About   Help   FAQ
Gene Expression Data
Assay Details
Assay
Reference: J:153498 Diez-Roux G, et al., A high-resolution anatomical atlas of the transcriptome in the mouse embryo. PLoS Biol. 2011;9(1):e1000582
Assay type: RNA in situ
MGI Accession ID: MGI:4822920
Gene symbol: Acly
Gene name: ATP citrate lyase
Probe: IMAGE clone 1548573
Probe preparation: Antisense labelled with digoxigenin RNA
Visualized with: Alkaline phosphatase
Assay notes: Cryosections of fresh frozen material were fixed in 4% paraformaldehyde for 20 min. before further processing. A tyramide-biotin/streptavidin amplification step was included in the in situ hybridization procedure.
Results
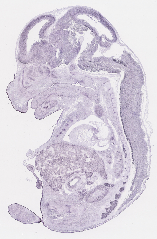
Specimen euxassay_008824_01: embryonic day 14.5 (more )
Structure Level Pattern Image Note
TS23: brain Strong Regionally restricted euxassay_008824_01
TS23: neural retina Strong Regionally restricted euxassay_008824_01

Specimen euxassay_008824_02: embryonic day 14.5 (more )
Structure Level Pattern Image Note
TS23: brain Strong Regionally restricted euxassay_008824_02
TS23: neural retina Strong Regionally restricted euxassay_008824_02

Specimen euxassay_008824_03: embryonic day 14.5 (more )
Structure Level Pattern Image Note
TS23: brain Strong Regionally restricted euxassay_008824_03
TS23: trigeminal ganglion Strong Regionally restricted euxassay_008824_03
TS23: facial ganglion Strong Regionally restricted euxassay_008824_03
TS23: neural retina Strong Regionally restricted euxassay_008824_03

Specimen euxassay_008824_04: embryonic day 14.5 (more )
Structure Level Pattern Image Note
TS23: brain Strong Regionally restricted euxassay_008824_04
TS23: trigeminal ganglion Strong Regionally restricted euxassay_008824_04
TS23: facial ganglion Strong Regionally restricted euxassay_008824_04
TS23: neural retina Strong Regionally restricted euxassay_008824_04

Specimen euxassay_008824_05: embryonic day 14.5 (more )
Structure Level Pattern Image Note
TS23: brain Strong Regionally restricted euxassay_008824_05
TS23: trigeminal ganglion Strong Regionally restricted euxassay_008824_05
TS23: glossopharyngeal ganglion Strong Regionally restricted euxassay_008824_05
TS23: vestibulo-cochlear ganglion Strong Regionally restricted euxassay_008824_05

Specimen euxassay_008824_06: embryonic day 14.5 (more )
Structure Level Pattern Image Note
TS23: brain Strong Regionally restricted euxassay_008824_06
TS23: trigeminal ganglion Strong Regionally restricted euxassay_008824_06
TS23: glossopharyngeal ganglion Strong Regionally restricted euxassay_008824_06
TS23: vestibulo-cochlear ganglion Strong Regionally restricted euxassay_008824_06
TS23: dorsal root ganglion Strong Regionally restricted euxassay_008824_06

Specimen euxassay_008824_07: embryonic day 14.5 (more )
Structure Level Pattern Image Note
TS23: brain Strong Regionally restricted euxassay_008824_07
TS23: trigeminal ganglion Strong Regionally restricted euxassay_008824_07
TS23: vagus ganglion Strong Regionally restricted euxassay_008824_07
TS23: cervical ganglion Strong Regionally restricted euxassay_008824_07
TS23: dorsal root ganglion Strong Regionally restricted euxassay_008824_07
TS23: upper jaw molar Strong Regionally restricted euxassay_008824_07
TS23: lower jaw molar Strong Regionally restricted euxassay_008824_07
TS23: adrenal medulla Strong Regionally restricted euxassay_008824_07

Specimen euxassay_008824_08: embryonic day 14.5 (more )
Structure Level Pattern Image Note
TS23: brain Strong Regionally restricted euxassay_008824_08
TS23: spinal cord Strong Regionally restricted euxassay_008824_08
TS23: trigeminal ganglion Strong Regionally restricted euxassay_008824_08
TS23: cervical ganglion Strong Regionally restricted euxassay_008824_08
TS23: cervico-thoracic ganglion Strong Regionally restricted euxassay_008824_08
TS23: dorsal root ganglion Strong Regionally restricted euxassay_008824_08
TS23: olfactory epithelium Strong Regionally restricted euxassay_008824_08
TS23: lower jaw molar Strong Regionally restricted euxassay_008824_08
TS23: adrenal medulla Strong Regionally restricted euxassay_008824_08

