About   Help   FAQ
Gene Expression Data
Assay Details
Assay
Reference: J:153498 Diez-Roux G, et al., A high-resolution anatomical atlas of the transcriptome in the mouse embryo. PLoS Biol. 2011;9(1):e1000582
Assay type: RNA in situ
MGI Accession ID: MGI:4822878
Gene symbol: Abhd2
Gene name: abhydrolase domain containing 2
Probe: MGC clone 35944
Probe preparation: Antisense labelled with digoxigenin RNA
Visualized with: Alkaline phosphatase
Assay notes: Cryosections of fresh frozen material were fixed in 4% paraformaldehyde for 20 min. before further processing. A tyramide-biotin/streptavidin amplification step was included in the in situ hybridization procedure.
Results
Specimen euxassay_002585_01: embryonic day 14.5 (more )
Structure Level Pattern Image Note
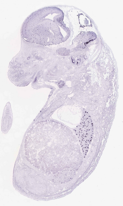
TS23: stomach Moderate Regionally restricted euxassay_002585_01
TS23: lung Strong Spotted euxassay_002585_01
TS23: cochlea Moderate Regionally restricted euxassay_002585_01
TS23: neural retina Weak Regionally restricted euxassay_002585_01

Specimen euxassay_002585_02: embryonic day 14.5 (more )
Structure Level Pattern Image Note
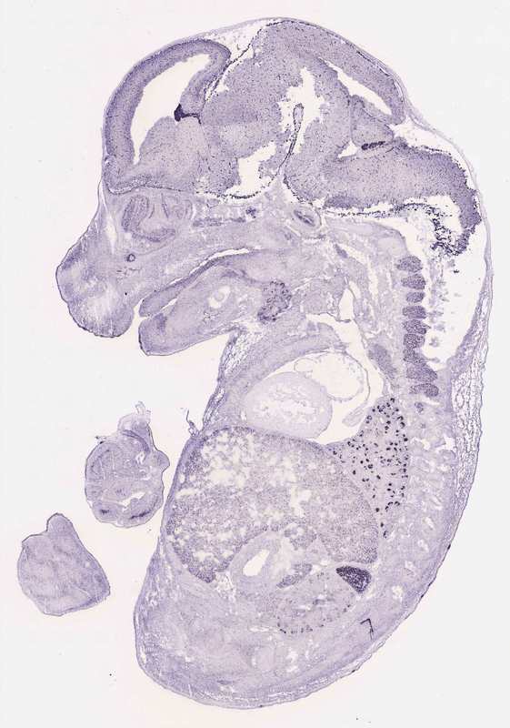
TS23: stomach Moderate Regionally restricted euxassay_002585_02
TS23: 4th ventricle lateral recess Strong Regionally restricted euxassay_002585_02
TS23: trigeminal ganglion Moderate Regionally restricted euxassay_002585_02
TS23: neural retina Weak Regionally restricted euxassay_002585_02

Specimen euxassay_002585_03: embryonic day 14.5 (more )
Structure Level Pattern Image Note
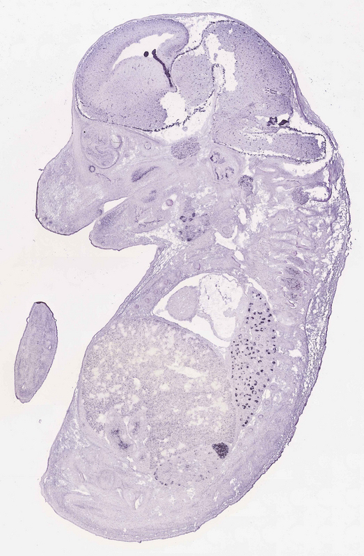
TS23: stomach Moderate Regionally restricted euxassay_002585_03
TS23: 4th ventricle lateral recess Strong Regionally restricted euxassay_002585_03
TS23: lung Strong Spotted euxassay_002585_03
TS23: trigeminal ganglion Weak Regionally restricted euxassay_002585_03
TS23: cochlea Strong Regionally restricted euxassay_002585_03

