About   Help   FAQ
Gene Expression Data
Assay Details
Assay
Reference: J:153498 Diez-Roux G, et al., A high-resolution anatomical atlas of the transcriptome in the mouse embryo. PLoS Biol. 2011;9(1):e1000582
Assay type: RNA in situ
MGI Accession ID: MGI:4822943
Gene symbol: Acsl5
Gene name: acyl-CoA synthetase long-chain family member 5
Probe: MGC clone 18968
Probe preparation: Antisense labelled with digoxigenin RNA
Visualized with: Alkaline phosphatase
Assay notes: Cryosections of fresh frozen material were fixed in 4% paraformaldehyde for 20 min. before further processing. A tyramide-biotin/streptavidin amplification step was included in the in situ hybridization procedure.
Results
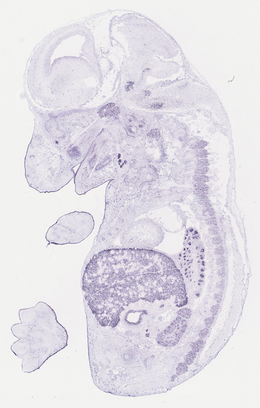
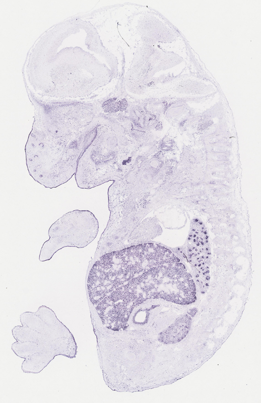
Specimen euxassay_003738_01: embryonic day 14.5 (more )
Structure Level Pattern Image Note
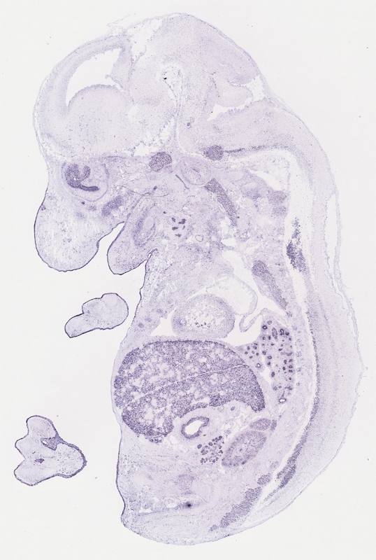
TS23: liver Moderate Regionally restricted euxassay_003738_01
TS23: pharyngo-tympanic tube Moderate Regionally restricted euxassay_003738_01
TS23: orbito-sphenoid Moderate Regionally restricted euxassay_003738_01
TS23: stomach Moderate Regionally restricted euxassay_003738_01

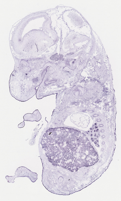
Specimen euxassay_003738_02: embryonic day 14.5 (more )
Structure Level Pattern Image Note
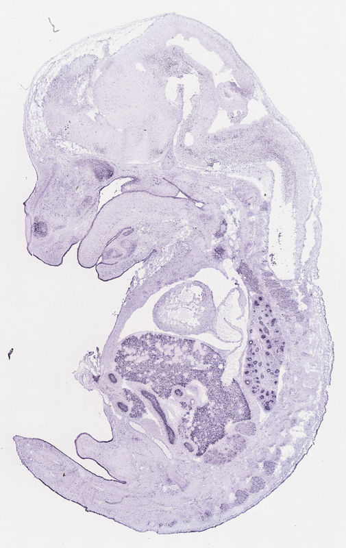
TS23: liver Moderate Regionally restricted euxassay_003738_02
TS23: pharyngo-tympanic tube Moderate Regionally restricted euxassay_003738_02
TS23: orbito-sphenoid Moderate Regionally restricted euxassay_003738_02
TS23: lung Strong Regionally restricted euxassay_003738_02
TS23: stomach Moderate Regionally restricted euxassay_003738_02

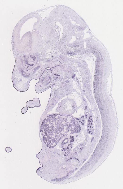
Specimen euxassay_003738_03: embryonic day 14.5 (more )
Structure Level Pattern Image Note
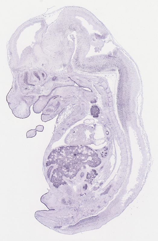
TS23: liver Moderate Regionally restricted euxassay_003738_03
TS23: pharyngo-tympanic tube Moderate Regionally restricted euxassay_003738_03
TS23: orbito-sphenoid Moderate Regionally restricted euxassay_003738_03
TS23: lung Strong Regionally restricted euxassay_003738_03
TS23: stomach Moderate Regionally restricted euxassay_003738_03
TS23: trigeminal ganglion Moderate Regionally restricted euxassay_003738_03

