About   Help   FAQ
Gene Expression Data
Assay Details
Assay
Reference: J:153498 Diez-Roux G, et al., A high-resolution anatomical atlas of the transcriptome in the mouse embryo. PLoS Biol. 2011;9(1):e1000582
Assay type: RNA in situ
MGI Accession ID: MGI:4822919
Gene symbol: Ache
Gene name: acetylcholinesterase
Probe: MGC clone 54443
Probe preparation: Antisense labelled with digoxigenin RNA
Visualized with: Alkaline phosphatase
Assay notes: Cryosections of fresh frozen material were fixed in 4% paraformaldehyde for 20 min. before further processing. A tyramide-biotin/streptavidin amplification step was included in the in situ hybridization procedure.
Results
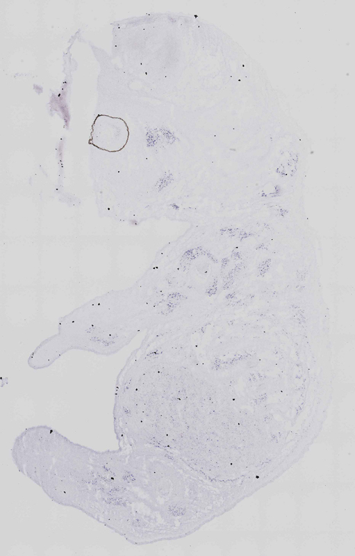
Specimen euxassay_004064_01: embryonic day 14.5 (more )
Structure Level Pattern Image Note
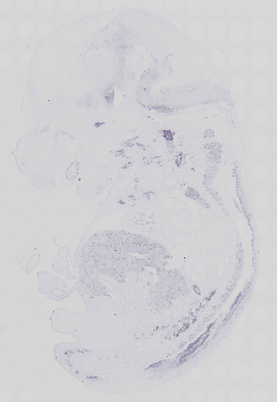
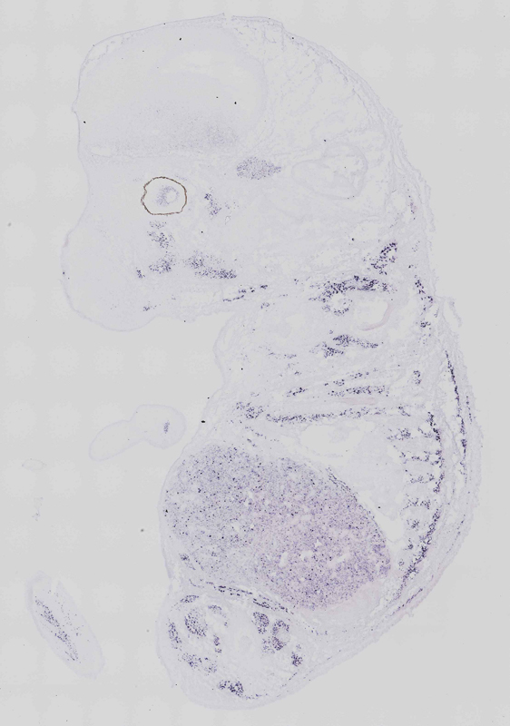
TS23: vertebral axis musculature Strong Regionally restricted euxassay_004064_01
TS23: head mesenchyme Strong Regionally restricted euxassay_004064_01
TS23: trigeminal ganglion Moderate Regionally restricted euxassay_004064_01

Specimen euxassay_004064_02: embryonic day 14.5 (more )
Structure Level Pattern Image Note
TS23: vertebral axis musculature Strong Regionally restricted euxassay_004064_02
TS23: head mesenchyme Strong Regionally restricted euxassay_004064_02
TS23: trigeminal ganglion Moderate Regionally restricted euxassay_004064_02

Specimen euxassay_004064_03: embryonic day 14.5 (more )
Structure Level Pattern Image Note
TS23: vertebral axis musculature Strong Regionally restricted euxassay_004064_03
TS23: head mesenchyme Strong Regionally restricted euxassay_004064_03
TS23: trigeminal ganglion Moderate Regionally restricted euxassay_004064_03