Specimen euxassay_002585_04: embryonic day 14.5 (more )
Structure Level Pattern Image Note
TS23: stomach Weak Regionally restricted euxassay_002585_04
TS23: 4th ventricle lateral recess Strong Regionally restricted euxassay_002585_04
TS23: lateral ventricle choroid plexus Strong Regionally restricted euxassay_002585_04
TS23: lung Weak Spotted euxassay_002585_04
TS23: trigeminal ganglion Weak Regionally restricted euxassay_002585_04
TS23: vestibulo-cochlear ganglion Moderate Regionally restricted euxassay_002585_04
TS23: cochlea Moderate Regionally restricted euxassay_002585_04

Specimen euxassay_002585_05: embryonic day 14.5 (more )
Structure Level Pattern Image Note
TS23: 4th ventricle lateral recess Strong Regionally restricted euxassay_002585_05
TS23: lateral ventricle choroid plexus Strong Regionally restricted euxassay_002585_05
TS23: lung Strong Spotted euxassay_002585_05
TS23: submandibular gland primordium Moderate Regionally restricted euxassay_002585_05
TS23: trigeminal ganglion Weak Regionally restricted euxassay_002585_05
TS23: vestibulo-cochlear ganglion Moderate Regionally restricted euxassay_002585_05

Specimen euxassay_002585_06: embryonic day 14.5 (more )
Structure Level Pattern Image Note
TS23: 4th ventricle lateral recess Strong Regionally restricted euxassay_002585_06
TS23: lateral ventricle choroid plexus Strong Regionally restricted euxassay_002585_06
TS23: lung Strong Spotted euxassay_002585_06
TS23: submandibular gland primordium Moderate Regionally restricted euxassay_002585_06
TS23: trigeminal ganglion Weak Regionally restricted euxassay_002585_06
TS23: vestibulo-cochlear ganglion Moderate Regionally restricted euxassay_002585_06

Specimen euxassay_002585_07: embryonic day 14.5 (more )
Structure Level Pattern Image Note
TS23: 4th ventricle lateral recess Strong Regionally restricted euxassay_002585_07
TS23: lateral ventricle choroid plexus Strong Regionally restricted euxassay_002585_07
TS23: lung Strong Spotted euxassay_002585_07
TS23: adrenal gland Strong Uniform euxassay_002585_07
TS23: dorsal root ganglion Weak Regionally restricted euxassay_002585_07
TS23: submandibular gland primordium Moderate Regionally restricted euxassay_002585_07
TS23: trigeminal ganglion Weak Regionally restricted euxassay_002585_07
TS23: vestibulo-cochlear ganglion Moderate Regionally restricted euxassay_002585_07

Specimen euxassay_002585_08: embryonic day 14.5 (more )
Structure Level Pattern Image Note
TS23: 4th ventricle lateral recess Strong Regionally restricted euxassay_002585_08
TS23: lateral ventricle choroid plexus Strong Regionally restricted euxassay_002585_08
TS23: lung Strong Spotted euxassay_002585_08
TS23: adrenal gland Strong Uniform euxassay_002585_08
TS23: dorsal root ganglion Moderate Regionally restricted euxassay_002585_08
TS23: submandibular gland primordium Moderate Regionally restricted euxassay_002585_08
TS23: olfactory epithelium Weak Regionally restricted euxassay_002585_08

Specimen euxassay_002585_09: embryonic day 14.5 (more )
Structure Level Pattern Image Note
TS23: 4th ventricle lateral recess Strong Regionally restricted euxassay_002585_09
TS23: lateral ventricle choroid plexus Strong Regionally restricted euxassay_002585_09
TS23: lung Strong Spotted euxassay_002585_09
TS23: adrenal gland Strong Uniform euxassay_002585_09
TS23: dorsal root ganglion Moderate Regionally restricted euxassay_002585_09
TS23: olfactory epithelium Moderate Regionally restricted euxassay_002585_09