Specimen euxassay_008824_09: embryonic day 14.5 (more )
Structure Level Pattern Image Note
TS23: brain Strong Regionally restricted euxassay_008824_09
TS23: spinal cord Strong Regionally restricted euxassay_008824_09
TS23: trigeminal nerve Strong Regionally restricted euxassay_008824_09
TS23: cervico-thoracic ganglion Strong Regionally restricted euxassay_008824_09
TS23: dorsal root ganglion Strong Regionally restricted euxassay_008824_09
TS23: olfactory epithelium Strong Regionally restricted euxassay_008824_09
TS23: adrenal medulla Strong Regionally restricted euxassay_008824_09

Specimen euxassay_008824_10: embryonic day 14.5 (more )
Structure Level Pattern Image Note
TS23: brain Strong Regionally restricted euxassay_008824_10
TS23: spinal cord Strong Regionally restricted euxassay_008824_10
TS23: cervico-thoracic ganglion Strong Regionally restricted euxassay_008824_10
TS23: dorsal root ganglion Strong Regionally restricted euxassay_008824_10
TS23: olfactory epithelium Strong Regionally restricted euxassay_008824_10
TS23: lower jaw incisor Strong Regionally restricted euxassay_008824_10
TS23: adrenal medulla Strong Regionally restricted euxassay_008824_10

Specimen euxassay_008824_11: embryonic day 14.5 (more )
Structure Level Pattern Image Note
TS23: brain Strong Regionally restricted euxassay_008824_11
TS23: spinal cord Strong Regionally restricted euxassay_008824_11
TS23: thoracic ganglion Strong Regionally restricted euxassay_008824_11
TS23: dorsal root ganglion Strong Regionally restricted euxassay_008824_11
TS23: olfactory epithelium Strong Regionally restricted euxassay_008824_11
TS23: lower jaw incisor Strong Regionally restricted euxassay_008824_11
TS23: upper jaw incisor Strong Regionally restricted euxassay_008824_11

Specimen euxassay_008824_12: embryonic day 14.5 (more )
Structure Level Pattern Image Note
TS23: brain Strong Regionally restricted euxassay_008824_12
TS23: spinal cord Strong Regionally restricted euxassay_008824_12
TS23: dorsal root ganglion Strong Regionally restricted euxassay_008824_12
TS23: olfactory epithelium Strong Regionally restricted euxassay_008824_12
TS23: lower jaw incisor Strong Regionally restricted euxassay_008824_12
TS23: upper jaw incisor Strong Regionally restricted euxassay_008824_12

Specimen euxassay_008824_13: embryonic day 14.5 (more )
Structure Level Pattern Image Note
TS23: brain Strong Regionally restricted euxassay_008824_13
TS23: spinal cord Strong Regionally restricted euxassay_008824_13
TS23: thoracic ganglion Strong Regionally restricted euxassay_008824_13
TS23: olfactory epithelium Strong Regionally restricted euxassay_008824_13
TS23: lower jaw incisor Strong Regionally restricted euxassay_008824_13

Specimen euxassay_008824_14: embryonic day 14.5 (more )
Structure Level Pattern Image Note
TS23: brain Strong Regionally restricted euxassay_008824_14
TS23: spinal cord Strong Regionally restricted euxassay_008824_14
TS23: thoracic ganglion Strong Regionally restricted euxassay_008824_14
TS23: cervico-thoracic ganglion Strong Regionally restricted euxassay_008824_14
TS23: lower jaw incisor Strong Regionally restricted euxassay_008824_14

Specimen euxassay_008824_15: embryonic day 14.5 (more )
Structure Level Pattern Image Note
TS23: brain Strong Regionally restricted euxassay_008824_15
TS23: spinal cord Strong Regionally restricted euxassay_008824_15
TS23: cervico-thoracic ganglion Strong Regionally restricted euxassay_008824_15
TS23: cervical ganglion Strong Regionally restricted euxassay_008824_15
TS23: dorsal root ganglion Strong Regionally restricted euxassay_008824_15
TS23: olfactory epithelium Strong Regionally restricted euxassay_008824_15
TS23: lower jaw incisor Strong Regionally restricted euxassay_008824_15
TS23: upper jaw incisor Strong Regionally restricted euxassay_008824_15

