About   Help   FAQ
Gene Expression Data
Assay Details
Assay
Reference: J:153498 Diez-Roux G, et al., A high-resolution anatomical atlas of the transcriptome in the mouse embryo. PLoS Biol. 2011;9(1):e1000582
Assay type: RNA in situ
MGI Accession ID: MGI:4822808
Gene symbol: 9530091C08Rik
Gene name: RIKEN cDNA 9530091C08 gene
Probe: T35787
Probe preparation: Antisense labelled with digoxigenin RNA
Visualized with: Alkaline phosphatase
Assay notes: Cryosections of fresh frozen material were fixed in 4% paraformaldehyde for 20 min. before further processing. A tyramide-biotin/streptavidin amplification step was included in the in situ hybridization procedure.
Results
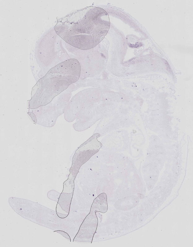
Specimen euxassay_006470_03: embryonic day 14.5 (more )
Structure Level Pattern Image Note
TS23: rest of cerebellum mantle layer Strong Regionally restricted euxassay_006470_03

Specimen euxassay_006470_04: embryonic day 14.5 (more )
Structure Level Pattern Image Note
TS23: rest of cerebellum mantle layer Strong Regionally restricted euxassay_006470_04

Specimen euxassay_006470_05: embryonic day 14.5 (more )
Structure Level Pattern Image Note
TS23: rest of cerebellum mantle layer Strong Regionally restricted euxassay_006470_05
TS23: pons mantle layer Strong Single cells euxassay_006470_05
TS23: pons ventricular layer Strong Single cells euxassay_006470_05

Specimen euxassay_006470_06: embryonic day 14.5 (more )
Structure Level Pattern Image Note
TS23: rest of cerebellum mantle layer Strong Regionally restricted euxassay_006470_06
TS23: pons mantle layer Strong Single cells euxassay_006470_06
TS23: medulla oblongata basal plate mantle layer Strong Single cells euxassay_006470_06
TS23: midbrain mantle layer Strong Single cells euxassay_006470_06
TS23: adrenal medulla Weak Single cells euxassay_006470_06

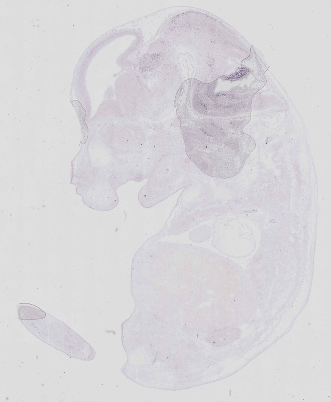
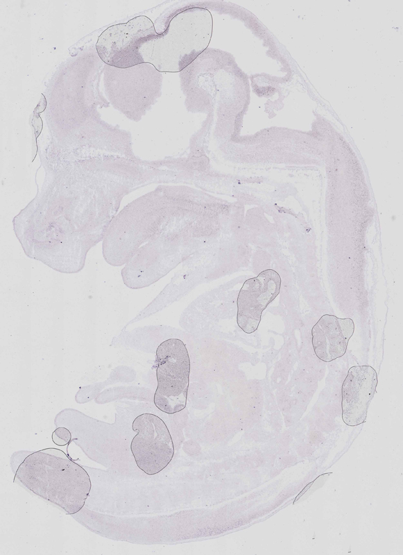
Specimen euxassay_006470_07: embryonic day 14.5 (more )
Structure Level Pattern Image Note
TS23: rest of cerebellum mantle layer Strong Regionally restricted euxassay_006470_07
TS23: medulla oblongata basal plate mantle layer Moderate Single cells euxassay_006470_07
TS23: pons mantle layer Moderate Single cells euxassay_006470_07
TS23: midbrain mantle layer Strong Single cells euxassay_006470_07
TS23: dorsal grey horn Moderate Single cells euxassay_006470_07
TS23: adrenal medulla Weak Single cells euxassay_006470_07

Specimen euxassay_006470_08: embryonic day 14.5 (more )
Structure Level Pattern Image Note
TS23: rest of cerebellum mantle layer Strong Regionally restricted euxassay_006470_08
TS23: medulla oblongata basal plate mantle layer Moderate Single cells euxassay_006470_08
TS23: midbrain mantle layer Strong Single cells euxassay_006470_08
TS23: thalamus mantle layer Moderate Single cells euxassay_006470_08
TS23: dorsal grey horn Moderate Single cells euxassay_006470_08