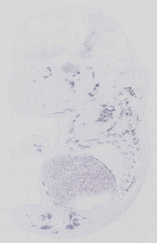
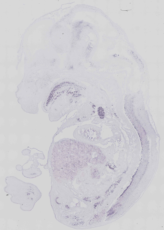
Specimen euxassay_004064_04: embryonic day 14.5 (more )
Structure Level Pattern Image Note
TS23: vertebral axis musculature Strong Regionally restricted euxassay_004064_04
TS23: head mesenchyme Strong Regionally restricted euxassay_004064_04
TS23: trigeminal ganglion Moderate Regionally restricted euxassay_004064_04
TS23: vestibulo-cochlear ganglion Moderate Regionally restricted euxassay_004064_04

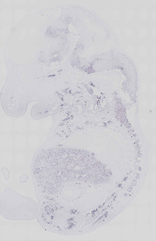
Specimen euxassay_004064_05: embryonic day 14.5 (more )
Structure Level Pattern Image Note
TS23: vertebral axis musculature Strong Regionally restricted euxassay_004064_05
TS23: head mesenchyme Strong Regionally restricted euxassay_004064_05
TS23: trigeminal ganglion Moderate Regionally restricted euxassay_004064_05
TS23: vestibulo-cochlear ganglion Moderate Regionally restricted euxassay_004064_05
TS23: vagus ganglion Strong Regionally restricted euxassay_004064_05
TS23: pons mantle layer Weak Regionally restricted euxassay_004064_05
TS23: medulla oblongata basal plate mantle layer Weak Regionally restricted euxassay_004064_05

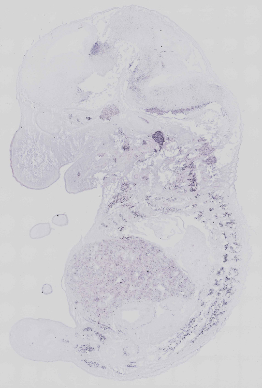
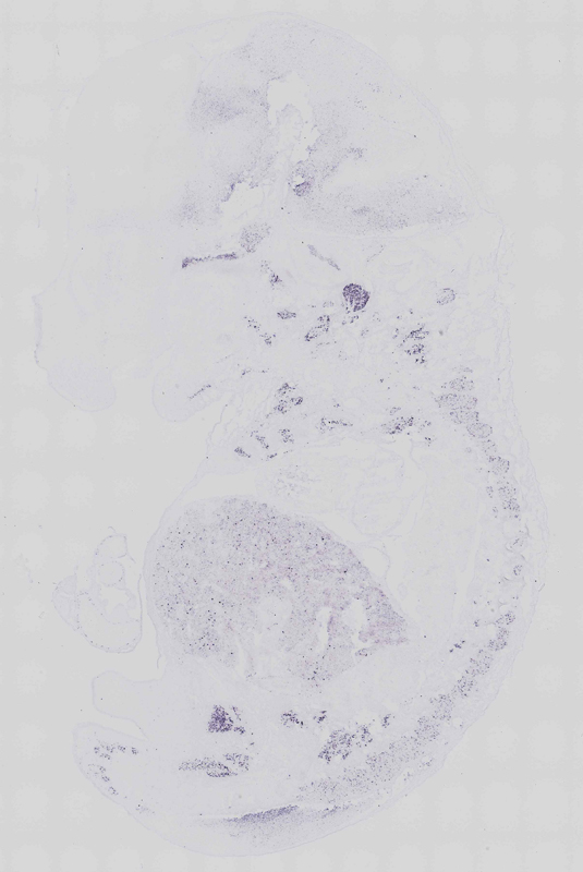
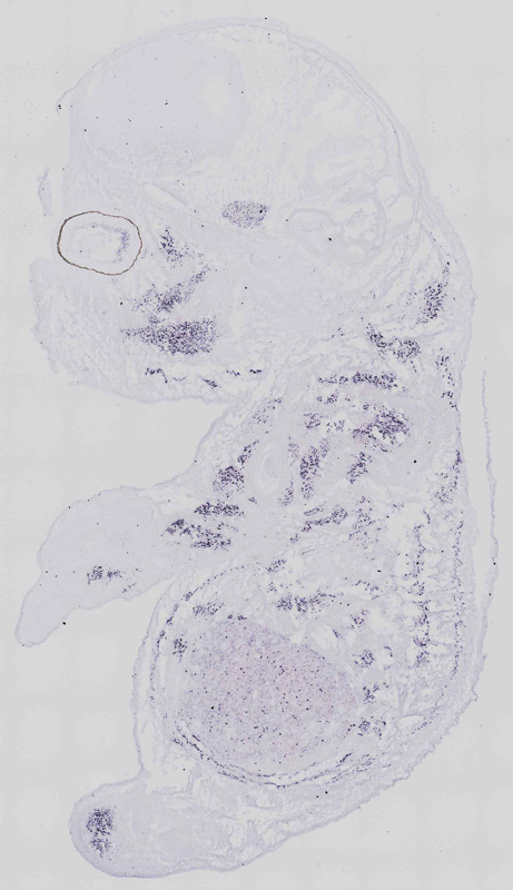
Specimen euxassay_004064_06: embryonic day 14.5 (more )
Structure Level Pattern Image Note
TS23: vertebral axis musculature Strong Regionally restricted euxassay_004064_06
TS23: head mesenchyme Strong Regionally restricted euxassay_004064_06
TS23: trigeminal ganglion Moderate Regionally restricted euxassay_004064_06
TS23: vagus ganglion Strong Regionally restricted euxassay_004064_06
TS23: medulla oblongata basal plate mantle layer Weak Regionally restricted euxassay_004064_06
TS23: pons mantle layer Weak Regionally restricted euxassay_004064_06
TS23: thalamus mantle layer Moderate Regionally restricted euxassay_004064_06

