About   Help   FAQ
Gene Expression Data
Assay Details
Assay
Reference: J:153498 Diez-Roux G, et al., A high-resolution anatomical atlas of the transcriptome in the mouse embryo. PLoS Biol. 2011;9(1):e1000582
Assay type: RNA in situ
MGI Accession ID: MGI:4822898
Gene symbol: Acadl
Gene name: acyl-Coenzyme A dehydrogenase, long-chain
Probe: MGC clone 36219
Probe preparation: Antisense labelled with digoxigenin RNA
Visualized with: Alkaline phosphatase
Assay notes: Cryosections of fresh frozen material were fixed in 4% paraformaldehyde for 20 min. before further processing. A tyramide-biotin/streptavidin amplification step was included in the in situ hybridization procedure.
Results
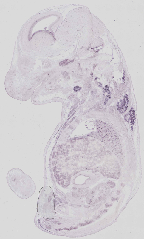
Specimen euxassay_005037_01: embryonic day 14.5 (more )
Structure Level Pattern Image Note
TS23: vertebral axis musculature Moderate Regionally restricted euxassay_005037_01
TS23: head mesenchyme Moderate Regionally restricted euxassay_005037_01
TS23: telencephalon ventricular layer Moderate Regionally restricted euxassay_005037_01

Specimen euxassay_005037_02: embryonic day 14.5 (more )
Structure Level Pattern Image Note
TS23: vertebral axis musculature Moderate Regionally restricted euxassay_005037_02
TS23: head mesenchyme Moderate Regionally restricted euxassay_005037_02
TS23: telencephalon ventricular layer Moderate Regionally restricted euxassay_005037_02

Specimen euxassay_005037_03: embryonic day 14.5 (more )
Structure Level Pattern Image Note
TS23: head mesenchyme Moderate Regionally restricted euxassay_005037_03
TS23: vertebral axis musculature Moderate Regionally restricted euxassay_005037_03
TS23: trigeminal ganglion Moderate Regionally restricted euxassay_005037_03
TS23: telencephalon ventricular layer Moderate Regionally restricted euxassay_005037_03
TS23: metencephalon rest of alar plate ventricular layer Moderate Regionally restricted euxassay_005037_03
TS23: left lung Weak Regionally restricted euxassay_005037_03

Specimen euxassay_005037_04: embryonic day 14.5 (more )
Structure Level Pattern Image Note
TS23: vertebral axis musculature Moderate Regionally restricted euxassay_005037_04
TS23: head mesenchyme Moderate Regionally restricted euxassay_005037_04
TS23: trigeminal ganglion Moderate Regionally restricted euxassay_005037_04
TS23: facial ganglion Moderate Regionally restricted euxassay_005037_04
TS23: renal calyx Moderate Regionally restricted euxassay_005037_04
TS23: telencephalon ventricular layer Moderate Regionally restricted euxassay_005037_04
TS23: metencephalon rest of alar plate ventricular layer Moderate Regionally restricted euxassay_005037_04
TS23: left lung Weak Regionally restricted euxassay_005037_04

Specimen euxassay_005037_05: embryonic day 14.5 (more )
Structure Level Pattern Image Note
TS23: head mesenchyme Moderate Regionally restricted euxassay_005037_05
TS23: vertebral axis musculature Moderate Regionally restricted euxassay_005037_05
TS23: axial musculature Strong Regionally restricted euxassay_005037_05
TS23: trigeminal ganglion Moderate Regionally restricted euxassay_005037_05
TS23: facial ganglion Moderate Regionally restricted euxassay_005037_05
TS23: renal calyx Moderate Regionally restricted euxassay_005037_05
TS23: telencephalon ventricular layer Moderate Regionally restricted euxassay_005037_05
TS23: metencephalon rest of alar plate ventricular layer Moderate Regionally restricted euxassay_005037_05
TS23: left lung Moderate Regionally restricted euxassay_005037_05

