About   Help   FAQ
Gene Expression Data
Assay Details
Assay
Reference: J:153498 Diez-Roux G, et al., A high-resolution anatomical atlas of the transcriptome in the mouse embryo. PLoS Biol. 2011;9(1):e1000582
Assay type: RNA in situ
MGI Accession ID: MGI:4822806
Gene symbol: Creb5
Gene name: cAMP responsive element binding protein 5
Probe: T39685
Probe preparation: Antisense labelled with digoxigenin RNA
Visualized with: Alkaline phosphatase
Assay notes: Cryosections of fresh frozen material were fixed in 4% paraformaldehyde for 20 min. before further processing. A tyramide-biotin/streptavidin amplification step was included in the in situ hybridization procedure.
Results
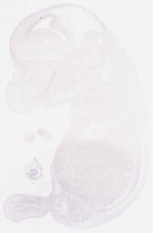
Specimen euxassay_016017_05: embryonic day 14.5 (more )
Structure Level Pattern Image Note
TS23: telencephalon ventricular layer Weak Regionally restricted euxassay_016017_05

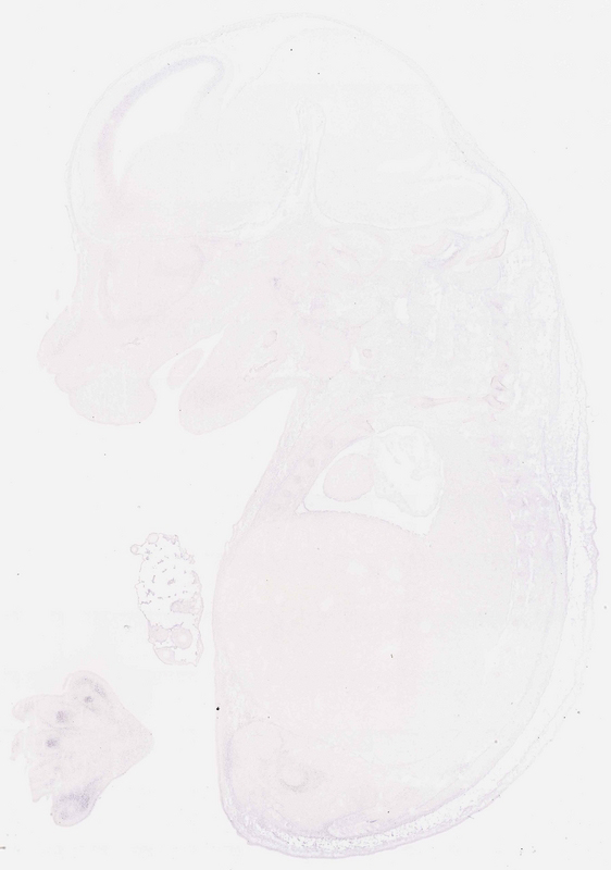
Specimen euxassay_016017_06: embryonic day 14.5 (more )
Structure Level Pattern Image Note
TS23: telencephalon ventricular layer Weak Regionally restricted euxassay_016017_06
TS23: hindlimb digit 1 phalanx Weak Regionally restricted euxassay_016017_06
TS23: hindlimb digit 2 phalanx Weak Regionally restricted euxassay_016017_06
TS23: oral epithelium Weak Regionally restricted euxassay_016017_06

Specimen euxassay_016017_07: embryonic day 14.5 (more )
Structure Level Pattern Image Note
TS23: telencephalon ventricular layer Weak Regionally restricted euxassay_016017_07
TS23: hindlimb digit 4 phalanx Weak Regionally restricted euxassay_016017_07
TS23: hindlimb digit 5 phalanx Weak Regionally restricted euxassay_016017_07
TS23: hindlimb digit 3 phalanx Weak Regionally restricted euxassay_016017_07
TS23: oral epithelium Weak Regionally restricted euxassay_016017_07

Specimen euxassay_016017_08: embryonic day 14.5 (more )
Structure Level Pattern Image Note
TS23: telencephalon ventricular layer Weak Regionally restricted euxassay_016017_08
TS23: hindlimb digit 2 phalanx Weak Regionally restricted euxassay_016017_08
TS23: hindlimb digit 3 phalanx Weak Regionally restricted euxassay_016017_08

Specimen euxassay_016017_15: embryonic day 14.5 (more )
Structure Level Pattern Image Note
TS23: telencephalon ventricular layer Weak Regionally restricted euxassay_016017_15

Specimen euxassay_016017_16: embryonic day 14.5 (more )
Structure Level Pattern Image Note
TS23: telencephalon ventricular layer Weak Regionally restricted euxassay_016017_16

Specimen euxassay_016017_17: embryonic day 14.5 (more )
Structure Level Pattern Image Note
TS23: telencephalon ventricular layer Weak Regionally restricted euxassay_016017_17
TS23: hindlimb digit 2 phalanx Weak Regionally restricted euxassay_016017_17
TS23: hindlimb digit 1 phalanx Weak Regionally restricted euxassay_016017_17
TS23: hindlimb digit 4 phalanx Weak Regionally restricted euxassay_016017_17
TS23: hindlimb digit 3 phalanx Weak Regionally restricted euxassay_016017_17

Specimen euxassay_016017_18: embryonic day 14.5 (more )
Structure Level Pattern Image Note
TS23: telencephalon ventricular layer Weak Regionally restricted euxassay_016017_18
TS23: hindlimb digit 5 phalanx Weak Regionally restricted euxassay_016017_18
TS23: hindlimb digit 3 phalanx Weak Regionally restricted euxassay_016017_18
TS23: hindlimb digit 2 phalanx Weak Regionally restricted euxassay_016017_18
TS23: hindlimb digit 1 phalanx Weak Regionally restricted euxassay_016017_18

Specimen euxassay_016017_19: embryonic day 14.5 (more )
Structure Level Pattern Image Note
TS23: telencephalon ventricular layer Weak Regionally restricted euxassay_016017_19
TS23: hindlimb digit 5 phalanx Weak Regionally restricted euxassay_016017_19
TS23: hindlimb digit 4 phalanx Weak Regionally restricted euxassay_016017_19

Specimen euxassay_016017_20: embryonic day 14.5 (more )
Structure Level Pattern Image Note
TS23: telencephalon ventricular layer Weak Regionally restricted euxassay_016017_20

Specimen euxassay_016017_21: embryonic day 14.5 (more )
Structure Level Pattern Image Note
TS23: oral epithelium Weak Regionally restricted euxassay_016017_21


Contributing Projects:
Mouse Genome Database (MGD), Gene Expression Database (GXD), Mouse Models of Human Cancer database (MMHCdb) (formerly Mouse Tumor Biology (MTB)), Gene Ontology (GO)
Citing These Resources
Funding Information
Warranty Disclaimer, Privacy Notice, Licensing, & Copyright
Send questions and comments to User Support.
last database update
01/06/2026
MGI 6.24
The Jackson Laboratory