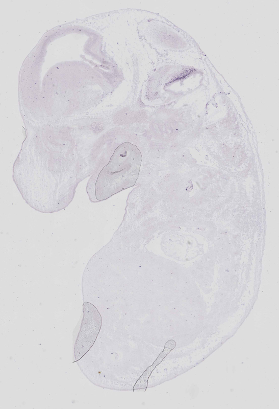
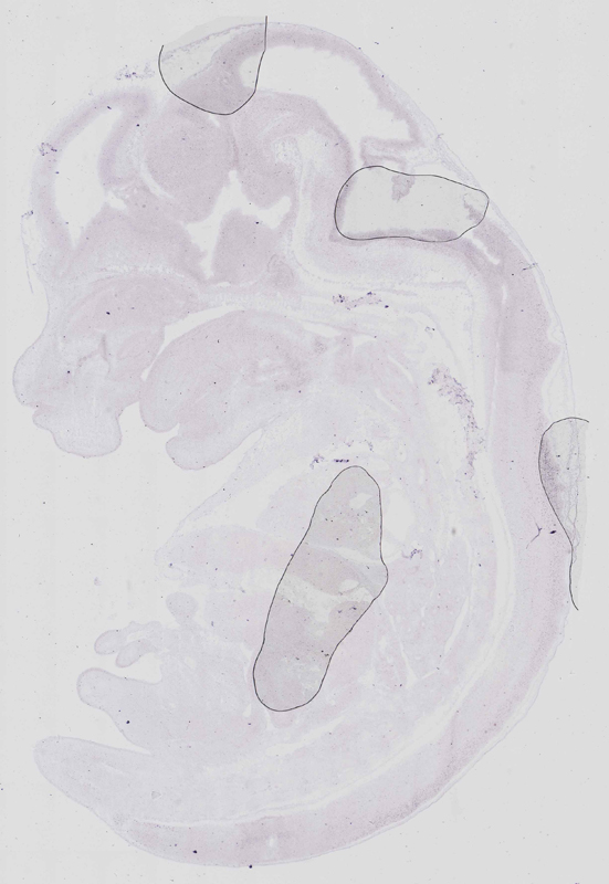
Specimen euxassay_006470_09: embryonic day 14.5 (more )
Structure Level Pattern Image Note
TS23: rest of cerebellum mantle layer Strong Regionally restricted euxassay_006470_09
TS23: midbrain mantle layer Weak Single cells euxassay_006470_09
TS23: thalamus mantle layer Moderate Single cells euxassay_006470_09
TS23: dorsal grey horn Weak Single cells euxassay_006470_09

Specimen euxassay_006470_10: embryonic day 14.5 (more )
Structure Level Pattern Image Note
TS23: rest of cerebellum mantle layer Strong Regionally restricted euxassay_006470_10
TS23: midbrain mantle layer Moderate Single cells euxassay_006470_10
TS23: medulla oblongata basal plate mantle layer Moderate Single cells euxassay_006470_10

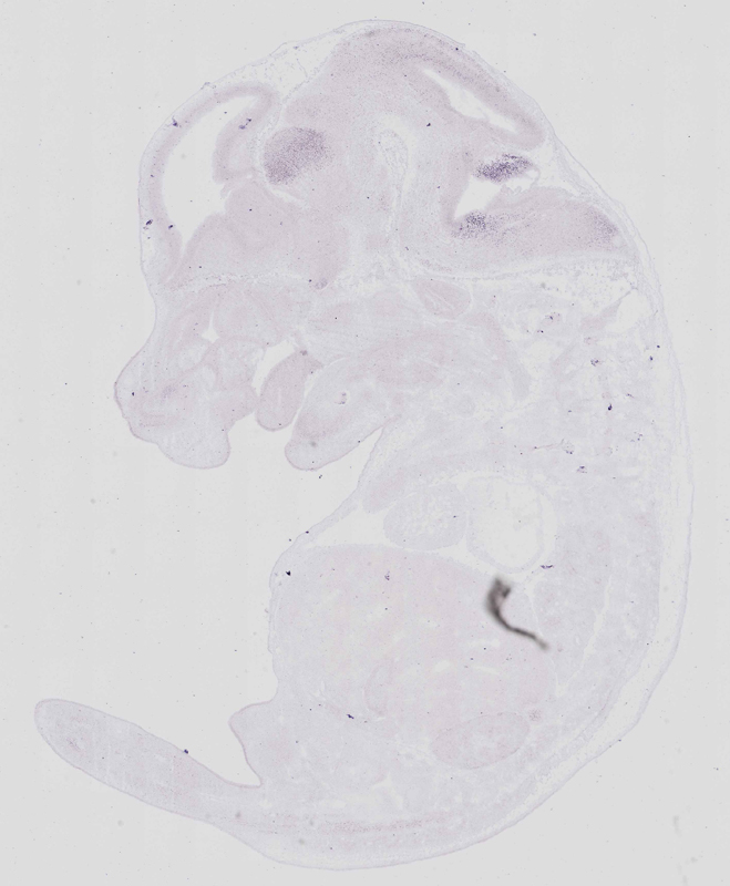
Specimen euxassay_006470_11: embryonic day 14.5 (more )
Structure Level Pattern Image Note
TS23: dorsal grey horn Weak Single cells euxassay_006470_11