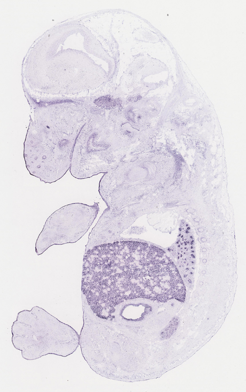
Specimen euxassay_003738_04: embryonic day 14.5 (more )
Structure Level Pattern Image Note
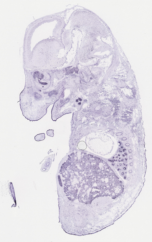
TS23: liver Moderate Regionally restricted euxassay_003738_04
TS23: pharyngo-tympanic tube Moderate Regionally restricted euxassay_003738_04
TS23: orbito-sphenoid Moderate Regionally restricted euxassay_003738_04
TS23: lung Strong Regionally restricted euxassay_003738_04
TS23: stomach Moderate Regionally restricted euxassay_003738_04
TS23: trigeminal ganglion Moderate Regionally restricted euxassay_003738_04

Specimen euxassay_003738_05: embryonic day 14.5 (more )
Structure Level Pattern Image Note
TS23: liver Moderate Regionally restricted euxassay_003738_05
TS23: orbito-sphenoid Moderate Regionally restricted euxassay_003738_05
TS23: lung Strong Regionally restricted euxassay_003738_05
TS23: stomach Moderate Regionally restricted euxassay_003738_05
TS23: metanephros Moderate Regionally restricted euxassay_003738_05
TS23: oral region Moderate Regionally restricted euxassay_003738_05
TS23: trigeminal ganglion Moderate Regionally restricted euxassay_003738_05

Specimen euxassay_003738_06: embryonic day 14.5 (more )
Structure Level Pattern Image Note
TS23: liver Moderate Regionally restricted euxassay_003738_06
TS23: orbito-sphenoid Moderate Regionally restricted euxassay_003738_06
TS23: lung Strong Regionally restricted euxassay_003738_06
TS23: stomach Moderate Regionally restricted euxassay_003738_06
TS23: submandibular gland primordium Strong Regionally restricted euxassay_003738_06
TS23: metanephros Moderate Regionally restricted euxassay_003738_06
TS23: adrenal gland Moderate Regionally restricted euxassay_003738_06
TS23: oral epithelium Moderate Regionally restricted euxassay_003738_06
TS23: medulla oblongata Moderate Regionally restricted euxassay_003738_06
TS23: trigeminal ganglion Moderate Regionally restricted euxassay_003738_06

Specimen euxassay_003738_07: embryonic day 14.5 (more )
Structure Level Pattern Image Note
TS23: liver Moderate Regionally restricted euxassay_003738_07
TS23: orbito-sphenoid Moderate Regionally restricted euxassay_003738_07
TS23: lung Strong Regionally restricted euxassay_003738_07
TS23: stomach Moderate Regionally restricted euxassay_003738_07
TS23: submandibular gland primordium Strong Regionally restricted euxassay_003738_07
TS23: metanephros Moderate Regionally restricted euxassay_003738_07
TS23: adrenal gland Moderate Regionally restricted euxassay_003738_07
TS23: oral epithelium Moderate Regionally restricted euxassay_003738_07
TS23: upper jaw molar Moderate Regionally restricted euxassay_003738_07
TS23: lower jaw molar Moderate Regionally restricted euxassay_003738_07
TS23: metencephalon Moderate Regionally restricted euxassay_003738_07
TS23: medulla oblongata Moderate Regionally restricted euxassay_003738_07
TS23: trigeminal ganglion Moderate Regionally restricted euxassay_003738_07
TS23: dorsal root ganglion Moderate Regionally restricted euxassay_003738_07