Specimen euxassay_002585_10: embryonic day 14.5 (more )
Structure Level Pattern Image Note
TS23: 4th ventricle lateral recess Strong Regionally restricted euxassay_002585_10
TS23: lateral ventricle choroid plexus Strong Regionally restricted euxassay_002585_10
TS23: lung Strong Spotted euxassay_002585_10
TS23: dorsal root ganglion Moderate Regionally restricted euxassay_002585_10
TS23: olfactory epithelium Moderate Regionally restricted euxassay_002585_10
TS23: nasal cavity respiratory epithelium Moderate Regionally restricted euxassay_002585_10
TS23: naris Moderate Regionally restricted euxassay_002585_10

Specimen euxassay_002585_11: embryonic day 14.5 (more )
Structure Level Pattern Image Note
TS23: 4th ventricle lateral recess Strong Regionally restricted euxassay_002585_11
TS23: lateral ventricle choroid plexus Strong Regionally restricted euxassay_002585_11
TS23: lung Strong Spotted euxassay_002585_11
TS23: dorsal root ganglion Moderate Regionally restricted euxassay_002585_11
TS23: naris Moderate Regionally restricted euxassay_002585_11
TS23: olfactory epithelium Moderate Regionally restricted euxassay_002585_11
TS23: nasal cavity respiratory epithelium Moderate Regionally restricted euxassay_002585_11

Specimen euxassay_002585_12: embryonic day 14.5 (more )
Structure Level Pattern Image Note
TS23: 4th ventricle lateral recess Strong Regionally restricted euxassay_002585_12
TS23: lateral ventricle choroid plexus Strong Regionally restricted euxassay_002585_12

Specimen euxassay_002585_13: embryonic day 14.5 (more )
Structure Level Pattern Image Note
TS23: 4th ventricle lateral recess Strong Regionally restricted euxassay_002585_13
TS23: lateral ventricle choroid plexus Strong Regionally restricted euxassay_002585_13
TS23: lung Strong Spotted euxassay_002585_13
TS23: nasal cavity respiratory epithelium Moderate Regionally restricted euxassay_002585_13
TS23: olfactory epithelium Moderate Regionally restricted euxassay_002585_13

Specimen euxassay_002585_14: embryonic day 14.5 (more )
Structure Level Pattern Image Note
TS23: 4th ventricle lateral recess Strong Regionally restricted euxassay_002585_14
TS23: lateral ventricle choroid plexus Strong Regionally restricted euxassay_002585_14
TS23: lung Strong Spotted euxassay_002585_14
TS23: glans of male genital tubercle Weak Regionally restricted euxassay_002585_14
TS23: olfactory epithelium Moderate Regionally restricted euxassay_002585_14

Specimen euxassay_002585_15: embryonic day 14.5 (more )
Structure Level Pattern Image Note
TS23: 4th ventricle lateral recess Strong Regionally restricted euxassay_002585_15
TS23: lateral ventricle choroid plexus Strong Regionally restricted euxassay_002585_15
TS23: lung Strong Spotted euxassay_002585_15
TS23: adrenal gland Strong Uniform euxassay_002585_15
TS23: dorsal root ganglion Moderate Regionally restricted euxassay_002585_15
TS23: glans of male genital tubercle Moderate Regionally restricted euxassay_002585_15
TS23: olfactory epithelium Weak Regionally restricted euxassay_002585_15

Specimen euxassay_002585_16: embryonic day 14.5 (more )
Structure Level Pattern Image Note
TS23: 4th ventricle lateral recess Strong Regionally restricted euxassay_002585_16
TS23: lateral ventricle choroid plexus Strong Regionally restricted euxassay_002585_16
TS23: lung Strong Spotted euxassay_002585_16
TS23: adrenal gland Strong Uniform euxassay_002585_16
TS23: dorsal root ganglion Moderate Regionally restricted euxassay_002585_16
TS23: submandibular gland primordium Moderate Regionally restricted euxassay_002585_16
TS23: vestibulo-cochlear ganglion Moderate Regionally restricted euxassay_002585_16
TS23: trigeminal ganglion Moderate Regionally restricted euxassay_002585_16
TS23: olfactory epithelium Weak Regionally restricted euxassay_002585_16