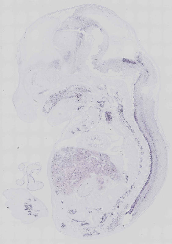
Specimen euxassay_004064_07: embryonic day 14.5 (more )
Note: Additional information for this specimen was included in the Eurexpress data submission file.
Structure Level Pattern Image Note
TS23: vertebral axis musculature Strong Regionally restricted euxassay_004064_07
TS23: head mesenchyme Strong Regionally restricted euxassay_004064_07
TS23: ventral grey horn Weak Regionally restricted euxassay_004064_07
TS23: medulla oblongata basal plate mantle layer Weak Regionally restricted euxassay_004064_07
TS23: pons mantle layer Weak Regionally restricted euxassay_004064_07
TS23: diencephalon lateral wall mantle layer Weak Regionally restricted euxassay_004064_07 basal plate
TS23: thalamus mantle layer Weak Regionally restricted euxassay_004064_07
TS23: hypothalamus mantle layer Weak Regionally restricted euxassay_004064_07

Specimen euxassay_004064_08: embryonic day 14.5 (more )
Note: Additional information for this specimen was included in the Eurexpress data submission file.
Structure Level Pattern Image Note
TS23: vertebral axis musculature Strong Regionally restricted euxassay_004064_08
TS23: cervical ganglion Moderate Regionally restricted euxassay_004064_08
TS23: cervico-thoracic ganglion Moderate Regionally restricted euxassay_004064_08
TS23: ventral grey horn Strong Regionally restricted euxassay_004064_08
TS23: diencephalon lateral wall mantle layer Weak Regionally restricted euxassay_004064_08 basal plate
TS23: hypothalamus mantle layer Weak Regionally restricted euxassay_004064_08

Specimen euxassay_004064_09: embryonic day 14.5 (more )
Note: Additional information for this specimen was included in the Eurexpress data submission file.
Structure Level Pattern Image Note
TS23: vertebral axis musculature Strong Regionally restricted euxassay_004064_09
TS23: thymus primordium Strong Uniform euxassay_004064_09
TS23: tongue muscle Strong Regionally restricted euxassay_004064_09
TS23: ventral grey horn Strong Regionally restricted euxassay_004064_09
TS23: pons mantle layer Weak Regionally restricted euxassay_004064_09
TS23: diencephalon lateral wall mantle layer Weak Regionally restricted euxassay_004064_09 basal plate
TS23: hypothalamus mantle layer Weak Regionally restricted euxassay_004064_09