Specimen euxassay_003738_08: embryonic day 14.5 (more )
Structure Level Pattern Image Note
TS23: liver Moderate Regionally restricted euxassay_003738_08
TS23: lung Strong Regionally restricted euxassay_003738_08
TS23: stomach Moderate Regionally restricted euxassay_003738_08
TS23: submandibular gland primordium Strong Regionally restricted euxassay_003738_08
TS23: olfactory epithelium Moderate Regionally restricted euxassay_003738_08
TS23: pancreas Moderate Regionally restricted euxassay_003738_08
TS23: metanephros Moderate Regionally restricted euxassay_003738_08
TS23: adrenal gland Moderate Regionally restricted euxassay_003738_08
TS23: oral epithelium Moderate Regionally restricted euxassay_003738_08
TS23: upper jaw molar Moderate Regionally restricted euxassay_003738_08
TS23: lower jaw molar Moderate Regionally restricted euxassay_003738_08
TS23: spinal cord Moderate Regionally restricted euxassay_003738_08
TS23: medulla oblongata Moderate Regionally restricted euxassay_003738_08
TS23: trigeminal ganglion Moderate Regionally restricted euxassay_003738_08
TS23: dorsal root ganglion Moderate Regionally restricted euxassay_003738_08
TS23: cervical ganglion Moderate Regionally restricted euxassay_003738_08
TS23: cervico-thoracic ganglion Moderate Regionally restricted euxassay_003738_08

Specimen euxassay_003738_09: embryonic day 14.5 (more )
Structure Level Pattern Image Note
TS23: liver Moderate Regionally restricted euxassay_003738_09
TS23: lung Strong Regionally restricted euxassay_003738_09
TS23: stomach Moderate Regionally restricted euxassay_003738_09
TS23: olfactory epithelium Moderate Regionally restricted euxassay_003738_09
TS23: pancreas Strong Regionally restricted euxassay_003738_09
TS23: oral epithelium Moderate Regionally restricted euxassay_003738_09
TS23: thyroid gland Moderate Regionally restricted euxassay_003738_09
TS23: spinal cord Moderate Regionally restricted euxassay_003738_09
TS23: medulla oblongata Moderate Regionally restricted euxassay_003738_09
TS23: dorsal root ganglion Moderate Regionally restricted euxassay_003738_09

Specimen euxassay_003738_10: embryonic day 14.5 (more )
Structure Level Pattern Image Note
TS23: liver Moderate Regionally restricted euxassay_003738_10
TS23: lung Strong Regionally restricted euxassay_003738_10
TS23: olfactory epithelium Moderate Regionally restricted euxassay_003738_10
TS23: pharynx Moderate Regionally restricted euxassay_003738_10
TS23: oral epithelium Moderate Regionally restricted euxassay_003738_10
TS23: upper jaw incisor Moderate Regionally restricted euxassay_003738_10
TS23: thymus primordium Moderate Regionally restricted euxassay_003738_10
TS23: thyroid gland Moderate Regionally restricted euxassay_003738_10
TS23: spinal cord Moderate Regionally restricted euxassay_003738_10
TS23: medulla oblongata Moderate Regionally restricted euxassay_003738_10

Specimen euxassay_003738_11: embryonic day 14.5 (more )
Structure Level Pattern Image Note
TS23: liver Moderate Regionally restricted euxassay_003738_11
TS23: lung Strong Regionally restricted euxassay_003738_11
TS23: midgut Moderate Regionally restricted euxassay_003738_11
TS23: nasal cavity respiratory epithelium Moderate Regionally restricted euxassay_003738_11
TS23: olfactory epithelium Moderate Regionally restricted euxassay_003738_11
TS23: esophagus Moderate Regionally restricted euxassay_003738_11
TS23: pharynx Moderate Regionally restricted euxassay_003738_11
TS23: oral epithelium Moderate Regionally restricted euxassay_003738_11
TS23: lower jaw incisor Moderate Regionally restricted euxassay_003738_11
TS23: upper jaw incisor Moderate Regionally restricted euxassay_003738_11
TS23: thymus primordium Moderate Regionally restricted euxassay_003738_11
TS23: spinal cord Moderate Regionally restricted euxassay_003738_11
TS23: medulla oblongata Moderate Regionally restricted euxassay_003738_11
TS23: rectum Moderate Regionally restricted euxassay_003738_11
TS23: urethra Moderate Regionally restricted euxassay_003738_11 Originally this result was annotated to a male-specific term, but as the specimen was not sexed, it is likely the data annotator intended to use a non-sex specific term.

