About   Help   FAQ
Gene Expression Data
Assay Details
Assay
Reference: J:153498 Diez-Roux G, et al., A high-resolution anatomical atlas of the transcriptome in the mouse embryo. PLoS Biol. 2011;9(1):e1000582
Assay type: RNA in situ
MGI Accession ID: MGI:4822762
Gene symbol: Spaar
Gene name: small regulatory polypeptide of amino acid response
Probe: T37444
Probe preparation: Antisense labelled with digoxigenin RNA
Visualized with: Alkaline phosphatase
Assay notes: Cryosections of fresh frozen material were fixed in 4% paraformaldehyde for 20 min. before further processing. A tyramide-biotin/streptavidin amplification step was included in the in situ hybridization procedure.
Results
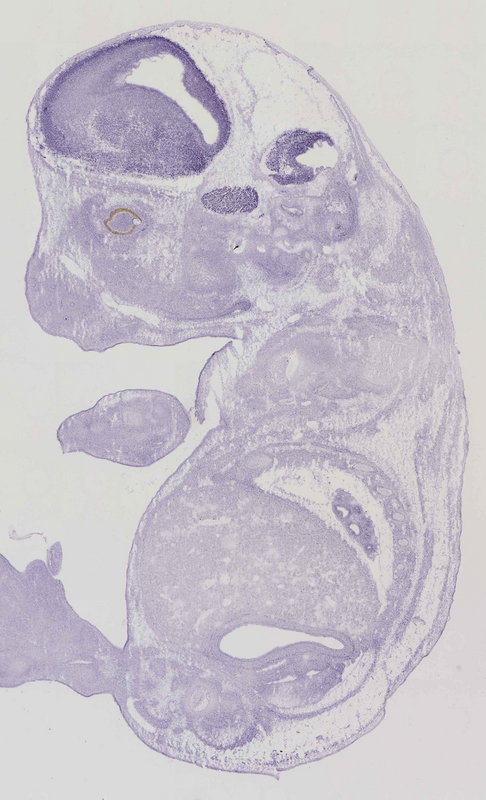
Specimen euxassay_011209_01: embryonic day 14.5 (more )
Structure Level Pattern Image Note
TS23: neural retina Strong Regionally restricted euxassay_011209_01
TS23: forebrain Strong Regionally restricted euxassay_011209_01

Specimen euxassay_011209_02: embryonic day 14.5 (more )
Structure Level Pattern Image Note
TS23: neural retina Strong Regionally restricted euxassay_011209_02
TS23: forebrain Strong Regionally restricted euxassay_011209_02

Specimen euxassay_011209_03: embryonic day 14.5 (more )
Structure Level Pattern Image Note
TS23: neural retina Strong Regionally restricted euxassay_011209_03
TS23: trigeminal ganglion Strong Regionally restricted euxassay_011209_03
TS23: hindbrain Strong Regionally restricted euxassay_011209_03
TS23: forebrain Strong Regionally restricted euxassay_011209_03

Specimen euxassay_011209_04: embryonic day 14.5 (more )
Structure Level Pattern Image Note
TS23: trigeminal ganglion Strong Regionally restricted euxassay_011209_04
TS23: hindbrain Strong Regionally restricted euxassay_011209_04
TS23: forebrain Strong Regionally restricted euxassay_011209_04

Specimen euxassay_011209_05: embryonic day 14.5 (more )
Structure Level Pattern Image Note
TS23: trigeminal ganglion Strong Regionally restricted euxassay_011209_05
TS23: facial ganglion Strong Regionally restricted euxassay_011209_05
TS23: forebrain Strong Regionally restricted euxassay_011209_05
TS23: hindbrain Strong Regionally restricted euxassay_011209_05

Specimen euxassay_011209_06: embryonic day 14.5 (more )
Structure Level Pattern Image Note
TS23: trigeminal ganglion Strong Regionally restricted euxassay_011209_06
TS23: facial ganglion Strong Regionally restricted euxassay_011209_06
TS23: hindbrain Strong Regionally restricted euxassay_011209_06
TS23: forebrain Strong Regionally restricted euxassay_011209_06
TS23: midbrain Strong Regionally restricted euxassay_011209_06