Specimen euxassay_004064_10: embryonic day 14.5 (more )
Note: Additional information for this specimen was included in the Eurexpress data submission file.
Structure Level Pattern Image Note
TS23: vertebral axis musculature Strong Regionally restricted euxassay_004064_10
TS23: thymus primordium Strong Uniform euxassay_004064_10
TS23: tongue muscle Strong Regionally restricted euxassay_004064_10
TS23: thoracic ganglion Moderate Regionally restricted euxassay_004064_10
TS23: ventral grey horn Strong Regionally restricted euxassay_004064_10
TS23: diencephalon lateral wall mantle layer Weak Regionally restricted euxassay_004064_10 basal plate
TS23: hypothalamus mantle layer Weak Regionally restricted euxassay_004064_10

Specimen euxassay_004064_11: embryonic day 14.5 (more )
Note: Additional information for this specimen was included in the Eurexpress data submission file.
Structure Level Pattern Image Note
TS23: vertebral axis musculature Strong Regionally restricted euxassay_004064_11
TS23: thymus primordium Strong Uniform euxassay_004064_11
TS23: tongue muscle Strong Regionally restricted euxassay_004064_11
TS23: ventral grey horn Strong Regionally restricted euxassay_004064_11
TS23: pons mantle layer Weak Regionally restricted euxassay_004064_11
TS23: medulla oblongata basal plate mantle layer Weak Regionally restricted euxassay_004064_11
TS23: diencephalon lateral wall mantle layer Weak Regionally restricted euxassay_004064_11 basal plate

Specimen euxassay_004064_12: embryonic day 14.5 (more )
Note: Additional information for this specimen was included in the Eurexpress data submission file.
Structure Level Pattern Image Note
TS23: vertebral axis musculature Strong Regionally restricted euxassay_004064_12
TS23: thymus primordium Strong Uniform euxassay_004064_12
TS23: tongue muscle Moderate Regionally restricted euxassay_004064_12
TS23: cervico-thoracic ganglion Moderate Regionally restricted euxassay_004064_12
TS23: ventral grey horn Strong Regionally restricted euxassay_004064_12
TS23: pons mantle layer Weak Regionally restricted euxassay_004064_12
TS23: medulla oblongata basal plate mantle layer Weak Regionally restricted euxassay_004064_12
TS23: diencephalon lateral wall mantle layer Weak Regionally restricted euxassay_004064_12 basal plate
TS23: hypothalamus mantle layer Weak Regionally restricted euxassay_004064_12

Specimen euxassay_004064_13: embryonic day 14.5 (more )
Structure Level Pattern Image Note
TS23: vertebral axis musculature Strong Regionally restricted euxassay_004064_13
TS23: head mesenchyme Strong Regionally restricted euxassay_004064_13
TS23: vagus ganglion Strong Regionally restricted euxassay_004064_13
TS23: tongue Moderate Regionally restricted euxassay_004064_13
TS23: tongue muscle Moderate Regionally restricted euxassay_004064_13
TS23: cervico-thoracic ganglion Moderate Regionally restricted euxassay_004064_13
TS23: ventral grey horn Strong Regionally restricted euxassay_004064_13
TS23: pons mantle layer Weak Regionally restricted euxassay_004064_13
TS23: medulla oblongata basal plate mantle layer Weak Regionally restricted euxassay_004064_13
TS23: hypothalamus mantle layer Weak Regionally restricted euxassay_004064_13

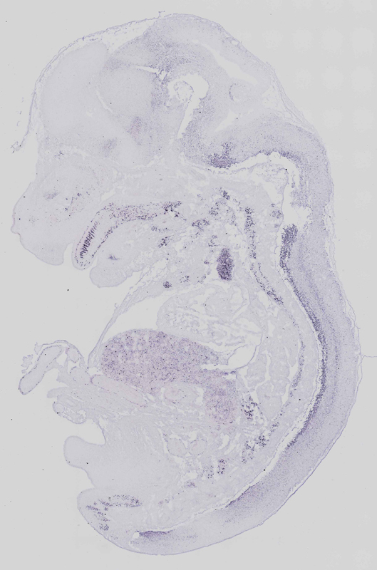
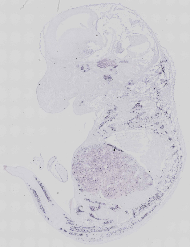
Specimen euxassay_004064_14: embryonic day 14.5 (more )
Structure Level Pattern Image Note
TS23: vertebral axis musculature Strong Regionally restricted euxassay_004064_14
TS23: head mesenchyme Strong Regionally restricted euxassay_004064_14
TS23: vagus ganglion Strong Regionally restricted euxassay_004064_14
TS23: trigeminal ganglion Moderate Regionally restricted euxassay_004064_14
TS23: vestibulo-cochlear ganglion Moderate Regionally restricted euxassay_004064_14
TS23: ventral grey horn Strong Regionally restricted euxassay_004064_14
TS23: pons mantle layer Weak Regionally restricted euxassay_004064_14
TS23: thalamus mantle layer Weak Regionally restricted euxassay_004064_14
TS23: hypothalamus mantle layer Weak Regionally restricted euxassay_004064_14
TS23: tail Strong Regionally restricted euxassay_004064_14
TS23: tail mesenchyme Strong Regionally restricted euxassay_004064_14

