About   Help   FAQ
Gene Expression Data
Assay Details
Assay
Reference: J:153498 Diez-Roux G, et al., A high-resolution anatomical atlas of the transcriptome in the mouse embryo. PLoS Biol. 2011;9(1):e1000582
Assay type: RNA in situ
MGI Accession ID: MGI:4822862
Gene symbol: Abcb6
Gene name: ATP-binding cassette, sub-family B member 6
Probe: MGC clone 12132
Probe preparation: Antisense labelled with digoxigenin RNA
Visualized with: Alkaline phosphatase
Assay notes: Cryosections of fresh frozen material were fixed in 4% paraformaldehyde for 20 min. before further processing. A tyramide-biotin/streptavidin amplification step was included in the in situ hybridization procedure.
Results
Specimen euxassay_003398_01: embryonic day 14.5 (more )
Structure Level Pattern Image Note
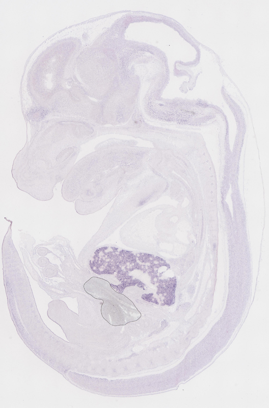
TS23: liver lobe Strong Regionally restricted euxassay_003398_01

Specimen euxassay_003398_02: embryonic day 14.5 (more )
Structure Level Pattern Image Note
TS23: liver lobe Strong Regionally restricted euxassay_003398_02

Specimen euxassay_003398_03: embryonic day 14.5 (more )
Structure Level Pattern Image Note
TS23: liver lobe Strong Regionally restricted euxassay_003398_03

Specimen euxassay_003398_04: embryonic day 14.5 (more )
Structure Level Pattern Image Note
TS23: liver lobe Strong Regionally restricted euxassay_003398_04

Specimen euxassay_003398_05: embryonic day 14.5 (more )
Structure Level Pattern Image Note
TS23: liver lobe Strong Regionally restricted euxassay_003398_05

Specimen euxassay_003398_06: embryonic day 14.5 (more )
Structure Level Pattern Image Note
TS23: liver lobe Strong Regionally restricted euxassay_003398_06

Specimen euxassay_003398_07: embryonic day 14.5 (more )
Structure Level Pattern Image Note
TS23: liver lobe Strong Regionally restricted euxassay_003398_07

Specimen euxassay_003398_08: embryonic day 14.5 (more )
Structure Level Pattern Image Note
TS23: liver lobe Strong Regionally restricted euxassay_003398_08

Specimen euxassay_003398_09: embryonic day 14.5 (more )
Note: Additional information for this specimen was included in the Eurexpress data submission file.
Structure Level Pattern Image Note
TS23: liver lobe Strong Regionally restricted euxassay_003398_09
TS23: medulla oblongata basal plate mantle layer Weak Regionally restricted euxassay_003398_09 facial motor nucleus

Specimen euxassay_003398_10: embryonic day 14.5 (more )
Note: Additional information for this specimen was included in the Eurexpress data submission file.
Structure Level Pattern Image Note
TS23: liver lobe Strong Regionally restricted euxassay_003398_10
TS23: medulla oblongata basal plate mantle layer Weak Regionally restricted euxassay_003398_10 facial motor nucleus

Specimen euxassay_003398_11: embryonic day 14.5 (more )
Structure Level Pattern Image Note
TS23: liver lobe Strong Regionally restricted euxassay_003398_11
TS23: ventral grey horn Weak Regionally restricted euxassay_003398_11

Specimen euxassay_003398_12: embryonic day 14.5 (more )
Structure Level Pattern Image Note
TS23: liver lobe Strong Regionally restricted euxassay_003398_12
TS23: ventral grey horn Weak Regionally restricted euxassay_003398_12

Specimen euxassay_003398_13: embryonic day 14.5 (more )
Structure Level Pattern Image Note
TS23: liver lobe Strong Regionally restricted euxassay_003398_13
TS23: ventral grey horn Weak Regionally restricted euxassay_003398_13

Specimen euxassay_003398_14: embryonic day 14.5 (more )
Structure Level Pattern Image Note
TS23: liver lobe Strong Regionally restricted euxassay_003398_14
TS23: ventral grey horn Weak Regionally restricted euxassay_003398_14

Specimen euxassay_003398_15: embryonic day 14.5 (more )
Structure Level Pattern Image Note
TS23: liver lobe Strong Regionally restricted euxassay_003398_15
TS23: ventral grey horn Weak Regionally restricted euxassay_003398_15

Specimen euxassay_003398_16: embryonic day 14.5 (more )
Note: Additional information for this specimen was included in the Eurexpress data submission file.
Structure Level Pattern Image Note
TS23: liver lobe Strong Regionally restricted euxassay_003398_16
TS23: medulla oblongata basal plate mantle layer Weak Regionally restricted euxassay_003398_16 facial motor nucleus
TS23: ventral grey horn Weak Regionally restricted euxassay_003398_16

Specimen euxassay_003398_17: embryonic day 14.5 (more )
Note: Additional information for this specimen was included in the Eurexpress data submission file.
Structure Level Pattern Image Note
TS23: liver lobe Strong Regionally restricted euxassay_003398_17
TS23: medulla oblongata basal plate mantle layer Weak Regionally restricted euxassay_003398_17 facial motor nucleus
TS23: ventral grey horn Weak Regionally restricted euxassay_003398_17

Specimen euxassay_003398_18: embryonic day 14.5 (more )
Structure Level Pattern Image Note
TS23: liver lobe Strong Regionally restricted euxassay_003398_18

Specimen euxassay_003398_19: embryonic day 14.5 (more )
Structure Level Pattern Image Note
TS23: liver lobe Strong Regionally restricted euxassay_003398_19

Specimen euxassay_003398_20: embryonic day 14.5 (more )
Structure Level Pattern Image Note
TS23: liver lobe Strong Regionally restricted euxassay_003398_20

Specimen euxassay_003398_21: embryonic day 14.5 (more )
Structure Level Pattern Image Note
TS23: liver lobe Strong Regionally restricted euxassay_003398_21

Specimen euxassay_003398_22: embryonic day 14.5 (more )
Structure Level Pattern Image Note
TS23: liver lobe Strong Regionally restricted euxassay_003398_22

Specimen euxassay_003398_23: embryonic day 14.5 (more )
Structure Level Pattern Image Note
TS23: liver lobe Strong Regionally restricted euxassay_003398_23

Specimen euxassay_003398_24: embryonic day 14.5 (more )
Structure Level Pattern Image Note
TS23: liver lobe Strong Regionally restricted euxassay_003398_24


Contributing Projects:
Mouse Genome Database (MGD), Gene Expression Database (GXD), Mouse Models of Human Cancer database (MMHCdb) (formerly Mouse Tumor Biology (MTB)), Gene Ontology (GO)
Citing These Resources
Funding Information
Warranty Disclaimer, Privacy Notice, Licensing, & Copyright
Send questions and comments to User Support.
last database update
01/20/2026
MGI 6.24
The Jackson Laboratory