Specimen euxassay_011209_07: embryonic day 14.5 (more )
Structure Level Pattern Image Note
TS23: vestibulo-cochlear ganglion Strong Regionally restricted euxassay_011209_07
TS23: glossopharyngeal ganglion Strong Regionally restricted euxassay_011209_07
TS23: trigeminal ganglion Strong Regionally restricted euxassay_011209_07
TS23: facial ganglion Strong Regionally restricted euxassay_011209_07
TS23: midbrain Strong Regionally restricted euxassay_011209_07
TS23: hindbrain Strong Regionally restricted euxassay_011209_07
TS23: forebrain Strong Regionally restricted euxassay_011209_07

Specimen euxassay_011209_08: embryonic day 14.5 (more )
Structure Level Pattern Image Note
TS23: glossopharyngeal ganglion Strong Regionally restricted euxassay_011209_08
TS23: trigeminal ganglion Strong Regionally restricted euxassay_011209_08
TS23: vestibulo-cochlear ganglion Strong Regionally restricted euxassay_011209_08
TS23: dorsal root ganglion Strong Regionally restricted euxassay_011209_08
TS23: midbrain Strong Regionally restricted euxassay_011209_08
TS23: hindbrain Strong Regionally restricted euxassay_011209_08
TS23: forebrain Strong Regionally restricted euxassay_011209_08

Specimen euxassay_011209_09: embryonic day 14.5 (more )
Structure Level Pattern Image Note
TS23: trigeminal ganglion Strong Regionally restricted euxassay_011209_09
TS23: glossopharyngeal ganglion Strong Regionally restricted euxassay_011209_09
TS23: dorsal root ganglion Strong Regionally restricted euxassay_011209_09
TS23: midbrain Strong Regionally restricted euxassay_011209_09
TS23: hindbrain Strong Regionally restricted euxassay_011209_09
TS23: forebrain Strong Regionally restricted euxassay_011209_09

Specimen euxassay_011209_10: embryonic day 14.5 (more )
Structure Level Pattern Image Note
TS23: dorsal root ganglion Strong Regionally restricted euxassay_011209_10
TS23: spinal cord Strong Regionally restricted euxassay_011209_10
TS23: midbrain Strong Regionally restricted euxassay_011209_10
TS23: hindbrain Strong Regionally restricted euxassay_011209_10
TS23: forebrain Strong Regionally restricted euxassay_011209_10

Specimen euxassay_011209_11: embryonic day 14.5 (more )
Structure Level Pattern Image Note
TS23: dorsal root ganglion Strong Regionally restricted euxassay_011209_11
TS23: spinal cord Strong Regionally restricted euxassay_011209_11
TS23: midbrain Strong Regionally restricted euxassay_011209_11
TS23: hindbrain Strong Regionally restricted euxassay_011209_11
TS23: forebrain Strong Regionally restricted euxassay_011209_11

Specimen euxassay_011209_12: embryonic day 14.5 (more )
Structure Level Pattern Image Note
TS23: spinal cord Strong Regionally restricted euxassay_011209_12
TS23: midbrain Strong Regionally restricted euxassay_011209_12
TS23: hindbrain Strong Regionally restricted euxassay_011209_12
TS23: forebrain Strong Regionally restricted euxassay_011209_12

Specimen euxassay_011209_13: embryonic day 14.5 (more )
Structure Level Pattern Image Note
TS23: spinal cord Strong Regionally restricted euxassay_011209_13
TS23: midbrain Strong Regionally restricted euxassay_011209_13
TS23: hindbrain Strong Regionally restricted euxassay_011209_13
TS23: forebrain Strong Regionally restricted euxassay_011209_13

Specimen euxassay_011209_14: embryonic day 14.5 (more )
Structure Level Pattern Image Note
TS23: dorsal root ganglion Strong Regionally restricted euxassay_011209_14
TS23: spinal cord Strong Regionally restricted euxassay_011209_14
TS23: midbrain Strong Regionally restricted euxassay_011209_14
TS23: hindbrain Strong Regionally restricted euxassay_011209_14
TS23: forebrain Strong Regionally restricted euxassay_011209_14