Specimen euxassay_005037_06: embryonic day 14.5 (more )
Structure Level Pattern Image Note
TS23: vertebral axis musculature Moderate Regionally restricted euxassay_005037_06
TS23: head mesenchyme Moderate Regionally restricted euxassay_005037_06
TS23: axial musculature Strong Regionally restricted euxassay_005037_06
TS23: trigeminal ganglion Moderate Regionally restricted euxassay_005037_06
TS23: renal calyx Moderate Regionally restricted euxassay_005037_06
TS23: stomach Weak Regionally restricted euxassay_005037_06
TS23: telencephalon ventricular layer Moderate Regionally restricted euxassay_005037_06
TS23: metencephalon rest of alar plate ventricular layer Moderate Regionally restricted euxassay_005037_06
TS23: left lung Moderate Regionally restricted euxassay_005037_06

Specimen euxassay_005037_07: embryonic day 14.5 (more )
Structure Level Pattern Image Note
TS23: axial musculature Strong Regionally restricted euxassay_005037_07
TS23: vertebral axis musculature Moderate Regionally restricted euxassay_005037_07
TS23: glossopharyngeal ganglion Moderate Regionally restricted euxassay_005037_07
TS23: trigeminal ganglion Moderate Regionally restricted euxassay_005037_07
TS23: renal calyx Moderate Regionally restricted euxassay_005037_07
TS23: stomach Weak Regionally restricted euxassay_005037_07
TS23: telencephalon ventricular layer Moderate Regionally restricted euxassay_005037_07
TS23: metencephalon rest of alar plate ventricular layer Moderate Regionally restricted euxassay_005037_07
TS23: left lung Moderate Regionally restricted euxassay_005037_07

Specimen euxassay_005037_08: embryonic day 14.5 (more )
Structure Level Pattern Image Note
TS23: axial musculature Strong Regionally restricted euxassay_005037_08
TS23: vertebral axis musculature Moderate Regionally restricted euxassay_005037_08
TS23: trigeminal ganglion Moderate Regionally restricted euxassay_005037_08
TS23: glossopharyngeal ganglion Moderate Regionally restricted euxassay_005037_08
TS23: renal calyx Moderate Regionally restricted euxassay_005037_08
TS23: stomach Weak Regionally restricted euxassay_005037_08
TS23: metencephalon rest of alar plate ventricular layer Moderate Regionally restricted euxassay_005037_08
TS23: telencephalon ventricular layer Moderate Regionally restricted euxassay_005037_08
TS23: midbrain ventricular layer Moderate Regionally restricted euxassay_005037_08
TS23: pons ventricular layer Moderate Regionally restricted euxassay_005037_08
TS23: olfactory epithelium Moderate Regionally restricted euxassay_005037_08
TS23: left lung Moderate Regionally restricted euxassay_005037_08

Specimen euxassay_005037_09: embryonic day 14.5 (more )
Note: Additional information for this specimen was included in the Eurexpress data submission file.
Structure Level Pattern Image Note
TS23: vertebral axis musculature Moderate Regionally restricted euxassay_005037_09
TS23: axial musculature Strong Regionally restricted euxassay_005037_09
TS23: trigeminal ganglion Moderate Regionally restricted euxassay_005037_09
TS23: vestibulo-cochlear ganglion Moderate Regionally restricted euxassay_005037_09
TS23: renal calyx Moderate Regionally restricted euxassay_005037_09
TS23: heart ventricle Moderate Regionally restricted euxassay_005037_09
TS23: stomach Weak Regionally restricted euxassay_005037_09
TS23: medulla oblongata basal plate mantle layer Moderate Regionally restricted euxassay_005037_09 facial motor nucleus
TS23: telencephalon ventricular layer Moderate Regionally restricted euxassay_005037_09
TS23: metencephalon rest of alar plate ventricular layer Moderate Regionally restricted euxassay_005037_09
TS23: midbrain ventricular layer Moderate Regionally restricted euxassay_005037_09
TS23: pons ventricular layer Moderate Regionally restricted euxassay_005037_09
TS23: olfactory cortex ventricular layer Moderate Regionally restricted euxassay_005037_09
TS23: medulla oblongata basal plate ventricular layer Moderate Regionally restricted euxassay_005037_09
TS23: olfactory epithelium Weak Regionally restricted euxassay_005037_09
TS23: left lung Moderate Regionally restricted euxassay_005037_09