Specimen euxassay_003738_12: embryonic day 14.5 (more )
Structure Level Pattern Image Note
TS23: liver Moderate Regionally restricted euxassay_003738_12
TS23: lung Strong Regionally restricted euxassay_003738_12
TS23: midgut Moderate Regionally restricted euxassay_003738_12
TS23: nasal cavity respiratory epithelium Moderate Regionally restricted euxassay_003738_12
TS23: olfactory epithelium Moderate Regionally restricted euxassay_003738_12
TS23: esophagus Moderate Regionally restricted euxassay_003738_12
TS23: pharynx Moderate Regionally restricted euxassay_003738_12
TS23: oral epithelium Moderate Regionally restricted euxassay_003738_12
TS23: thymus primordium Moderate Regionally restricted euxassay_003738_12
TS23: spinal cord Moderate Regionally restricted euxassay_003738_12
TS23: medulla oblongata Moderate Regionally restricted euxassay_003738_12
TS23: rectum Moderate Regionally restricted euxassay_003738_12
TS23: urethra Moderate Regionally restricted euxassay_003738_12 Originally this result was annotated to a male-specific term, but as the specimen was not sexed, it is likely the data annotator intended to use a non-sex specific term.

Specimen euxassay_003738_13: embryonic day 14.5 (more )
Structure Level Pattern Image Note
TS23: liver Moderate Regionally restricted euxassay_003738_13
TS23: lung Strong Regionally restricted euxassay_003738_13
TS23: midgut Moderate Regionally restricted euxassay_003738_13
TS23: nasal septum Moderate Regionally restricted euxassay_003738_13
TS23: nasal cavity respiratory epithelium Moderate Regionally restricted euxassay_003738_13
TS23: pancreas Moderate Regionally restricted euxassay_003738_13
TS23: oral epithelium Moderate Regionally restricted euxassay_003738_13
TS23: thymus primordium Moderate Regionally restricted euxassay_003738_13
TS23: spinal cord Moderate Regionally restricted euxassay_003738_13
TS23: medulla oblongata Moderate Regionally restricted euxassay_003738_13
TS23: dorsal root ganglion Moderate Regionally restricted euxassay_003738_13
TS23: urethra Moderate Regionally restricted euxassay_003738_13 Originally this result was annotated to a male-specific term, but as the specimen was not sexed, it is likely the data annotator intended to use a non-sex specific term.

Specimen euxassay_003738_14: embryonic day 14.5 (more )
Structure Level Pattern Image Note
TS23: liver Moderate Regionally restricted euxassay_003738_14
TS23: lung Strong Regionally restricted euxassay_003738_14
TS23: midgut Moderate Regionally restricted euxassay_003738_14
TS23: nasal cavity respiratory epithelium Moderate Regionally restricted euxassay_003738_14
TS23: nasal septum Moderate Regionally restricted euxassay_003738_14
TS23: pancreas Moderate Regionally restricted euxassay_003738_14
TS23: metanephros Moderate Regionally restricted euxassay_003738_14
TS23: adrenal gland Moderate Regionally restricted euxassay_003738_14
TS23: oral epithelium Moderate Regionally restricted euxassay_003738_14
TS23: thymus primordium Moderate Regionally restricted euxassay_003738_14
TS23: spinal cord Moderate Regionally restricted euxassay_003738_14
TS23: dorsal root ganglion Moderate Regionally restricted euxassay_003738_14

Specimen euxassay_003738_15: embryonic day 14.5 (more )
Structure Level Pattern Image Note
TS23: liver Moderate Regionally restricted euxassay_003738_15
TS23: lung Strong Regionally restricted euxassay_003738_15
TS23: midgut Moderate Regionally restricted euxassay_003738_15
TS23: submandibular gland primordium Strong Regionally restricted euxassay_003738_15
TS23: nasal cavity respiratory epithelium Moderate Regionally restricted euxassay_003738_15
TS23: nasal septum Moderate Regionally restricted euxassay_003738_15
TS23: metanephros Moderate Regionally restricted euxassay_003738_15
TS23: adrenal gland Moderate Regionally restricted euxassay_003738_15
TS23: oral epithelium Moderate Regionally restricted euxassay_003738_15
TS23: dorsal root ganglion Moderate Regionally restricted euxassay_003738_15
TS23: cervical ganglion Moderate Regionally restricted euxassay_003738_15

Specimen euxassay_003738_16: embryonic day 14.5 (more )
Structure Level Pattern Image Note
TS23: liver Moderate Regionally restricted euxassay_003738_16
TS23: lung Strong Regionally restricted euxassay_003738_16
TS23: midgut Moderate Regionally restricted euxassay_003738_16
TS23: submandibular gland primordium Strong Regionally restricted euxassay_003738_16
TS23: olfactory epithelium Moderate Regionally restricted euxassay_003738_16
TS23: metanephros Moderate Regionally restricted euxassay_003738_16
TS23: oral epithelium Moderate Regionally restricted euxassay_003738_16
TS23: trigeminal ganglion Moderate Regionally restricted euxassay_003738_16
TS23: cervical ganglion Moderate Regionally restricted euxassay_003738_16

