossopharyngeal ganglion Strong Uniform euxassay_006567_19
TS23: vestibulo-cochlear ganglion Strong Uniform euxassay_006567_19

Specimen euxassay_006567_20: embryonic day 14.5 (more )
Structure Level Pattern Image Note
TS23: trigeminal ganglion Strong Uniform euxassay_006567_20
TS23: facial ganglion Strong Uniform euxassay_006567_20

Specimen euxassay_006567_21: embryonic day 14.5 (more )
Structure Level Pattern Image Note
TS23: trigeminal ganglion Strong Uniform euxassay_006567_21
TS23: facial ganglion Strong Uniform euxassay_006567_21

Specimen euxassay_006567_22: embryonic day 14.5 (more )
Structure Level Pattern Image Note
TS23: trigeminal ganglion Strong Uniform euxassay_006567_22
TS23: facial ganglion Strong Uniform euxassay_006567_22

Specimen euxassay_006567_23: embryonic day 14.5 (more )
Structure Level Pattern Image Note
TS23: trigeminal ganglion Strong Uniform euxassay_006567_23


Contributing Projects:
Mouse Genome Database (MGD), Gene Expression Database (GXD), Mouse Models of Human Cancer database (MMHCdb) (formerly Mouse Tumor Biology (MTB)), Gene Ontology (GO)
Citing These Resources
Funding Information
Warranty Disclaimer, Privacy Notice, Licensing, & Copyright
Send questions and comments to User Support.
last database update
03/24/2026
MGI 6.24
The Jackson Laboratory