About   Help   FAQ
Gene Expression Data
Assay Details
Assay
Reference: J:153498 Diez-Roux G, et al., A high-resolution anatomical atlas of the transcriptome in the mouse embryo. PLoS Biol. 2011;9(1):e1000582
Assay type: RNA in situ
MGI Accession ID: MGI:4822811
Gene symbol: 9630041I06Rik
Gene name: RIKEN cDNA 9630041I06 gene
Probe: T40444
Probe preparation: Antisense labelled with digoxigenin RNA
Visualized with: Alkaline phosphatase
Assay notes: Cryosections of fresh frozen material were fixed in 4% paraformaldehyde for 20 min. before further processing. A tyramide-biotin/streptavidin amplification step was included in the in situ hybridization procedure.
Results
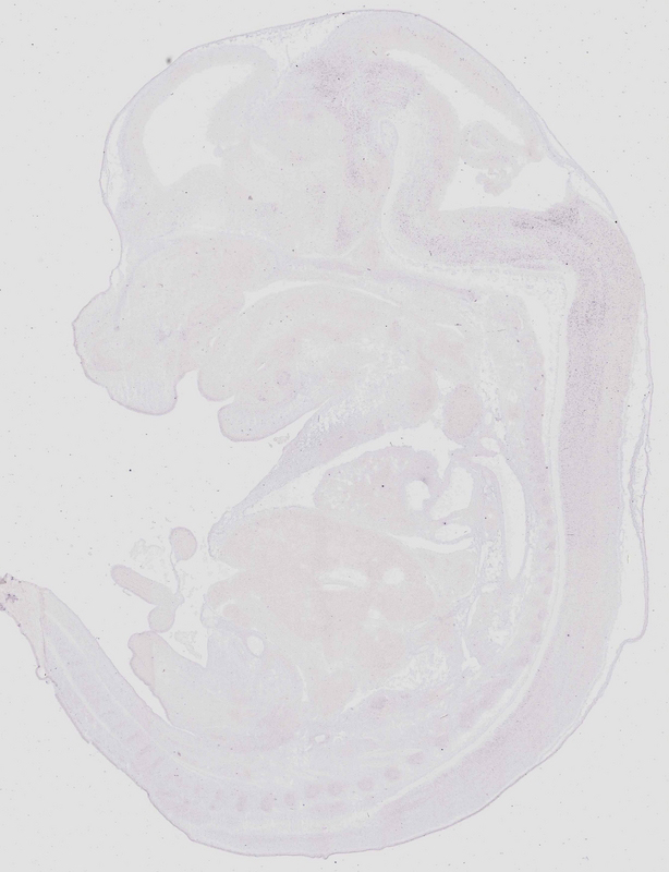
Specimen euxassay_014173_09: embryonic day 14.5 (more )
Structure Level Pattern Image Note
TS23: pons mantle layer Moderate Regionally restricted euxassay_014173_09
TS23: rest of cerebellum mantle layer Moderate Regionally restricted euxassay_014173_09
TS23: medulla oblongata basal plate mantle layer Moderate Regionally restricted euxassay_014173_09
TS23: medulla oblongata alar plate mantle layer Moderate Regionally restricted euxassay_014173_09
TS23: midbrain mantle layer Moderate Regionally restricted euxassay_014173_09
TS23: diencephalon lateral wall mantle layer Moderate Regionally restricted euxassay_014173_09
TS23: telencephalon mantle layer Moderate Regionally restricted euxassay_014173_09

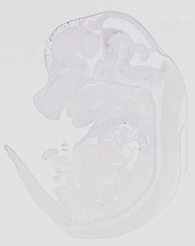
Specimen euxassay_014173_10: embryonic day 14.5 (more )
Structure Level Pattern Image Note
TS23: pons mantle layer Moderate Regionally restricted euxassay_014173_10
TS23: medulla oblongata basal plate mantle layer Moderate Regionally restricted euxassay_014173_10
TS23: medulla oblongata alar plate mantle layer Moderate Regionally restricted euxassay_014173_10
TS23: rest of cerebellum mantle layer Moderate Regionally restricted euxassay_014173_10
TS23: midbrain mantle layer Moderate Regionally restricted euxassay_014173_10
TS23: diencephalon lateral wall mantle layer Moderate Regionally restricted euxassay_014173_10
TS23: telencephalon mantle layer Moderate Regionally restricted euxassay_014173_10
TS23: spinal cord mantle layer Moderate Regionally restricted euxassay_014173_10