Specimen euxassay_005037_10: embryonic day 14.5 (more )
Note: Additional information for this specimen was included in the Eurexpress data submission file.
Structure Level Pattern Image Note
TS23: axial musculature Strong Regionally restricted euxassay_005037_10
TS23: vertebral axis musculature Moderate Regionally restricted euxassay_005037_10
TS23: heart ventricle Moderate Regionally restricted euxassay_005037_10
TS23: urethra Weak Regionally restricted euxassay_005037_10 Originally this result was annotated to a male-specific term, but as the specimen was not sexed, it is likely the data annotator intended to use a non-sex specific term.
TS23: stomach Weak Regionally restricted euxassay_005037_10
TS23: midgut Weak Regionally restricted euxassay_005037_10
TS23: medulla oblongata basal plate mantle layer Weak Regionally restricted euxassay_005037_10 facial motor nucleus
TS23: midbrain ventricular layer Moderate Regionally restricted euxassay_005037_10
TS23: pons ventricular layer Moderate Regionally restricted euxassay_005037_10
TS23: metencephalon rest of alar plate ventricular layer Moderate Regionally restricted euxassay_005037_10
TS23: telencephalon ventricular layer Moderate Regionally restricted euxassay_005037_10
TS23: olfactory cortex ventricular layer Moderate Regionally restricted euxassay_005037_10
TS23: medulla oblongata basal plate ventricular layer Moderate Regionally restricted euxassay_005037_10
TS23: olfactory epithelium Weak Regionally restricted euxassay_005037_10
TS23: left lung Moderate Regionally restricted euxassay_005037_10

Specimen euxassay_005037_11: embryonic day 14.5 (more )
Note: Additional information for this specimen was included in the Eurexpress data submission file.
Structure Level Pattern Image Note
TS23: vertebral axis musculature Moderate Regionally restricted euxassay_005037_11
TS23: heart ventricle Moderate Regionally restricted euxassay_005037_11
TS23: tongue muscle Weak Regionally restricted euxassay_005037_11
TS23: bladder Strong Regionally restricted euxassay_005037_11
TS23: urethra Weak Regionally restricted euxassay_005037_11 Originally this result was annotated to a male-specific term, but as the specimen was not sexed, it is likely the data annotator intended to use a non-sex specific term.
TS23: rectum Weak Regionally restricted euxassay_005037_11
TS23: midgut Weak Regionally restricted euxassay_005037_11
TS23: hindgut Weak Regionally restricted euxassay_005037_11
TS23: medulla oblongata basal plate mantle layer Moderate Regionally restricted euxassay_005037_11 facial motor nucleus
TS23: olfactory cortex ventricular layer Moderate Regionally restricted euxassay_005037_11
TS23: telencephalon ventricular layer Moderate Regionally restricted euxassay_005037_11
TS23: metencephalon rest of alar plate ventricular layer Moderate Regionally restricted euxassay_005037_11
TS23: pons ventricular layer Moderate Regionally restricted euxassay_005037_11
TS23: midbrain ventricular layer Moderate Regionally restricted euxassay_005037_11
TS23: hypothalamus ventricular layer Moderate Regionally restricted euxassay_005037_11
TS23: diencephalon lateral wall ventricular layer Moderate Regionally restricted euxassay_005037_11
TS23: medulla oblongata basal plate ventricular layer Moderate Regionally restricted euxassay_005037_11
TS23: olfactory epithelium Weak Regionally restricted euxassay_005037_11
TS23: left lung Moderate Regionally restricted euxassay_005037_11
TS23: aorta Moderate Regionally restricted euxassay_005037_11