Specimen euxassay_002585_17: embryonic day 14.5 (more )
Structure Level Pattern Image Note
TS23: 4th ventricle lateral recess Strong Regionally restricted euxassay_002585_17
TS23: lateral ventricle choroid plexus Strong Regionally restricted euxassay_002585_17
TS23: lung Strong Spotted euxassay_002585_17
TS23: adrenal gland Strong Uniform euxassay_002585_17
TS23: submandibular gland primordium Moderate Regionally restricted euxassay_002585_17
TS23: trigeminal ganglion Weak Regionally restricted euxassay_002585_17
TS23: vestibulo-cochlear ganglion Weak Regionally restricted euxassay_002585_17

Specimen euxassay_002585_18: embryonic day 14.5 (more )
Structure Level Pattern Image Note
TS23: 4th ventricle lateral recess Strong Regionally restricted euxassay_002585_18
TS23: lateral ventricle choroid plexus Strong Regionally restricted euxassay_002585_18
TS23: lung Strong Spotted euxassay_002585_18
TS23: submandibular gland primordium Moderate Regionally restricted euxassay_002585_18
TS23: vestibulo-cochlear ganglion Weak Regionally restricted euxassay_002585_18
TS23: trigeminal ganglion Weak Regionally restricted euxassay_002585_18
TS23: cochlea Strong Regionally restricted euxassay_002585_18

Specimen euxassay_002585_19: embryonic day 14.5 (more )
Structure Level Pattern Image Note
TS23: 4th ventricle lateral recess Strong Regionally restricted euxassay_002585_19
TS23: lung Strong Spotted euxassay_002585_19
TS23: submandibular gland primordium Moderate Regionally restricted euxassay_002585_19
TS23: trigeminal ganglion Weak Regionally restricted euxassay_002585_19
TS23: cochlea Strong Regionally restricted euxassay_002585_19

Specimen euxassay_002585_20: embryonic day 14.5 (more )
Structure Level Pattern Image Note
TS23: 4th ventricle lateral recess Strong Regionally restricted euxassay_002585_20
TS23: lung Moderate Spotted euxassay_002585_20
TS23: trigeminal ganglion Weak Regionally restricted euxassay_002585_20
TS23: cochlea Strong Regionally restricted euxassay_002585_20

Specimen euxassay_002585_21: embryonic day 14.5 (more )
Structure Level Pattern Image Note
TS23: lung Strong Spotted euxassay_002585_21
TS23: trigeminal ganglion Weak Regionally restricted euxassay_002585_21
TS23: neural retina Weak Regionally restricted euxassay_002585_21

Specimen euxassay_002585_22: embryonic day 14.5 (more )
Structure Level Pattern Image Note
TS23: lung Strong Spotted euxassay_002585_22
TS23: cochlea Moderate Regionally restricted euxassay_002585_22
TS23: neural retina Weak Regionally restricted euxassay_002585_22

Specimen euxassay_002585_23: embryonic day 14.5 (more )
Structure Level Pattern Image Note
TS23: lung Strong Spotted euxassay_002585_23
TS23: neural retina Weak Regionally restricted euxassay_002585_23


Contributing Projects:
Mouse Genome Database (MGD), Gene Expression Database (GXD), Mouse Models of Human Cancer database (MMHCdb) (formerly Mouse Tumor Biology (MTB)), Gene Ontology (GO)
Citing These Resources
Funding Information
Warranty Disclaimer, Privacy Notice, Licensing, & Copyright
Send questions and comments to User Support.
last database update
09/30/2025
MGI 6.24
The Jackson Laboratory