Specimen euxassay_014173_11: embryonic day 14.5 (more )
Structure Level Pattern Image Note
TS23: medulla oblongata basal plate mantle layer Moderate Regionally restricted euxassay_014173_11
TS23: medulla oblongata alar plate mantle layer Moderate Regionally restricted euxassay_014173_11
TS23: pons mantle layer Moderate Regionally restricted euxassay_014173_11
TS23: midbrain mantle layer Moderate Regionally restricted euxassay_014173_11
TS23: diencephalon lateral wall mantle layer Moderate Regionally restricted euxassay_014173_11
TS23: telencephalon mantle layer Moderate Regionally restricted euxassay_014173_11
TS23: spinal cord mantle layer Moderate Regionally restricted euxassay_014173_11

Specimen euxassay_014173_12: embryonic day 14.5 (more )
Structure Level Pattern Image Note
TS23: medulla oblongata basal plate mantle layer Moderate Regionally restricted euxassay_014173_12
TS23: midbrain mantle layer Moderate Regionally restricted euxassay_014173_12
TS23: diencephalon lateral wall mantle layer Moderate Regionally restricted euxassay_014173_12
TS23: spinal cord mantle layer Moderate Regionally restricted euxassay_014173_12

Specimen euxassay_014173_13: embryonic day 14.5 (more )
Structure Level Pattern Image Note
TS23: medulla oblongata basal plate mantle layer Moderate Regionally restricted euxassay_014173_13
TS23: midbrain mantle layer Moderate Regionally restricted euxassay_014173_13
TS23: diencephalon lateral wall mantle layer Moderate Regionally restricted euxassay_014173_13

Specimen euxassay_014173_14: embryonic day 14.5 (more )
Structure Level Pattern Image Note
TS23: midbrain mantle layer Moderate Regionally restricted euxassay_014173_14
TS23: diencephalon lateral wall mantle layer Moderate Regionally restricted euxassay_014173_14

Specimen euxassay_014173_15: embryonic day 14.5 (more )
Structure Level Pattern Image Note
TS23: midbrain mantle layer Moderate Regionally restricted euxassay_014173_15
TS23: diencephalon lateral wall mantle layer Moderate Regionally restricted euxassay_014173_15

Specimen euxassay_014173_16: embryonic day 14.5 (more )
Structure Level Pattern Image Note
TS23: diencephalon lateral wall mantle layer Weak Regionally restricted euxassay_014173_16

Specimen euxassay_014173_17: embryonic day 14.5 (more )
Structure Level Pattern Image Note
TS23: pons mantle layer Moderate Regionally restricted euxassay_014173_17
TS23: medulla oblongata basal plate mantle layer Moderate Regionally restricted euxassay_014173_17
TS23: medulla oblongata alar plate mantle layer Moderate Regionally restricted euxassay_014173_17
TS23: rest of cerebellum mantle layer Moderate Regionally restricted euxassay_014173_17
TS23: midbrain mantle layer Moderate Regionally restricted euxassay_014173_17
TS23: diencephalon lateral wall mantle layer Moderate Regionally restricted euxassay_014173_17
TS23: telencephalon mantle layer Moderate Regionally restricted euxassay_014173_17

Specimen euxassay_014173_18: embryonic day 14.5 (more )
Structure Level Pattern Image Note
TS23: pons mantle layer Moderate Regionally restricted euxassay_014173_18
TS23: medulla oblongata basal plate mantle layer Moderate Regionally restricted euxassay_014173_18
TS23: medulla oblongata alar plate mantle layer Moderate Regionally restricted euxassay_014173_18
TS23: rest of cerebellum mantle layer Moderate Regionally restricted euxassay_014173_18
TS23: midbrain mantle layer Moderate Regionally restricted euxassay_014173_18
TS23: diencephalon lateral wall mantle layer Moderate Regionally restricted euxassay_014173_18
TS23: telencephalon mantle layer Moderate Regionally restricted euxassay_014173_18

Specimen euxassay_014173_19: embryonic day 14.5 (more )
Structure Level Pattern Image Note
TS23: pons mantle layer Moderate Regionally restricted euxassay_014173_19
TS23: telencephalon mantle layer Moderate Regionally restricted euxassay_014173_19

Specimen euxassay_014173_20: embryonic day 14.5 (more )
Structure Level Pattern Image Note
TS23: telencephalon mantle layer Moderate Regionally restricted euxassay_014173_20


Contributing Projects:
Mouse Genome Database (MGD), Gene Expression Database (GXD), Mouse Models of Human Cancer database (MMHCdb) (formerly Mouse Tumor Biology (MTB)), Gene Ontology (GO)
Citing These Resources
Funding Information
Warranty Disclaimer, Privacy Notice, Licensing, & Copyright
Send questions and comments to User Support.
last database update
12/30/2025
MGI 6.24
The Jackson Laboratory