Specimen euxassay_005037_12: embryonic day 14.5 (more )
Structure Level Pattern Image Note
TS23: vertebral axis musculature Moderate Regionally restricted euxassay_005037_12
TS23: heart ventricle Moderate Regionally restricted euxassay_005037_12
TS23: tongue muscle Moderate Regionally restricted euxassay_005037_12
TS23: bladder Strong Regionally restricted euxassay_005037_12
TS23: urethra Weak Regionally restricted euxassay_005037_12 Originally this result was annotated to a male-specific term, but as the specimen was not sexed, it is likely the data annotator intended to use a non-sex specific term.
TS23: midgut Moderate Regionally restricted euxassay_005037_12
TS23: hindgut Moderate Regionally restricted euxassay_005037_12
TS23: rectum Moderate Regionally restricted euxassay_005037_12
TS23: telencephalon ventricular layer Moderate Regionally restricted euxassay_005037_12
TS23: metencephalon rest of alar plate ventricular layer Moderate Regionally restricted euxassay_005037_12
TS23: pons ventricular layer Moderate Regionally restricted euxassay_005037_12
TS23: midbrain ventricular layer Moderate Regionally restricted euxassay_005037_12
TS23: hypothalamus ventricular layer Moderate Regionally restricted euxassay_005037_12
TS23: diencephalon lateral wall ventricular layer Moderate Regionally restricted euxassay_005037_12
TS23: medulla oblongata basal plate ventricular layer Moderate Regionally restricted euxassay_005037_12
TS23: nasal cavity respiratory epithelium Moderate Regionally restricted euxassay_005037_12
TS23: olfactory epithelium Moderate Regionally restricted euxassay_005037_12
TS23: right lung Moderate Regionally restricted euxassay_005037_12
TS23: thymus primordium Moderate Regionally restricted euxassay_005037_12
TS23: aorta Moderate Regionally restricted euxassay_005037_12

Specimen euxassay_005037_13: embryonic day 14.5 (more )
Structure Level Pattern Image Note
TS23: vertebral axis musculature Moderate Regionally restricted euxassay_005037_13
TS23: heart ventricle Moderate Regionally restricted euxassay_005037_13
TS23: tongue muscle Moderate Regionally restricted euxassay_005037_13
TS23: bladder Strong Regionally restricted euxassay_005037_13
TS23: midgut Moderate Regionally restricted euxassay_005037_13
TS23: hindgut Moderate Regionally restricted euxassay_005037_13
TS23: telencephalon ventricular layer Moderate Regionally restricted euxassay_005037_13
TS23: pons ventricular layer Moderate Regionally restricted euxassay_005037_13
TS23: midbrain ventricular layer Moderate Regionally restricted euxassay_005037_13
TS23: hypothalamus ventricular layer Moderate Regionally restricted euxassay_005037_13
TS23: diencephalon lateral wall ventricular layer Moderate Regionally restricted euxassay_005037_13
TS23: medulla oblongata basal plate ventricular layer Moderate Regionally restricted euxassay_005037_13
TS23: ventral grey horn Moderate Regionally restricted euxassay_005037_13
TS23: nasal cavity respiratory epithelium Moderate Regionally restricted euxassay_005037_13
TS23: right lung Moderate Regionally restricted euxassay_005037_13
TS23: thymus primordium Weak Regionally restricted euxassay_005037_13
TS23: aorta Moderate Regionally restricted euxassay_005037_13

Specimen euxassay_005037_14: embryonic day 14.5 (more )
Structure Level Pattern Image Note
TS23: vertebral axis musculature Moderate Regionally restricted euxassay_005037_14
TS23: heart ventricle Moderate Regionally restricted euxassay_005037_14
TS23: tongue muscle Moderate Regionally restricted euxassay_005037_14
TS23: bladder Strong Regionally restricted euxassay_005037_14
TS23: midgut Moderate Regionally restricted euxassay_005037_14
TS23: hindgut Moderate Regionally restricted euxassay_005037_14
TS23: telencephalon ventricular layer Moderate Regionally restricted euxassay_005037_14
TS23: midbrain ventricular layer Moderate Regionally restricted euxassay_005037_14
TS23: pons ventricular layer Moderate Regionally restricted euxassay_005037_14
TS23: medulla oblongata basal plate ventricular layer Moderate Regionally restricted euxassay_005037_14
TS23: hypothalamus ventricular layer Moderate Regionally restricted euxassay_005037_14
TS23: diencephalon lateral wall ventricular layer Moderate Regionally restricted euxassay_005037_14
TS23: ventral grey horn Moderate Regionally restricted euxassay_005037_14
TS23: right lung Moderate Regionally restricted euxassay_005037_14
TS23: thymus primordium Weak Regionally restricted euxassay_005037_14
TS23: aorta Moderate Regionally restricted euxassay_005037_14