Specimen euxassay_008824_16: embryonic day 14.5 (more )
Structure Level Pattern Image Note
TS23: brain Strong Regionally restricted euxassay_008824_16
TS23: spinal cord Strong Regionally restricted euxassay_008824_16
TS23: trigeminal ganglion Strong Regionally restricted euxassay_008824_16
TS23: trigeminal nerve Strong Regionally restricted euxassay_008824_16
TS23: cervical ganglion Strong Regionally restricted euxassay_008824_16
TS23: dorsal root ganglion Strong Regionally restricted euxassay_008824_16
TS23: olfactory epithelium Strong Regionally restricted euxassay_008824_16
TS23: upper jaw incisor Strong Regionally restricted euxassay_008824_16
TS23: adrenal medulla Strong Regionally restricted euxassay_008824_16

Specimen euxassay_008824_17: embryonic day 14.5 (more )
Structure Level Pattern Image Note
TS23: brain Strong Regionally restricted euxassay_008824_17
TS23: trigeminal ganglion Strong Regionally restricted euxassay_008824_17
TS23: glossopharyngeal ganglion Strong Regionally restricted euxassay_008824_17
TS23: vestibulo-cochlear ganglion Strong Regionally restricted euxassay_008824_17
TS23: dorsal root ganglion Strong Regionally restricted euxassay_008824_17
TS23: olfactory epithelium Strong Regionally restricted euxassay_008824_17
TS23: adrenal medulla Strong Regionally restricted euxassay_008824_17

Specimen euxassay_008824_18: embryonic day 14.5 (more )
Structure Level Pattern Image Note
TS23: brain Strong Regionally restricted euxassay_008824_18
TS23: trigeminal ganglion Strong Regionally restricted euxassay_008824_18
TS23: vestibulo-cochlear ganglion Strong Regionally restricted euxassay_008824_18
TS23: facial ganglion Strong Regionally restricted euxassay_008824_18
TS23: olfactory epithelium Strong Regionally restricted euxassay_008824_18
TS23: upper jaw molar Strong Regionally restricted euxassay_008824_18
TS23: lower jaw molar Strong Regionally restricted euxassay_008824_18
TS23: adrenal medulla Strong Regionally restricted euxassay_008824_18

Specimen euxassay_008824_19: embryonic day 14.5 (more )
Structure Level Pattern Image Note
TS23: brain Strong Regionally restricted euxassay_008824_19
TS23: trigeminal ganglion Strong Regionally restricted euxassay_008824_19
TS23: facial ganglion Strong Regionally restricted euxassay_008824_19

Specimen euxassay_008824_20: embryonic day 14.5 (more )
Structure Level Pattern Image Note
TS23: brain Strong Regionally restricted euxassay_008824_20
TS23: trigeminal ganglion Strong Regionally restricted euxassay_008824_20
TS23: facial ganglion Strong Regionally restricted euxassay_008824_20

Specimen euxassay_008824_21: embryonic day 14.5 (more )
Structure Level Pattern Image Note
TS23: brain Strong Regionally restricted euxassay_008824_21
TS23: trigeminal ganglion Strong Regionally restricted euxassay_008824_21

Specimen euxassay_008824_22: embryonic day 14.5 (more )
Structure Level Pattern Image Note
TS23: brain Strong Regionally restricted euxassay_008824_22

Specimen euxassay_008824_23: embryonic day 14.5 (more )
Structure Level Pattern Image Note
TS23: brain Strong Regionally restricted euxassay_008824_23

Specimen euxassay_008824_24: embryonic day 14.5 (more )
Structure Level Pattern Image Note
TS23: brain Strong Regionally restricted euxassay_008824_24


Contributing Projects:
Mouse Genome Database (MGD), Gene Expression Database (GXD), Mouse Models of Human Cancer database (MMHCdb) (formerly Mouse Tumor Biology (MTB)), Gene Ontology (GO)
Citing These Resources
Funding Information
Warranty Disclaimer, Privacy Notice, Licensing, & Copyright
Send questions and comments to User Support.
last database update
01/20/2026
MGI 6.24
The Jackson Laboratory