Specimen euxassay_006470_12: embryonic day 14.5 (more )
Structure Level Pattern Image Note
TS23: dorsal grey horn Weak Single cells euxassay_006470_12

Specimen euxassay_006470_13: embryonic day 14.5 (more )
Structure Level Pattern Image Note
TS23: rest of cerebellum mantle layer Strong Regionally restricted euxassay_006470_13
TS23: medulla oblongata basal plate mantle layer Moderate Single cells euxassay_006470_13
TS23: midbrain mantle layer Moderate Single cells euxassay_006470_13
TS23: dorsal grey horn Moderate Single cells euxassay_006470_13
TS23: adrenal medulla Weak Single cells euxassay_006470_13

Specimen euxassay_006470_14: embryonic day 14.5 (more )
Structure Level Pattern Image Note
TS23: rest of cerebellum mantle layer Strong Regionally restricted euxassay_006470_14
TS23: medulla oblongata basal plate mantle layer Moderate Single cells euxassay_006470_14
TS23: midbrain mantle layer Moderate Single cells euxassay_006470_14
TS23: dorsal grey horn Moderate Single cells euxassay_006470_14
TS23: adrenal medulla Weak Single cells euxassay_006470_14

Specimen euxassay_006470_15: embryonic day 14.5 (more )
Structure Level Pattern Image Note
TS23: rest of cerebellum mantle layer Strong Regionally restricted euxassay_006470_15
TS23: medulla oblongata basal plate mantle layer Strong Single cells euxassay_006470_15
TS23: midbrain mantle layer Moderate Single cells euxassay_006470_15
TS23: thalamus mantle layer Strong Single cells euxassay_006470_15

Specimen euxassay_006470_16: embryonic day 14.5 (more )
Structure Level Pattern Image Note
TS23: rest of cerebellum mantle layer Strong Regionally restricted euxassay_006470_16
TS23: pons ventricular layer Strong Single cells euxassay_006470_16
TS23: pons mantle layer Strong Single cells euxassay_006470_16
TS23: midbrain mantle layer Moderate Single cells euxassay_006470_16
TS23: thalamus mantle layer Moderate Single cells euxassay_006470_16

Specimen euxassay_006470_17: embryonic day 14.5 (more )
Structure Level Pattern Image Note
TS23: rest of cerebellum mantle layer Strong Regionally restricted euxassay_006470_17
TS23: pons mantle layer Strong Single cells euxassay_006470_17
TS23: pons ventricular layer Strong Single cells euxassay_006470_17
TS23: midbrain mantle layer Moderate Single cells euxassay_006470_17

Specimen euxassay_006470_18: embryonic day 14.5 (more )
Structure Level Pattern Image Note
TS23: rest of cerebellum mantle layer Strong Regionally restricted euxassay_006470_18
TS23: pons mantle layer Strong Single cells euxassay_006470_18

Specimen euxassay_006470_19: embryonic day 14.5 (more )
Structure Level Pattern Image Note
TS23: rest of cerebellum mantle layer Strong Regionally restricted euxassay_006470_19

Specimen euxassay_006470_20: embryonic day 14.5 (more )
Structure Level Pattern Image Note
TS23: rest of cerebellum mantle layer Strong Regionally restricted euxassay_006470_20


Contributing Projects:
Mouse Genome Database (MGD), Gene Expression Database (GXD), Mouse Models of Human Cancer database (MMHCdb) (formerly Mouse Tumor Biology (MTB)), Gene Ontology (GO)
Citing These Resources
Funding Information
Warranty Disclaimer, Privacy Notice, Licensing, & Copyright
Send questions and comments to User Support.
last database update
01/28/2026
MGI 6.24
The Jackson Laboratory