Specimen euxassay_005037_15: embryonic day 14.5 (more )
Structure Level Pattern Image Note
TS23: vertebral axis musculature Moderate Regionally restricted euxassay_005037_15
TS23: heart ventricle Moderate Regionally restricted euxassay_005037_15
TS23: tongue muscle Moderate Regionally restricted euxassay_005037_15
TS23: midgut Moderate Regionally restricted euxassay_005037_15
TS23: hindgut Moderate Regionally restricted euxassay_005037_15
TS23: olfactory cortex ventricular layer Moderate Regionally restricted euxassay_005037_15
TS23: telencephalon ventricular layer Moderate Regionally restricted euxassay_005037_15
TS23: metencephalon rest of alar plate ventricular layer Moderate Regionally restricted euxassay_005037_15
TS23: pons ventricular layer Moderate Regionally restricted euxassay_005037_15
TS23: midbrain ventricular layer Moderate Regionally restricted euxassay_005037_15
TS23: medulla oblongata basal plate ventricular layer Moderate Regionally restricted euxassay_005037_15
TS23: ventral grey horn Moderate Regionally restricted euxassay_005037_15
TS23: nasal cavity respiratory epithelium Moderate Regionally restricted euxassay_005037_15
TS23: olfactory epithelium Moderate Regionally restricted euxassay_005037_15
TS23: right lung Weak Regionally restricted euxassay_005037_15
TS23: thymus primordium Weak Regionally restricted euxassay_005037_15

Specimen euxassay_005037_16: embryonic day 14.5 (more )
Structure Level Pattern Image Note
TS23: vertebral axis musculature Moderate Regionally restricted euxassay_005037_16
TS23: renal calyx Moderate Regionally restricted euxassay_005037_16
TS23: heart ventricle Moderate Regionally restricted euxassay_005037_16
TS23: tongue muscle Moderate Regionally restricted euxassay_005037_16
TS23: midgut Moderate Regionally restricted euxassay_005037_16
TS23: hindgut Moderate Regionally restricted euxassay_005037_16
TS23: olfactory cortex ventricular layer Moderate Regionally restricted euxassay_005037_16
TS23: telencephalon ventricular layer Moderate Regionally restricted euxassay_005037_16
TS23: midbrain ventricular layer Moderate Regionally restricted euxassay_005037_16
TS23: pons ventricular layer Moderate Regionally restricted euxassay_005037_16
TS23: metencephalon rest of alar plate ventricular layer Moderate Regionally restricted euxassay_005037_16
TS23: medulla oblongata basal plate ventricular layer Moderate Regionally restricted euxassay_005037_16
TS23: ventral grey horn Moderate Regionally restricted euxassay_005037_16
TS23: nasal cavity respiratory epithelium Moderate Regionally restricted euxassay_005037_16
TS23: olfactory epithelium Moderate Regionally restricted euxassay_005037_16
TS23: right lung Weak Regionally restricted euxassay_005037_16
TS23: thymus primordium Weak Regionally restricted euxassay_005037_16