Specimen euxassay_003738_17: embryonic day 14.5 (more )
Structure Level Pattern Image Note
TS23: liver Moderate Regionally restricted euxassay_003738_17
TS23: lung Strong Regionally restricted euxassay_003738_17
TS23: midgut Moderate Regionally restricted euxassay_003738_17
TS23: submandibular gland primordium Strong Regionally restricted euxassay_003738_17
TS23: olfactory epithelium Moderate Regionally restricted euxassay_003738_17
TS23: metanephros Moderate Regionally restricted euxassay_003738_17
TS23: oral epithelium Moderate Regionally restricted euxassay_003738_17
TS23: lower jaw molar Moderate Regionally restricted euxassay_003738_17
TS23: upper jaw molar Moderate Regionally restricted euxassay_003738_17
TS23: trigeminal ganglion Moderate Regionally restricted euxassay_003738_17

Specimen euxassay_003738_18: embryonic day 14.5 (more )
Structure Level Pattern Image Note
TS23: liver Moderate Regionally restricted euxassay_003738_18
TS23: lung Strong Regionally restricted euxassay_003738_18
TS23: midgut Moderate Regionally restricted euxassay_003738_18
TS23: submandibular gland primordium Strong Regionally restricted euxassay_003738_18
TS23: olfactory epithelium Moderate Regionally restricted euxassay_003738_18
TS23: oral epithelium Moderate Regionally restricted euxassay_003738_18
TS23: trigeminal ganglion Moderate Regionally restricted euxassay_003738_18

Specimen euxassay_003738_19: embryonic day 14.5 (more )
Structure Level Pattern Image Note
TS23: liver Moderate Regionally restricted euxassay_003738_19
TS23: orbito-sphenoid Moderate Regionally restricted euxassay_003738_19
TS23: lung Strong Regionally restricted euxassay_003738_19
TS23: oral epithelium Moderate Regionally restricted euxassay_003738_19
TS23: trigeminal ganglion Moderate Regionally restricted euxassay_003738_19

Specimen euxassay_003738_20: embryonic day 14.5 (more )
Structure Level Pattern Image Note
TS23: liver Moderate Regionally restricted euxassay_003738_20
TS23: pharyngo-tympanic tube Moderate Regionally restricted euxassay_003738_20
TS23: orbito-sphenoid Moderate Regionally restricted euxassay_003738_20
TS23: lung Strong Regionally restricted euxassay_003738_20
TS23: oral epithelium Moderate Regionally restricted euxassay_003738_20
TS23: trigeminal ganglion Moderate Regionally restricted euxassay_003738_20

Specimen euxassay_003738_21: embryonic day 14.5 (more )
Structure Level Pattern Image Note
TS23: liver Moderate Regionally restricted euxassay_003738_21
TS23: pharyngo-tympanic tube Moderate Regionally restricted euxassay_003738_21
TS23: orbito-sphenoid Moderate Regionally restricted euxassay_003738_21
TS23: lung Strong Regionally restricted euxassay_003738_21
TS23: trigeminal ganglion Moderate Regionally restricted euxassay_003738_21

Specimen euxassay_003738_22: embryonic day 14.5 (more )
Structure Level Pattern Image Note
TS23: liver Moderate Regionally restricted euxassay_003738_22
TS23: pharyngo-tympanic tube Moderate Regionally restricted euxassay_003738_22
TS23: orbito-sphenoid Moderate Regionally restricted euxassay_003738_22

Specimen euxassay_003738_23: embryonic day 14.5 (more )
Structure Level Pattern Image Note
TS23: liver Moderate Regionally restricted euxassay_003738_23
TS23: pharyngo-tympanic tube Moderate Regionally restricted euxassay_003738_23
TS23: orbito-sphenoid Moderate Regionally restricted euxassay_003738_23

Specimen euxassay_003738_24: embryonic day 14.5 (more )
Structure Level Pattern Image Note
TS23: pharyngo-tympanic tube Moderate Regionally restricted euxassay_003738_24
TS23: orbito-sphenoid Moderate Regionally restricted euxassay_003738_24


Contributing Projects:
Mouse Genome Database (MGD), Gene Expression Database (GXD), Mouse Models of Human Cancer database (MMHCdb) (formerly Mouse Tumor Biology (MTB)), Gene Ontology (GO)
Citing These Resources
Funding Information
Warranty Disclaimer, Privacy Notice, Licensing, & Copyright
Send questions and comments to User Support.
last database update
03/24/2026
MGI 6.24
The Jackson Laboratory