Specimen euxassay_011209_15: embryonic day 14.5 (more )
Structure Level Pattern Image Note
TS23: dorsal root ganglion Strong Regionally restricted euxassay_011209_15
TS23: spinal cord Strong Regionally restricted euxassay_011209_15
TS23: midbrain Strong Regionally restricted euxassay_011209_15
TS23: hindbrain Strong Regionally restricted euxassay_011209_15
TS23: forebrain Strong Regionally restricted euxassay_011209_15

Specimen euxassay_011209_16: embryonic day 14.5 (more )
Structure Level Pattern Image Note
TS23: dorsal root ganglion Strong Regionally restricted euxassay_011209_16
TS23: midbrain Strong Regionally restricted euxassay_011209_16
TS23: hindbrain Strong Regionally restricted euxassay_011209_16
TS23: forebrain Strong Regionally restricted euxassay_011209_16
TS23: spinal cord Strong Regionally restricted euxassay_011209_16

Specimen euxassay_011209_17: embryonic day 14.5 (more )
Structure Level Pattern Image Note
TS23: dorsal root ganglion Strong Regionally restricted euxassay_011209_17
TS23: spinal cord Strong Regionally restricted euxassay_011209_17
TS23: midbrain Strong Regionally restricted euxassay_011209_17
TS23: hindbrain Strong Regionally restricted euxassay_011209_17
TS23: forebrain Strong Regionally restricted euxassay_011209_17

Specimen euxassay_011209_18: embryonic day 14.5 (more )
Structure Level Pattern Image Note
TS23: trigeminal ganglion Strong Regionally restricted euxassay_011209_18
TS23: glossopharyngeal ganglion Strong Regionally restricted euxassay_011209_18
TS23: vestibulo-cochlear ganglion Strong Regionally restricted euxassay_011209_18
TS23: dorsal root ganglion Strong Regionally restricted euxassay_011209_18
TS23: forebrain Strong Regionally restricted euxassay_011209_18
TS23: hindbrain Strong Regionally restricted euxassay_011209_18
TS23: midbrain Strong Regionally restricted euxassay_011209_18

Specimen euxassay_011209_19: embryonic day 14.5 (more )
Structure Level Pattern Image Note
TS23: trigeminal ganglion Strong Regionally restricted euxassay_011209_19
TS23: facial ganglion Strong Regionally restricted euxassay_011209_19
TS23: hindbrain Strong Regionally restricted euxassay_011209_19
TS23: forebrain Strong Regionally restricted euxassay_011209_19

Specimen euxassay_011209_20: embryonic day 14.5 (more )
Structure Level Pattern Image Note
TS23: trigeminal ganglion Strong Regionally restricted euxassay_011209_20
TS23: facial ganglion Strong Regionally restricted euxassay_011209_20
TS23: hindbrain Strong Regionally restricted euxassay_011209_20
TS23: forebrain Strong Regionally restricted euxassay_011209_20

Specimen euxassay_011209_21: embryonic day 14.5 (more )
Structure Level Pattern Image Note
TS23: trigeminal ganglion Strong Regionally restricted euxassay_011209_21
TS23: facial ganglion Strong Regionally restricted euxassay_011209_21
TS23: forebrain Strong Regionally restricted euxassay_011209_21
TS23: hindbrain Strong Regionally restricted euxassay_011209_21

Specimen euxassay_011209_22: embryonic day 14.5 (more )
Structure Level Pattern Image Note
TS23: neural retina Strong Regionally restricted euxassay_011209_22
TS23: trigeminal ganglion Strong Regionally restricted euxassay_011209_22
TS23: forebrain Strong Regionally restricted euxassay_011209_22

Specimen euxassay_011209_23: embryonic day 14.5 (more )
Structure Level Pattern Image Note
TS23: neural retina Strong Regionally restricted euxassay_011209_23


Contributing Projects:
Mouse Genome Database (MGD), Gene Expression Database (GXD), Mouse Models of Human Cancer database (MMHCdb) (formerly Mouse Tumor Biology (MTB)), Gene Ontology (GO)
Citing These Resources
Funding Information
Warranty Disclaimer, Privacy Notice, Licensing, & Copyright
Send questions and comments to User Support.
last database update
01/28/2026
MGI 6.24
The Jackson Laboratory