Specimen euxassay_005037_17: embryonic day 14.5 (more )
Note: Additional information for this specimen was included in the Eurexpress data submission file.
Structure Level Pattern Image Note
TS23: vertebral axis musculature Moderate Regionally restricted euxassay_005037_17
TS23: renal calyx Moderate Regionally restricted euxassay_005037_17
TS23: heart ventricle Moderate Regionally restricted euxassay_005037_17
TS23: tongue muscle Moderate Regionally restricted euxassay_005037_17
TS23: midgut Moderate Regionally restricted euxassay_005037_17
TS23: hindgut Moderate Regionally restricted euxassay_005037_17
TS23: medulla oblongata basal plate mantle layer Moderate Regionally restricted euxassay_005037_17 facial motor nucleus
TS23: olfactory cortex ventricular layer Moderate Regionally restricted euxassay_005037_17
TS23: telencephalon ventricular layer Moderate Regionally restricted euxassay_005037_17
TS23: metencephalon rest of alar plate ventricular layer Moderate Regionally restricted euxassay_005037_17
TS23: pons ventricular layer Moderate Regionally restricted euxassay_005037_17
TS23: midbrain ventricular layer Moderate Regionally restricted euxassay_005037_17
TS23: medulla oblongata basal plate ventricular layer Moderate Regionally restricted euxassay_005037_17
TS23: ventral grey horn Moderate Regionally restricted euxassay_005037_17
TS23: olfactory epithelium Moderate Regionally restricted euxassay_005037_17
TS23: nasal cavity respiratory epithelium Moderate Regionally restricted euxassay_005037_17
TS23: right lung Weak Regionally restricted euxassay_005037_17
TS23: thymus primordium Weak Regionally restricted euxassay_005037_17

Specimen euxassay_005037_18: embryonic day 14.5 (more )
Note: Additional information for this specimen was included in the Eurexpress data submission file.
Structure Level Pattern Image Note
TS23: vertebral axis musculature Moderate Regionally restricted euxassay_005037_18
TS23: vestibulo-cochlear ganglion Moderate Regionally restricted euxassay_005037_18
TS23: trigeminal ganglion Moderate Regionally restricted euxassay_005037_18
TS23: renal calyx Moderate Regionally restricted euxassay_005037_18
TS23: heart ventricle Moderate Regionally restricted euxassay_005037_18
TS23: tongue muscle Weak Regionally restricted euxassay_005037_18
TS23: midgut Moderate Regionally restricted euxassay_005037_18
TS23: hindgut Moderate Regionally restricted euxassay_005037_18
TS23: medulla oblongata basal plate mantle layer Moderate Regionally restricted euxassay_005037_18 facial motor nucleus
TS23: pons ventricular layer Moderate Regionally restricted euxassay_005037_18
TS23: metencephalon rest of alar plate ventricular layer Moderate Regionally restricted euxassay_005037_18
TS23: telencephalon ventricular layer Moderate Regionally restricted euxassay_005037_18
TS23: medulla oblongata basal plate ventricular layer Moderate Regionally restricted euxassay_005037_18
TS23: ventral grey horn Moderate Regionally restricted euxassay_005037_18
TS23: olfactory epithelium Moderate Regionally restricted euxassay_005037_18
TS23: right lung Weak Regionally restricted euxassay_005037_18
TS23: thymus primordium Weak Regionally restricted euxassay_005037_18

Specimen euxassay_005037_19: embryonic day 14.5 (more )
Structure Level Pattern Image Note
TS23: vertebral axis musculature Moderate Regionally restricted euxassay_005037_19
TS23: axial musculature Strong Regionally restricted euxassay_005037_19
TS23: trigeminal ganglion Moderate Regionally restricted euxassay_005037_19
TS23: vestibulo-cochlear ganglion Moderate Regionally restricted euxassay_005037_19
TS23: renal calyx Moderate Regionally restricted euxassay_005037_19
TS23: heart ventricle Moderate Regionally restricted euxassay_005037_19
TS23: midgut Moderate Regionally restricted euxassay_005037_19
TS23: telencephalon ventricular layer Moderate Regionally restricted euxassay_005037_19
TS23: metencephalon rest of alar plate ventricular layer Moderate Regionally restricted euxassay_005037_19
TS23: pons ventricular layer Moderate Regionally restricted euxassay_005037_19
TS23: olfactory epithelium Moderate Regionally restricted euxassay_005037_19
TS23: right lung Weak Regionally restricted euxassay_005037_19