Specimen euxassay_004064_15: embryonic day 14.5 (more )
Structure Level Pattern Image Note
TS23: vertebral axis musculature Strong Regionally restricted euxassay_004064_15
TS23: head mesenchyme Strong Regionally restricted euxassay_004064_15
TS23: vestibulo-cochlear ganglion Moderate Regionally restricted euxassay_004064_15
TS23: trigeminal ganglion Moderate Regionally restricted euxassay_004064_15
TS23: pons mantle layer Weak Regionally restricted euxassay_004064_15
TS23: thalamus mantle layer Moderate Regionally restricted euxassay_004064_15
TS23: hypothalamus mantle layer Weak Regionally restricted euxassay_004064_15
TS23: tail mesenchyme Strong Regionally restricted euxassay_004064_15

Specimen euxassay_004064_16: embryonic day 14.5 (more )
Structure Level Pattern Image Note
TS23: vertebral axis musculature Strong Regionally restricted euxassay_004064_16
TS23: head mesenchyme Strong Regionally restricted euxassay_004064_16
TS23: trigeminal ganglion Moderate Regionally restricted euxassay_004064_16
TS23: tail mesenchyme Strong Regionally restricted euxassay_004064_16

Specimen euxassay_004064_17: embryonic day 14.5 (more )
Structure Level Pattern Image Note
TS23: vertebral axis musculature Strong Regionally restricted euxassay_004064_17
TS23: head mesenchyme Strong Regionally restricted euxassay_004064_17
TS23: trigeminal ganglion Moderate Regionally restricted euxassay_004064_17
TS23: tail mesenchyme Strong Regionally restricted euxassay_004064_17

Specimen euxassay_004064_18: embryonic day 14.5 (more )
Structure Level Pattern Image Note
TS23: vertebral axis musculature Strong Regionally restricted euxassay_004064_18
TS23: head mesenchyme Strong Regionally restricted euxassay_004064_18
TS23: trigeminal ganglion Moderate Regionally restricted euxassay_004064_18
TS23: tail mesenchyme Strong Regionally restricted euxassay_004064_18

Specimen euxassay_004064_19: embryonic day 14.5 (more )
Structure Level Pattern Image Note
TS23: vertebral axis musculature Strong Regionally restricted euxassay_004064_19
TS23: head mesenchyme Strong Regionally restricted euxassay_004064_19
TS23: trigeminal ganglion Moderate Regionally restricted euxassay_004064_19
TS23: tail mesenchyme Strong Regionally restricted euxassay_004064_19

Specimen euxassay_004064_20: embryonic day 14.5 (more )
Structure Level Pattern Image Note
TS23: vertebral axis musculature Weak Regionally restricted euxassay_004064_20
TS23: head mesenchyme Weak Regionally restricted euxassay_004064_20

Specimen euxassay_004064_21: embryonic day 14.5 (more )
Structure Level Pattern Image Note
TS23: vertebral axis musculature Weak Regionally restricted euxassay_004064_21
TS23: head mesenchyme Weak Regionally restricted euxassay_004064_21


Contributing Projects:
Mouse Genome Database (MGD), Gene Expression Database (GXD), Mouse Models of Human Cancer database (MMHCdb) (formerly Mouse Tumor Biology (MTB)), Gene Ontology (GO)
Citing These Resources
Funding Information
Warranty Disclaimer, Privacy Notice, Licensing, & Copyright
Send questions and comments to User Support.
last database update
01/28/2026
MGI 6.24
The Jackson Laboratory