Specimen euxassay_005037_20: embryonic day 14.5 (more )
Structure Level Pattern Image Note
TS23: axial musculature Strong Regionally restricted euxassay_005037_20
TS23: vertebral axis musculature Moderate Regionally restricted euxassay_005037_20
TS23: vagus ganglion Moderate Regionally restricted euxassay_005037_20
TS23: trigeminal ganglion Moderate Regionally restricted euxassay_005037_20
TS23: renal calyx Moderate Regionally restricted euxassay_005037_20
TS23: heart ventricle Moderate Regionally restricted euxassay_005037_20
TS23: midgut Moderate Regionally restricted euxassay_005037_20
TS23: telencephalon ventricular layer Moderate Regionally restricted euxassay_005037_20
TS23: metencephalon rest of alar plate ventricular layer Moderate Regionally restricted euxassay_005037_20
TS23: olfactory epithelium Moderate Regionally restricted euxassay_005037_20
TS23: right lung Weak Regionally restricted euxassay_005037_20

Specimen euxassay_005037_21: embryonic day 14.5 (more )
Structure Level Pattern Image Note
TS23: vertebral axis musculature Moderate Regionally restricted euxassay_005037_21
TS23: axial musculature Strong Regionally restricted euxassay_005037_21
TS23: trigeminal ganglion Moderate Regionally restricted euxassay_005037_21
TS23: glossopharyngeal ganglion Moderate Regionally restricted euxassay_005037_21
TS23: heart ventricle Moderate Regionally restricted euxassay_005037_21
TS23: metencephalon rest of alar plate ventricular layer Moderate Regionally restricted euxassay_005037_21
TS23: telencephalon ventricular layer Moderate Regionally restricted euxassay_005037_21
TS23: right lung Weak Regionally restricted euxassay_005037_21

Specimen euxassay_005037_22: embryonic day 14.5 (more )
Structure Level Pattern Image Note
TS23: axial musculature Strong Regionally restricted euxassay_005037_22
TS23: vertebral axis musculature Moderate Regionally restricted euxassay_005037_22
TS23: trigeminal ganglion Moderate Regionally restricted euxassay_005037_22
TS23: facial ganglion Moderate Regionally restricted euxassay_005037_22
TS23: telencephalon ventricular layer Weak Regionally restricted euxassay_005037_22
TS23: metencephalon rest of alar plate ventricular layer Weak Regionally restricted euxassay_005037_22
TS23: right lung Weak Regionally restricted euxassay_005037_22

Specimen euxassay_005037_23: embryonic day 14.5 (more )
Structure Level Pattern Image Note
TS23: vertebral axis musculature Weak Regionally restricted euxassay_005037_23
TS23: head mesenchyme Weak Regionally restricted euxassay_005037_23
TS23: trigeminal ganglion Moderate Regionally restricted euxassay_005037_23
TS23: facial ganglion Moderate Regionally restricted euxassay_005037_23
TS23: telencephalon ventricular layer Weak Regionally restricted euxassay_005037_23
TS23: metencephalon rest of alar plate ventricular layer Weak Regionally restricted euxassay_005037_23
TS23: right lung Weak Regionally restricted euxassay_005037_23

Specimen euxassay_005037_24: embryonic day 14.5 (more )
Structure Level Pattern Image Note
TS23: vertebral axis musculature Weak Regionally restricted euxassay_005037_24
TS23: head mesenchyme Weak Regionally restricted euxassay_005037_24
TS23: trigeminal ganglion Moderate Regionally restricted euxassay_005037_24
TS23: telencephalon ventricular layer Weak Regionally restricted euxassay_005037_24
TS23: right lung Weak Regionally restricted euxassay_005037_24

Specimen euxassay_005037_25: embryonic day 14.5 (more )
Structure Level Pattern Image Note
TS23: vertebral axis musculature Weak Regionally restricted euxassay_005037_25
TS23: head mesenchyme Weak Regionally restricted euxassay_005037_25
TS23: right lung Weak Regionally restricted euxassay_005037_25


Contributing Projects:
Mouse Genome Database (MGD), Gene Expression Database (GXD), Mouse Models of Human Cancer database (MMHCdb) (formerly Mouse Tumor Biology (MTB)), Gene Ontology (GO)
Citing These Resources
Funding Information
Warranty Disclaimer, Privacy Notice, Licensing, & Copyright
Send questions and comments to User Support.
last database update
03/24/2026
MGI 6.24
The Jackson Laboratory